继续操作前请注册或者登录。

人体最没用的器官,割掉反而更好?看完涨知识了



中午时分,办公室里的同事们纷纷拿出自己的便当或外卖,准备享用午餐。(编辑:鹿贝)
小美却一动不动地坐在椅子上,眼神中满是哀怨。同事小明走过来,打趣道:“哎,怎么又不吃饭啊?是不是在减肥啊?”
小美无力地笑了笑,指了指自己的喉咙:“扁桃体炎,一吃东西就喉咙痛。”

小明听后,耸了耸肩:“那干脆把扁桃体割了算了,反正也没啥用。我听说有些人割了之后感觉好多了。”
小美却摇了摇头:“我觉得还是不要轻易割掉的好,毕竟它是身体的一部分,总有它的用处。”
这个话题引起了办公室其他人的注意,大家纷纷围过来发表自己的看法。有人说割了好,有人说不好,一时间争论不休。
那么,我们的身体里真的存在无用的器官吗?割掉它们真的会更好吗?”

【本文已转换为音频模式,点击即可收听哦】
01
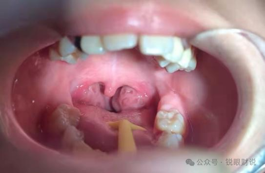
扁桃体——免疫的守门人
扁桃体,这对位于咽喉两侧的小腺体,经常被人们视为容易引发问题的器官。
每当感冒或喉咙感染时,它们往往会肿胀、发炎,给我们带来不适。然而,这并不能掩盖它们在免疫系统中的重要地位。
扁桃体是我们身体的第一道防线,它们能够识别和拦截进入呼吸道的病原体,如细菌和病毒。
通过产生抗体和免疫细胞,扁桃体能够迅速应对感染,防止病原体进一步侵入身体。
这种免疫反应不仅有助于保护我们的健康,还能为免疫系统提供宝贵的记忆,使得我们在未来遇到相同病原体时能够更快速地做出反应。

在中医理论中,扁桃体被认为是与肺脏相连的器官,其健康状况直接影响着肺气的宣发和身体的抵抗力。
因此,中医强调保护扁桃体的重要性,而不是轻易将其割除。   
当然,如果扁桃体反复发炎、肿大,严重影响了呼吸和吞咽功能,甚至引发了其他并发症,那么医生可能会建议割除。
但在大多数情况下,保留扁桃体并对其进行适当的保养和照顾,是更加明智的选择。
02
胸腺——免疫细胞摇篮
胸腺,这个位于胸腔内的小器官,在免疫系统中扮演着举足轻重的角色。
它是T淋巴细胞的主要产生地,这些细胞对于身体的细胞免疫至关重要。
胸腺在胚胎时期就开始发育,并在青春期达到最大体积。
随着年龄的增长,胸腺逐渐退化并缩小,但这并不意味着它的功能完全丧失。
实际上,胸腺在整个生命过程中都在持续地为身体提供免疫细胞。

通过锻炼、按摩等方式刺激胸腺的功能,这些建议并非空穴来风,而是有着一定的科学依据。
锻炼可以促进血液循环和新陈代谢,有助于胸腺产生更多的免疫细胞,而按摩则可以刺激胸腺周围的神经和肌肉,改善其功能。
当然,胸腺的保养并非一蹴而就的事情,而是需要长期坚持的过程。
通过保持健康的生活方式、均衡的饮食和适当的锻炼,我们可以延缓胸腺的衰老过程,提高身体的免疫力。
03
阑尾——消化道的守护者
阑尾,这个位于盲肠末端的小器官,曾经被认为是人体中的无用部分。
然而,近年来的研究发现,阑尾并非毫无用处,而是具有一定的生理功能和免疫作用。
阑尾能够分泌多种消化酶和免疫物质,参与肠道的消化和吸收过程。
同时,它还具有一定的免疫功能,能够抵御肠道中的病原体和有害物质。

当身体受到感染时,阑尾能够产生大量的免疫细胞来对抗病原体,保护肠道的健康。   
在中医理论中,阑尾被认为是六腑之一,与大肠相连。它具有传导化物的作用,能够帮助身体排除废物和毒素。
如果阑尾被割掉,可能会影响肠道的蠕动和排泄功能,导致便秘、腹胀等问题。
因此,我们应该更加珍惜阑尾这个看似不起眼的器官。
04
男性乳头——进化的痕迹
男性乳头的存在一直被人们认为是进化的痕迹,是人类祖先遗留下来的“无用”器官。
然而,事实并非如此,男性乳头虽然不像女性乳头那样具有哺乳功能,但是它仍然是身体的一部分,具有一定的生理作用。

比如,在一定刺激下,男性乳头也会发生一定的变化,帮助身体产生兴奋。
此外,男性乳头还与身体的内分泌系统有关,可以调节身体的激素水平。
因此,男性乳头并非完全无用,而是具有一定的潜在功能。
05
智齿——口腔的守护神
智齿,这个位于口腔最后方的第三磨牙,经常被人们视为多余的牙齿。
然而,智齿在口腔中扮演着重要的角色,具有一定的咀嚼功能和支撑作用。
智齿的存在可以帮助我们更好地咀嚼食物,尤其是较硬的食物。同时,它们还能够支撑周围的牙齿和牙槽骨,保持口腔的稳定性。
如果智齿被拔掉,可能会导致邻牙松动、牙槽骨吸收等问题,影响口腔的健康和美观。

当然,智齿的生长过程可能会引发一些问题,如智齿冠周炎等。
这主要是由于现代人的颌骨变小,而智齿的大小并没有相应减小,导致智齿无法完全萌出或位置不正。
在这种情况下,医生可能会建议拔掉智齿以避免潜在的问题。   
然而,在做出决定之前,我们应该充分了解所有可能的风险和后果。
如果智齿的生长状况良好,没有出现任何问题,那么保留智齿并对其进行适当的保养和清洁是更加明智的选择。

通过以上的分析,我们可以看出,人体中并不存在完全无用的器官,每个器官都有其独特的功能和存在的意义。
因此,我们不应该轻易割掉任何一个器官,除非在特殊情况下,才需要考虑割除。
只有珍惜身体、保持健康的生活方式,才能让这台机器运转得更加顺畅、更加长久。   

注:文中所涉及到各类药方、验方等仅供参考学习,不能作为处方,请勿盲目试用,本平台不承担由此产生的任何责任!
如果觉得这篇文章有用,请点击右下角的“在看”和“转发”,让更多的人知道。让我们一起传播养生知识,共同迈向更加健康的生活。   





新买的衣服,要“洗了再穿”吗?内行人说完,庆幸自己没做错
睡觉房间千万别放“4种”东西,真不是迷信,建议收藏!
“它”是白菜的死敌,二者不能同食,很多人都不知道

END

记得点
分享
收藏
在看
点赞
哦!
到顶部