肺癌多是“拖”出来的,提醒:身体出现这4种情况,别不当回事!


“三部之气各不同,或起于阴,或起于阳,请言其方。”这是千年古医智慧的启示,如今,当我们置身于繁忙的都市生活中时,这句话显得格外深刻。
肺,作为呼吸系统的核心,承载着生命的氧与命运的变数,,随着现代社会的发展,我们的生活方式、环境质量,以及健康意识是否足够,都直接关系到我们肺部的健康。
我们应该如何保卫这一生命之源,以迎接更健康、更长寿的明天呢?
(编辑:蜻蜓)

一、吸烟与肺癌悄然侵袭
近年来,中国肺癌的患者数量呈现出令人堪忧的增加趋势,而这其中吸烟成为了一个不容忽视的危险因素。
但是吸烟已经不再是仅限于个人行为的问题,它狡猾地渗透到我们的日常生活中,形成了一种被动吸烟的健康隐患,正如一把“隐形毒瘤”悄然滋生。
在家庭和办公室这两个最为亲密的生活场景中,吸烟的阴影无孔不入,即便是你自己不吸烟,如果周围人或同事是烟民,你仍旧可能面临患肺癌的风险,这并非危言耸听,而是由大量的医学研究数据支持的残酷事实。
不吸烟者在被动吸烟环境中的肺部健康问题愈发引起关注,吸烟者的二手烟排放出的有害物质,像是悄悄地渗透到不抽烟者的肺部,犹如一只潜伏的毒蛇。

研究发现,长期暴露于二手烟环境下的人群,其患肺癌的风险不亚于直接吸烟者,甚至在某些情况下,更为危险。
要想战胜这个“隐形毒瘤”,首当其冲的就是吸烟环境的管控。不仅仅是个体,整个社会都需要行动起来,制定更为严格的吸烟管理政策,确保我们的居住、工作环境不再被烟雾笼罩。
个体应当积极参与到戒烟的行动中。戒烟不仅仅关乎个人的身体健康,更是为了家庭、为了同事、为了身边的每一个人。
由于吸烟的危害不仅仅停留在吸烟者自身,更牵涉到周围人的生命安全,因此,戒烟不仅仅是个人选择的问题,更是对他人负责的表现。
在吸烟已经被科学证明对健康有害的今天,我们不能再对这个问题掉以轻心,吸烟的危害已经不再是个人选择的范畴,而是一种对整个社会的威胁,因此,我们需要共同行动起来,为肺部健康建设零容忍的环境。
零容忍吸烟,不仅仅是为了我们自己,更是为了我们的家人、我们的同事、我们的孩子。
让我们携起手来,摒弃烟雾,迎接一个清新、健康的生活,没有了吸烟的毒瘤,我们的肺将迎来一个更加美好的未来。
二、多因素引发,肺癌防不胜防

肺癌,这个令人胆战心惊的词汇,似乎早已不再仅仅是吸烟者的专属噩梦,在肺癌的高发背后,隐藏着一系列与现代生活方式密切相关的危险因素。
人口老龄化、环境污染、心理压力等多方面的压力正在悄悄侵蚀我们的免疫系统,成为肺癌悄然侵袭的助推器。
1.人口老龄化
随着社会的不断发展,我国正逐步进入老龄化社会,而人口老龄化是肺癌发病率上升的一个明显原因,年龄的增加伴随着免疫系统的逐渐减弱,这为肺癌的发生创造了有利条件。
因此,我们不能再对老年人的肺部健康掉以轻心,要有针对性地采取措施,加强免疫系统的保护。
2.环境污染

现代社会的工业发展给我们带来了生活的便利,却也伴随着无处不在的环境污染,空气中的颗粒物、有害气体,水和土壤中的化学物质,都在不知不觉中侵蚀着我们的肺部健康。
呼吸是生命的基本需求,而这个看似清新的空气中却隐藏着致命的危机,因此,改善环境质量、减少污染成为保护肺部的当务之急。
3.心理压力
现代人的工作压力、生活快节奏,都让心理压力成为肺癌发病的潜在威胁。
压力引发的体内激素变化,影响免疫系统正常功能,为肺癌的发展创造了一个良好的温床,因此,保持良好的心态、学会有效释放压力,对于肺部健康至关重要。
三、肺癌“拖”出来的狡猾特性
肺癌,这个狡黠的杀手,有时候是“拖”出来的,在早期,肺癌并不会明显展示症状,但当它逐渐发展到中晚期时,却会以更为猛烈的方式向我们宣告存在。
为了更早地发现肺癌的蛛丝马迹,我们不能对以下四个情况掉以轻心,需要时刻保持警惕。
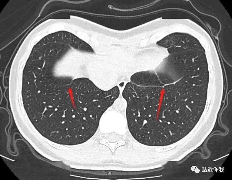
1.肺部CT发现“条索影”

过往的CT检查中,如果发现肺部出现“条索影”,而且随着时间的推移逐渐增多、增大,这可能是肺癌的信号。在这种情况下,及时进行进一步检查是至关重要的,因为早期的发现有助于更好地制定治疗方案。
2.无原因的久咳、呛咳、咯血
肺癌侵犯到肺部、气管时,会引起异常的咳痰、呛咳以及咯血症状。这种咳嗽通常持续时间较长,且常伴随着频繁的呛咳,而痰液则相对较少。如果你发现自己或他人出现这些症状,应及时就医,因为这可能是肺癌的早期表现。
3.持续的莫名胸口、背部疼痛

随着肿瘤的生长,可能压迫到血管、神经、胸膜,导致胸口和背部出现持续的疼痛症状。这种疼痛通常不容忽视,特别是在没有其他明显原因的情况下。及时寻求医生建议,了解背后的原因至关重要。
4.面部和双上肢无端的出现水肿
肿瘤可能还会压迫上腔静脉,导致身体出现颜面部和双上肢的无端水肿,这在医学上被称为上腔静脉综合征。
如果出现这一症状,应该及时就医,因为它可能是肺癌已经发展到一定程度的信号。
肺癌有时是“拖”出来的,但我们不能被它的隐匿性所迷惑,时刻保持警惕,对于上述情况要有敏锐的感知,及早发现肺癌的征兆,将为及早治疗奠定基础。

在我们与肺癌的较量中,既需要现代医学的科技手段,更需要古老医典的智慧指引,肺癌的防治不是一个人的事,而是整个社会的责任。
通过关注吸烟问题、关心生活环境、提高健康素养,我们可以共同营造一个有利于肺部健康的社会环境。
如果觉得这篇文章有用,请点击右下角的“在看”和“转发”,让更多人加入到这个健康的生活方式中来吧!
到顶部