年輕男女最易罹患的癌症〜肝癌



肝癌在恶性肿瘤死亡顺位中占第2位
原发性肝癌(primary carcinomaof liver,以下简称肝癌)是我国常见的恶性肿瘤之一。据20世纪90年代统计,我国肝癌的年死亡率为20.37/10万,在恶性肿瘤死亡顺位中占第2位,在城市中仅次于肺癌;农村中仅次于胃癌。由于血清甲胎蛋白(AFP)的临床应用和各种影像学技术的进步,特别是AFP和超声显像用于肝癌高危人群的监测,使肝癌能够在无症状和体征的亚临床期作出诊断,加之外科手术技术的成熟,以及各种局部治疗等非手术治疗方法的发展,使肝癌的预后较过去有了明显提高。

 
症状体征
原发性肝癌的临床病象极不典型,其症状一般多不明显,特别是在病程早期。通常5cm以下小肝癌约70%左右无症状,无症状的亚临床肝癌亦70%左右为小肝癌。症状一旦出现,说明肿瘤已经较大,其病势的进展则一般多很迅速,通常在数周内即呈现恶病质,往往在几个月至1年内即衰竭死亡。临床病象主要是两个方面的病变:
①肝硬化的表现,如腹水、侧支循环的发生,呕血及肢体的水肿等;
②肿瘤本身所产生的症状,如体重减轻、周身乏力、肝区疼痛及肝脏肿大等。

1.分型  根据患者的年龄不同、病变之类型各异,是否并有肝硬化等其他病变亦不一定,故总的临床表现亦可以有甚大差别。
一般患者可以分为4个类型:
(1)肝硬化型:患者原有肝硬化症状,但近期出现肝区疼痛、肝脏肿大、肝功能衰退等现象;或者患者新近发生类似肝硬化的症状如食欲减退、贫血清瘦、腹水、黄疸等,而肝脏的肿大则不明显。  
(2)肝脓肿型:患者有明显的肝脏肿大,且有显著的肝区疼痛,发展迅速和伴有发热及继发性贫血现象,极似肝脏的单发性脓肿。
(3)肝肿瘤型:此型较典型,患者本属健康而突然出现肝大及其他症状,无疑为一种恶性肿瘤。
(4)癌转移型:临床上仅有癌肿远处转移之表现,而原发病灶不显著,不能区别是肝癌或其他癌肿;即使肝脏肿大者亦往往不能鉴别是原发性还是继发性的肝癌。

上述几种类型以肝肿瘤型最为多见,约半数患者是以上腹部肿块为主诉,其次则为肝脓肿型,约1/3以上的病例有上腹部疼痛和肝脏肿大。肝癌的发生虽与肝硬化有密切关系,但临床上肝癌患者有明显肝硬化症状者却不如想象中之多见。除上述几种主要类型外,钟学礼等(1956)曾描述肝癌尚有突出地表现为阻塞性黄疸、腹腔内出血、血糖过低、胆囊炎和胆石症、慢性肝炎及腹内囊肿等现象者,共计将肝癌分成10种类型。
此外,林兆耆等(1962)尚观察到肝癌患者有时周围血中白细胞数和中性粒细胞的百分比显著增加,骨髓检查则显示粒细胞显著增生,类似白血病;亦有因原发性肝癌细胞转移至腰椎引起损坏,表现为脊髓截瘫者,其实即是癌肿转移的一种表现而已。

2.症状  癌患者虽有上述各种不同的临床表现,但其症状则主要表现在全身和消化系统两个方面。约60%~80%患者有身体消瘦、食欲减退、肝区疼痛及局部肿块等症状。其次如乏力、腹胀、发热、腹泻等亦较常见,约30%~50%的患者有此现象;而黄疸和腹水则较国外报道者少,仅约20%的患者有此症状。此外还可以有恶心、呕吐、水肿、皮肤或黏膜出血、呕血及便血等症状。
3.体征  患者入院时约半数有明显的慢性病容(少数可呈急性病容)。阳性体征中以肝脏肿大最具特征:几乎每个病例都有肝大,一般在肋下5~10cm,少数可达脐平面以下。有时于右上腹或中上腹可见饱满或隆起,扪之有大小不等的结节(或肿块)存在于肝脏表面,质多坚硬,并伴有各种程度的压痛和腹肌痉挛,有时局部体征极似肝脓肿。惟当腹内有大量腹水或血腹和广泛性的腹膜转移时,可使肝脏的检查发生困难,而上述的体征就不明显。约1/3的患者伴有脾脏肿大,多数仅恰可扪及,少数亦可显著肿大至脐部以下。20%的患者有黄疸,大多为轻中度。其余肝硬化的体征如腹水、腹壁静脉曲张、蜘蛛痣及皮肤黏膜出血等亦时能发现;其中腹水尤属常见,约40%的患者可能有之。

上述症状和体征不是每例原发性肝癌患者都具有,相反有些病例常以某几个征象为其主要表现,因而于入院时往往被误诊为其他疾病。了解肝癌可以有不同类型的表现,当可减少诊断上的错误。
病理病因
在世界任何地区都同样发现,任何原因导致的慢性肝病都可能在肝癌发生和发展过程中起着重要的作用。流行病学和实验研究均表明病毒性肝炎与原发性肝癌的发生有着特定的关系,目前比较明确的与肝癌有关系的病毒性肝炎有乙型、丙型和丁型3种。其中以乙型肝炎与肝癌关系最为密切,近年HBsAg阴性肝癌数增加与丙型肝炎有关,而前苏联则以丁型为多。我国肝癌患者中约90%有乙型肝炎病毒(HBV)感染背景。其他危险因素包括酒精性肝硬化、肝腺瘤、长期摄入黄曲霉素、其他类型的慢性活动性肝炎、Wilson病、酪氨酸血症和糖原累积病。

1.病毒性肝炎与肝癌
(1)乙型肝炎病毒与肝癌的相关性表现在以下几点:
①肝细胞癌与HBsAg携带者的发生率相平行。原发性肝癌高发的地区同时也是HBsAg携带率较高的地区,而肝癌低发区的自然人群中HBsAg的携带率则较低。我国人群中HBsAg的携带率大约为10%,全国有1.2亿HBV携带者,每年尚有约100万新生儿因其母亲为携带者而感染HBV,而在肝癌低发的欧美、大洋洲,HBsAg携带率仅为1%。
②肝癌患者的慢性HBV感染的发生率明显高于对照人群。第二军医大学东方肝胆外科研究所1000例肝癌患者中,HBsAg阳性率为68.6%;上海市中山医院992例住院肝癌患者中,HBsAg携带率为69.1%,抗HBc阳性率为72.1%;均显著高于我国自然人群中10%的HBsAg携带率。台湾报道,HBsAg携带率为15%,而肝癌患者中为80%,抗HBc阳性率可达95%。即使在原发性肝癌低发的地区,肝癌患者HBV感染的发生率也显著高于自然人群。如美国,肝癌患者抗HBc阳性率为24%,是对照组的6倍。英国肝癌患者HBsAg阳性率为25%,也显著高于自然人群的1%。以免疫荧光和免疫过氧化酶技术检测,约80%的肝癌标本中,癌旁组织或肝细胞胞质中有HBsAg,20%胞核内有HBcAg;地衣红染色显示,肝癌标本中HBsAg阳性率为70.4%~90%,显著高于对照组的4.7%。

③同一人群中,HBsAg携带者的肝癌发病率远比非携带者的肝癌发病率为高。在一项前瞻性研究中,3500名HBsAg携带者,随访3.5年发现
发病机制
1、肝硬变:肝癌手术切除病人,手术后病理报告85.2%伴有肝硬变。临床一般认为先有肝硬变而后有癌。其过程是:肝细胞变性坏死后,间质结缔组织增生,纤维间隔形成,残留肝细胞结节状再生。在反复肝细胞损害和增生过程中,增生的肝细胞可能发生间变或癌变,损害越重,增生越明显,癌变的机会也越高。
2、病毒性肝炎:临床上常见有急性肝炎→慢性肝炎→肝硬变→肝癌的病人。预防肝炎可以降低肝癌的发生率。
3、黄曲霉毒素:玉米、花生等发霉后即产生黄曲霉素,它经消化道吸收后迅速达到肝脏,它可能损害肝脏,造成肝细胞变性坏死,继而增生癌变。
4、亚硝胺:它是一类强烈的化学致癌物质,能在不少动物中造成肝癌,诱发率达85%-90%。5.其他饮用死水、呆水(塘水或沟水)人群的肝癌发病率较高。提高农作物的硒含量能降低肝癌的发病率。另外,寄生虫、营养、饮酒和遗传等与肝癌的发生也有一定关系。

检查方法
1.  肝癌标志物的检测  近年来用于肝癌检测的血清标志物主要有:
      甲胎蛋白(AFP)及其异质体;
各种血清酶,如γ谷氨酰转肽酶同工酶Ⅱ(GGT-Ⅱ)、碱性磷酸酶同工酶Ⅰ(ALP-Ⅰ)、醛缩酶同工酶A(ALD-A)、岩藻糖苷酶(AFU)、抗胰蛋白酶Ⅰ(AAT)、5’核苷酸磷酸二酯酶同工酶V(5’-NPD-V)、丙酮酸激酶同工酶(M2-PyK)、谷胱甘肽S-转移酶(GST)等;
异常凝血酶原;
铁蛋白与酸性铁蛋白。其中AFP的诊断价值最大。对于AFP阴性肝癌的诊断,以上几种血清标志物联合应用,具有一定的诊断价值。

(2)异常凝血酶原(DCP):凝血酶原前体在缺乏维生素K或服用维生素K拮抗剂后不能转化为凝血酶原而释放入血中,即为异常凝血酶原(abnormalprothrombin,AP)。其N端的谷氨酸残基未经羧基化,故又称脱羧基凝血酶原(descarboxy prothrombin,DCP)。它在一般凝血试验中无活性。正常人血浆不存在异常凝血酶原。1984年发现肝癌病人可测得DCP,可能为肝癌标志物。原发性肝癌患者血清中DCP升高与胆道梗阻或其他原因引起维生素K缺乏所致的DCP升高不同,两者可通过维生素K治疗试验加以鉴别。DCP诊断原发性肝癌的阳性率为55%~75%,敏感性与AFP相同。但肝病引起的DCP假阳性较AFP低,故在鉴别良性肝病时优于AFP,两者合用可减少假阳性。DCP在AFP阴性肝癌中阳性率可达61.9%,有助于AFP阴性肝癌的诊断。但DCP在继发性肝癌阳性率达54.5%,且在小肝癌中的阳性率较低,早期诊断价值不够理想。
(3)γ谷氨酰转肽酶同工酶Ⅱ(GGT-Ⅱ):应用聚丙烯酰胺梯度凝胶电泳可将GGT分离出12~13条区带,其中GGTⅡ和Ⅱ带是肝癌特异性同工酶带。GGT-Ⅱ对肝癌诊断的阳性率25%~75%,且与AFP无关。国内有人报道其对肝癌的敏感性为79.7%,优于AFP,特异性为96.4%,与AFP接近,是诊断肝癌较好的标志物之一。

(4)岩藻糖苷酶(AFU):α-L-岩藻糖苷酶(α-L-fucosidase,AFU)是一种广泛存在于人和动物组织液中的溶酶体水解酶。可用分光光度比色法或荧光比色法检测其活性,正常值为450mmol/(ml·h)。肝细胞癌患者血清中AFU活性显著高于肝硬化和继发性肝癌。但AFU高亦可见于病毒性肝炎、糖尿病、突眼性甲状腺肿及胃肠道癌肿。其诊断敏感性为75%,特异性为90%。
   
(5)碱性磷酸酶同工酶Ⅰ(ALP-Ⅰ):ALP增高多见于中、晚期肝癌,小肝癌中仅占12%。ALP-Ⅰ对肝癌的诊断特异性高达98.6%,但敏感性较低,仅16.7%。ALP-Ⅰ有助于少数AFP阴性肝癌的诊断。
(6)5’-核苷酸磷酸二酯酶同工酶V(5’-NPD-V):5’-NPD-V是一种非核酸酶,其活性与肝癌的生长速度相平行。在AFP阳性肝癌中阳性率为84.6%~85.7%,AFP阴性肝癌其阳性率为76%。但转移肝癌可达72%~98%。良性肝病的假阳性率仅为8.3%~13.3%,可供鉴别。

(7)醛缩酶(ALD)同工酶:ALD是糖酵解过程中果糖分解的关键酶之一。A型来自肌肉,B型来自肝脏,C型来自脑组织,胎儿期主要是A型。原发性肝癌时ALD-A升高,阳性率为76%。转移性肝癌及其他消化道恶性肿瘤,如腺癌等也见升高。ALD-A阳性率不高,且缺乏特异性。
(8)丙酮酸激酶同工酶(M2-PyK):丙酮酸激酶(PyK)是糖酵解过程中的关键酶。它有L、R、M1和M2四型同工酶。肝细胞癌患者M2-PyK阳性率可达93%,而良性肝病大多正常。其他消化道恶性肿瘤、肌肉疾病及溶血性疾病也可见M2-PyK升高。
(9)谷胱甘肽S-转移酶(GST):肝癌患者血清中GST为正常人的25倍,肝癌诊断阳性率为89.5%。而在慢性肝病患者中较低,有助于肝癌与良性肝病的鉴别。
(10)αl-抗胰蛋白酶(αl-AT):αl-AT为肝细胞合成的蛋白酶抑制剂。对原发性肝癌的诊断阳性率可达86.7%,但特异性仅为50%。在炎症性肠病、良性肝病均可增高,假阳性率较高。
(11)铁蛋白:放免法测定血清铁蛋白正常值20~200μg/L。肝癌病人中阳性率为50%。应用血清酸性同工铁蛋白检测,肝癌病人阳性率可达70%,但铁蛋白在肝炎

其他辅助检查
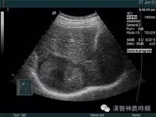
1.超声检查  B超检查用于肝癌诊断具有无损伤、无放射损害、简便、价廉、敏感度高、可重复性等优点。它可显示肿瘤的大小、形状、部位、肿瘤与血管的关系以及肝静脉、门静脉有无癌栓等,其诊断符合率可达90%。B超可检出1~2cm的小肝癌,最小直径为0.5~0.7cm。文献报道高分辨力B超对0.5~2.0cm的肝内微小灶的发现率较高,但定性诊断的准确率仅为58%。近年国内外均有人采用超声对比剂,如铁或钆等行声学造影,有助于定性诊断和确定病灶大小。原发性肝癌B超图像常显示肝体积增大,病变向肝表面隆起,周围常有声晕等。其回声可表现为低回声型、高回声型和混合回声型。小肝癌常呈低回声型,大肝癌或呈高回声,或高低回声混合,并可见中心坏死液化的无回声区。B超检查可因肺、胃等器官遮盖存在盲区,造成遗漏病变,如右膈下、左外叶上段等。微小病变位于肝实质深部并伴有严重肝硬化时,常难以辨认。另外与操作者的经验和检查是否细致均有关。

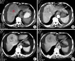
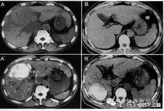
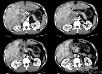
2.计算机X线体层扫描(CT)  CT是一种安全、无创伤、高分辨力的检查方法。对肝癌的定位诊断很有价值。CT能显示肿瘤的大小、位置、数目及与周围脏器和大血管的关系,可检出1cm左右的早期肝癌。并有助于了解是否伴发肝外转移,如肝门淋巴结,胰头后淋巴结等。结合增强扫描可以判断病变的性质,对肝癌与肝血管瘤的鉴别有较大的价值。平扫下肝癌多为低密度占位,边缘清晰或模糊,部分有包膜的肝癌可显示晕圈征。较大的肝癌可见更低密度的坏死区,少数肝癌可见钙化。增强扫描有滴注法、大剂量推注、推注加动态扫描等。肝癌在动脉期尤以注药20s内强化最为明显,癌灶密度高于周围肝组织。30~40s后造影剂进入细胞间隙转入实质期,病灶又恢复为低密度,显示更为清晰。近将肝动脉造影与CT检查相结合,开展CT动脉造影(CTA)和CT动脉门脉造影(CTAP),对提高小肝癌的检出率有一定价值。也有人在CT检查前一周经肝动脉插管注入碘化油(lipiodo1),再做CT扫描,这种lipiodol-CT可检出0.5cm的小肝癌。对于<1cm的肝癌,Uchida报告US、CT、肝动脉造影和几种CT检查的分辨力为:US 63%、普通CT 12%、滴注法增强扫描65%、CTA 71%、CTAP 80%、lipiodol-CT 89%。

3.磁共振显像(MRI)  MRI在肝癌诊断中的作用日益受到重视,其诊断价值有超过CT的趋势。与CT相比其优点为:无电离辐射,能获得横断面、冠状面、矢状面3种图像,对肿瘤与肝内血管的关系显示更佳;对软组织的分辨力高;对肝癌与肝血管瘤、囊肿及局灶性结节性增生等良性病变的鉴别价值优于CT。国外报道MRI对大于2cm的肝癌的检出率为97.5%,小于2cm者为33.3%,检出最小的肝癌为1.5cm。近年有采用钆离子螯合剂作对比增强剂成像,提高了MRI对微小病灶的检出率,并有助于肿瘤性质的判断。原发性肝癌在T1加权像上多为低信号占位,少数可为等信号或高信号,坏死液化信号更低;伴有出血或脂肪变性则局部呈高信号区;钙化表现为低信号。在T2加权像上,绝大多数肝癌表现为强度不均的高信号区,少数可呈等信号区;液化坏死区信号强度很高;钙化则为点状低信号。门静脉或肝静脉癌栓在T1加权和质子密度像上呈稍高的信号;在T2加权像上为较低的信号强度。假包膜在T1加权像表现为肿瘤周围的低信号带,在T2加权像上内层纤维组织为低信号带,外层丰富的受压的小血管或胆管则为高信号带。MRI T1加权像可显示清晰的肝脏血管解剖,对指导手术有很大的参考价值。

4.肝动脉造影  肝动脉造影对小肝癌的定位诊断是目前各种方法中最优者。其诊断阳性率为90%以上,小于3cm的小肝癌的检出率可达87.5%(91/104)。采用超选择性肝动脉造影或滴注法肝动脉造影或数字减影肝血管造影(DSA),可显示0.5~1.0cm大小的微小肿瘤。但由于肝动脉造影为一侵入性检查,故不列为首选。其应用指征为:
①临床高度怀疑肝癌或AFP阳性而其他影像检查正常者。
②其他影像学检查疑有肝占位病变但结果不一致或难以确定病变性质者。
③术前疑存1~2cm的子灶需作CTA以确定位置和数目指导手术者。
④肝癌行肝动脉栓塞化疗者。原发性肝癌的肝动脉造影主要特征为早期动脉相肿瘤血管团,肿瘤实质期染色,动脉变形、移位,增粗,动、静脉瘘,肿瘤包绕动脉征以及“池状”或“湖状”造影剂充盈区等。
5.放射性核素显像  放射性核素显像曾是20世纪60~70年代肝癌定位诊断的重要手段。应用Au、Tc、I、In等进行肝扫描常可显示肝脏的形态及肝癌占位,诊断阳性率为80%~90%。但对小于3cm的肝癌不易分辨,且有较高的假阳性率。故目前已被B超、CT、MRI等手段所取代。近年发展起来的单光子发射计算机断层扫描(SPECT),以核素标记的AFP或抗人肝癌单抗行放射免疫显像等新技术,使肝癌的检出率有所提高,可检出最小约2cm癌灶。此外肝血池扫描对肝血管瘤的鉴别有重要意义。

6.肝穿刺活体组织检查  肝穿刺活检对确定诊断有一定帮助。但由于其阳性率不高,可能导致出血,癌肿破裂和针道转移等,一般不作为常规方法。对无法确诊的肝内小占位,在B超下行细针穿刺活检,可望获得病理学证据。
 
用药治疗
手术治疗
传统的治疗肝癌的方法是首选手术切除,但不是所有的肝癌患者都适合手术。只有心肺功能较好,肝脏肿瘤较局限,没有转移条件的患者才适宜手术。加上我国肝癌患者多数有肝炎、肝硬化的病史,临床有 80%左右的患者因各种原因不能手术。肝癌的非手术治疗方法多种多样,每一种治疗方法都有各自的适应证,只有适合患者的方法才是最好的方法。应该根据患者的身体状况、肝功能状态、肿瘤的情况来选择适合的治疗方法。

介入治疗
也是常被采用的手段,那么这种手段有哪些局限呢?肝癌主要供血依赖肝动脉,但癌块周围有门静脉血供,癌细胞可以“苟安偷生”。即使操作超选择顺利进行,由于高压注射等原因,可造成误栓,分流及可能有不可避免的微转移产生;有的病人一次治疗后血管即堵塞,以致再操作困难。

介入治疗缺点:
1、肝癌主要供血依赖肝动脉,但癌块周围有门静脉血供,癌细胞可以“苟安偷生”。
2、操作有一定难度,导管应超选择进入供血动脉疗效才佳,但有时进入肝动脉都很困难。而有的肝癌可多血管供血。
3、尽管超选择进入,仍有明显副作用,我院资料分析,消化道反应最多。
4、已有门静脉癌栓者须酌情考虑或去除癌栓。
5、即使操作超选择顺利进行,由于高压注射等原因,可造成误栓,分流及可能有不可避免的微转移产生。
6、对正常肝细胞仍有损伤,少数病人甚至出现肝机能不全。
7、对癌块太大者疗效欠满意。
8、有的病人一次治疗后血管即堵塞,以致再操作困难。
肝癌介入治疗优点很多:
1、疗效确切,治疗成功者可见到AFP迅速下降,肿块缩小,疼痛减轻等。
2、机理科学:介入治疗局部药物浓度较全身化疗高达数十倍,而且阻断肿瘤血供,因此双管齐下疗效好,毒性较全身化疗小。
3、操作简单易行,安全可靠。
4、年老体弱及有某些疾病者也可进行,不须全麻,保持清醒。
5、费用相对比较低。
6、可以重复进行,诊断造影清晰,便于对比。
7、对部分肝癌可缩小体积后作二步切除。
8、可作为综合治疗晚期肿瘤重要手段之一。

我国开展这一工作近20年,有许多经验总结报告,有报告直径小于5CM的肝癌治疗后5年生存率达33%。我院最长一例已存活20余年。
放疗也是肝癌治疗的主要方法之一。随着现代放疗技术的进展,很多早期不能手术的小肝癌采用现代放疗可获得根治,且肝功能损伤较小。以体部伽马刀为例,体部伽马刀治疗肝癌的原理与放大镜的聚焦过程类似,把放大镜置于阳光下,放大镜下面会成一个耀眼的光斑。光斑以外的地方,温度没多大变化,而光斑处却灼热得可以点燃一些物体。同理,放射剂量集中到肿瘤区域,使肿瘤接受到足以致死癌细胞的剂量,从而达到理想的治疗效果。

早期治疗应尽量采取手术切除对不能切除的大肝癌亦可采用多模式的综合治疗
病人手术后属于术后康复期.在康复期的治疗上也是尤为重要的.因为存在的复发和转移几率是很高的,术后残余的癌细胞会不定时的向各部位转移.所以术后要加强巩固以防止它的复发和转移。
肝癌食疗方
(资料仅供参考,详细需咨询医生)
(1)枸杞甲鱼:
枸杞,甲鱼。将枸杞、甲鱼共蒸至熟烂即可,枸杞与甲鱼汤均可食用。每周1次,不宜多食,尤其是消化不良者,失眠者不宜食。忌饮白酒、辣椒、母猪肉、韭菜、肥肉、油煎炸、坚硬的食物及刺激性调味品。具有滋阴、清热、散结、凉血,提高机体免疫功能。
(2)茯苓清蒸桂鱼:
茯苓,桂鱼。加水及调料同蒸至熟烂即成。吃鱼喝汤,具有健脾利湿,益气补血功能。
(3)翠衣番茄豆腐汤:
西瓜翠衣,番茄,豆腐。将西瓜翠衣、番茄和豆腐全部切成细丝做汤食。经常食用,具有健脾消食,清热解毒,利尿、利湿等功效,虚寒体弱不宜多服。

(4)蓟菜鲫鱼汤:
蓟菜,鲫鱼1条。蓟菜与鲫鱼共同煮汤,加适当调料即成。经常食用,具有消淤血、止吐、改善症状之工作。但脾胃虚寒、无淤滞者忌服。
(5)芡实炖肉:
芡实,猪瘦肉。两者合起放砂锅中加水适量炖熟后去药渣,吃肉喝汤。经常食用,此膳泻火,祛痰、通便,有腹水者可用此方。
(6)薄荷红糖饮:
薄荷,红糖。煎汤后加糖调味即成。可代茶饮,此药膳清热,利温、退黄;有黄疸、腹水者可选用。
(7)青果烧鸡蛋:
青果,鸡蛋1只。先将青果煮熟后再加入卧鸡蛋,共同煮混后可食用。每周3次,每次1个鸡蛋,可破血散於,适用于肝癌於痛、腹水明显者。

(8)弥猴桃根炖肉:
鲜弥猴桃根,猪瘦肉。将上述两物在硝锅内加水同煮,炖熟后去药渣即成。经常食用,具有清热解毒,利湿活血。
(9)苦菜汁:
苦菜、白糖各适量。苦菜洗净捣汁加白糖后即成。每周3次,具有清热作用,适宜于肝癌口干厌食等症。
(10)马齿苋卤鸡蛋:
马齿苋适量,鲜鸡蛋。先用马齿苋加水煮制成马齿苋卤,再取300毫升,用齿汁煮鸡蛋。每天1次,连汤齐服。能够清热解毒,消肿去淤,止痛、适宜于巨型肝癌发热不退,口渴烦躁者。
(11)藕汁炖鸡蛋:
藕汁,鸡蛋1只,冰糖少许。鸡蛋打开搅匀后加入藕汁,拌匀后加少许冰糖稍蒸熟即可。经常服食,此方具有止血,止痛、散淤、肝癌有出血者宜用。
(12)山药扁豆粥:
淮山药,扁豆,粳米。将山药洗净去皮切片,扁豆煮半熟加粳米,山药煮成粥。每日2次,早、晚餐食用,具有健脾化湿,用于晚期肝癌病人脾虚,泄泻等症。

肝癌吃什么对身体好?
1、 多吃白木耳、香姑、菠菜、胡萝卜、卷心菜、冬瓜、西瓜、绿豆、苡米、甲鱼、牛奶等。
2、 多吃含硒的食物,如海鲜、蘑菇、大蒜、银杏。
饮食应容易消化,富含营养,水分充足,无刺激。并少食多餐。
肝癌最好别吃什么食物?
1. 忌食油腻、煎炸、辛辣类食物。
2. 少喝酒。
3. 少吃伤肝的药。

在肝癌的一级预防尚未完善之际,肝癌的早期发现、早期诊断、早期治疗在肿瘤学上被称为“二级预防”则显得十分重要。自实施肝癌筛查以来,原发性肝癌的诊断进入了亚临床水平,早期肝癌比例不断增高,5年生存率亦明显提高。20世纪80年代以来对肝癌的高危对象(35岁以上有慢性肝炎史或HBsAg阳性者)采用检测AFP与超声进行筛查,检出了许多早期肝癌,经过早期诊断、早期治疗,有效地降低了肝癌的病死率。


到顶部