什麼是巧克力囊腫 ?




巧克力囊肿是“肿块”但并非是“肿瘤”,它是子宫内膜异位症的一种病变。正常情况下,子宫内膜生长在子宫腔内,受体内女性激素的影响,每月脱落一次,形成月经。如果月经期脱落的子宫内膜碎片,随经血逆流经输卵管进入盆腔,种植在卵巢表面或盆腔其他部位,形成异位囊肿,这种异位的子宫内膜也受性激素的影响,随同月经周期反复脱落出血,如病变发生在卵巢上,每次月经期局部都有出血,使卵巢增大,形成内含陈旧性积血的囊肿,这种陈旧性血呈褐色,粘稠如糊状,似巧克力,故又称“巧克力囊肿”。
这种囊肿可以逐渐增大,有时会在经期或经后发生破裂,但很少发生恶变。巧克力囊肿可在宫腔镜的窥视下看到子宫内膜样组织,由于这种囊肿内潴留的陈旧血瘀如巧克力糊状的颜色,故称它为“巧克力囊肿”。虽然这种病初起只见有小型囊肿,但拖延日久不去重视治疗,或坚持服药,则每次月经来潮前后腹痛剧烈,患者多因异位的子宫内膜组织,在卵巢激素的影响下,发生周期性充血、出血及剥脱等月经样变化,故又称它为“卵巢子宫内膜异位症”。

 
 
症状体征
 
(1)痛经 主要症状,为继发性且逐年加重,但也有少数病人无明显的痛经。异位的子宫内膜受卵巢激素的作用,与正常子宫内膜有同样的周期性变化,月经后半期,异位的内膜高度增厚充血,子宫内膜异位瘤内压力逐渐增加,行经时经血聚积囊内,使囊壁承受的压力骤然增加而引起疼痛。
因此,子宫内膜异位症痛经的特点多从月经前甚至周期后半期开始,持续整个月经期至月经后数日消失。疼痛部位多在下腹正中,或偏于一侧,病变浸及子宫直肠。月经过多,月经血量多,也是临床常见症状之一,一般月经周期规律表现为经血过多或带经日久。

(2)性交痛 宫直肠窝阴道后穹隆,宫骶韧带等部位的子宫内膜异位症均可发生性交痛,而且常于月经前较为明显。
(3)不孕 30-70% 子宫内膜异位症患者伴有不孕症,在原因不明的不孕症患者中约70-80%的患者伴有子宫内膜异位症,患者常因盆腔器官粘连,使输卵管蠕动受阻或输卵管堵塞等机械因素导致不孕,亦可能为卵巢功能不全,自身免疫反映增强,前列腺素增加,泌乳素增高等因素有关。
(4)卵巢子宫内膜囊肿 壁较脆缺乏弹性,经血逐渐聚积,囊内压力不断增高,内容物可自囊壁的薄弱部位溃破,溢入腹腔刺激腹膜,引起腹膜炎,出现急腹症。

病理病因
 卵巢巧克力囊肿是子宫内膜异位症中最常见的一类,卵巢巧克力囊肿随着病程的延长,囊肿内积血的不断增加,囊肿体积也随之增大。当囊腔内积血过多、压力过高时,可撑破囊壁薄弱部卵巢巧克力囊肿分,发生囊肿自发性破裂,囊内流出部分积血,压力降低后,囊壁破口常可自行愈合。
若干时间后,囊内积血再次增多、压力再次增大时,又可发生自发性破裂。囊肿破裂后流至盆腔内的积血,刺激腹膜,引起剧烈腹痛,并可造成盆腔器官的粘连。卵巢巧克力囊肿可以在没有诱因情况下自发破裂,粗暴或剧烈的性生活,尤其是经前期性生活,常是常见的导致囊肿破裂的重要诱因。较小的卵巢巧克力囊肿,通常不易发生破裂。卵巢巧克力囊肿的药物治疗效果差,难以消除巧克力囊肿,当囊肿增大到3厘米以上,自发破裂的风险开始出现,并逐渐增加,它长到一定大小,自发破裂常难以避免。因此,它的确是藏在盆腔内的“炸弹”,说不定何时会发生“爆炸”。

由于卵巢巧克力囊肿破裂流至盆腔内的是陈旧积血,并非大量新鲜出血,除腹痛外,通常不会影响生命体征,不会出现休克。有人认为,既然不会危及生命,能否采取不手术的保守治疗,使患者免受手术之苦。其实不然,保守治疗后,囊壁破口愈合了,症状消失了,但不久又有可能发生自发破裂。如此反复发作、受苦,且发作次数越多,引起的盆腔粘连越重,盆腔粘连引起的腹痛等症状,更会使她“雪上加霜”,苦不堪言。

因此确诊为卵巢巧克力囊肿,直径达到或超过3厘米者,应及时采取治疗,清除“炸弹”爆炸的危险。从而最大限度地保留了正常的卵巢组织,一旦囊肿过大,破裂之后必须采取手术切除囊肿。术后还需要服用药物巩固疗效,这对防止卵巢巧克力囊肿的复发有着重要意义。
巧克力囊肿的诱因
巧克力囊肿是因为盆腔里有异位的子宫内膜生长,这种内膜每月也有一次月经样出血,这些出血积聚在盆腔等处而成为囊肿。囊肿常是双侧性的,囊肿的内容物是月经血,其中水分被吸收、血液被浓缩成为深咖啡色、质地粘稠的糊,看上去很象巧克力所以叫“巧克力囊肿”。

巧克力囊肿主要发生在30-40岁之间的中青年妇女。主要是由于月经期子宫壁脱落的子宫内膜碎片因引流不畅,不能全部从阴道排出,有少量经输卵管向盆腔倒流。卵巢巧克力囊肿的病因尚未清楚,环境因素、生活习惯、精神状态等都可能与卵巢囊肿的发病有关系,但与已婚未婚没有什么关系。所以,卵巢囊肿可以发生在任何年龄段,一般高发于20-50岁女性,未婚女性患如发现有月经失调、经量减少甚至腹痛等症状时,应提高警惕,及时检查,特别是身材偏胖的青少年女性更需注意。
(1)痛经:为巧克力囊肿的主要症状,同时也是最容易被忽略的症状表现,为继发性且逐年加重,但也有少数病人无明显的痛经。
(2)月经不调:月经过多,月经血量多,也是巧克力囊肿临床常见症状之一,一般月经周期规律表现为经血过多或带经日久。

(3)性生活痛:这也是一个明显的患病信号,患者还可能会出现滴状的出血,而且常于月经前较为明显。
(4)患不孕症:巧克力囊肿会导致妇女不能怀孕,其不孕率达50%左右,在不孕症女性中,巧克力囊肿所造成的不孕占有很高的比例。
病发机制
1、内分泌因素:卵巢虽然小,但却是生成卵子并排卵、平衡内分泌的重要器官之一,多出现在内分泌旺盛的生育年龄。因此认为和内分泌失调有关。此外月经时生气可能就没了,垃圾排不出来,在卵巢里便形成了囊肿。
2、性生活频繁:通常发病大多是在青春期少女以及更期女性,这和她们过于频繁的性生活有关。

3、输卵管阻塞:卵巢内无受精的卵泡,废品垃圾要排出去,就需要靠体内液压把垃圾排出来,因为机能衰退,输卵管有堵塞现象,排不出去的卵子积在卵巢里,就形成了囊肿。
4、压力过大:是导致卵巢巧克力囊肿的主要因素,长时间精神压力太大、可以导致植物神经功能紊乱、影响内分泌调节,则导致卵巢功能过早衰退,雌激素的分泌减少,提前进入更年期。
检查方法
常见的检查有:妇检、超声诊断、MRI、CT、腹腔镜及实验室检查。
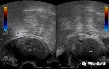
B超声象图:B超显象是目前辅助诊断子宫内膜异位症的有效方法,主要用以观察卵巢子宫内膜异位囊肿,其声象图的特征为:囊性肿块,边界清晰或不清。如囊肿周围粘连重,则边界不清;如囊肿与子宫或周围组织粘连少,则边界清晰。囊肿多为中等大小,囊肿内可见颗粒状细小回声,是囊液粘稠表现。有时因陈旧性血块浓缩机化而出现较密集的粗光点图象,呈混合性肿块状。

肿块常位于子宫后侧,可见囊肿子宫伴随症。囊肿自发破裂时,声象图示后凹陷,囊肿较前缩小。腹腔镜检查:腹腔镜检查是目前诊断子宫内膜异位症的新标准,通过腹腔镜可直接窥视盆腔,见到异位病灶即可明确诊断,且可进行临床分期,以决定治疗方案。
 
并发症
不孕
约有50%左右内异症患者伴有不孕,在不明原因不孕患者中,约30-40%患内异症。内异症患有不孕,常因病变造成盆腔肿块、粘连、输卵管堵塞卵泡发育不好或排卵障碍等因素引起;而一旦怀孕则异位内膜受到抑制而萎缩,对内异症起到很好的治疗,习惯性流产病例中有部分为子宫内膜异位症所致。

痛经
内异症的临床特征为渐进性痛经,是常见而突出的特征,多为继发性,即自发生内膜异位开始,患者诉说以往月经来潮时并无疼痛,而从某一个时期开始出现痛经,可发生在月经前、月经时及月经后。有的痛经较重难忍,需要卧床休息或用药止痛,甚至痛得“滚炕”或撞头,疼痛常随着月经周期而加重,月经结束而消失,但国内报道有21%约无痛经。
周期性直肠刺激症状:进行性加剧的周期性直肠刺激症状罕见于其他妇科疾病,是诊断本症最有价值的症侯。直肠、肛门、外阴部坠胀、坠痛、里急后重感和大便次数增多。当病变逐渐加重时,症状日趋明显,而经后症状消失。
月经不调
内异症患者常有月经周期缩短、经量增多或经期延长等现象,说明患者有卵巢功能障碍表现。月经不调可作诊断参考,但在鉴别诊断中并无价值。
性交痛
当存在于阴道穹窿部异位子宫内膜结节、直肠凹陷结节或粘连,或卵巢粘连在盆底时,均可产生性交痛。阔韧带后叶病灶纤维化增生及收缩明显时,可以外源性压迫输尿管,使其狭窄阻塞,亦可能出现泌尿系统症状,严重的可发生输尿管积水或肾盂积水。

周期性膀胱刺激症状
当内异症病变累及膀胱腹膜反褶或侵犯膀胱肌层时,会同时出现经期尿急、尿频等症状。若病变侵犯膀胱粘膜(膀胱子宫内膜异位症)则有周期性血尿和疼痛。
巧克力囊肿经期或行经前后的急腹症:一般为卵巢子宫内膜囊肿,有穿破的特点,多数患者因卵巢囊肿扭转或宫外孕而急诊手术。若不手术而好转时,盆腔粘连加重,今后还会反复破裂发生急腹症。

周期性下腹不适
本症状的出现率高于痛经,无痛经的内异症患者常存在于本症状。出现于轻症患者,或某些病变虽较重但由于痛阈的个性差异或其他原因,不产生痛经症状而仅有经期腰酸、下腹坠胀不适感。
腹壁疤痕及脐部的子宫内膜异位症则出现周期性局部肿块及疼痛。内在型子宫内膜异位症患者往往子宫胀大,但很少超过3个月妊娠。如为后位子宫,往往粘连固定。在子宫直肠窝、子宫骶韧带或宫颈后壁常可触及1-2个或更多硬性小结节,如绿豆或黄豆大小,多有明显的触痛,肛诊更为明显,这点很重要。卵巢囊肿可长至拳大,由于常有囊肿内容物外溢和异位内膜出血,盆腔脏器粘连加重成冰冻盆腔状,即是所谓广泛内异症。病变程度轻重不同时体征差别很大。

腹膜炎
生长在卵巢的巧克力囊肿,囊壁常常很糟脆,具有一种自发破裂的倾向。囊肿破裂后,小的破口可以很快自行愈合,并与周围组织形成粘连;如果破口较大,则无法自行愈合,其浓稠的巧克力样囊内液可流入腹腔,这种巧克力样液体的刺激性极强,可刺激周围的腹膜,引起剧烈的腹痛,如果处理不及时,还可能导致弥漫性腹膜炎,造成致命的后果。
 
预防护理
 
卵巢巧克力囊肿的8个预防措施:
1、注意调整自己的情绪,保持乐观开朗的心态,使机体免疫系统的功能正常。
2、要注意自身保暖,避免感寒着凉。
3、月经期间,禁止一切剧烈体育运动及重体力劳动。
4、如已查出患有子宫内膜异位症,卵巢巧克力囊肿大于6cm以上者,在月经期或月经中期一定要注意保持情绪稳定,避免过度劳累,一旦囊腔内张力突然升高时,囊壁破裂,会形成急腹症。

5、尽量少做人工流产和刮宫,做好计划生育。
6、女性月经期一定要禁止性生活。
7、女孩子青春期要避免受惊吓,以免导致闭经可形成溢流。
8、预防卵巢巧克力囊肿要注意月经期要做好自身的保健,注意控制自己的情绪,不要生闷气,否则会导致内分泌的改变。
饮食保健
术后保养
巧克力囊肿治疗之后又很容易复发,无论是保守治疗还是药物治疗,效果均不太理想,而根治手术又不适合想要生小孩的女性,所以此病不但治疗棘手而且给患者带来巨大痛苦。

腹腔镜手术是诊断子宫内膜异位症的最佳方法。但手术后却并非万事大吉,因为手术后,人体会恢复排卵,发挥内分泌功能,残存的内膜又会开始生长,所以手术后尽早怀孕,因为怀孕后至少有一年的时间可以让这些内膜组织因为没有雌激素而逐渐衰退而被吸收掉。所以妊娠是最好的治疗,助孕技术也是最好的治疗。
如果不能怀孕的妇女,如痛经则可以口服避孕药,卵巢抑制是好办法。有人说,原本就担心雌激素刺激,避孕药不是含有雌激素吗?虽然避孕药含有激素,但外来的激素不足以影响到巧克力囊肿的生长。

巨大内膜囊肿、估计有广泛肠黏连、需进行肠切除术或判定为很复杂的手术以开腹手术为宜。对于不想生育,且接近停经的妇女,则可以考虑切除子宫和卵巢,以达到一劳永逸的目的。


到顶部