兒童的淋巴细胞白血病



它是引起兒童患病的原兇

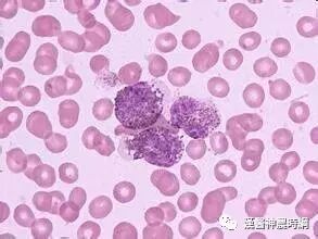
急性淋巴细胞白血病(acutelymphoblastic leukemia,ALL)是一种起源于B系或T系淋巴祖细胞的肿瘤性疾病,原始细胞在骨髓异常增生和聚集并抑制正常造血,导致贫血,血小板减少和中性粒细胞减少;原始细胞也可侵及髓外组织,如脑膜、性腺,胸腺、肝、脾,或淋巴结等,引起相应病变。
白血病细胞的发生和发展起源于不同造血祖细胞或干细胞的恶性变,特定的ALL亚型可能具有特定阶段的标志,病因及发病机制尚未完全明了,但与下列危险因素有关:
1.遗传及家族因素 许多事实证明遗传因素是白血病发病的危险因素之一,5%ALL病例与遗传因素有关,一些具有遗传倾向综合征的病人白血病发病率增高,Down综合征儿童发生白血病的危险高于正常人群10~30倍,并且更容易有B细胞前体ALL;范可尼(Fanconi)贫血的病人白血病发生率也增高。

同一家庭中发生2个或3个白血病的病例比较少见,提示遗传因素在ALL发病中可能只起很小的作用,但当一个孪生兄弟发生白血病时,另一个1年内有20%几率罹患白血病,如果白血病是在1岁之内发生,另一个几乎无法避免也会发生白血病,比较典型的是在几个月内发生,非同卵双胎之一如发生白血病其同胞发生白血病的几率是正常人群的2~4倍,染色体异常合并白血病的机制尚不清楚,原因可能为受累基因所编码蛋白影响了基因的稳定性和DNA修复,或是有缺陷的染色体对致癌物的敏感性增加,因而引起控制细胞增殖和分化的基因发生突变所致。
2.环境因素 电离辐射可以诱发动物实验性白血病;孕期暴露于诊断性X线,发生ALL的危险性稍有增高,并与暴露次数有关;遭受核辐射后人群ALL发病明显增多,电离辐射作为人类白血病的原因之一已被肯定,但机制未明,孕前和孕期接触杀虫剂,主动及被动吸烟可能与儿童ALL发病有关;儿童ALL发病率在工业化国家较高;女性饮用被三氯乙烯污染的水质以及年龄大于60岁吸烟者ALL的发生率增高,提示环境因素在白血病发病中起一定作用。

化学物质诱发动物实验性白血病已经被确认,其中苯及苯同类物,烷化剂被认为与人类白血病关系密切,和白血病有关的生物因素中,病毒占最重要的地位,病毒作为动物白血病的病因之一已经肯定,20世纪80年代从成人T细胞白血病的细胞系发现C型反转录病毒,即人T细胞白血病病毒Ⅰ型(HTLV-I),这是发现的第一个与人白血病及淋巴瘤有关的反转录病毒,但白血病病毒与淋巴细胞白血病之间的关系尚未获得可靠的实验结果。
上述因素不能充分解释所有病例的发病原因,尽管有许多线索,但多数病例的发病因素仍然不清楚,一般认为,白血病的发生反映了多种遗传与环境因素之间的相互作用。
3.获得性基因改变 所有ALL病例的白血病细胞都有获得性基因改变,至少2/3是非随机的,包括染色体数目和结构的变化,后者包括易位(是最常见的异常),倒位,缺失,点突变及重复,这些重排影响基因的表达,干扰正常细胞的分化,增生及存活。
 
 
疾病诊断
 
1.最多见的是ALL和AML的鉴别 除了细胞形态学和细胞化学染色外,对于诊断困难的病例还可以利用免疫分型,检测T细胞表面抗原及基因分子生物学检查进行鉴别,一些非随机的细胞遗传学异常也是ALL特征,而对于起源不同的慢性淋巴细胞白血病,幼淋巴细胞白血病及毛细胞白血病,其鉴别主要依赖不同的临床特点和细胞形态学,而对于淋巴瘤白血病期的患者在诊断时常难以与ALL区分开,但由于其在治疗上与ALL相似,故临床上一般无进行精确鉴别的必要。
2.ALL和再生障碍性贫血通过骨穿和骨髓活检绝大多数极易鉴别 但对于少见的低增生性ALL,尤其是全血细胞减少,骨髓增生不良,而原始细胞比例又较低时,其鉴别诊断较为困难,早年有学者提出,对于此类患者可考虑先用糖皮质激素治疗,如果患者在数月之内出现迅速的细胞恢复,则ALL的可能性较大,在诊断技术已臻完善的今天,这种鉴别方法似已无必要。

3.一些非造血系统的小圆细胞恶性肿瘤 当有发生骨髓侵犯时可表现出类似ALL的临床表现和实验室特征,如儿童常见的神经母细胞瘤或横纹肌肉瘤以及成人常见的尤文肉瘤或小细胞肺癌,在这些情况下如果能找到原发病,诊断并不困难,而对于那些没有原发病症的患者,则需对肿瘤细胞的免疫表型和基因重排进行检测从而为诊断提供依据。
4.有一些良性经过的感染性疾病 由于患者亦可能出现发热,淋巴结肿大,脾大,血细胞减少及外周血出现异型淋巴细胞,因而需与ALL鉴别,如传染性单核细胞增多症,该病患者以发热,浅表淋巴结肿大,外周血中出现异常淋巴细胞为主要特征,骨髓象是鉴别的重要检查,ALL患者含大量的白血病细胞,血清嗜异性凝集试验阴性,病程呈进行性恶化经过,有时传染性单核细胞增多症与ALL可共存,ALL出现关节症状,发热伴贫血时也应与类风湿关节炎或系统性红斑狼疮等鉴别。

 
发病机制
 
白血病发生通常有两种机制,一种依赖于原癌基因或者具有原癌基因特性的混合基因的激活,由此产生的蛋白产物影响细胞功能;另一个机制是一种或多种抑癌基因的失活,如p53和INK4a,编码p16和p19ARF,p53作为一种抑癌基因,使DNA受损后无法修复的细胞走向凋亡,MDM-2原癌基因是p63基因的拮抗剂,其过度表达能够阻止野生型p53的功能,在白血病中已发现有这两种基因的异常,p16和p19ARF负性调节细胞周期,减少进入S期细胞的比例,因此,不能阻止白血病细胞增殖或是能阻止其程序化死亡,则失去肿瘤抑制功能,p15和p16同源性缺失在20%~30%的B细胞前体ALL以及60%~80%的 T-ALL中能被测到,研究证实,p15/p16缺失在ALL复发时经常可以见到,提示这种缺失基因编码的蛋白在疾病发展中作用。
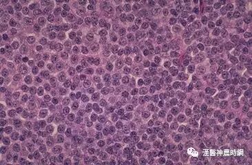
ALL的基本病理变化主要表现为白血病细胞的增生与浸润,此为白血病的特异性病理变化,除造血系统外,其他组织如肝脏,脑,睾丸,肾脏等组织亦出现明显浸润和破坏。

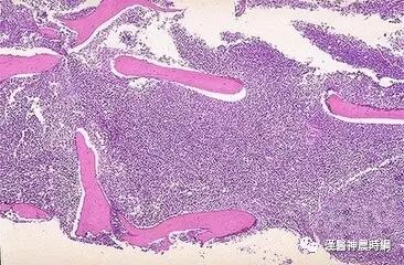
1.骨髓,淋巴结,肝,脾 是最主要的累及器官。
骨髓大多呈明显增生,白血病细胞呈弥漫性片状增生及浸润,伴不同程度的分化成熟停滞,全身骨髓均有白血病细胞增生浸润,椎骨,胸骨,盆骨及肋骨的浸润最为明显,少数患者骨髓增生低下,可伴程度不一的纤维化。
淋巴结肿大较为多见(约70%),一般为全身性或多发性的淋巴结肿大,淋巴结被累及的早期,淋巴结结构尚可辨认,白血病细胞往往仅累及淋巴结的某一区域,出现片状均一性幼稚细胞增生浸润,淋巴索增宽,窦变窄,初级滤泡或次级滤泡受挤压而萎缩,晚期淋巴结结构完全破坏。
脾脏均有不同程度肿大,镜下白髓有白血病细胞弥散浸润,可波及红髓及血窦,肝内白血病细胞主要浸润门脉区及门脉区周围,造成肝大。
扁桃体,胸腺也常被侵及,ALL胸腺受累占78.5%,其中以T-ALL最常见,被浸润的胸腺增大,临床表现为纵隔肿块,尤其儿童T-ALL时肿大较为显著。

2.神经系统 神经系统是白血病浸润的常见部位,ALL合并中枢神经系统损害较其他类型白血病多见,病理改变主要为脑膜及脑实质白血病细胞的局限性或广泛性浸润,可伴有出血,血肿,脊髓膜炎及硬膜外肿物形成的横段性脊髓炎,蛛网膜下隙受侵常见,脑实质的累及部位依次为大脑半球,基底节,脑干及小脑,病变部位白血病细胞呈弥散性或结节状浸润,浸润周围白质组织明显水肿和坏死,大约20%的中枢神经系统白血病(CNS-L)患者有脑神经麻痹,以面神经(Ⅶ)麻痹最多见,其次为外展(Ⅵ),动眼(Ⅲ),滑车(IV)神经,而脊髓及周围神经受累罕见。
3.泌尿生殖系统 ALL侵犯睾丸较为常见,特别是儿童ALL,睾丸间质中可见大量白血病细胞浸润,压迫精曲小管引起萎缩,临床表现为睾丸单侧或双侧无痛性肿大,坠胀感,白血病细胞浸润阴茎海绵体或因白血病细胞在静脉窦内淤积,栓塞,血流受阻或血栓形成时可引起阴茎持续异常勃起,ALL累及肾脏者,肾包膜下可见灰白色斑点或结节以及出血点,肾盂出血点也较常见,皮,髓质散在灰白色小结节,镜下见皮,髓质散在或灶性白血病细胞浸润,肾小球及肾小管上皮受压萎缩或变性坏死。

4.其他 肺脏为白血病常累及的脏器之一,浸润病变大多弥散,少数形成粟粒状,甚至结节状病灶,可侵及肺泡,肺小血管及间质,白血病浸润最常累及支气管旁淋巴结,可引起压迫,也可累及胸膜,呈不同程度的弥漫性浸润,出现胸腔积液;口咽部也是ALL易侵犯的部位之一,并常合并感染;白血病累及心脏以心肌浸润为主,心肌,肌束间弥漫性及灶性浸润,导致传导障碍,心力衰竭,心外膜及内膜均可累及,出现心包积液,浸润胃肠道可形成结节,溃疡,坏死及出血,以黏膜及黏膜下层为主,有时可发生黏膜剥脱和假膜形成,病变肠段可因坏死而穿孔,从贲门至直肠均可累及,侵及食管者较少,皮肤受侵典型的改变为位于血管周围,毛囊和皮脂腺的白血病细胞浸润,形成单个或多个结节,呈局灶性分布。
白血病由一个造血祖细胞或干细胞恶变而来的理由为:
①几乎所有ALL的白血病细胞均有免疫球蛋白(Ig)或T细胞受体(TCR)基因重排的克隆表达;
②同一病人的所有白血病细胞具有同样的细胞遗传学异常,6-磷酸葡萄糖脱氢酶(G-6PD)同工酶型及免疫表型;
③多数获完全缓解(CR)的病人复发时,其白血病细胞基因型及表型再现诊断时的克隆。

白血病细胞大量增殖和正常造血细胞抑制的确切机制尚未确定,但生长因子,正常和白血病细胞的生长因子受体,以及生长因子受体的反应性对二类细胞的增殖和抑制有重要作用,生长因子受体或从细胞膜传至细胞核的生长因子转录信号,均有白血病细胞表达的癌基因所编码,有人观察到白血病细胞可产生集落刺激因子(CSF),此可能和白血病细胞无限增殖有关;几种正常的CSF在体外对白血病克隆细胞均有刺激作用;周围血红细胞,血小板减少,骨髓中白血病细胞占绝对优势是急性白血病常见的血液学特征,推测由于正常造血干细胞被白血病细胞排挤所致,但部分病人骨髓增生低下,难以用白血病细胞排挤解释,认为是白血病细胞通过细胞介导或体液机制抑制正常造血细胞,后证实白血病细胞浸出物或培养基中有一种抑制性活性物质,特异性地抑制处于DNA合成期的正常祖细胞集落形成单位(CFU-C);多种淋巴细胞白血病的白血病细胞表面有大量白细胞介素-2受体(IL-2R),其可能作为封闭因子阻断IL-2与正常活化的淋巴细胞结合,影响正常淋巴细胞的活性及淋巴因子的释放,从而有利于白血病细胞的增殖。
 
并发症
 
1.发热发热是急性白血病的最常见的并发症,约半数以上患者以发热起病,当体温>38.5℃时常常是由感染引起的,其热型不一且热度不等,发热的主要原因是细菌或病毒感染;极少数患者还可发生局灶性或多部位坏死,引起高热或骨骼疼痛。

2.出血 急性白血病的整个病程中,几乎所有的患者都会有不同程度的出血,40%~70%患者起病时就有出血,有研究报道,成人ALL患者血小板在10×109/L和20×109/L的死亡率无明显差异,只有当血小板<5×109/L时,才可能发生致命性出血,严重的感染尤其是革兰氏阴性杆菌感染易诱发DIC。
3.白血病髓外并发症 由于白血病细胞可以侵犯各种组织器官,或影响各系统功能,因此可引起多种并发症,有时这些系统的并发症甚至成为患者的主要临床表现,报道中的多数系统并发症与白血病细胞有直接的关系,有些则沿不能明确其发病机制。
(1)呼吸系统并发症:成人呼吸窘迫综合征;结节病;胸腔积液;肺纤维化。
(2)循环系统并发症:心包积液,某些ALL的首发表现为心包积液,对难治性ALL或复发ALL而言,心包积液并非少见表现,心律失常;心功能衰竭;高血压等。

(3)消化系统并发症:急腹症;门脉高压;消化道出血。
(4)泌尿系统并发症:肾浸润,儿童ALL可能更易发性肾浸润;肾功能不全;睾丸白血病;可发生任何年龄的ALL,以儿童ALL最常见,8岁以下ALL占全部TL的86.6%,CLL与CML偶尔发生TL,高危ALL更易发生,TL初诊时白血胞>30×109/L是TL的危险因素。
(5)血液系统并发症:血小板减少症与DIC;血栓的形成;溶血性贫血;骨髓坏死;高白细胞状态与白细胞淤滞综合征:一般而言,AL患者外周血白细胞计数大于100×109/L或慢性外周血白细胞计数大于500×109/L称为高白细胞状态,由此引起的各种白细胞淤滞的表现称为高白细胞淤滞综合征,占15%~20%,较易发生高白细胞状态的AL类型有ALL,AML-M5,AML-M1等。

(6)内分泌与代谢并发症:糖尿病,尿崩症,病态甲状腺综合征,电解质紊乱,白血病发生TLS时,常表现为高钾血症,高磷血症及低钙血症,白血病并发的电解质紊乱亦可表现为低钾血症,高钙血症,低钾血症不及高钾血症常见,生长发育异常,儿童白血病长期接受化疗可致生长发育异常,卵巢白血病,白血病细胞浸润卵巢并不多见,主要见于ALL。
(7)神经系统并发症:颅内出血,是白血病严重患者并发症,是导致患者死亡的主要原因之一,引起颅内出血的原因有:血小板明显减少,白血病细胞浸润脑血管,DIC,体内抗凝物增加等,中枢神经系统白血病是ALL最常见的并发症,癫痫:白血病患者并发癫痫发作的原因可能有CNSL,颅内出血,颅内感染或全身严重感染,药物的副作用,部分患者未能明确原因,另外,白血病患者还可并发面神经麻痹,动眼神经麻痹,腓总神经系麻痹,脑膜炎,急性脑-脊髓炎,小脑综合征,感染中毒性脑病,脑炎等,多与白血病细胞浸润,压迫,感染,药物毒性等因素有关。

4.其他并发症 如皮肤损害,骨关节病变,视网膜出血,水肿,耳聋,急性腮腺炎等。
食補的方式

白血病的危害大家应该都比较清楚了吧,轻则重伤在床,重则危机生命。而且该病的死亡率相对来说还是比较高的,这也是该病最可怕的地方之一。现在虽然有很多治愈的案例了,但大家也不要掉以轻心,因为如果处理不好该病还有复发的可能。
  我们都知道化疗是白血病最主要的治疗方法,一般化疗对患者体内能量消耗比较大,而且后期还有可能出现一些副作用,所以患者在治疗期间身体都比较的虚弱,这时候患者急需要补充能量,可以为他们制定科学的饮食方案,也就是人们常说的食疗方法,这样才会使患者的身体尽快恢复,那怎样来进行食疗呢?下面为大家讲一下食疗的几个原则。

  关于日常营养的供应,建议患者精选高热量(每天至少6300~7560千焦耳)的高蛋白食物,例如瘦肉、禽蛋、鱼类、动物内脏和豆类及其制品等;同时每天至少300克高维生素食物,例如新鲜蔬菜水果、鲜榨果汁等。建议患者要充分补充体内水分和维持其电解质的平衡。如钠、钾、氯、钙的无机盐供应等;诸如清淡甘凉的汁、乳、粥、羹、汤类饮食都是上选,如西瓜汤、秋梨汁、番茄汁、甘蔗汁、牛奶、蜂蜜等。

  白血病患者晚期多为气血大伤,阴阳俱虚,脏腑失和,胃气衰败,饮食原则应以补气为主,但不宜大补,而宜于开胃进食,益气健运为主。如肉汤、羹粥、牛奶、参汤等流质易消化食品,尚可加用香菇、甲鱼、海参、胎盘、穿山甲、蛤士蟆油、桂圆、大枣、石榴等。制作烹调又应当考究,有益增进食欲。
  此外,还应该多吃些富含维生素的食物,注意选择含维生素A、维生素E、维生素C的食物。因为维生素A能增强免疫力,起到间接的抗癌作用;维生素E为抗氧化剂,有抑制癌细胞的作用;维生素C具有防癌的功效。帮助白血病儿童提高免疫力。

  温馨提示:因为白血病发病时间比较的短,而且比较容易恶化,所以大家一定要做好预防工作,做到早发现早治疗,此外,患者在日常生活中也要学会自我护理,可以适当的做一些运动,多去空气清新的地方走走,不仅可以缓解压力,还有助于治疗。


到顶部