越來越年輕化的多發性乳腺纖維瘤



它嚴重嗎?

多发性乳腺纤维瘤是最多见的乳腺良性肿瘤,是指乳房部有2个以上的纤维腺瘤者,其发生的比例约为15%。好发于20-39岁之间的育龄女性,因为这个年龄的女性卵巢功能旺盛,性激素也处于活动期。一般认为多发性乳腺纤维瘤的产生与雌激素的刺激有关,主要表现为乳腺的上皮组织和纤维组织会发生不同程度的增生现象。多属良性,平常患者可以没感觉,因为它不痛或仅有轻微的胀痛、钝痛,这种疼痛和大小与月经周期无关,肿块生长缓慢,表面光滑,由于瘤的外面有一层包膜,所以与周围组织的边界很清楚,而且摸上去韧性也比较好。
 
临床表现
 
     相似
乳腺纤维瘤一般单发,呈圆形或椭圆形,表面光滑,边界清楚,可以推动,与皮肤和深部组织不粘连,腋窝淋巴结也不肿大。它一般生长较缓慢,不痛或仅有轻微的胀痛、钝痛,患者平时可能没有什么感觉。由于患乳腺纤维瘤之后的疼痛和月经周期没有关系,因此很容易和乳腺增生区别开来。

 
区别
 
乳腺纤维瘤和乳腺增生的区别
 
相似处:两者均可见到乳房肿块,单发或多发,质地韧实。
 
区别:乳腺增生病的乳房肿块大多为双侧多发,肿块大小不一,呈结节状、片块状或颗粒状,质地一般较软,亦可呈硬韧,偶有单侧单发者,但多伴有经前乳房胀痛,触之亦感疼痛,且乳房肿块的大小性状可随月经而发生周期性的变化,发病年龄以中青年为多;乳腺纤维腺瘤的乳房肿块大多为单侧单发,肿块多为圆形或卵圆形,边界清楚,活动度大,质地一般韧实,亦有多发者,但一般无乳房胀痛,或仅有轻度经期乳房不适感,无触痛,乳房肿块的大小性状不因月经周期而发生变化,患者年龄多在30岁以下,以20~25岁最多见。

 
此外,在乳房的钼靶X 线片上,乳腺纤维腺瘤常表现为圆形或卵圆形密度均匀的阴影及其特有的环形透明晕,亦可作为鉴别诊断的一个重要依据。乳腺增生病患者若临床表现不典型或没有明显的经前乳房胀痛,仅表现为乳房肿块者,特别是单侧单个、质硬的肿块,应与乳腺纤维腺瘤及乳腺癌相鉴别。
 
检查诊断
 
①红外线扫描,主要利用人体不同结构的软组织对红外线的吸收率不同而进行诊断的。有一定的准确性,其优点是价格低廉,对人体毫无损伤。
 
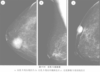
②钼靶X光照片,对于诊断乳腺纤维瘤是很有帮助的,但只有少数有条件的大医院才有,检查费也比较高,其中还包含有阅片医生水平高低的因素;

 
③超声波检查,对于判断囊性肿块以及肿块的定位测量是再好不过了。除此以外,对于判断乳腺纤维瘤的良恶性也是十分困难的。
 
④体检:医生的体检对于判断乳腺纤维瘤的良恶性是极其重要的。但判断的准确与否则有赖于医生的经验。如果一个医生接触这类疾病的时间较长,而且他还善于总结经验。那么在检查完病人后,在他的头脑里就回有个十之七八的底细,如果体征典型,甚至无须借助任何检查,他也可以作出确切的诊断,包括有时仪器检查没有他的手感检查准确的情况也经常碰到。而医生的这种感觉往往是只可会意,难以言传。不过如果你找到了个不在行的医生,有时尽管他在别的方面很有名,那情况就会大不一样。所以您一定要找正规渠道的专科医生。

 
⑤穿刺,就是将细针插入肿块中,抽出少量组织,作细胞学检查。这是一种很好很直接的检查,不仅价格低廉,而且常常是十分准确的,有条件的医院还可以结合B超、X光定位进行穿刺。
 
通常确诊乳腺纤维瘤,医生会通过触诊,根据乳腺纤维瘤症状来下一个初步的结论,然后会辅助一些仪器检查来进一步证实。
 
病因

       形成
乳腺的上皮组织和纤维组织在雌激素的刺激下,会发生不同程度的增生,从而形成乳腺纤维瘤。它可能出现在青春期后的任何年龄,但由于18-25岁女性的卵巢功能旺盛,雌激素水平也处于高峰,因此以这个年龄段最为常见。
 
关系
多发性乳腺纤维瘤的病因从临床上来看与以下几个方面有很大的关系:
 
1、内分泌因素:多发性乳腺纤维瘤与生殖或是内分泌因素有一定的关系,以下人群发生多发性乳腺纤维瘤是正常人群的1.3-3倍,如月经初潮年龄小于12岁或绝经年龄大于55岁者;绝经后雌激素水平高或采用雌激素替代治疗;第一胎的生育年龄大于35岁,或未生育、产后未哺乳;月经周期短,这说明雌激素作用时间长。

 
2、先天性因素,即乳腺小叶内纤维细胞对雌激素的敏感性异常增高,可能是这些纤维细胞所含的雌激素受体的数量较多所致。
 
3、另外一般认为多发性乳腺纤维瘤的产生与雌激素的刺激有关,由于一部分人的乳腺组织对雌激素比较敏感,所以受雌激素的刺激,乳腺的上皮组织和纤维组织会发生不同程度的增生。
 
4、基因遗传:第一代亲属中(母亲、姐妹等)中,如果有多发性乳腺纤维瘤疾病,这个家族就有可能会是发病高危人群,现在发现,如果病人血液或组织中含有BRCA-1基因,同时她子女中如果也能查到BRCA-1基因,那么她的子女就处于比较高危险的状态,但这也并不意味着此病具有遗传性。
 
乳房纤维瘤的类别

 
(1)普通型纤维腺瘤:此型最多见,瘤体小,生长缓慢,一般在3CM以下。
 
(2)青春型纤维腺瘤:大多发生在月经初潮期,临床较少见,特点为生长较快,瘤体较大,病程约在1年左右可占满全乳房,肿块最大径为1-13CM。
 
(3)巨纤维腺瘤:中年妇女多见,可见于妊娠、哺乳、闭经前后妇女,特点是生长较大,可达10CM以上或更大,偶可有肉瘤变。
 
多发性乳腺纤维腺瘤的处理

 
多发性乳腺纤维腺瘤是指乳房部有2个以上的纤维腺瘤者,其发生的比例约为15%。因为多发的乳腺纤维腺瘤可相互临近而彼此融合,亦可散布于一侧或两侧的多个部位,故手术全部切除有一定的困难。所以对于那些腺瘤体积不太大的多发腺瘤,临床可予中药治疗,疏肝解郁,化痰散结,可以使腺瘤体积有所缩小,并抑制其继续生长;对于其中那些体积较大,超过2cm的腺瘤,则可考虑将其切除,切除时如果附近尚有1cm左右的纤维腺瘤亦可一并切除,而距离较远且腺瘤体积较小者,则可以继续对其进行观察。
 
由于多发性乳腺纤维腺瘤切除后,有些仍可于原部位再发,或于其他部位继续有新发的纤维腺瘤出现,因此,建议在腺瘤手术切除后,即服用一段时间的中药,以防止其再发。
 
治疗

乳腺纤维瘤治疗措施,有二种:
 
一,是手术,治愈快、但复发率极高;二是中医药,也可以治愈、不易复发,但疗程偏长,一般三个月为一个疗程
 
西医:外科手术是唯一的方法,乳房纤维腺瘤虽属良性,但有恶变可能,故一旦发现,应予手术切除。手术可在局麻下施行。显露肿瘤后,连同其包膜整块切除。切下的肿块必须常规地进行病理检查,排除恶性病变的可能
 
疗效评价:治愈,肿瘤切除,切口愈合;但其它部位可以再次出现,复发率较高。

 
二、 中医方面:辨病与辩证相结合治疗 乳房纤维瘤属于中医“乳癖”的范畴。其发病多由冲任不调,肝气郁结,脾运失健,痰瘀凝聚所致。通过中医药辨病与辩证相结合的原则,疗效显著,不易复发,河南中医离退休专家医院研制的“五联整合消肿化瘤疗法”,本疗法是依据现代高科技术结合祖国传统医学,经过数年科研攻关,最终研制创立了最新一代治疗乳腺增生,乳腺纤维瘤的特效纯原生天然的五联整合消肿、化瘤法。此方法合剂对各种乳腺病治愈有了重大突破。同时本病的发病与情绪有一定关系。
 
疗效标准:治疗本病一般以3个月为一个疗程,其疗效判定分为以下四级:
1痊愈:乳房疼痛及肿块完全消失。
2显效:经前、生气及劳累后,乳房疼痛的程度较治疗前明显减轻,肿块体积缩小一半以上,有轻微压痛。
3有效:经前、生气及劳累后,乳房疼痛减轻,肿块质地变软,体积缩小不足一半。
4无效:治疗后,症状与体征未能改善,甚或加重。

 
在西医方面:没有针对性的西药对乳腺纤维瘤有作用,西医手术是治疗这种乳腺纤维瘤唯一行之有效的方法。但基于乳房对于女性的重要意义,因此除非必要,绝不要轻易动刀,以免留下身体的瑕疵,这时有经验的医生的建议将显得极其重要。
 
当然,对其置之不理也是非常错误的,年轻的乳腺纤维瘤患者必须高度警惕,每半年到医院做一次检查,以防止病情恶化,等到年纪稍长,再做手术。乳腺纤维瘤饮食

 
多发性乳腺纤维瘤饮食
广大多发性乳腺纤维瘤患者,一定要注意饮食,必须依赖食物中的各种营养元素,改善多发性乳腺纤维瘤患者的营养是多发性乳腺纤维瘤治疗中很重要的措施,合理调配多发性乳腺纤维瘤患者的饮食,可以提高身体抵抗力,对多发性乳腺纤维瘤的康复十分有利,乳腺纤维瘤术后饮食调配,应遵循以下几个原则:
 
1、饮食应高蛋白低脂肪:乳腺纤维瘤的女性应多食高蛋白低脂肪的饮食,如奶制品、鱼类、豆类、鸡蛋等,高蛋白可以多补充体氨基酸,增加患者的营养和抵抗力,低脂饮食是为了避免脂肪摄入过多,堆积在乳房,加重乳房的负担,加重病情,要少吃油腻食品、如过多的肥肉、猪油等。  

 
2、熟悉性味归属,强调辨证施食 多发性乳腺纤维瘤患者,可给予益气养血、理气散结之品,巩固疗效,以利康复。如山药粉、菠菜、丝瓜、海带、山楂、玫瑰花等。 
 
3、多发性乳腺纤维瘤要合理忌口 多发性乳腺纤维瘤患者忌食生葱蒜、母猪肉、南瓜、醇酒以及辛温、煎炒、油腻、荤腥 厚味、陈腐、发霉等助火生痰有碍脾运的食物。
 
4、多食含维生素丰富的食品:患病者应该多补充维生素,新鲜的水果蔬菜里面就含有丰富的维生素,胡萝卜、青菜、芹菜、苹果、猕猴桃、椰子等。

 
5、少吃含雌激素多的食品:多发性乳腺纤维瘤的发病与雌激素密切相关,所以饮食应该避免含有雌激素的食品,否则会加重病情。
 
多发性乳腺纤维瘤预防
第一,随时保持挺胸收腹的良好姿势。女性的背部与乳房健康密切相关。走路时要使背部平直,乳房自然挺起,坐立时也应挺胸抬头。
 
第二,少吃烧烤类食品和油炸食品。黄平副院长建议,无论是预防还是治疗乳腺疾病,都可以选择以下食物:螃蟹,蟹肉可清热散血、补骨髓、滋肝阴、充胃液、养筋活血,蟹壳和蟹爪还可以破血消积,治疗乳痛硬块;海藻类食品,如海带、紫菜、裙带菜等,能有效调节人体内的酸碱平衡;菜花、卷心菜、大白菜等十字花科蔬菜有很好的预防肿瘤的效果;黄豆及其制品、酸奶制品等。

 
此外,鱼蛋白、维生素A、维生素D等也有保护乳腺、预防乳腺癌的作用。
 
第三,少穿束胸或紧身衣,合理使用文胸。型号合适的文胸对乳房健康很重要,最好能选用柔软、透气、吸水性强的棉制文胸。平时要注意文胸的清洁,睡觉时一定要摘掉文胸。
 
第四,慎用丰胸产品。日常生活中适量吃些鱼、肉和乳制品,能增加少量脂肪,保持乳房的丰满。

 
第五,洗澡时避免用热水刺激乳房,更不要在热水中长时间浸泡,洗澡时的水温以27℃左右为宜。规律的性生活能促进乳房的血液循环、性激素分泌的增加,有利于女性乳房的健康。
 
第六,保持适量的运动。运动不仅有助于乳房健美,还能降低乳腺疾病的发病率。一周做4小时运动与不做运动相比,得乳腺癌的几率会降低60%。

 
第七,每月必做乳房自检,每年必做专业检查。女性每次月经后的7天到10天是自我检查的最佳时期,如果发现自己的乳房有肿块、乳房局部或乳头凹陷、腋窝淋巴结肿大时,一定要及时就诊。每年体检时,应做女性专项检查,乳房B超、乳房X线检查及妇科检查等,能及时发现乳腺疾病的早期病灶。
 
第八,保持心情愉快、舒畅,保证睡眠的充足。中医认为,音乐具有通达血脉、振奋精神、防治乳腺疾病的作用。


到顶部