70岁后为什么会“断崖式”衰老?做好5件事,让衰老来得慢一点




点击“名片”关注重庆焦点,享受健康人生!
老李头,今年69了,身子骨一直挺硬朗。他总跟邻居们说:“我这身体,再活个几十年没问题!”
退休后的他,生活特别规律,每天雷打不动地去公园遛弯、打太极。

可是,有天下午,老李突然就觉得眼前一黑,整个人就瘫坐在了地上。
旁边的老伴儿吓得魂飞魄散,连声呼救。幸好公园里人多,大家七手八脚地帮忙,及时把老李送到了医院。
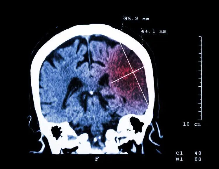
医生检查后说,老李是轻微脑梗,幸好送得及时,不然后果不堪设想。
老李躺在病床上,心里那个后怕啊,他想:“难道70岁真的是个坎儿?我怎么就这么倒下了呢?”

其实,70岁被称作“寿命坎”,也不是没道理的。人年纪大了,身体机能总会下降,各种毛病也就找上门来了。
但关键是要保持乐观的心态,定期体检,这样才能跨过那道“坎”,活得更长久。 

01
为啥有些老年人过了70岁,没过几年就去世了?
在人类的寿命中,70岁往往被认为是一个重要的节点。虽然一些人可以长寿百岁,但也有一部分老年人在度过70岁后不久便离世。这种现象背后有多重因素影响着老年人的健康与寿命。

首先,随着年龄增长,人体免疫系统的功能逐渐下降,免疫力降低成为老年人容易感染疾病的主要原因之一。
免疫器官功能的逐渐衰退导致免疫细胞数量减少,使得身体更容易受到细菌和病毒的侵袭,增加了感染疾病的风险。
此外,慢性病的高发也是导致老年人健康状况恶化的重要原因。数据显示,60岁以上的人群中,患有高血压和糖尿病等慢性病的比例较高,而这些慢性病也增加了老年人早逝的可能性。
另外,心理健康对老年人的生命也有着不可忽视的影响。老年人普遍存在着更多的抑郁和焦虑等心理问题,这些负面情绪会加速身体的衰老过程,使人体更容易受到各种疾病的侵袭。

长期处于不良情绪下的老年人,免疫系统功能易受损,进一步加重了患病的风险。
此外,老年人身体各个部位的衰老也会影响其健康和寿命。随着年龄增长,头部皮肤松弛、腰臀部赘肉增多、腿部关节疼痛等问题会逐渐显现,这些变化都会降低老年人的生活质量,并增加患病的风险。
02
身体4个部位出现变化,可能是衰老来临了
随着年龄的增长,人体各个部位会经历一系列的变化,这些变化往往是衰老的表现之一,提醒着我们身体的老化过程。以下是一些常见的身体部位变化,可能意味着衰老正在逼近:

01头部的变化
随着年龄的增加,面部皮肤会逐渐松弛,出现皱纹和色斑。额头可能会变得更宽,而头发也会逐渐脱落,甚至出现明显的脱发。
这些头部变化反映了皮肤和毛发的老化,是衰老的常见表现之一。
02腰臀部的变化
随着年龄的增长,臀部会逐渐下垂并外扩,腰腹部的赘肉也会逐渐增多。
这些变化部分是由于脂肪分布的改变,而部分则是由于肌肉的流失和韧带的松弛。
此外,随着年龄的增长,胃肠道的蠕动速度也会减慢,容易导致腹胀和便秘等消化问题。

03腿部的变化
随着年龄的增长,关节软骨会逐渐磨损,导致关节疼痛和僵硬。一些老年人可能会出现关节中间的骨刺,进一步加重了关节问题。
这些腿部变化会影响老年人的行走能力和生活质量。
04脚部的变化
随着年龄增长,足底肌肉和韧带会发生退行性改变,导致足弓塌陷和足部弹性丧失。
老年人可能会感觉到脚部变得宽大而长,穿着鞋子时也会感觉不适。

03
延缓衰老,教你5个妙招
衰老是生命的自然过程,但我们可以通过一些有效的方法来延缓衰老的速度,提高生活质量,享受更长久的健康寿命。以下是五个妙招:
01注意营养
饮食要以清淡为主,少吃高热量、高脂肪的食物,多摄入优质蛋白,如牛羊肉、鱼虾和蛋奶类食物。
此外,多食用富含膳食纤维的新鲜水果和蔬菜,保持饮食均衡,有助于减少肌肉流失和预防便秘等消化问题。

02坚持适量的锻炼
中老年人可以选择慢跑、快走、游泳、太极等适合自己的锻炼方式。但要注意,锻炼的关键是适量,不可过量运动。
每次运动时间控制在30-40分钟左右,并且需要长期坚持,才能达到最好的效果。
03心态的调整
研究表明,不良情绪会加速衰老过程,长期处于焦虑、愤怒和悲伤等负面情绪下,容易导致免疫系统功能失调,增加患病的风险。
因此,我们应该注意管理好自己的情绪,积极面对生活,多培养兴趣爱好,保持乐观的心态。

04养成良好的生活习惯
例如,戒烟戒酒、保持良好的睡眠习惯、适度晒太阳以补充维生素D等。这些习惯有助于保持身体健康和延缓衰老的速度。
05定期体检
体检可以帮助及时发现身体存在的异常情况,并进行干预治疗,有助于预防严重疾病的发生。
建议每年进行一次常规体检,根据个人情况可以增加一些特定的检查项目,如肿瘤筛查、心血管检查等。
图片来源:部分图片来源网络,版权归原作者所有,不为商业用途,如有侵权,敬请作者与我们联系。文章为作者独立观点,不代表重庆焦点立场。 
到顶部