线粒体动力学在神经发生过程中起着至关重要的作用


线粒体动力学涉及线粒体的形成、分裂、融合、运输以及自噬等过程,这些过程对于维持线粒体网络的稳定性和功能完整性至关重要。在神经发生中,线粒体动力学对神经干细胞的增殖、分化、迁移以及神经元的存活和功能都有重要影响。
线粒体是神经干细胞和神经元的主要能量来源,通过氧化磷酸化过程,线粒体产生ATP,为神经细胞的代谢活动提供能量。在神经发生过程中,神经干细胞需要不断增殖和分化,这些过程都需要大量的能量支持。线粒体动力学的正常调节可以确保线粒体网络的稳定性和功能完整性,为神经发生提供充足的能量。
线粒体在神经干细胞中的分布和数量变化会影响神经干细胞的增殖和分化。例如,线粒体融合可以促进神经干细胞中的线粒体内容物交换,增强线粒体功能,从而有利于神经干细胞的增殖。相反,线粒体分裂可以产生更多的线粒体,有助于神经干细胞的分化。因此,线粒体动力学的平衡对于神经干细胞的增殖和分化至关重要。
此外,线粒体动力学还影响神经元的迁移和存活。在神经元迁移过程中,线粒体沿着轴突运输,为神经元提供能量和代谢支持。线粒体动力学的正常调节可以确保线粒体在神经元迁移过程中的正常运输和分布,从而有利于神经元的迁移。同时,线粒体自噬可以清除受损的线粒体,减少神经元的氧化应激和细胞死亡,从而有利于神经元的存活和功能维持。
相关研究:
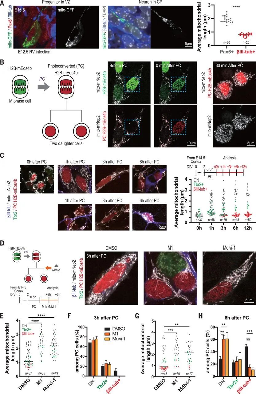
研究人员通过转导 mito-GFP(与 COX8A 线粒体靶向序列融合的绿色荧光蛋白)标记放射状胶质细胞 (RGC)(小鼠胚胎皮层的 NSC)中的线粒体。Pax6 + RGC 显示融合线粒体,T-box 脑蛋白 2 (Tbr2) +中间神经祖细胞显示中间线粒体大小(如图)。

早期出生的βIII-微管蛋白(βIII-tub)+神经元线粒体高度破碎(图1A)和图。S1A),通过针对线粒体外膜 20 (TOMM20) 内源性转位酶的免疫染色证实了这一点(图 S1C)。线粒体在几天内保持碎片状态,然后逐渐融合为更成熟的神经元(图 S1B)。
参考文献:https://www.science.org/doi/10.1126/science.aba9760
到顶部