脊柱术后脑脊液漏剧烈头痛,警惕发生颅内硬膜下血肿


KEYPOINT
1. 对术后颅内硬膜下血肿(SDH)及时诊断至关重要,治疗不及时可能会造成严重后果;
2. 一般来说,任何存在脑膜损伤的患者,如头痛持续超过5天、严重或仰卧位头痛,或出现神经系统变化(精神状态改变、运动/感觉检查异常等),都应怀疑颅内硬膜下血肿,并行颅脑检查明确诊断;
3. 症状严重者给予给予开颅或钻孔引流治疗。




 脊柱外科手术中,硬膜切开/撕裂是导致脑脊液漏最常见的并发症之一。在大多数情况下,症状不需干预即可自行缓解。然而,颅内低血压也与急性颅内硬膜下血肿(SDH)的发展有关,可能是由于颅内压快速下降后牵引静脉结构所致。目前文献报道仅有22例。虽然术后SDH的预后一般是良性的,但也有一些病例导致了严重的患者后果,包括死亡,下面我们通过文献一起来了解一下其发生原因及治疗。   

1
发生原因
    脑脊液过度引流导致颅内压下降,并伴有脑组织移位,从而对硬脑膜、血管和硬脑膜窦等疼痛敏感结构施加压力,反射性血管扩张可能加重硬脑膜下出血的易感性,使患者易于发生自发性硬脑膜下血肿(SDH)。
2
危险因素
    硬膜撕裂切开/撕裂,多次脊柱翻修手术,使用筋膜下引流管,磺达肝癸钠/阿司匹林的使用。有头部外伤、脑萎缩、动静脉畸形、出血性疾病、脑动脉瘤、脑膜瘤病史的患者。
3
发生时间及表现
文献回顾22例脊柱术后SDH患者,45.4%(10/22)行发生硬膜切开/撕裂。从手术到术后诊断SDH的平均时间为9.9天,患者的平均年龄为56.4岁(25-82岁)。
脊柱术后大量的脑脊液被引流(大约250毫升/天)就会发生低颅压性头痛,通常是良性的,80%在5天内消退。其中10%的颅内低压患者发生硬膜下血肿。
头痛持续超过5天、严重或仰卧位头痛,或出现神经系统变化(精神状态改变、运动/感觉检查异常等),都应怀疑颅内硬膜下血肿,并行颅脑检查明确诊断。
4
治疗
22例脊柱术后SDH患者,有40.9%是给予开颅或钻孔引流治疗。大部分患者症状完全恢复或仅有少量残留缺损,1例发生死亡。
3
典型病例
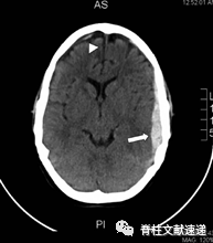
病例一:


图注:40岁女性,既往多次腰椎手术史,再行翻修手术中发现发现硬膜缺损并给予修复。术后三周,病人出现进行性头痛。腰椎磁共振成像显示术区积液。再次手术探查,但未见渗漏。患者头痛持续,术后24小时进行CT扫描,显示右侧硬脑膜下血肿(SDH),中线移位。病人接受紧急颅骨切开引流减压。随访CT显示SDH恢复良好。
病例二:

图注:55岁女性,腰椎翻修手术硬膜撕裂,术后第7天出现神经系统变化(神志错乱、失语等)。头颅CT示左侧额叶、顶叶、颞叶有硬膜下血肿,中线移位。患者被紧急送至手术室进行硬膜下血肿的清除。手术后失语症完全消失,头颅CT显示左侧血肿完全清除。
审稿:王庆德
供稿:张振辉
编辑:张振辉
参考文献
1.WawroseRichardA,DombrowskiMalcolmE,CrastoJaredAetal.ChronicSubduralHematomaasaComplicationofCerebrospinalFluidLeakDuringRevisionLumbarSpineSurgery:ACaseReportandReviewoftheLiterature.[J].HSSJ,2020,16:482-484.
2.DickermanRobD,MorganJonathan,AcuteintracranialsubduralhematomafollowingalumbarCSFleakcausedbyspinesurgery.[J].Spine(PhilaPa1976),2006,31:1513-4.
往期精彩回顾
1.假性脊膜膨出---脑脊液漏罕见并发症
2.“十步法”处理脑脊液漏
3.脊柱术后脑脊液漏的对策--他山之石,可以攻玉
4.强直性脊柱炎后凸畸形的分型和手术策略
5.下颈椎螺钉置入技巧
作者简介

张振辉,郑州市骨科医院脊柱一科主治医师,毕业于天津医科大学;熟练诊治脊柱外科常见疾病;参与完成国家自然科学基金青年项目一项,荣获郑州市科技进步二等奖,发表论著10余篇,SCI收录3篇。

到顶部