手术时是否一并处理无症状腰椎间盘突出?


KEYPOINT
1. 无症状腰椎间盘突出的分级;
2. 无症状腰椎间盘突出的分级与再手术率的关系;
3. 手术时遇到无症状腰椎间盘突出的处理策略。



 无症状的腰椎间盘突出在普通人群很常见。在MRI上存在椎间盘突出的人群中,约27%-67%的人们没有明显症状。那么,当患者诊断腰椎间盘突出症,保守治疗无效,拟行手术治疗时,若相邻节段存在无症状的腰椎间盘突出,作为主刀医生,你会如何选择?让我们通过学习2021年 SPINE J上的这篇回顾性分析,加深理解,以便做出更好的选择。
1
患者资料
 无症状椎间盘突出被定义为MRI上发现邻近腰椎间盘突出,且符合以下情况之一:a)突出的间盘没有压迫神经根或硬膜囊;b)症状、体征与该椎间盘突出无关;c)症状在该椎间盘突出的对侧;d)通过神经阻滞区分出无症状性腰椎间盘突出。 
  2012年1月至2018年7月,仅对有症状节段进行手术治疗的371名腰椎间盘突出症患者,均存在无症状腰椎间盘突出。107例患者接受髓核摘除术(经皮内镜),随访时间为41.1±17.5个月;264例接受腰椎融合术(TLIF),随访时间为48.2±24.2个月。

2
无症状椎间盘突出的分级
0级:椎间盘与神经根(nG0)或硬膜囊(dG0)之间存在空间;
1级:椎间盘与神经根接触但未受压(nG1),或硬膜囊受压<椎管的1/3(dG1);
2级:神经根受压移位(nG2),或硬膜囊受压>1/3而<1/2(dG2)。
3级:神经根受压且和椎间盘组织不易区分(nG3),或硬膜囊受压>1/2(dG3)。




3
临床结果
1、无症状椎间盘突出与再手术率的关系
  平均随访3年多,共25名(25/371,6.7%)患者因原来无症状椎间盘突出演变为有症状椎间盘突出症而接受二次手术(非原手术节段出现问题导致的二次手术),如下表所示,随着分级由G1到G2,二次手术率发生了显著增加。

2、手术方式、融合节段和头尾端与再手术率的关系
  融合手术后无症状椎间盘突出导致的再手术略高。两节段融合术后无症状突出的再手术率明显高于单节段融合。无症状突出位于融合手术的头端或尾端对再手术率似乎差别不大。

3、无症状突出类型与髓核摘除术
  行髓核摘除术时,若无症状椎间盘突出为G2程度的神经根受压,再手术率较高;若为G2程度的硬膜囊受压,再手术率无明显提高。这对初次手术时髓核摘除术减压节段的选择提供了一定参考。

4、手术节段与再手术率
  下表显示了因为原手术节段导致的再手术。融合手术原因为感染、减压不足、螺钉问题和不融合;髓核摘除为原手术节段复发、减压不足和感染。加上邻近节段无症状椎间盘突出引起的再手术率,3年多随访期间的总再手术率为:融合手术40/264,15.2%;髓核摘除手术14/107,13.1%。

5、文中病例
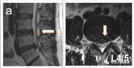
病例一:L5/S1椎间盘突出症,L4/5无症状椎间盘突出,行L5/S1固定融合术,3年后出现L4/5椎间盘突出症,行手术治疗,如下图,a为术前,b为术后。


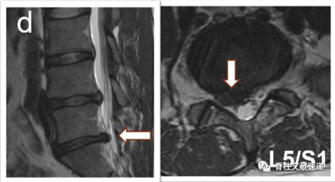
病例二:L4/5椎间盘突出症,L5/S1无症状椎间盘突出,行L4/5髓核摘除术,术后3月,L5/S1椎间盘突出,行手术治疗,如下图,c为术前,d为术后。


  总之,G0和G1程度的无症状椎间盘突出,在手术时无需一并处理;G2程度的硬膜囊受压,在行髓核摘除术时无需一并处理。其他情况时需要主刀医师和患者充分沟通后选择,倾向一并处理以免短期再次引起症状。
  当然,无症状椎间盘突出和无椎间盘突出的节段均有可能进展为症状性椎间盘突出症,这与自然病程、生活习惯、手术因素、家族遗传均可能有关,需术前与患者充分沟通,理解万岁。
审稿:王庆德
供稿:毛克政
编辑:张振辉
参考文献
Wu X, Ma Y, Ding R, Xiao X, Yang D. Shouldadjacent asymptomatic lumbar disc herniation be simultaneously rectified? Aretrospective cohort study of 371 cases that received an open fusion orendoscopic discectomy only on symptomatic segments. Spine J. 2021Mar;21(3):411-417. doi: 10.1016/j.spinee.2020.09.003. Epub 2020 Sep 16. PMID:32947038.
往期精彩回顾
1. 高位腰椎间盘突出症的临床表现
2. 腰椎重要节段血管解剖文献回顾
3. 腰椎神经根阻滞的效果能持续多久?
4. 腰椎神经根变异
5. 青少年腰椎间盘突出症
作者简介

毛克政,河南省人民医院脊柱脊髓外科主治医师,专注于脊柱疾病的诊断和治疗。
温馨提示
您可以微信留言想要了解的一些主题内容,同时也可以按照文章格式投稿交流(邮箱:spine_express@163.com),期待您的积极参与!

到顶部