骶骨衰竭骨折


KEYPOINT
1. 骶骨衰竭骨折的发生率、风险因素和临床表现;
2. 骶骨衰竭骨折的保守治疗和骶骨成形术。



   骶骨衰竭骨折/骶骨不全骨折(Sacral insufficiency fractures)是不少见但常被漏诊的脊柱骨质疏松性骨折。下面通过几篇文献来了解其临床表现、保守治疗和经皮骶骨成形术的治疗效果。

1
发生率 
    早期研究报道的骶骨衰竭骨折的发生率为1-1.8%,近期的一项研究调查了250 名到急诊科就诊并CT成像的疑似骨盆损伤患者。在被诊断患有骨盆骨折的 46 名患者中,11 名患者 (4.4%) 被发现患有骶骨衰竭骨折。多见于平均年龄 70-75 岁的患者。下图中1区为骶骨衰竭骨折常见区域。

2
风险因素
    与骶骨衰竭骨折相关的危险因素包括骨质疏松症、类固醇引起的骨质减少、绝经后、盆腔放疗和类风湿性关节炎。
3
临床表现
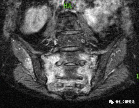
    局部疼痛常见,压痛叩击痛常阳性,部分患者存在体位变化时疼痛,与骨质疏松性胸腰椎骨折相似。骶骨衰竭骨折常见于骶骨翼。X线和CT不易诊断,MRI和骨扫描是推荐的影像学检查,敏感度接近100%。成像特点和骨质疏松性胸腰椎压缩骨折类似,MRI T1低信号,T2和脂肪抑制像呈片状高信号。如下图所示,骶骨MRI显示双侧骶骨翼冠状图像上信号增加,表明双侧骶骨翼骨折引起明显的骶骨水肿。

如下图所示,SPECT骨扫描显示双侧骶骨和 T11、L2 和 L3 椎体的摄取增加,提示骨折。

4
保守治疗
    骶骨衰竭骨折的保守治疗和骨质疏松性胸腰椎压缩骨折相同:卧床休息、镇痛药物、抗骨质疏松治疗、预防并发症等。并发症也相似:下肢血栓形成、肺栓塞、坠积性肺炎、肌肉力量下降、心功能下降、褥疮等。
5
骶骨成形术
    椎体成形术已在国内外广泛应用于骨质疏松性胸腰椎压缩性骨折。英文文献中有一些骶骨成形术相关报道,国内骶骨成形术应用非常少。文献中总体认为可以很好的改善症状,更早的下地活动,减少镇痛药物应用,避免卧床并发症。
    骶骨成形术手术操作:透视下将13G穿刺针置入骶后孔和骶髂关节中间的骶骨翼,与骶髂关节成45度,侧位上位于骶骨正中,一侧可以置入2-3根穿刺针,以保证骨水泥分布均匀,注入骨水泥时正位片上观察,避免骨水泥向内侧延伸,如下图所示。手术操作较胸腰椎椎体成形容易。

    文献中描述了两例骶骨成形术相关骨水泥渗入神经孔的病例,如下图。有一过性 S1 神经炎,在经椎间孔硬膜外注射类固醇后消退。

   总之,骶骨衰竭骨折容易漏诊,当中老年患者存在体位变换时疼痛,而胸腰椎未见明显骨松骨折时,应考虑骶骨衰竭骨折。骶骨MRI和骨扫描有助于确诊。保守治疗可使部分患者症状缓解。保守治疗无效时,可考虑骶骨成形术。
审稿:王庆德
供稿:毛克政
责编:张振辉
参考文献
1. Frey ME, Depalma MJ, Cifu DX, Bhagia SM, Carne W, Daitch JS. Percutaneous sacroplasty for osteoporotic sacral insufficiency fractures: a prospective, multicenter, observational pilot study. Spine J. 2008 Mar-Apr;8(2):367-73. doi: 10.1016/j.spinee.2007.05.011. Epub 2007 Jul 20. PMID: 17981097.
2. Urits I, Orhurhu V, Callan J, Maganty NV, Pousti S, Simopoulos T, Yazdi C, Kaye RJ, Eng LK, Kaye AD, Manchikanti L, Viswanath O. Sacral Insufficiency Fractures: a Review of Risk Factors, Clinical Presentation, and Management. Curr Pain Headache Rep. 2020 Feb 17;24(3):10. doi: 10.1007/s11916-020-0848-z. PMID: 32067155.
3. Lyders EM, Whitlow CT, Baker MD, Morris PP. Imaging and treatment of sacral insufficiency fractures. AJNR Am J Neuroradiol. 2010 Feb;31(2):201-10. doi: 10.3174/ajnr.A1666. Epub 2009 Sep 17. PMID: 19762463; PMCID: PMC7964142.
往期精彩回顾
1.下颈椎螺钉置入技巧
2.颈椎椎管扩大成形术:手术技术和并发症
3.腰骶移行椎(LSTV)表现及分型
4.如何快速找到wiltse入路/ wiltse入路肌间隙
5.PVP/PKP术后残留腰背痛原因分析
作者简介

毛克政,河南省人民医院脊柱脊髓外科主治医师。毕业于解放军医学院301医院。专注于脊柱疾病的诊断和治疗。

到顶部