OLIF手术及cage选择【上】


KEYPOINT
1. OLIF术中并发症腹部血管损伤、终板损伤、cage内嵌和椎体骨折。术后并发症有cage沉降或移位、一过性腰大肌无力、左大腿前部疼痛麻木、交感链损伤、一过性股四头肌无力、左下腹痛、不完全性肠梗阻、对侧神经根损伤;
2. 对于骨密度T值小于-1.0的患者,双侧经椎弓根螺钉固定可以帮助避免cage下沉; 
3. 术前应常规行影像学检查观测手术窗,对实际手术窗小于1cm者应谨慎使用 OLIF术式;
4. OLIF可明显改善脊柱矢状位曲度,手术节段平均矫正角3.8°。为更好的矫正前凸和避免终板损伤,cage最佳位置是第二区,cage高度10毫米(Ⅰ区终板最容易损伤,12毫米高度的cage与大多数损伤显著相关)。


   2012年,Silvestre报道了一种新的微创技术,称为斜外侧腰椎椎间融合术(OLIF)。该技术利用主动脉/下腔静脉(IVC)和腰大肌之间的解剖间隙进入椎间盘间隙。OLIF需要植入一个更大的cage,间接扩大椎管和椎间孔,恢复腰椎在冠状面和矢状面序列及稳定性。

1
OLIF发展与应用

OLIF手术:患者右侧卧位,左腹斜切口通过外斜肌、内斜肌和腹横肌的肌间隙进入腹膜后间隙。在腹主动脉和腰大肌之间放置一条工作通道,在通道中进行腰椎间盘切除和椎间融合。与传统的后路入路不同,在OLIF中不会被破坏椎板、椎旁肌和小关节。与传统的后路手术相比,OLIF具有损伤小、出血少、神经损伤率低、恢复快等优点。
适应症: 主要包括椎间盘源性腰痛、腰椎退行性脊柱侧凸、I-II型腰椎滑脱、腰椎不稳定、腰椎结核、腰椎翻修和轻度到中度椎管狭窄。在手术准备过程中,终板很容易受损,引起医源性下沉,这与患者的骨骼质量有关。因此,对于骨质疏松症患者。文献表明,对于骨密度T值小于-1.0的患者,双侧经椎弓根螺钉固定可以帮助避免植入物下沉。
并发症: 根据解剖和手术步骤,将并发症分为两部分,包括术中并发症和术后并发症。前者包括腹部血管损伤、终板损伤、cage内嵌和椎体骨折。术后并发症有cage沉降或移位、一过性腰大肌无力、左大腿前部疼痛麻木、交感链损伤、一过性股四头肌无力、左下腹痛、不完全性肠梗阻、对侧神经根损伤。

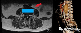
图示:(A)箭头表示到手术入路间隙,矩形表示cage的位置。MRI横截面决定了是否适合进行OLIF手术。(B) CTA检查是否有异常的血管畸形,降低血管损伤的发生率。

图示:(A) - (C)术前定位和目标水平确认。(D)手术野的暴露。(E)、(F)术后图像所示。
2
OLIF影像解剖学研究 

  为了为斜角型腰椎间融合术(OLIF)的术前评估提供应用解剖学依据,通过CT血管造影(CTA)观察OLIF手术窗的解剖参数。与OLIF相关的各个层次的局部解剖有其自身的特点,并不是所有层次都适合OLIF。
  OLIF手术前,外科医生应通过影像学检查(CT、MRI或血管造影)分析局部解剖特征,筛选患者,选择合适的手术方式。如果实际手术窗小于1厘米,建议外科医生改用其他腰椎融合术。

图示:黄线:腹主动脉或左髂血管的左边界;黑线:椎间隙的正前方平面;红线:正中矢状面;蓝色箭头:实际手术窗;AA:腹主动脉;IVC:下腔静脉。

图示:L3-4椎间隙水平面。O:椎间隙中心;AC:血管窗;CD:裸露窗;BD:腰大窗;BE:左腰大肌宽度;理想手术窗=血管窗(AC)+裸露窗(CD)+腰大窗(BD);实际手术窗=裸露窗(CD)+腰大肌肌窗(BD)。
3
 OLIF融合器位置评估

  研究纳入80例腰椎退行性变患者(121个融合节段)接受了OLIF治疗。术前将尾终板平均分为5个区(I~V)来确定cage位置,并分析其与节段性前凸恢复的关系。评估术后终板损伤情况。OLIF术后,矢状面线形得到改善,平均矫正角为3.8􀂐。对cage位置的详细分析表明,最显著的矢状位矫正和术后终板损伤发生在最远的前部区域(I)。与较短的cage(8或10 mm)相比,高度为12 mm的cage与更多的终板损伤相关。 
  文章结论认为OLIF明显改善脊柱矢状位,手术节段平均矫正角为3.8°。为更好的矫正前凸和避免终板损伤,cage最佳位置是第二区,cage高度10毫米。

图示:融合节段(矢状面)放射参数:Ha为椎间盘前高度,Hp为椎间盘后高度,S为椎体前滑移距离(mm),θ为融合节段性前凸角度。平均椎间盘高度(H)用Ha和Hp的平均值计算。

图示:A, B) OLIF手术前后的对比图。矢状位矫正良好,椎管扩大间接减压。C为Ⅰ区,D为IV区。

图示:终板损伤发生率。A) Ⅰ区域最容易受伤。II区损伤最少。B) 12毫米的cage高度与大多数损伤显著相关。

图示:平均矫正角度。A)融合节段水平与校正角度之间的无显著差异性。B)cage的位置越靠前,矢状前凸就越明显。
审稿:王庆德
供稿/编辑:张振辉
参考文献
1. Li R , Li X , Zhou H , et al. Development and Application of Oblique Lumbar Interbody Fusion[J]. Orthopaedic Surgery, 2020, 12(2). 
2.Liu L , Liang Y , Zhang H , et al. Imaging Anatomical Research on the Operative Windows of Oblique Lumbar Interbody Fusion[J]. Plos One, 2016, 11(9):e0163452.
3. Shiga Y , Orita S , Inage K , et al. Evaluation of the location of intervertebral cages during oblique lateral interbody fusion surgery to achieve sagittal correction[J]. Spine Surgery & Related Research, 2017, 1(4):197-202. 
往期精彩回顾
1.复发性腰椎间盘突出症(rLDH)的危险因素分析
2.青少年腰椎间盘突出症
3.腰椎神经根变异
4.腰椎术后硬膜外血肿表现、诊断及处理流程
5.腰椎MRI最易被忽略的七个征象,你都get到了吗?
作者简介

张振辉,郑州市骨科医院脊柱一科,天津医科大学硕士研究生毕业;熟练诊治脊柱外科常见疾病;参与完成国家自然科学基金青年项目一项,荣获郑州市科技进步二等奖,发表论著10余篇,SCI收录3篇。

到顶部