如何通过影像学手段评估螺钉松动


KEYPOINT
1. 虽然MRI检查技术进步很大,并且在本研究中应用了去金属伪影技术,但无论是敏感性还是特异性,CT在判断螺钉松动方面仍是最优秀的。
2. 插入骨折椎体中的椎弓根螺钉的拔出扭矩显著低于未骨折椎骨中的椎弓根螺钉;同时,与融合手术相比,非融合手术的螺钉具有更低的拔出扭矩。
3. 影像学检查可以诊断出的螺钉松动几乎一定是松动了,但影像学检查未提示螺钉松动不代表螺钉一定没有松动,往往还需要综合患者的症状,查体和经验来综合判断螺钉是否松动。


 前文我们一起了解了螺钉松动的危险因素,接下来了解一下如何通过影像学检查判断螺钉是否松动。一般而言在X线,CT或MRI中都可以判断螺钉是否松动,那么哪一种方法更优呢?其准确率可以达到多高?

1
影像学对椎弓根螺钉松动的诊断价值 

  瑞士苏黎世大学的学者们2018年在SPINE杂志上发表的文章通过回顾性研究,评估X线,CT和MRI对螺钉松动的特异性和敏感性。在返修手术中,通过测量螺钉扭力,确定松动螺钉,再回顾相关影像学检查,判断这些检查的对螺钉松动的敏感性和特异性。
  结果发现判断螺钉松动的敏感性和特异性:X线为54.2%和83.5%,CT为64.8%和96.7%,MRI为43.9%和92.1%。虽然MRI检查技术进步很大,并且在本研究中应用了去金属伪影技术,但无论是敏感性还是特异性,CT在判断螺钉松动方面仍是最优秀的。
  作者认为即使是CT检查,其敏感性也仅仅达到了64.8%,这意味10个患者中可能就有三个半漏诊,所以即使CT检查为阴性,并不能完全排除螺钉松动的可能。 

术中测量螺钉扭力的工具

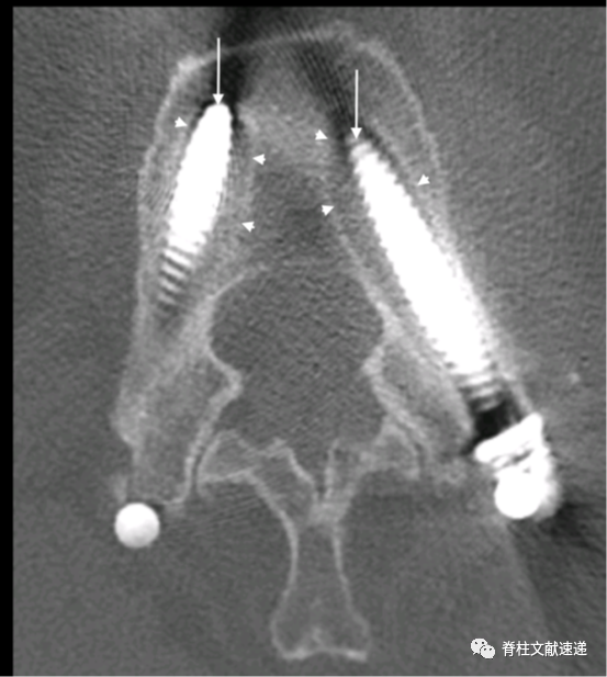
CT检查发现螺钉松动的征象
2
影响学检查的价值

  我国南方医院的学者们也做过类似的研究,用以评估x线和CT在螺钉松动判断中的价值。共纳入了33例患者,这些患者第一次手术后至少2年以上才进行了螺钉取出术。术前通过X线和CT检查评估螺钉是否松动,并记录取出扭力数据进行判断螺钉是否真实松动,以鉴定这两种影像学检查用以评估螺钉松动的敏感性和特异性。
  其结果认为两年以上螺钉松动率为33%。X射线评估螺钉松动的敏感性和特异性分别为24%和98%,而CT扫描敏感性和特异性分别为22%和96%。插入骨折椎体中的椎弓根螺钉的拔出扭矩显着低于未骨折椎骨中的椎弓根螺钉;同时,与融合手术相比,非融合手术的螺钉具有更低的拔出扭矩。
  与上一篇文章相比,本文作者认为X线和CT将螺钉松动患者正确诊断出来的概率更低,即每10个螺钉松动患者中会有7-8名患者漏诊。 

本文中CT显示的松动螺钉
  但是这两篇文章作者均认为,只要是X和CT可以明确诊断螺钉松动(特异性均在95%以上),那几乎可以肯定该螺钉一定是松动的。
3
应用CT豪斯(HU)预测螺钉松动

  CT除了在诊断螺钉松动方面有价值,在预测螺钉松动方面也有意义。目前相关的基于CT豪斯单位的螺钉松动预测也有多篇重要文章发表。 

(CT豪斯单位的测定,可以从影像科获得相关数据)
  本文是北医三院的教授们关于CT的豪斯单位在预测螺钉松动方面的研究,作者回顾性纳入了503例患者,其总的螺钉松动率为30%,松动组的既往CT豪斯单位明显低于未松动组,据此作者认为CT豪斯单位可以作为椎弓根螺钉松动的独立预测因素,而CT豪斯单位较低与螺钉松动的存在明显负相关,即CT豪斯单位越低,发生螺钉松动风险越高。
  同样是该院同一作者的另一篇文章认为CT豪斯单位预测螺钉松动的价值甚至高于骨密度测定。
  通过上述几篇文章,我们可以看出影像学检查可以诊断出的螺钉松动几乎一定是松动了,但影像学检查未提示螺钉松动不代表螺钉一定没有松动,往往还需要综合患者的症状,查体和经验来综合判断螺钉是否松动。
审稿:王庆德
供稿:王仲伟
责编:张振辉
参考文献
1. Spirig José Miguel,Sutter Reto,Götschi Tobias et al. Value of standard radiographs, computed tomography, and magnetic resonance imaging of the lumbar spine in detection of intraoperatively confirmed pedicle screw loosening-a prospective clinical trial.[J] .Spine J, 2019, 19: 461-468.
2.  Wu Xiaoliang,Shi Jiawei,Wu Jinyan et al. Pedicle screw loosening: the value of radiological imagings and the identification of risk factors assessed by extraction torque during screw removal surgery.[J] .J Orthop Surg Res, 2019, 14: 6. 
3.  Xu F , Zou D , Li W , et al. Hounsfield units of the vertebral body and pedicle as predictors of pedicle screw loosening after degenerative lumbar spine surgery[J]. Neurosurgical FOCUS, 2020, 49(2):E10.
往期精彩回顾
1. 椎弓根螺钉松动相关危险因素分析
2. 骨质疏松患者腰椎置钉策略
3. 腰椎神经根变异
4. 如何更好地选择腰椎融合手术cage的大小和位置?
5. 脊柱热点| 腰椎PLIF手术椎间/cage如何植骨更有效?
作者简介

王仲伟郑州市骨科医院脊柱骨科一主治医师,郑州大学博士,在脊柱外科工作十余年,具有丰富的临床经验,发表SCI论文一篇,发表国家级论文多篇,擅长脊柱外科的常见病如腰椎间盘突出症,颈椎病及胸腰椎骨折等的微创治疗,熟练的将显微镜技术应用于治疗脊柱常见疾病,并且对脊柱外科的保守治疗及快速康复理念有独到见解。

到顶部