青少年腰椎间盘突出症


KEYPOINT
1. 青少年腰椎间盘突出症多与创伤有关;
2. 保守治疗是推荐的一线治疗,但效果较成人差;
3. 手术治疗以髓核摘除术为主;
4. 青少年腰椎间盘突出症的特殊表现--椎体后缘离断。


 成人腰椎间盘突出症(LDH)是临床上经常遇到的疾病,而发生在青少年(12-18岁)的LDH较少见。那么青少年腰椎间盘突出症有哪些特点、如何治疗?我们一起通过文献了解了解。


1
发病率
青少年LDH发病率约为0.1%-0.2%。
韩国一项数据显示39673名19岁男性(征兵时)的LDH患病率为0.28%。
2
病因
1.创伤(举重、摔伤、运动损伤等)被认为是最可能的原因。30%-60%青少年患LDH之前有过创伤病史。这一点和成人LDH不同。
2.遗传因素:13%-57%腰椎间盘突出症的青少年其父母患LDH。
3
临床表现
青少年LDH临床表现和成人相似。90%以上青少年患者直腿抬高试验阳性。青少年患者很少出现麻木和无力症状。
4
保守治疗
1.和成人一样,保守治疗主要包括卧床休息、消炎镇痛药物、物理治疗、硬膜外类固醇注射等。
2.青少年LDH保守治疗较成人保守治疗效果差。成人保守治疗有效率约85%,而青少年保守治疗有效率小于50%。
3.保守治疗效果不佳的原因:(1)青少年髓核含水量高、柔软且粘稠,不像退变的成人髓核一样容易脱水和吸收;(2)青少年突出的椎间盘易与椎体骺板结合,形成椎体后缘离断的骨性突出;(3)青少年难以严格卧床休息。
4.推荐所有患LDH的青少年,均首先接受保守治疗。
5
手术治疗
1.手术指征 (1)保守治疗4-6周以上仍有明显疼痛,严重影响生活和学习;(2)马尾综合症;(3)进行性神经功能障碍;(4)脊柱畸形,此时的脊柱畸形多为功能性脊柱畸形,即神经根躲避突出物导致的,注意与青少年特发性脊柱畸形辨别。
2.手术方式 以髓核摘除术为主,可以切开小开窗髓核摘除术,亦可通道或椎间孔镜下髓核摘除术。术后症状改善率90%-100%。和成人一样,存在复发可能。
3.切多少椎间盘?去除过少可能减压不充分,导致手术失败;去除过多导致椎间隙塌陷、椎间盘退变加速。对于青少年,保持中央髓核的完整性很重要,只去除突出和破碎的髓核。
4.融合指征:绝大多数青少年LDH,无需固定融合。固定融合的适应症:(1)明确腰椎不稳(15度或4mm)或腰椎滑脱;(2)多节段椎板切除术;(3)医源性小关节破坏,多见于椎体后缘离断之类伴有骨性突出,术中小关节骨质切除过多。
6
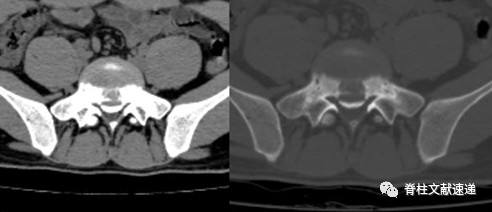
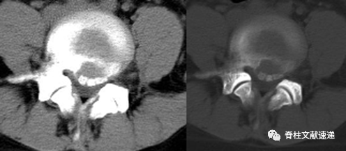
椎体后缘离断
多见于青少年或青年(<35岁)腰椎间盘突出症患者;多数有较长时间的腰痛史而后才出现下肢症状;游离骨块的大小和形态与椎体的骨质缺损大致吻合,提示骨块来源于椎体。 

上图是Takata早期提出的分型。

上图为笔者临床所见病例资料,与A型相近。

上图为笔者临床所见病例资料,与B型相近。

上图所示为文献中所见大体和病理图片,可见骨骺处骨折离断。
腰椎间盘突出症是脊柱外科最常见的疾病,绝大多数为中年人,青少年发病很少见。对于青少年,尽可能选择保守治疗,如需手术尽可能选择髓核摘除术。
审稿:王庆德
供稿:毛克政
编辑:张振辉
参考文献
1. Dang L, Liu Z. A review of current treatment for lumbar disc herniation in children and adolescents[J]. European Spine Journal, 2010, 19(2): 205-214.
2. Kim D, Oh C H, Lee M S, et al. Prevalence of Lumbar Disc Herniation in Adolescent Males in Seoul, Korea: Prevalence of Adolescent LDH in Seoul, Korea[J]. Korean Journal of Spine, 2011, 8(4): 261-266.
往期精彩回顾
腰椎神经根变异
腰椎术后硬膜外血肿表现、诊断及处理流程
腰椎MRI最易被忽略的七个征象,你都get到了吗?
【经典术式】腰椎髓核摘手术操作要点
【干货】一文读懂马尾综合征表现、诊断及手术时机选择
作者简介

毛克政,河南省人民医院脊柱脊髓外科主治医师。毕业于解放军医学院301医院。专注于脊柱疾病的诊断和治疗。任中华医学会骨科学分会微创外科学组青年委员。参与完成国家自然基金2项。发表SCI论文2篇,中华系列杂志论文3篇,其它论文数篇。获河南省中医药科学技术成果一等奖1项,郑州市科技进步二等奖1项。
温馨提示
您可以微信留言想要了解的一些主题内容,同时也可以按照文章格式投稿交流(邮箱:spine_express@163.com),期待您的积极参与!

到顶部