继续操作前请注册或者登录。

腰椎神经根变异


KEYPOINT
1. 神经根变异发生率为1.3%-14%;
2. 最常见的是Neidre分型I型;
3. 掌握MR的阅片技巧,术前发现率约为40%。



腰椎手术时,若存在神经根变异,会显著增加神经根损伤风险,尤其在腰椎微创减压时。那么,神经根变异都有哪些情况?术前如何能发现呢?MR上有哪些征象呢?让我们一起来了解一下。

1
发病率
最常见的神经根变异发生在L5–S1。外科医生术中发现率约为1.3%;MRI和脊髓造影CT扫描发现率约为2.2%-4%;尸检报道的发现率更高,为8.5%-14%。
2
分型
1. Neidre的分型,常用分型
I型:最常见,神经根从各自椎间孔出去,但发出位置异常。IA型是从硬膜发1根神经根,之后分为2根;IB型是从硬膜发出2根神经根,但2根神经根相距太近;
II型:2根神经根从一个椎间孔出去。IIA是一个椎间孔内2根神经根,另一个椎间孔内0根神经根。IIB为一个椎间孔内2根神经根,另一个椎间孔内1根神经根。
III型:邻近神经根之间存在吻合支。

2.Kadish的分型
I型:神经纤维在硬脊膜内的异常吻合,硬脊膜外为正常的神经根。此型在临床上不易发现。
II型:神经根的异常起源,可以是偏头侧或尾侧,两根神经根发出部位可能会相距很近。
III型:多个神经根在硬膜外的异常吻合。
IV型:单个神经根在硬膜外的异常分裂。

3
临床症状
神经根先天性变异的椎间盘突出症患者,和常见椎间盘突出症状相似:腰背痛、坐骨神经痛。与常规椎间盘突出症不同的是,神经根先天性变异患者可能会因为影像上很轻的椎间盘突出导致临床症状,原因是神经根的先天异常使联合在一起的神经根周围空间紧张,很轻的椎间盘突出或黄韧带增厚产生的占位效应导致明显临床症状。当临床表现和影像学不匹配时要警惕神经根先天性变异。仔细阅片和肌电图检查可能会有所提示。
4
影像学表现
1.Song等报道了神经根先天性变异的三个MRI征象。
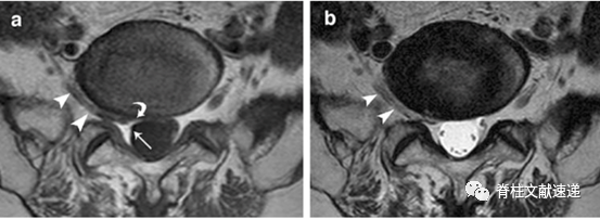
a.角形征(Corner sign):硬膜囊前外侧角的不对称形态;
b.新月形脂肪(Fat crescent sign):在异常神经根和硬膜之间存在月牙形硬膜外脂肪;
c.平行征(Parallel sign):异常神经根向椎间孔走形时可能非常平行于椎间盘,因此在椎间盘层面可见异常神经根的整个走形。

左图为定位像,右图为左图灰色区域的轴位像。可见三种征象的示意图。

术中已经证实异常神经根。三角所示为角形征,双箭头所示为平行征(即异常神经根影)。

术中已经证实异常神经根。三角所示为新月形脂肪。

三角所示为角形征,箭头所示为新月形脂肪。

箭头所示为角形征,弯箭头所示为新月形脂肪,双三角所示为平行征(即异常神经根影)。
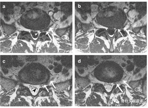
2.MR神经成像(MR neurography imaging)能够更清楚的显示异常神经根。

上图MR神经成像(右下)显示了双侧L5和S1并根异常。属于Neidre分型I型,最常见类型。

上图MR神经成像显示了左侧L5和S1并根异常。属于Kadish分型IV型或者Neidre分型II型,在L5/S1左侧椎间孔内有2根神经根穿出。

MR神经成像与术中对照。异常神经根为Neidre分型IA型,从上位神经根发出,然后与硬膜平行向下走形,从下一个椎弓根下穿出。

文献报道通过仔细阅MRI,神经根变异术前发现率约为40%。这就需要临床医生在阅片时格外认真,必要时行MR神经成像。但是,还有60%是术前不易发现的,这就需要每一台手术都要充满敬畏,不可大意。良好的无血术野、充分的照明和放大、谨慎的使用尖刀和钳子,能够降低神经根损伤的发生。

参考文献
1.Trimba R, Spivak J M, Bendo J A, et al. Conjoined nerve roots of the lumbar spine[J]. The Spine Journal, 2012, 12(6): 515-524.
2.Song S J, Lee J W, Choi J Y, et al. Imaging features suggestive of a conjoined nerve root on routine axial MRI[J]. Skeletal Radiology, 2008, 37(2): 133-138.
3. Engar C, Wadhwa V, Weinberg B D, et al. Conjoined lumbosacral nerve roots: direct demonstration on MR neurography[J]. Clinical Imaging, 2014, 38(6): 892-894.
往期精彩回顾
1. 腰椎术后硬膜外血肿表现、诊断及处理流程
2. 腰椎MRI最易被忽略的七个征象,你都get到了吗?
3. 【经典术式】腰椎髓核摘手术操作要点
4. 【汇总】椎弓根螺钉强化技术:适应症、安全性、操作要点
5. 【干货】一文读懂马尾综合征表现、诊断及手术时机选择
作者简介

毛克政,河南省人民医院脊柱脊髓外科主治医师。毕业于解放军医学院301医院。专注于脊柱疾病的诊断和治疗。任中华医学会骨科学分会微创外科学组青年委员。参与完成国家自然基金2项。发表SCI论文2篇,中华系列杂志论文2篇,其它论文数篇。获河南省中医药科学技术成果一等奖1项,郑州市科技进步二等奖1项。

到顶部