继续操作前请注册或者登录。

腰骶移行椎(LSTV)表现及分型


KEYPOINT
1.腰骶移行椎(LSTV)按照Castellvi可将其分为4型;
2.侧位和弗格森位X线片是诊断腰骶移行椎的经典影像学方法;
3.Castellvi I型占68%, II型占16%, III型占13%, IV型占3%,其中Castellvi II型、III型和IV型的LSTV与较大的腰椎退变有关;
4.有症状的LSTV被称为Bertolotti 综合征,对Bertolotti 综合征最合适的治疗方法目前还没有达成共识。


    腰骶移行椎(LSTV)是一种比较常见的先天发育异常的脊椎畸形,末节腰椎单侧或双侧横突变宽,或与骶椎形成不同程度的融合。LSTV在人群中十分常见,据报道患病率为4%-30%。临床中如果没能准确的识别LSTV的存在可能导致手术节段出现错误。今天就让我们来了解一下腰骶移行椎。

1
腰骶移行椎的分型
1984年,Castellvi等基于腰骶移行椎的形态学特征将其分为4型(如图1所示):
I型:主要为腰5横突发育不良,横突宽度至少大于19mm,并将其分为两个亚型Ia(单侧横突发育不良)或Ib(双侧横突发育不良)。
II型:表现为不完全的腰椎骶化,具有增宽的横突,并且和骶骨之间存在联系形成关节,并将其分为两个亚型IIa(单侧关节形成)或IIb(双侧关节形成)。
III型:单侧(IIIa)或双侧(IIIb)腰椎完全骶化,腰5横突与骶骨完全骨性融合。
IV型:一侧为II型即腰5横突与骶骨之间存在联系形成关节,对侧为III型即腰5横突与骶骨完全骨性融合。

 图1
2
腰椎骶化的影像学表现
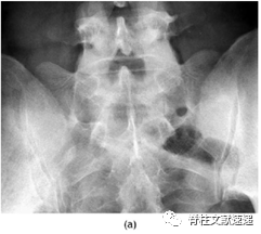
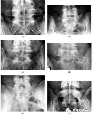
1、X线:腰骶移行椎的典型鉴定方法就是通过侧位和弗格森位X线片(即X线球管向头侧倾斜30°,可更好的显示腰5横突及其与骶骨的关系)来鉴定。

图2注:(a)Ib型LSTV,L5双侧横突增宽,但与骶骨未形成关节;(b)IIa型LSTV,L5单侧横突增宽,单侧假关节形成;(c)IIb型LSTV,L5双侧横突增宽,双侧假关节形成;(d)IIIa型LSTV,L5单侧横突增宽,并与骶骨形成骨性融合;(e)IIIb型LSTV,L5双侧横突增宽,并与骶骨形成骨性融合;(f)IV型LSTV,左侧形成骨性融合,右侧形成假关节。
2、CT:传统上,LSTV常常是通过X线片来评估的。一些研究也应用了MRI,但是使用CT的研究非常少见。优于CT被认为是骨解剖的最佳成像方式,所以CT用来评估LSTV也是具有很大的优势的,特别是通过技术手段得到的三维重建结果(如图3),可以帮助我们更加直观的了解患者腰5横突的状态。

图3注:A:36岁女性IIIa型LSTV患者,轴向CT结果显示L5左侧横突与骶骨骨性融合;B:31岁男性IIIb型LSTV患者,冠状位重建CT结果显示L5双侧横突与骶骨融合。C:IIIB型LSTV患者三维重建CT结果显示L5双侧横突与骶骨完全骨性融合。
    近期,Hanhivaara J等人的研究更是通过CT结果提出了LSTV的新的亚型,IIc型和IIIc型(如图4)。

图4:a:63岁男性患者,右侧假关节形成,左侧横突增宽超过19mm但无关节形成(箭头所示),Hanhivaara J将其定义为IIc型LSTV。b:78岁男性患者,左侧完全融合,右侧横突增宽超过19mm但无假关节形成,Hanhivaara J将其定义为IIIc型LSTV。
3、MRI:为了避免手术节段的错误,正确的识别脊柱节段是必不可少的,而当遇到LSTV的患者时,单单依靠MRI结果,很难识别LSTV,并且有可能使我们错误的识别脊柱的节段,如怀疑患者为LSTV,则必须正确识别它是骶化的L5还是腰椎化的S1。这常常需要X线的帮助,当没有X线的情况下这将会是一个比较复杂的问题。
    有学者提出,右肾动脉(RRA)的位置可用于在矢状位MRI上识别腰椎节段,因为RRA通常位于L1/2椎间盘附近(如图5),但由于有时动脉不能被识别等问题,这一标准在大约25%的患者中不适用。

图5注:矢状位T2加权像MRI结果显示右肾动脉(黑色箭头处),使用这种方法将最近的椎间盘标记为L1/2,移行椎标记为L5。
    Hughes RJ等人的研究中提出,通过在MRI上识别髂腰韧带来确定椎体节段,因髂腰韧带起自L5横突。MRI上可以清除的看到髂腰韧带为L5横突延伸至髂后内侧嵴的单或双低信号带,如图6所示,当髂腰韧带出现在移行椎头侧椎体时,移行椎被认定为S1。如图7所示,当髂腰韧带出现在移行椎水平时,移行椎被认为L5。如图8所示,当没有找到在正常的髂腰韧带时,移行椎也被认定为L5,在这种情况下,我们假定横突的增宽增大导致较小的韧带发育。

图6注:T1加权像轴向MRI结果显示髂腰韧带(大箭头)被识别在移行椎(右上图片中小箭头)头侧椎体,该椎体被认为是L5,移行椎被认为是S1。

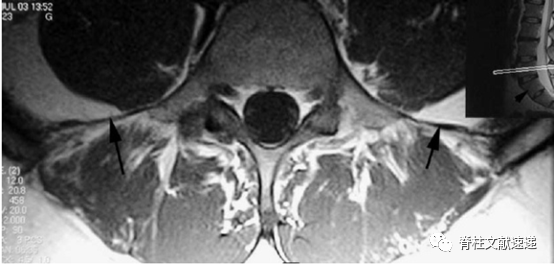
图7注:T1加权像轴向MRI结果显示当移行椎水平识别到髂腰韧带(箭头处)时,移行椎被认为是L5。


图8注:a:IIIb型LSTV的X线结果;b:该患者T1加权像轴向MRI结果显示小韧带,与髂腰韧带的骶髂部分一致(箭头处)。即在该水平未发现正常的髂腰韧带。因此该移行椎被认为是L5。
3
临床表现
    据报道LSTV患病率为4%-30%,其中Castellvi I型占68%, II型占16%, III型占13%, IV型占3%。
    虽然大多数LSTV患者可能无明显临床症状,但LSTV的存在破坏了正常的脊柱生物力学,这可能导致患者出现相应的临床症状,早在1917年,Bertolotti就提出了LSTV可能会由于假关节部位的关节炎改变而引起的患者下腰痛,并将其称为Bertolotti 综合征,Hanhivaara J的研究也显示Castellvi II型、III型和IV型的LSTV与较大的腰椎退变有关。
    L5双侧横突增大、假关节的形成也可能会导致L5神经根的卡压,在假关节部位进行诊断性注射,不仅可以减轻疼痛,而且有助于确定LSTV是否是患者腰痛和神经根症状的重要来源。同时,选择性神经根造影是诊断L5神经根远端卡压的可靠方法。
    但Bertolotti 综合征的病理生理仍不十分清楚,对患者最合适的治疗方法也没有达成共识,并且由于下腰痛的病因很多,下腰痛在人群中也十分常见,所以针对LSTV患者的下腰痛与其他疾病进行鉴别也是十分必要的。
审稿:王庆德
供稿:邵   哲
编辑:张振辉
参考文献
1.Konin GP, Walz DM. Lumbosacral transitional vertebrae: classification, imaging findings, and clinical relevance. AJNR Am J Neuroradiol. 2010;31(10):1778-1786. doi:10.3174/ajnr.A2036.PMID:20203111.https://www.ncbi.nlm.nih.gov/pubmed/20203111.
2.Hughes RJ, Saifuddin A. Imaging of lumbosacral transitional vertebrae. Clin Radiol. 2004;59(11):984-991.doi:10.1016/j.crad.2004.02.019.PMID:15488846.https://www.ncbi.nlm.nih.gov/pubmed/15488846
3.Hanhivaara J, Määttä JH, Niinimäki J, Nevalainen MT. Lumbosacral transitional vertebrae are associated with lumbar degeneration: retrospective evaluation of 3855 consecutive abdominal CT scans. Eur Radiol. 2020;30(6):3409-3416. doi:10.1007/s00330-020-06691-2.PMID:32072261.https://www.ncbi.nlm.nih.gov/pubmed/32072261.
4. Jancuska JM, Spivak JM, Bendo JA. A Review of Symptomatic Lumbosacral Transitional Vertebrae: Bertolotti's Syndrome. Int J Spine Surg. 2015;9:42. Published 2015 Jul 29. doi:10.14444/2042.PMID:26484005.https://www.ncbi.nlm.nih.gov/pubmed/26484005.
往期精彩回顾
1.【推荐】一款免费好用的脊柱术前规划软件Surgimap
2.腰椎关节突关节疼痛综合征临床诊断标准及治疗
3.腰椎翻修之手术策略
4.腰椎翻修手术之影像学评估
5.腰椎翻修手术之临床评估
作者简介

邵哲,郑州市骨科医院医师脊柱外科,硕士研究生。毕业于大连医科大学,专注于脊柱疾病的诊断和治疗,以及骨组织工程相关方面基础性研究。
温馨提示
您可以微信留言想要了解的一些主题内容,同时也可以按照文章格式投稿交流(邮箱:spine_express@163.com),期待您的积极参与!

到顶部