病例剖析 | 肺切除相关肺损伤


病例剖析
肺切除相关肺损伤

病例回顾

患者,男性,68岁,体重70kg,174cm
诊断支气管肺癌,拟行右中下叶切除
吸烟史,活动耐量佳
术前一秒用力呼气容积(FEV1 )=80%,  一氧化碳弥散量(DLCO) = 70%
问题:麻醉评估时预测术后肺功能如何呢?

总肺段为42,中下叶占4+12=16;那么如做一个右中下肺叶切除术后FEV1将下降16/42=38%,剩余62%的功能分别乘以术前FEV1和DLCO等到以下参数:预计术后第1秒用力肺活量(PPOFEV1)=0.49,预计术后一氧化碳弥散量(PPODLCO)=0.43 ;可以手术!!!
术中经过:双肺和单肺通气潮气量设定700mL, 吸入氧浓度(FiO2)=1.0,手术时间3h,晶体液1500ml,硬膜外镇痛,苏醒良好,回胸外普通病房
术后演变:

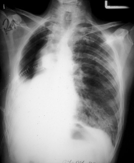
术后第3天,呼吸困难
吸空气时SpO2 85% ,氧气面罩 FiO2 0.4 时SpO2 93% 
窦速104次/分,血压130/80mmHg
 
病人发生了什么❓❓❓
什么是肺损伤
术后早期出现的肺部炎症或急性呼吸窘迫综合征(ARDS)
ARDS:氧合指数=动脉血氧分压( PaO2 )/吸氧浓度( FiO2);轻度(mild)<300mmHg, 中度(moderate)<200mmHg, and 重度(severe )<100mmHg),并且影像学有肺水肿表现,且肺动脉楔压(PCWP )<18 mmHg
 主要表现:低氧血症,呼吸困难(影像学表现常常早于临床症状)
肺切除术相关肺损伤
单肺通气可同时损伤通气侧和非通气侧肺
通气侧肺损伤更显著,随时间延长而增加
肺切除术后肺损伤呈“双时相”
原发性肺损伤:术后0-3天,术中高气道压、液体超负荷、全肺切除术、酗酒
继发性肺损伤:术后3-10天(原因:支气管肺炎、误吸导致)
发病机制

肺切除手术后肺损伤危险因素

计算预测体重PBW:
男性PBW=50+0.91(身高-152.4);女性PBW=45.5+0.91(身高-152.4)
肺损伤预测评分(Lips评分)

LIPS对重症发生急性呼吸衰竭的风险具有较好的预测价值,临床上LIPS≥4分识别为高风险患者
单肺通气如何预防肺损伤
潮气量选择:5-6ml/Kg PBW
PEEP
         肺实质正常或限制性肺部疾病:呼气末肺容量低于FRC,宜加用PEEP
         COPD:已存在自发性PEEP,加用PEEP可能导致肺膨胀过度,分流增加
控制气道压
          平台压<25cmH2O
          峰压<30cmH2O
          肥胖者峰压<35cmH2O
肺复张手法
液体、良好的镇痛、术后理疗
内皮糖萼——Glycocalyx


完好的机体组织相对不易发生水肿;
糖萼位于血管内皮细胞表面,改良Starling定律,包含了糖萼层的作用
作用:
主要作用:影响毛细血管通透性
其他作用:阻止中性粒细胞黏附和外渗
可作为液体和蛋白渗出的屏障
急性肺损伤模型中,糖萼减少,容易肺组织水肿
总结
        对合并肺损伤高危因素的患者,如肺组织切除较多、心肺转流、需大量输血等情况,不良通气模式(大潮气量、高浓度氧)导致的肺损伤将出现临床症状。单肺通气对通气侧肺和非通气侧肺都可产生损伤;这种损伤往无症状,然而单肺通气时间过长,可能会出现临床症状。
       本例患者双肺和单肺通气潮气量设定都是700mL, 属于10ml/kg大潮气量通气,且长时间(3h)高浓度氧吸入(FiO2=1.0)是造成肺损伤的原因之一,加之中下肺叶切除术后肺功能已经损失38%,这可能是术后低氧血症的重要原因。
 

▼点击“阅读原文”下载最新版新青年APP
到顶部