端粒延长52.7%,衰老细胞减少35%,抗衰教父力荐,高压氧真的能让人3月年轻25岁?


作为抗衰行业的风向标人物,“抗衰教父”哈佛大学的大卫·辛克莱一举一动备受关注。前不久,他在社交媒体上公布了自己的7条抗衰秘方:

其中禁食、二甲双胍、雷帕霉素、NAD前体等抗衰老科学基石,已经有着较为广泛的群众基础;但还是有不少神操作,让朋友们摸不到头脑。
在这张列表中最戳眼球的,非高压氧舱莫属。高压氧虽然和桑拿冰浴一样,同为理疗,但后者常常出现在大卫的访谈、著作、推文之中,他向来不吝分享自己对于“冰火两重天”的热爱。

与之相比,名不见经传的高压氧舱是不折不扣的“新鲜事物”(尽管这一疗法已有数百年使用历史;就普及程度而言,可能任何一家离你近的大型医疗机构里,都不难寻觅它的踪影)。
一个抗衰领域名不见经传的庞然大物,凭什么空降到“抗衰教父”的抗衰菜单里,这其中难免有些许钦定的概念。

关于高压氧舱抗衰老的研究确实不多。2020年11月18号,以色列特拉维夫大学公布一项临床试验,30位、64岁以上的健康中老年,每次90分钟,每周5天,过程持续了3个月进行了高压氧疗法[1]。
数据显示,持续性的进行高压氧仓治疗最大能将免疫B细胞的端粒长度延长52.73%(平均增长20%),同时将衰老辅助T细胞的数量最大降低37.3%。
端粒损伤(Telomere attrition)和细胞衰老(Cellular senescence)是目前学界普遍承认的九大衰老标识之二。这个研究结果暗示持续性的高压氧仓治疗或许能够显著的逆转衰老。

抗衰老届的圣经!
经历一阵外行误读,这个研究曾引发短暂狂欢。


按照媒体的说法,第一个活到1000岁的人已经出生,改变基因能让人活到500岁……才25?丢人

好家伙,普奇神父直呼内行!

如果能学到这个标题精髓的千分之一,我也不至于天天被老板骂
质疑和批评随之而来,而该研究主导者,以色列特拉维夫大学教授Shai Efrati,人设一度从“向上帝偷时间”的严肃医生,摇身一变成为卖氧舱的“微商头子”。

图注:赵保路《高压氧疗法能够抗衰老和延寿吗?》
(发表于中国科学院“科学观点”频道)

图注:国外科学评论网站揶揄Shai Efrati的搞笑P图
2021年11月16日,Shai Efrati教授似乎愈战愈勇,带着自己团队的一项全新高压氧舱抗衰老临床试验[2],重新登临《Aging》期刊。

图注:国外科学评论网站揶揄Shai Efrati的搞笑P图
这一次,Shai Efrati直接刀割人皮取活检,通过病理学“金标准”,简单粗暴,让所有质疑他的人亲眼目睹高压氧带来的皮肤年轻奇效。13名平均年龄68.07岁的正常老年男性受试者顺利完成研究,研究观察到几项具有显著统计学意义的结果。
#No.1
胶原纤维密度增加:
高压氧治疗后,胶原纤维密度增加超过10%。

#No.2
弹力纤维变长,“破碎度”下降:
高压氧治疗后,弹力纤维长度从吸氧前平均5.83±1.59μm,增长到了14.25±4.31μm;弹力纤维“高度破碎”的人数占比也从90%下降到了10%。

打个不完全恰当的比方,此变化的宏观效果,可以自行脑补,优质新疆长绒棉弹出的新棉被,与支离破碎的烂棉絮的区别。

#No.3
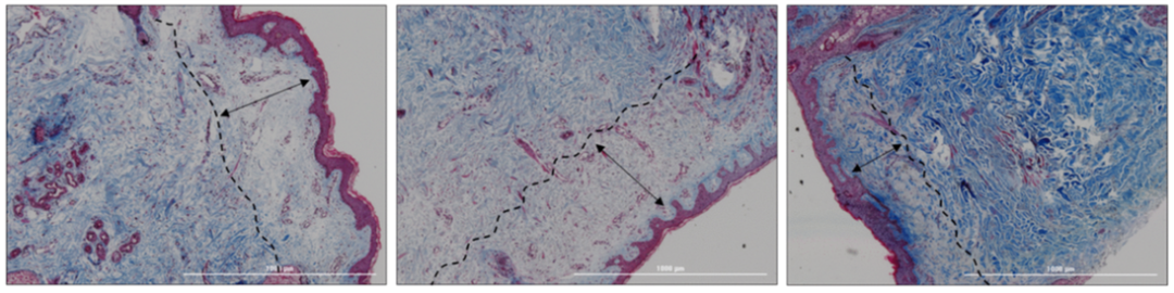
真皮乳头层回缩:
为了补齐衰老造成缺失的位置,反应性增厚的真皮乳头层,在经过高压氧治疗后,从基线133.22±22.42μm回缩至106.60±31.01μm。

#No.4
毛细血管数目增加:
高压氧治疗后,毛细血管数目较前增加了约40%。

#No.5
衰老细胞减少:
此处Shai Efrati染了另一种衰老细胞标志物——脂褐素。脂褐素染色不仅在显示衰老细胞的能力上与β-半乳糖苷酶染色不相上下[3],脂褐素堆积还与许多衰老皮肤外在表现相关。
很难不让人联想到,Shai Efrati曾在2021年3月发表过一篇高压氧治疗使脂溢性角化消退的病例报告[4]。脂溢性角化是一种常见的、和衰老细胞堆积相关的皮肤良性肿瘤,表面可因为脂褐素呈现黄褐色。

图注:Shai Efrati发表的病例报告中高压氧治疗前后对比照[4]
有了这篇病例报告的铺垫,高压氧治疗在本次临床试验中同样不辱使命,治疗后衰老细胞显著减少约20%。

///
考虑到研究的局限性,Shai Efrati自己也坦诚:样本量还是太小。但,这确实是人类第一次用组织学层面眼见为实的结果,证明高压氧疗法可以显著改善皮肤衰老病理表现的研究。
高压氧的确不是什么新鲜玩意儿,氧舱本舱很贵,但去医院吸一次只要几十块(前提是有病,一般用于脑血管意外后康复)。普通人也很容产生误区:
即便不是时光派读者,没听说过“衰老的自由基理论”,也多少模糊地知道“抗氧化”这回事。高压氧增加了体内的氧气含量,而氧气参与细胞呼吸形成ATP,这个过程中产生了活性氧(ROS)和活性氮(RNS),是不是反而会加速衰老呢?
3个月年轻25岁是否为真?高压氧疗法对于全身整体抗衰老的效果几何?是否有副作用?想必大家都想一探究竟。天津医科大学的王峰教授是国内端粒领域的重要学者,其团队在国际端粒与端粒酶领域内发出不少“中国声音”。王教授拟推行人体临床进行验证高压氧的抗衰作用。

王峰
· 端粒与衰老科学研究者
· 任职于天津医科大学基础医学院遗传学系
秉持促进国内抗衰老研究与转化的宗旨,时光派除和王峰教授联合开发下一代高通量端粒检测技术外,也将协助王峰教授进行志愿者的招募。
事实上,时光派已支持国内多项抗衰老研究。
我们非常荣幸的邀请到了王峰教授在2022年衰老干预论坛分享端粒与机体衰老的关系,以及如何从保护端粒的角度延缓衰老。参会者将可优被优先选为临床志愿者。
除王峰教授外,我们还非常有幸的邀请到了人类第一个“长寿药”临床的主持者Nir Barzilai博士,华人著名抗衰老学者、新生理时钟发现者北大学者韩敬东教授,史上最强衰老细胞清除剂发现者孙宇研究员,衰老研究AI公司CEO Alex Zhavoronkov教授等一众大咖,分享衰老研究的最新进展。
长寿渡轮即将启航,请快登船!



—— TIMEPIE ——

参考文献
[1] Hachmo Y, Hadanny A, Abu Hamed R, Daniel-Kotovsky M, Catalogna M, Fishlev G, Lang E, Polak N, Doenyas K, Friedman M, Zemel Y, Bechor Y, Efrati S. Hyperbaric oxygen therapy increases telomere length and decreases immunosenescence in isolated blood cells: a prospective trial. Aging (Albany NY). 2020 Nov 18;12(22):22445-22456.
[2] Hachmo Y, Hadanny A, Mendelovic S, Hillman P, Shapira E, Landau G, Gattegno H, Zrachya A, Daniel-Kotovsky M, Catalogna M, Fishlev G, Lang E, Polak N, Doenyas K, Friedman M, Zemel Y, Bechor Y, Efrati S. The effect of hyperbaric oxygen therapy on the pathophysiology of skin aging: a prospective clinical trial. Aging (Albany NY). 2021 Nov 16;13(undefined).
[3] Georgakopoulou EA, Tsimaratou K, Evangelou K, et al. Specific lipofuscin staining as a novel biomarker to detect replicative and stress-induced senescence. A method applicable in cryo-preserved and archival tissues. Aging (Albany NY). 2013;5(1):37-50.
[4] Elman-Shina K, Elman M, Efrati S. Inflammatory seborrheic keratosis resolution after hyperbaric oxygen therapy: Case presentation and pathophysiology review. Dermatol Reports. 2021 Mar 18;13(1):8871.
到顶部