【每日晨读】一例“肺肉瘤”的套路分析


病例资料
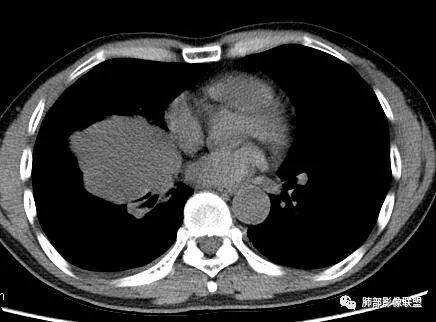
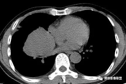
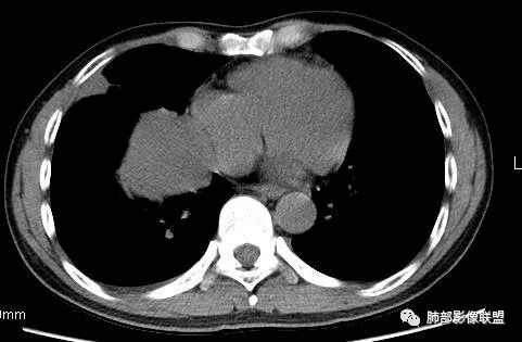
南边:男性,50岁 
南边:平江医院潘老师提供
南边:





























群内讨论
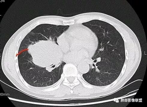
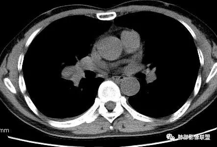
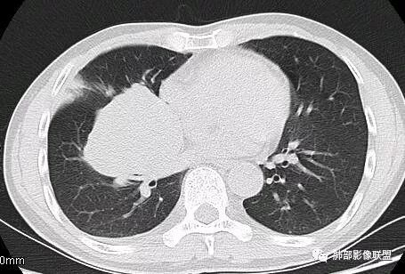
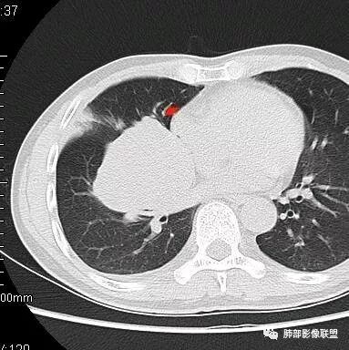
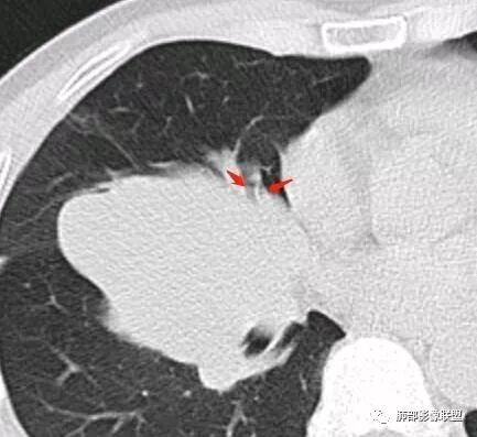
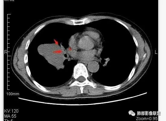
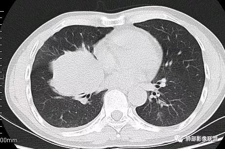
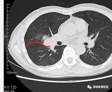
崇军:右侧中叶支气管与下叶支气管夹角处的肿块,支气管没有堵塞仅仅推移,不是支气管来源,纵隔来源也可以排除;跨叶,边界清,平扫无明显坏死,来源只剩下淋巴,血管与胸膜,如果是淋巴,纵隔未见其他淋巴结,淋巴瘤排除,巨淋巴增生症可能,血管来源,PSP可能,胸膜来源,SFT可能,这三者没有增强难鉴别。张帅:病灶边缘光滑,气管挤压呈贴边征,赞同王崇军老师观点:增大淋巴结,但同时需鉴别PSP及类癌。
南边:这类片其实很艰难Shelia:应该有个增强崇军:是的,如果没有老师您以前的讲述,一个肺门占位就发出去了风儿:肿块跨叶生长,边缘光滑,有膨隆有平直,支气管血管受压,病灶后方支气管似乎进入病灶后堵塞,与纵隔胸膜呈锐角,来源肺内-神经内分泌肿瘤?胸膜-SFT?血管-PSP?临近心包少量积液右侧胸腔少量积液是否与肿块有关
征象分析
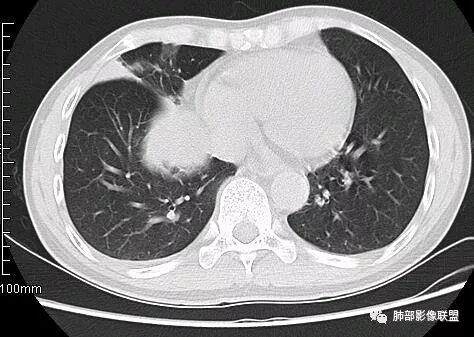
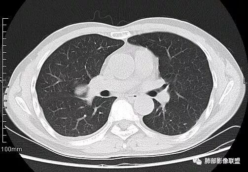
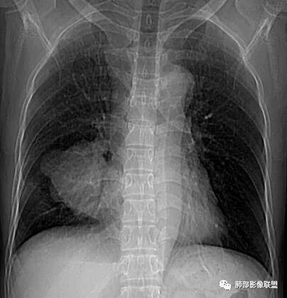
南边:应该增强。可惜没冠状位,矢状位及增强
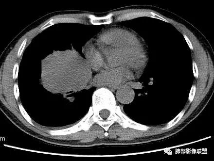
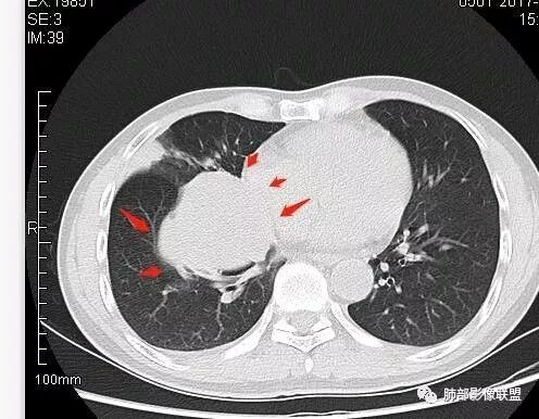
南边:深分叶、大肿块

南边:主体在下叶前基底段

南边:边缘膨隆

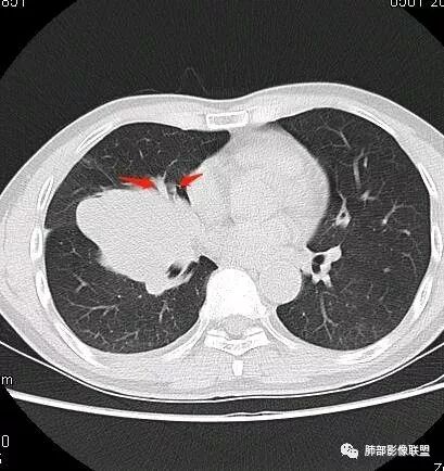
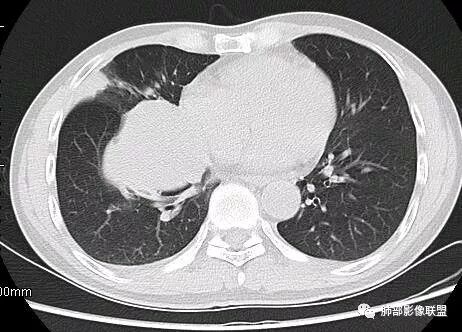
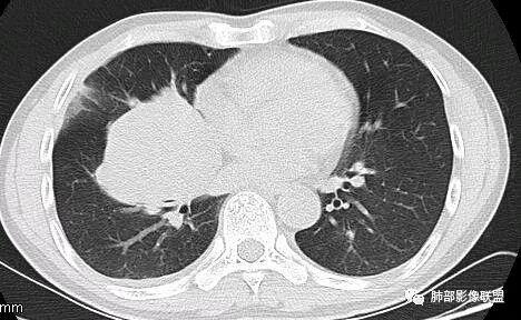
南边:中叶、下叶背段支气管推移


南边:中叶支气管腔内似有粘液栓,外侧段有炎性病变






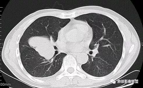
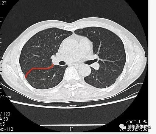
南边:有老师问为啥考虑中叶支气管受压?不是支气管来源的?
1、主体病灶在下叶
2、支气管腔还在,有移位
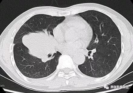
换个角度考虑一下:如果中叶支气管壁起源的病灶会如何变化?
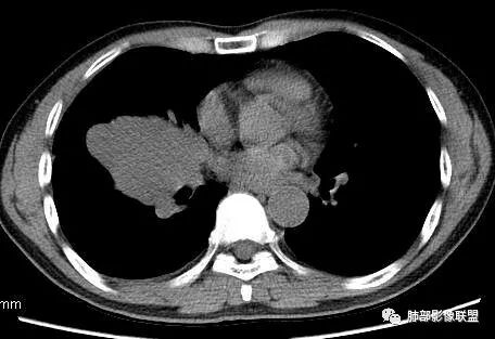
应该是支气管壁局部改变,病灶固定在中叶支气管周围,推移其它结构
换句话说,如同大树生长,是不是以根为基础,朝周围长,不应该是长大一点让自己的树根部分推开一点
就算是扭扭曲曲生长,根基一般不动
这一个类圆形,边界光滑,明显膨胀生长为主,如果起源中叶支气管,按理中叶支气管不动,固定在中叶支气管上,推移其他结构
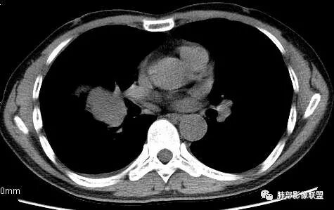
但是现在的片显示,其主体在下叶,中叶支气管壁由下朝上有推移
南边:就不符合这个原理
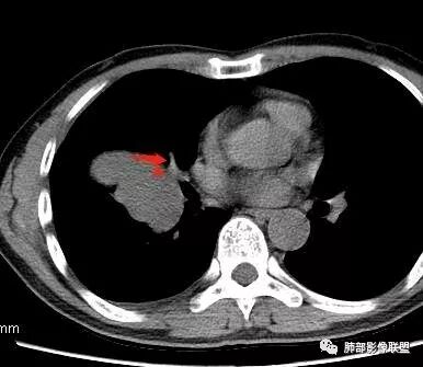
初学者:如果中叶病灶,叶间裂应该下推,也不会上推
而且支气管內密度较高是粘液栓,远端支气管也是通畅,所以支气管内是因为受压所以痰液引流不畅。
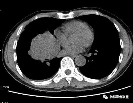
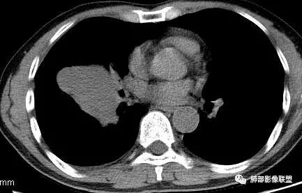
风儿:

南边:





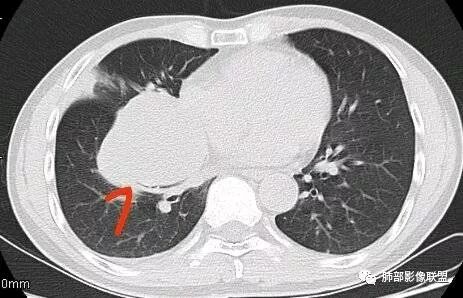
南边:从叶裂的变形,下朝上,越来越朝前扭曲,提示叶裂局部有朝前上推移的趋势
初学者:明白了
南边:下叶的支气管受压后移、变形

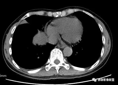
南边:病灶边界清,提示侵袭性弱,膨胀生长为主;这时候我们提示病灶不应该是支气管关系密切,提示间叶来源或胸膜来源
深分叶,警惕恶性
常规考虑:1、肉瘤首先考虑
2、胸膜孤立性纤维瘤待排
南边:结果:肉瘤

总结
黄勇老师总结:
1.发生于肺组织的间叶源性恶性肿瘤相对少见,文献也常常以个案形式予以报道。包括滑膜肉瘤,纤维组织肉瘤,平滑肌肉瘤,多相分化的癌肉瘤,甚至极为罕见的横纹肌肉瘤等等。
2.相对于肺部的上皮源性恶性肿瘤(肺癌),肉瘤发病年龄偏轻,临床表现轻微,常常肿块较大时前来就医,或者体检意外发现。
3.肿块常常较大,甚至巨大,病灶边界一般清楚,影像上常有假包膜样结构、有膨胀性生长的特点,影像科医师有时甚至会纠结其来源于肺部或是胸壁纵隔。常见的肺癌肿块,很少有机会能长成这样的规模。
4.边缘可以有浅切迹,部分病灶会有铸型样外观,但大体十分圆钝,不会出现典型的分叶和毛刺,也很少会出现胸膜牵拉。支气管常推移,有明显的支气管阻塞时也较少观察到相关的阻塞性炎症。
5.病灶密度大多不均,不规则坏死液化,少数病例出现钙化。增强扫描常观察到由外而内的厚壁不均匀强化,中央半岛样强化等等,厚壁中或实性区常能显示血管影。一些病灶中央呈现边界清楚囊样变。
6.病灶侵犯胸膜时可以出现胸水,病灶可以侵犯胸壁并引起相应临床症状。
7.可以出现血行转移,但较少出现肺门纵隔淋巴结转移。
8. 需要鉴别的是大细胞肺癌,也有病灶光整,周边干净的特点,但大细胞癌常常密实,均匀,很少能长成巨块。
9.此外肺边缘生长的肉瘤尚需与孤立性纤维瘤相鉴别。
张嵩老师总结:
1.肺肉瘤包括原发性肺肉瘤(PPS)和其他部位肉瘤肺转移。原发性肺肉瘤占肺部原发性恶性在肿瘤的1%-4%,起源于肺间质、支气管壁、血管壁、支气管软骨等间叶组织。
2.周围型PPS病人早期多无明显症状,出现症状时肿瘤多以很大,而中央型肿瘤病人症状出现较早。
3.PPS在肺实质内成膨胀性生长,很少侵犯或突破支气管黏膜,影像学表现密度均匀、边缘光整的肿块,少有空洞、分叶、毛刺、钙化,一般为单发,体积较大,直径多在4cm以上,增强后呈不均匀强化。
整理:冯连彩
审核:徐  晓
病例分析:南边老师


到顶部