【每日晨读】腺癌VS隐球菌



病历资料:




















群内讨论:
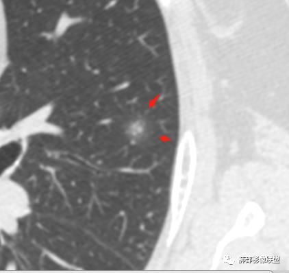
三生石上:支气管有截断,周围有晕,有空泡,腺癌?毛勤香:左肺下叶近胸膜下结节,周围磨玻璃影,边界似稍模糊,局部细支气管截断,实性区和磨玻璃区分界突然,隐约细毛刺,首先考虑感染性,隐球菌?待排腺癌MIA伴肺泡塌陷可能。常规治疗后复查。Coke with ice:IACM-Imaging :孤立胸膜下结节,其内见小泡,周围模糊的晕,晕中软毛刺,近端与血管相连,血管自然通过,气管进入结节内部一半,猜个隐球吧。第二腺癌,建议复查。田园晚风:考虑腺癌紫气东来:左肺上叶,磨玻璃实性毛刺,空泡,支气管截断,腺癌雪颜:左肺上叶结节状密度增高影,周围有晕,感觉周围模糊,有血管进入,里面有空泡征,隐约看到里面有支气管穿过,考虑炎性,隐球菌感染?腺癌待排THINKER:上叶尖后,SPN,有晕,软毛刺,无胸膜凹陷,分叶丶收缩不明显,支气管进入,远端阻塞,首选肉芽肿,PC或炎性结节,有一支血管滋养,鉴别腺癌,增殖性结核结节不支持期:左上肺结节周围有晕 晕中见细软毛刺 首先考虑隐球菌一米阳光:左肺上叶磨玻璃影,空泡,周围毛刺,月牙铲,支气管通过,周围有晕,考虑腺癌我的FY:毛刺,小空泡,磨玻璃考虑恶性崔少钢:小病灶,内有支气管,空泡征,实变不规则,放大了,感觉晕有点偏清,考虑恶性。小病灶里面有支气管是值得高度怀疑的。没有病史。彭君:左肺上叶舌段结节 周围晕模糊 内小支气管扩张 近端与血管相连 自然通过 首先考虑炎性 隐球菌?边缘月牙铲 腺癌待鉴别徐婕:左上肺结节周围有晕 ,晕中见细软毛刺 ,晕边界不太清,先考虑隐球菌张帅:左肺上叶尖后段实性病灶,以细支气管为中心,周围呈毛玻璃样影,并可见密集分布毛刺,内可见支气管征,支气管呈壁呈结节样改变,病灶周围可见血管增粗。考虑 淋巴瘤?鉴别隐球。张延军:混合型磨玻璃结节,伴毛刺,支气管截断,空泡,考虑浸润性腺癌,建议抗炎治疗后复查XGQ:支持隐球春秋:结节伴晕征,晕中毛刺,相邻小支气管近端进入,远端阻塞,近端血管相连,首先考虑隐球菌王秀仙:左肺上叶混合型磨玻璃结节,支气管截断,空泡,有毛刺,考虑浸润性腺癌,建议抗炎治疗后复查玫:左肺上叶磨玻璃结节影,薄扫见长短不一毛刺,有空泡,病灶边缘见晕征,考虑小腺癌可能,不除外炎性结节。zyf:左肺下叶近胸膜下结节,周围有晕,细软毛刺,有支气管进入,实性区和磨玻璃区分界明显,首先考虑感染性,隐球菌?查隐球菌荚膜抗原!RockJ-ason:考虑隐球采莲:左上肺靠近胸膜下实性结节影,边缘模糊,周围有晕及晕中毛刺,支气管进入通畅,有小空泡。考虑炎性病变,隐球可能性大。鉴别结核。Harvey:左肺下叶舌部小结节,边缘见磨玻璃影,边界欠清,内见支气管、管壁不光整,偏向恶性。鉴别隐球菌lmg:左肺上叶混合小结节,有晕,边界模糊,有有小毛刺。考虑炎性病变,隐球收选。AIS并肺泡塌陷带排。山河:倾向腺癌红日东升:GGO边界似清非清,内部好像不是小空泡,是小支气管腔,倾向炎性病变,常规抗炎复查除外腺癌,尤其粘液腺癌。
杨泽锋:
我怎么感觉支气管是通的,周围的晕又比较软,我考虑炎性病变,隐球菌可能大(如下图)

Shelia:左肺上叶孤立性结节,周围有晕,晕像各方向比较均匀,模糊,晕中有毛刺,病灶中央有小空泡,近端与血管相连,考虑炎性病变,隐球?鉴别癌老陈:左肺半实性结节,实性似乎多个小结节融合而成,相应支气管通畅,感觉炎性可能。鉴别腺癌。小湘医:腺癌张秀兰:肺结节周围晕征,晕边缘模糊不清,收缩力不强,毛刺不硬,首先考虑炎性,隐球菌;治疗后复查除外腺癌波波:肺结节周围晕征,晕边缘模糊不清,收缩力不强,支气管扩张,首先考虑炎性,隐球菌;治疗后复查除外淋巴瘤。若尘:外围小结节,周围晕边界欠清,晕中有毛刺,支气进入后截断戓通过,考虑隐球,鉴别腺Coke with ice:隐球,腺癌,淋巴瘤?????天涯?????:腺癌,隐球M-Imaging :隐球Vs腺癌
哞:考虑隐球菌
南边老师征象分析:
南边:首先自然是看GGO的边界如何?清楚吗?哞:边界模糊南边:其次内部的支气管如何?Coke with ice:清。可见穿行。哞:有通过,也有阻塞吧M-Imaging :进入一半南边:常规的窗宽窗位边界好像不清


M-Imaging :边界不清,没有边界名剑:磨玻璃不清楚,应该良性吧Yiren Sishui:抗炎后复查名剑:中间实性部分密度过高南边:支气管如何?

名剑:
也有点散南边:我觉得支气管走形自然,远端稍扩张M-Imaging :略有扩张南边:倾向于炎性宇宙星空:支持M-Imaging :腺癌的GGO,非常清晰的结果:
隐球菌
病例点评:
隐球菌感染孤立病灶与肺腺癌结节在影像上有时难分彼此,尽管隐球菌胸膜下更常见。
1.隐球菌病灶往往是实性密度结节为主伴周边边界不清楚的晕,有时可见晕内细软毛刺。
微浸润腺癌常常是磨玻璃密度为主的结节,边界比较清楚,并似乎有弧线形小叶间隔阻挡的痕迹。
实性结节的腺癌则很少有磨玻璃晕,往往会有粗短的硬毛刺。
2.隐球菌病灶形态往往圆钝柔和,缺乏收缩能力,很少出现腺癌的那种胸膜牵拉和棘状突起。
3.病灶内支气管安然无恙隐球菌病灶更加多见
4.隐球菌病灶增强扫描可轻度强化。既不同于结核灶的几乎不强化,也不同于肺腺癌的明显强化。
该患者实性成分为主,可惜未提供增强扫描图像。
 
编辑:张  玉
审核:徐  晓
 

到顶部