【每日晨读】炎性假瘤到底是炎症还是肿瘤?




病历资料














大家讨论
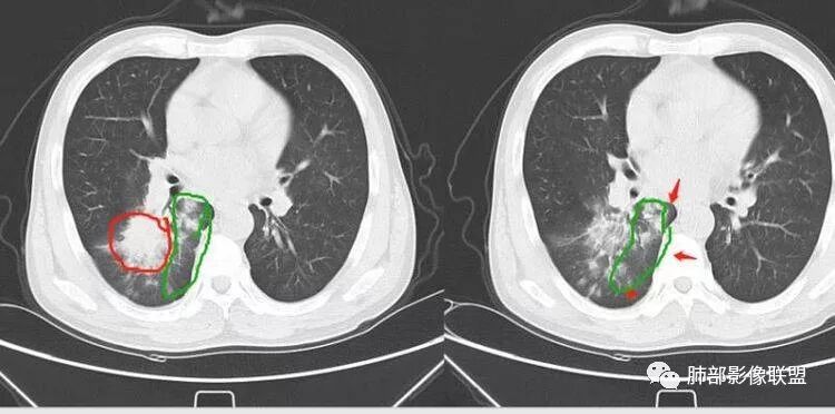
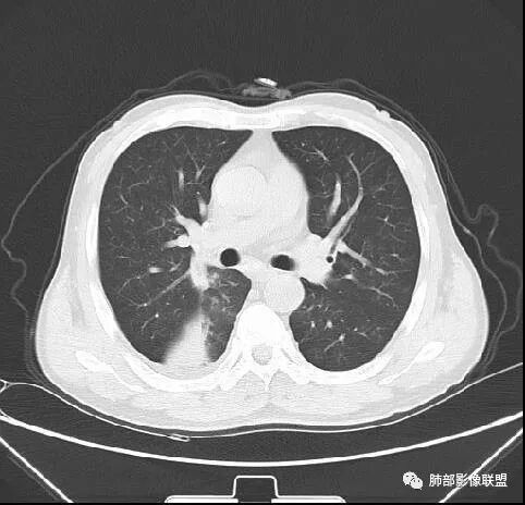
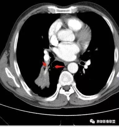
南边:病灶的部位在哪?
南边:

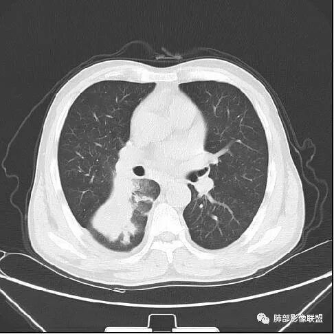
南边:中老年男性,病程20天,胸痛、咳嗽小湘医:右肺下叶背段南边:内外前后

M-Imaging :肺动脉栓塞?南边:因为这个图的顺序很重要










南边:这是下叶背段外侧的分支

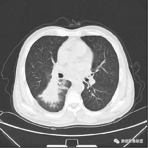
doctor:青年男性,发热咳嗽、胸痛20天,右下叶背段见块状影,轻度强化,下叶基底段见播撒病灶,考虑结核?
南边:
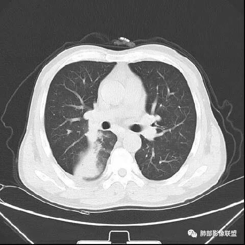
59岁

M-Imaging :病人胸痛20天,病灶三角形宽基底与胸膜贴近,肺门侧支气管通畅,造影显示肺动脉狭窄,考虑肺动脉栓塞,肺梗死?HeKate·Awizard·Sinitici:老师,请教一下,这是联盟讲座里说到的支气管爬行征吗?M-Imaging :我觉得像肺梗死,支气管通畅的采莲:中老年男性,右肺下叶背段片状影,边缘收缩平直,会不是异物可能么呢?中老年男性,咳嗽咳痰发热,急性起病,右肺下叶背段片状影,边缘收缩平直,周围有点片影,考虑异物合并感染,鳞癌待排。南边:多种意见:肺梗死、结核、异物、鳞癌肺动脉还好吧


飞鹰行动:有明显收缩,结核不支持
南边:
支气管好像通畅异物是否说不过去啊



蔡磊:给的图看不到有异物
南边:


如果怀疑癌肿,按理是下叶背段
可是这些病灶不在下叶背段要怀疑也是腺癌气道播散,而不应该是鳞癌的堵塞

初学者:支气管爬行,结核吗?
南边:
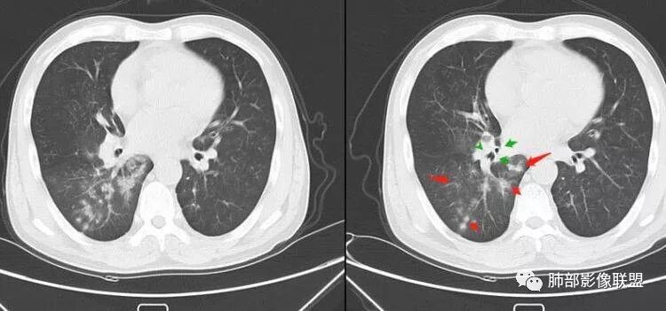
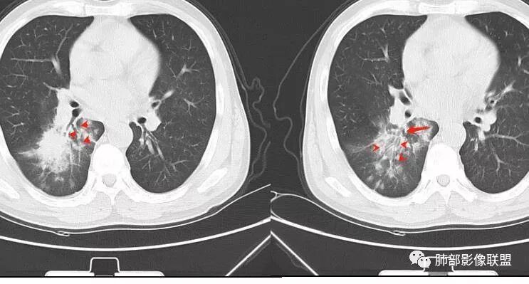
病灶近端支气管通畅,局部体积缩小不明显,外围大内带小,沿支气管树蔓延过来

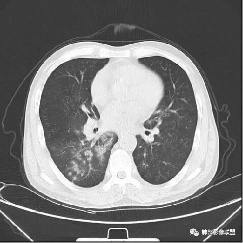
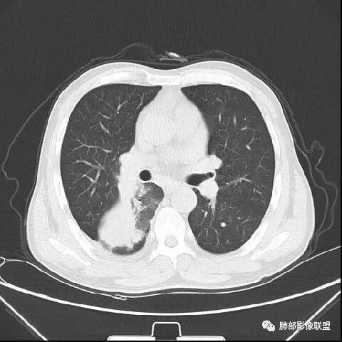
高海峰:中老年男性,急性起病,右肺下叶背段片状影,支气管略窄,边缘收缩平直,周围见班片状影,肿瘤,淋巴瘤。南边:个人倾向于炎性,结核可能没意见:图不够多,背段、上支是不是截断了?外支好像截断了
南边:
远端确实有膨隆,边缘凹凸不平,换个角度,这个病灶紧贴着斜裂外带。
没意见:爬行征,管腔应该通的吧?

病历分析
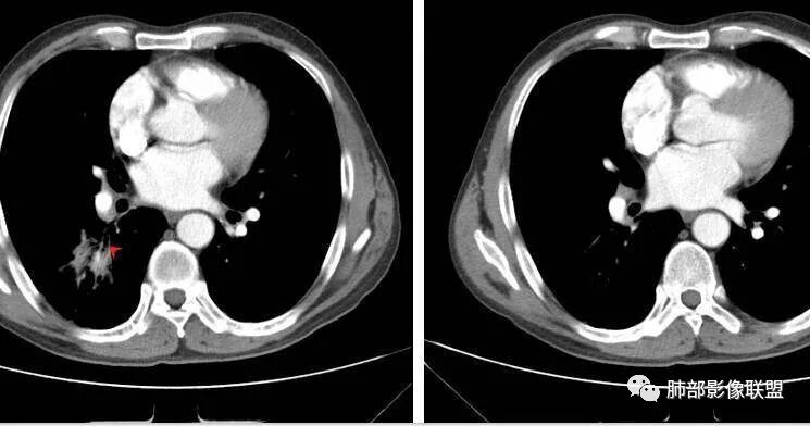
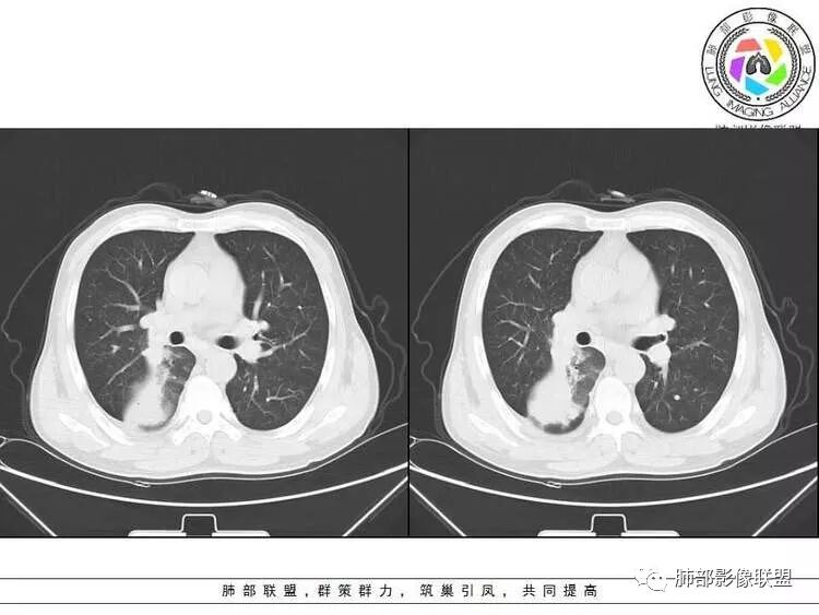
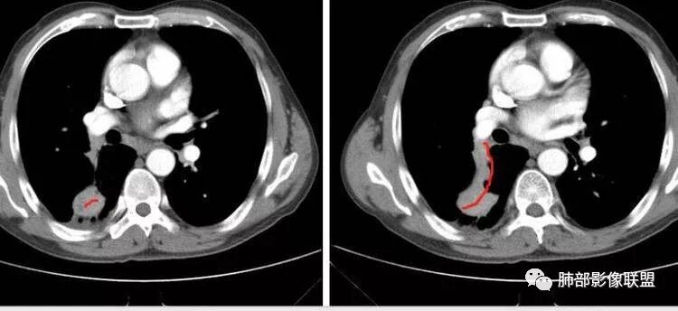
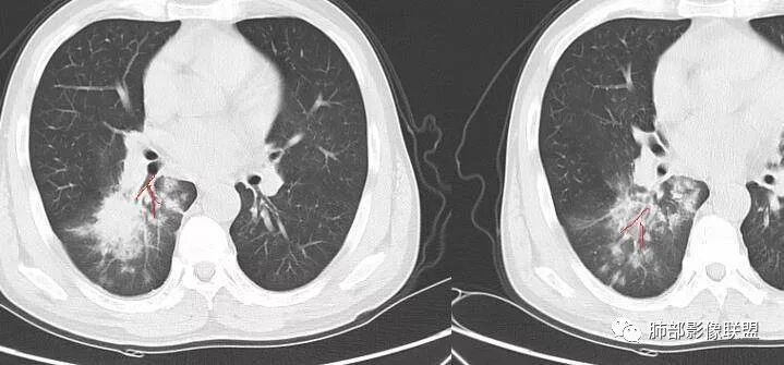
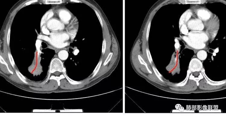
南边:紧贴着斜裂过来的一个病灶,它的特点是:外围大,内带小。它整个下叶背段体积与对侧相比稍微缩小一点,但是缩小地不是很厉害。外支朝前下走了,仔细看血管,肺动脉走行自然,直达远端。远端实变区是肉芽肿成分,稍微有一点低密度,没有明显坏死,稍微有一点点坏死。而且附近有很多卫星灶,附近很多斑片影,有一些明显有气道壁增厚,细支气管炎的特点,还有就是下叶其他段很多斑片状影。换个角度,第一如果是肺癌,刚才看到PET-CT提示肺癌伴阻塞性肺炎,这个是不符合的。第二如果是肺癌阻塞性肺炎,近端血管肺动脉走行不会那么自然集聚的,这个是不符合的。理由是:如果这个病灶是肺癌,那么明显属于中央型肺癌,中央型肺癌的特点是近端大,远端小,近端是一个肿块,远端阻塞,远端阻塞是阻塞性炎症或者不张,它应该体积缩小,斑片状实变,不会这么密实。刚才有老师提到支气管,这个片有缺陷的地方,给的图像好像那层,如果把其他图像拿开再重叠一下。

如果是单纯看这幅图像,会觉得背段外侧支气管分支堵塞的,但是看下面这层图

南边:你就发现外侧支气管朝下走的分支非常自然,通畅的。
初学者:支气管炎
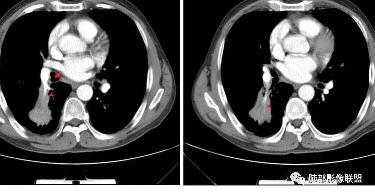
南边:这个肺门区,11区和7区都有一些淋巴结,淋巴结的形态不是类圆形,而是梭形的。这个病灶给的图比较少,个人倾向,第一强化非常均匀,肉芽肿性病变;第二,里面血管走行非常自然,远端大近端小,倾向炎性,特别是下面还有斑片状影,非阻塞远端,支气管远端病灶下叶背段,其他段也有,所以我倾向炎性;另外,它里面整个走行符合支气管树爬行征,我倾向结核可能,首先我定在炎性,其次有没有结核的可能。
    鉴别诊断:肺炎性肺癌,胸膜下起源,外围大,局部占位效应,有膨隆有收缩,这个不太支持。支气管走行里面没有看到支气管进入很自然堵塞的粘液栓的特点。附近这些磨玻璃影,它的磨玻璃影要么边界清楚,要么由内朝外蔓延的,而不是沿着支气管束蔓延的。而且附近斑片状影,有些似乎有结节感,但是大部分不是,它不是我们常见的磨玻璃样结节,有些有,导致像腺泡样结节那种椭圆的沿着血管束分布的,我会把肺炎型肺癌放在待排。
初学者:小细胞肺癌会不会炎症支气管血管束这样淋巴蔓延M-Imaging :小细胞癌转移大,冰冻纵膈南边:按理周围的炎症解释不通飞鹰行动:小细胞没有见过这样没有明显转移的飞鹰行动:阻塞性炎症,结核不好解释,除非有增大淋巴结压迫支气管良孑:外大内小,支气管爬行征,邻近肺野播散灶,TB首选,没意见:多个分支都受累,如果是阻塞,那堵的部位应该在各分支的汇合处,但这例确实没看见Coke with ice:这个人第一感觉是结核。用结核不好解释的就是病灶周围的晕。

结果

结果:炎性假瘤本例特点:
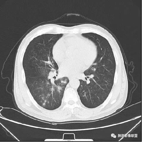
         右肺下叶背断肿块,外围大,内带相对狭长         远端有膨隆,边缘模糊、凹凸不平         血管走形自然,病灶近端支气管通畅,沿支气管树蔓延         周边有多发病灶,多为磨玻璃密度且边界不清。
         轻度强化         PET-CT:SUV 7.5,高摄取

炎性假瘤的介绍
定义:
肺炎性假瘤是一种肺实质非特异性炎性增生性肿瘤样病变,是由肺内慢性炎症产生的肉芽肿、机化、纤维结缔组织增生及相关的继发病变形成的肿块,并非真正肿瘤。
肺炎性假瘤病因尚不明确,有人认为与细菌或病毒感染相关。病理上是由各种炎症细胞及间叶组织构成,其中包括浆细胞、淋巴细胞、组织细胞、肥大细胞及梭型间叶细胞。
 
炎性假瘤不同于炎性肌纤维母细胞瘤(炎症性肌纤维母细胞瘤IMT)。IMT是以炎症为背景、肌纤维母细胞增生为主的一种少见的交界性(偶有转移型)肿瘤,少数具有复发倾向及恶变潜能。
炎性假瘤要点:
临床方面:
1.好发于儿童及年轻人,有人统计20-40岁更常见。
2.临床表现较轻微,咳嗽,发热,咯血等较常见,部分患者无症状。
3.病程可较长,部分患者可有呼吸道感染病史。
影像学表现:
1.多位于肺表浅部位,近胸膜或叶间裂。
2.单发病灶多见,结节影或块影呈类圆形或椭圆形,直径多为1-6cm。
3.部分可见支气管管像,但很少支气管截断。
4.边缘可清楚或模糊,可有浅分叶、长毛刺或棘状突起,部分病灶周边磨玻璃影。有时可见“尖桃征”、“平直征”或“刀切征”等良性征象。
5.病灶密度均匀,偶见空洞及钙化。强化较明显且持续,均匀或不均匀。
6.PET高摄取
部分内容摘自:Nestor L Muller C.Isabela.Silva主编《胸部影像学》
编辑:张   玉   冯连彩
审核:徐   晓
病例提供:张帅   首都医科大学附属北京潞河医院呼吸与危重医学科

到顶部