【每日晨读】纠结的慢性炎症与恶性肿瘤





每日晨读

2023.03.01


肺部影像联盟创办六年有余
拥有粉丝10万余人,原创文章2800余篇
形成一个以肺部影像为主体的医学公众号
“每日晨读”是具有特色的读片系列
各群大咖每天都呈现找到“真相”的端倪
邀您共同体验联盟博大精深的专业内涵
感受“我为人人”的无私情怀





















补充视频:








若晗: 
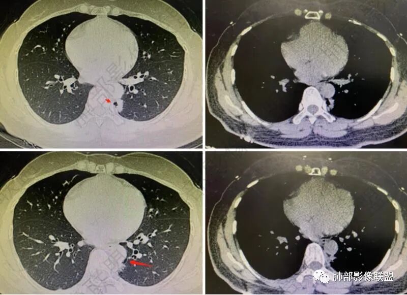
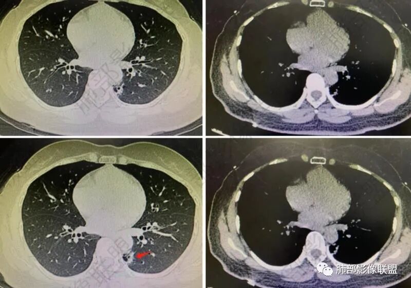
女性,体检发现,右肺上叶后段麿玻璃影!考虑AAH,左肺下叶病灶,外有毛刺伴囊腔样改变,考虑腺癌可能性大。
宇宙:
左肺下叶胸膜下不规则结节,边界清,短毛刺及囊腔,支气管扩张,邻近胸膜增厚,右肺上叶磨玻璃结节,边界清,考虑左肺下叶腺癌,右肺上叶AIS,鉴别炎性结节。
丽:
左肺下叶胸膜下结节,呈不规则型,边缘分叶、毛糙,内囊腔可见分隔,考虑腺癌,鉴别隔离症,右肺上叶磨玻璃结节,建议随诊。
金豆:
右肺结节AIS,左肺下叶,边界似清不清,假大空,粘液腺癌要考虑。  
放射小白:
年轻女性,左肺下叶考虑肺腺癌,右肺上叶结节,倾向AIS。一元论不排除隐球菌/其它肉芽肿性病变可能。
藏客:
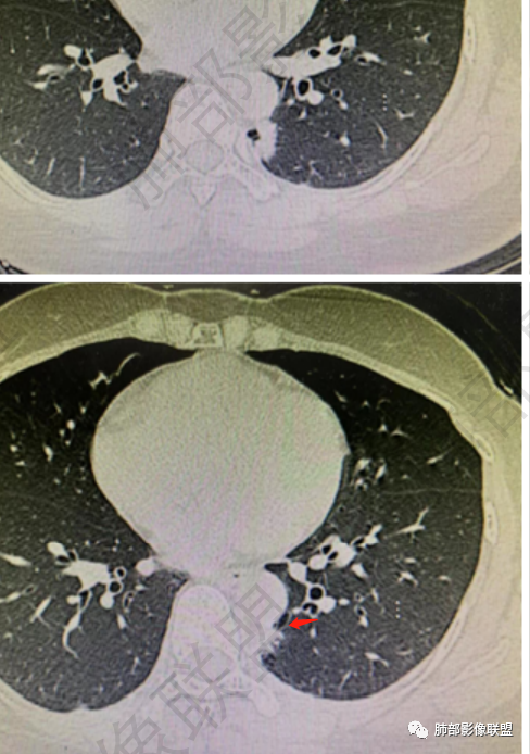
右肺上叶微结节边缘光滑,左肺下叶磨玻璃结节影,边界不清,左肺下叶脊柱旁斑片影,边缘未见明显磨玻璃密度影,内多个空腔影,较大者似见与支气管相通,首先考虑慢性炎症性改变,右肺上叶AIS,左肺下叶磨玻璃,炎性改变待排,抗炎后复查。
songml:
中年女性,体检发现,右肺上叶后段纯磨玻璃类圆形病灶,边缘清,左肺下叶背段纵隔旁示不规则高密度影,可见空泡影,边缘欠清。1、右肺上叶病灶考虑AAH-AIS 2、左肺下叶病灶考虑腺癌。
offspring of ALI:
左肺下叶胸膜下不规则结节,边界清,短毛刺及囊腔,假大空 支气管扩张,邻近胸膜增厚,右肺上叶磨玻璃结节,边界清,考虑左肺下叶腺癌,右肺上叶AIS,鉴别炎性结节、隐球菌。
谢加平:
左肺下叶后基底段结节,边缘凸起,不规则,血管进入,假太空及小叶间隔特点(恶性征象之一),另结节壁层胸膜下脂肪间隙消失,两肺多发散在磨玻璃结节,右肺上叶后段圆圈征,双肺下叶胸膜下分布,纵隔内淋巴结肿大,考虑粘液腺Ca并两肺气道种植转移,与PC鉴别,建议隐球荚膜抗原检查。
梦妮6-1:
右肺上叶磨玻璃结节,边缘清晰,考虑AAH。左肺下叶脊柱旁结节,周围见多发空泡,边缘模糊,胸膜粘连,考虑肉芽肿可能。
琦遇:
综合分析考虑恶性原发性囊腔型肺腺癌肺转移或者肠道、生殖系统、泌尿系统肿瘤肺转移。
夕阳:
左肺下叶胸膜下病灶,考虑炎性肌纤维母细胞瘤,鉴别肺梗,右肺上叶磨玻璃结节,不典型腺瘤样增生。
西北狼:
右肺上叶亚实性结节考虑炎性病变,左肺下叶胸膜下结节,边缘不光整,局部胸膜增厚,考虑瘾球菌感染,腺癌不排除。
柠檬酸酸:
左肺下叶靠近胸膜囊腔样结节,右肺上叶纯磨玻璃结节,青年女性,查体发现,无症状,考虑腺癌可能性大。
施永美:
右上肺磨玻璃结节,AIS、左肺下叶结节,边界不规则,考虑肉芽肿性病变,隐球?
杨芯:
右肺上叶磨玻璃结节,考虑原位癌可能性大,左肺下叶实性病灶,形态不规则,空泡,考虑浸润性腺癌。
薄海同欢:
右肺上叶原位腺癌/微浸润腺癌,左肺下叶高密度影,边缘磨玻璃影,内见空洞,浸润性腺癌。
鲁兆宏:
右肺上叶纯磨玻璃结节,界清,考虑aah或AIS。左肺下叶结块,界清不规整,内见空洞与支气管通,支气管壁增厚不明显,考虑肺隔离症,结核,腺癌不除外,建议CTA检查,视频两下肺多发磨玻璃结节,考虑炎性改变。
吴~~:
主要是左肺下叶病灶,还是考虑来源肺内,倾向良性,边界还算清楚,年轻无症状,炎性肉芽肿病变可能。
赵先生:
磨玻璃结节,建议抗炎治疗后复查。左肺下叶病灶建议CTA除外肺隔离症。
逍遥自在:
右肺上叶纯磨玻璃结节,界清,考虑癌前病变aah或AIS。左肺下叶结块,界清不规整,内见支气管扩张,支气管壁增厚不明显,考虑粘液腺癌,鉴别隔离症。隐球菌不大像。
















一般多发病灶,我们第一反应:能否一元论?如果不能:就分开分析。
PGGN,小、密度低,边界清,支持原位癌。
这个需要连续的图观察,是否病灶,有待确定

囊腔应该是,周围是否有GGO?还是薄壁?

左下叶脊椎旁:囊实性

看纵隔窗:实性成分密度不高,囊张力高,内有间隔,偏胸膜侧,实性部分内部支气管聚集。

实性区域边缘平直、凹陷


首先囊的位置?为啥没考虑是空洞?空洞张力偏低一些,一般在中央一些,所以不太支持,纵隔侧几乎无壁,不太支持空洞。

囊实性?这部位,第一印象要警惕--隔离症
隔离症——需要增强确定,看起来附近似有体动脉正常,没增强底气不足。


真菌?不太符合,因为囊腔。如果不考虑隔离症?就要警惕腺癌系列,总体看来不是很支持。



















1、右肺上叶混合密度磨玻璃结节特征性较强,尤其是后段病灶,边界清楚,应高度警惕微浸润腺癌,这个不用纠结,我们可以等,定期复查行之有效。
     左肺下叶背段脊柱旁病灶相当不规则,形态既不符合空洞,也未能围成一完整的囊圈影,未见典型的分叶、毛刺及清楚的磨玻璃晕,前方出入支气管轻度扩张,纵隔窗病灶密度偏高不均,临近胸壁未见侵入。双肺门及纵隔未见增大淋巴结。
     客观评价,该病灶缺乏恶性肿瘤影像学特征,尽管我们不能排除恶性。
     有时在临床上诊断慢性炎症其实比诊断肿瘤、结核、真菌更难,因为病原学找到了结核菌,结合临床、检验、影像等相关资料就可以确诊结核病,活检时发现有肿瘤细胞就可以诊断恶性疾病,病原菌找到真菌或者是血清学均确诊真菌感染。未能查实仍不能轻易排除,临床还需要治疗,观察,甚至手术切除送大病理。
2、临床实践中,左下叶背段类似阴影并不少见,支气管肺组织猬集纵隔旁,常为含气不良,或伴慢性炎症,长期存在。
    结合本病例:年轻女性患者,体检发现病灶。影像学表现为左下肺类囊腔样结节,整体边界清楚,实性区域边缘平直、凹陷,缺乏典型分叶毛刺、胸膜改变等,病灶也未显示清楚的磨玻璃勾边,病灶不大而肺门纵隔未见肿大淋巴结,综合考虑慢性炎性肉芽肿可能性较大。必要时可结合病理检查。
    肺隔离症也偏内侧,常表现为混杂密度,含液囊性病灶为主。须查实体循环供血证据。

编辑:龚子龙 清  茶
审核:张  慧  徐  晓



到顶部