【每日晨读】来去匆匆“肺水肿”



读病例5.20









群内讨论

王秀仙 
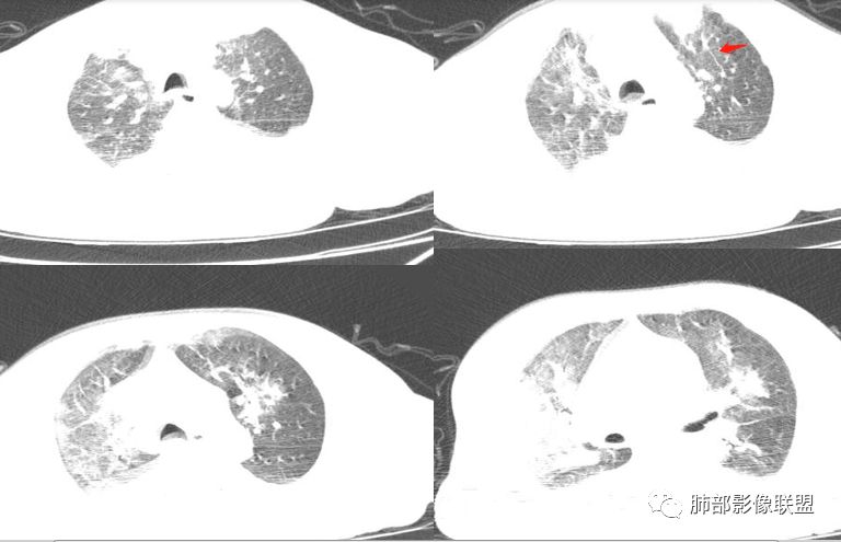
双肺以肺门为中心分布为主多发片状影,边缘模糊,部分小叶间隔有增厚,双侧胸腔积液,心影增大,考虑心衰、肺水肿。
红日东升 
老年男性,突发胸闷憋喘。蝶翼征、套袖征、肺静脉增粗、小叶间隔增厚,胸腔积液,心脏增大,符合心衰肺水肿,常规治疗后复查除外合并其它。
田园晚风 
纵膈右移,还要考虑肺不张,老年人,警惕肿瘤
我心飞翔 
老年男性,感冒诱发心衰肺水肿,意识不清考虑与缺氧有关
THINKER 
双肺小叶间隔增厚,多发片影,从肺门向外分布,双胸水,上感史,双肺水泡,诱发心功能不全丶肺水肿。鉴别病毒肺并心衰,单独病毒出水少见,有意识不清,心衰少见,鉴别脑血管病引起的吸入丶神经源性肺水肿。是否合并PE待查
采莲 
老年男性,突发上感起病,双肺野多发斑片影,靠近肺门分布,双侧胸腔积液,左房左室大?考虑急性肺水肿。
M-Imaging  
双肺弥漫对称边缘模糊斑片影,右肺为著,肺门影增大,双侧胸腔积液,左心增大 ,肺水肿。鉴别真菌,真菌很少有胸腔积液,肺泡出血,临床没有咳血。
张帅 
双肺大片渗出影,以肺门为主,支气管血管束明显增粗,心影增大,左心室明显增大,双侧胸腔积液。诊断心衰,鉴别病毒肺这个病人应该同时还有贫血。。
玫 
双侧胸腔积液,右侧肺门增大,待除外占位性病变,双肺考虑肺水肿?炎性病变?
一米阳光 
双肺以肺门为主,大片渗出模糊影,双侧胸腔积液,心影增大。诊断急性心功能不全,肺水肿。患者感冒后引起考虑感染后肺水肿
桂林山水 
两肺渗出,胸膜腔积液,左室显著增大,首先考虑肺水肿,建议治疗后复查。左肺上叶舌段病灶似有支气管截断征。
俞丽
心脏大,呈蝶翼状改变,支持肺水肿
可芸 
老年男性,突发上感起病,双肺野多发斑片影,靠近肺门分布,右肺病变明显,双侧胸腔积液,病毒性肺炎合并感染,急性心功能不全肺水肿
HeKate·Awizard·Sinitici 
两肺多发片状渗出影,气道分布,双侧胸水,1.病毒2.革兰氏阴性杆菌
张秀兰 
影像蝶翼和胸水符合肺泡性肺水肿,还是首先考虑,再就是与病毒性肺炎、“细支气管肺泡癌”鉴别
张延军 08:09
双肺多发片状影,蝶翼状分布,小叶间隔增厚,双侧胸腔积液,肺水肿?
doctor 08:19
双肺实变影,向心性重力分布,形似蝶羽状,左心增大,双侧胸腔积液,急性起病,考虑肺水肿、急性左心衰?
阳光 
急性起病,左心大,双侧胸腔积液,双肺实变,肺水肿肯定有,但右肺容积缩小,估计得二元论
蔡磊 
双肺近肺门斑片样阴影,以双下肺分布较明显,小叶间隔增厚,心影大,双侧胸腔少_中等量积液,所见层面支气管未见明确狭窄,根据病史,吸入性肺炎不能除外,急性肺水肿。
包包
小叶间隔增厚,对称蝶翼,意识不清,考虑中枢神经源性肺水肿。
小湘医 
心脏增大,以左心室增大为主,胸腔积液,以右侧为甚,小叶间隔增厚——左心衰竭?肺主动脉增宽——肺动脉高压?左肺上叶前段以及肺门处见多个斑片状高密度影——感染(类型:细菌?病毒?),不像肺水肿分布改变
黄云开 08:57
湿啰音明显,心衰应该有的,但是不是还合并有病毒感染,因为病灶外带也不少
你的想法呢?
老师的分析

南边 
目前观点:心衰、感染、吸入,依据是什么
蔡磊 
考虑心衰:双侧胸水、心影明显大、双侧肺门旁斑片样阴影,边缘不清伴小叶间隔增厚。
彭君 
中轴间质增厚,沿支气管走行实变影,部分边缘显示膨隆,小叶间隔增厚不确切,左肺舌段和下叶前内基底段支气管狭窄,好像远端未见显示,淋巴增生性病变?
良孑 
起病急,双肺实变以内中带为著,左心大,小叶间隔光滑增厚,心衰肺水肿成立,病人年纪大,不知有否基础病,肺内改变形态多样化,有实变有结节,考虑二元,肺水肿,努卡?
南边 
好像急性病变,有没有二元,从病史看:1、可能有感染,继发心功能出问题,脑缺血;2、突发心梗;3、突发肺动脉栓塞、主动脉夹层之类;两肺湿罗音该如何解释?感染?水肿?
生来征服~浪子 
啰音,应该感染,水肿都可以吧。
南边 
两肺大片状实变影,中内带为主,边缘稍模糊

周围大片GGO

小叶间隔增厚



长沟流月去无声 
这个不是特别像直接流感造成的病毒性肺炎,分布不是很符合或者不是最典型的。比较像是流感激发的暴发性心肌炎,引起的一个爆发性心衰的继发性的变化。我个人看法是这样的,这个病例可能没有最终的结果,分析思路可能是这样。因为前面确实有感冒病史,但有没有体温异常,有没有那个流感中毒不知道,5天后出现的症状,显示的是肺水肿,但他是区别病毒性肺炎,一般的早期状态的,所以说应该来讲还是类似于爆发性心衰。就是流感-并发症-暴发性心肌炎-心衰-肺水肿。
结 果

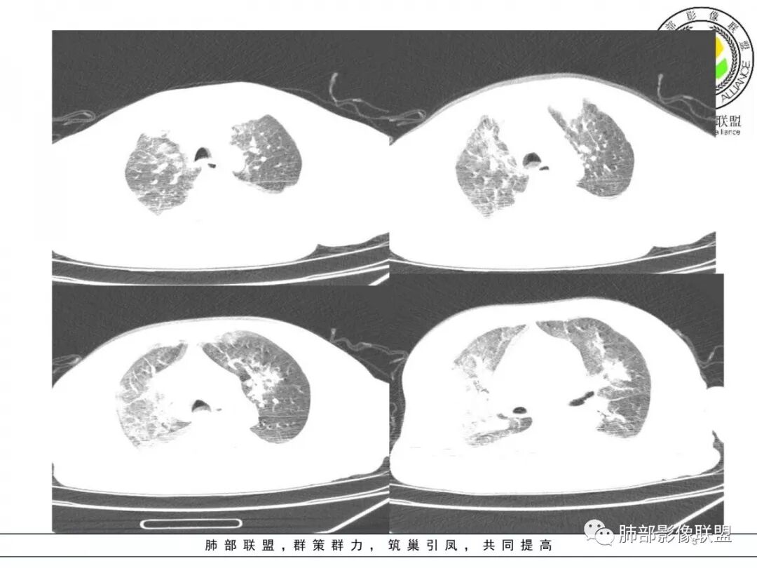
高海峰 
有结果,以下是治疗6天后


综合考虑:心源性肺水肿


长沟流月去无声 
这个不能叫有结果,印象诊断。什么原因造成的肺水肿呢?没有病毒的结果,没有病原学,结果诱因的结果,整个过程来看,应该是爆发性的心衰,但是心肌酶的结果也没有。
因为其他的因素造成的,不会这么快可逆。心梗六天,夹层或者其他的造成的心功能衰竭,六天可逆不了,唯一可逆的就是爆发性心肌炎可逆很快的。因为心肌会修复,酶的指标下来他就能好转。


南边
熊老师是考虑病毒继发的心衰,从病史看,还是支持;影像上:肺水肿是明确的;如果病毒性肺炎影像上重叠
长沟流月去无声 
这个肺水肿,它的所谓变化快,是进展可以快,但是他不一定消退可以快。只有这个人抢救过来才消的快,但是还有更多的情况下抢救不过来,是越来越重的。所以影像不应该单纯考虑吸收很快,不一定的。
病毒导致的心衰,不是病毒导致的肺炎,两个虽然都会水肿,但过程不一样,影像表现也不一样。
一个急性心衰,虽然没给酶的指标,但我觉得应该有心肌酶一过性的爬峰,后来又回落。别的,这么大面积的心梗,心功能不会这么快好转的,血运重建之后也会有损伤的。


南边 
但是没有明显的纤维化变化,病毒说实话,不敢说;如果吸收过程中有OP样改变,病毒就依据更充分
长沟流月去无声
对,这个病史都不到一周。病毒性肺炎从病史的角度来讲是不符合的。
和病毒性肺炎的区别就是,它的肺泡儿里,肺组织里可能没有病毒核酸的拷贝。他是一个继发性的影响,反而是在心肌细胞里,有大量的淋巴细胞的浸润。他是一个逆推的过程。
南边 
肺水肿肯定有;就是有无病毒性肺炎,也就是病因是啥的问题
长沟流月去无声 
从我的临床经验考虑,病毒性肺炎有个持续、长程的发热过程,很难退下去,但是病毒诱导的心衰可能只有一过性的,也就是所谓感冒症状,不会持续下去的。这还是非常不一样的。
所以从前面没有发热就基本不会有病毒性肺炎。从来后面六天的吸收来看,就完全排除了病毒性肺炎。病毒肺炎吸收至少一个月以上。
而且我不建议说病毒性肺炎,因为能够引起病毒性肺炎的病毒,常见的是那么几种,但实际上有十几、20种,至少目前人类已知的,每一种的影像学特征都不太一样,根据个人临床特征还是流感。那后面有好多种好多种病毒,每种都不一样啊,人类偏肺病毒,呼吸道合胞病毒,巨细胞病毒,疱疹病毒,奴卡病毒,冠状病毒,还发过中毒呼吸综合征,每种都不太一样。
所以我一直不支持用病毒性肺炎的。那实际上是不太一样,每种不太一样,这样读片研究起来很复杂,你想二十几种可以引起呼吸道感染的病毒,特点还都是比较鲜明的。
比如副流感病毒,它有,但病例太少。比如说有的病毒点印证为主,有的病毒是GGO,有的病毒类似于机化性肺炎的表现,其实也就是我们以前诊断的好多机化性肺炎的病因,实际上都可能是这种少见病毒。只是我们受限于诊断手段、不知道而已。
这个如果是病毒的话,更应该是腺病毒而不是流感病毒,更倾向腺病毒或者是其他的一些引起机化的病毒。
总之,这是一个非常值得研究的一个影像跟临床病理结合的点。如果如果大家有病例的话,多收集讨论,能能总结出规律来。不同的病毒。临床、影像特点都是不太一样的。
doctor 
独居老人,肺部病变吸收符合肺水肿诊断,考虑原有心脏基础病变,已经有心功不全可能,本次感冒(病毒感染)是诱发加剧的原因之一,至于考虑病毒性心肌炎诊断,值得商榷。大面积心梗、病毒性心肌炎,导致肺水肿或心原性性休克,过去称泵衰竭,泵衰竭,临床上没有怎么好转快。这个病例,应该没有病毒性肺炎。
雪狐 
这个病例其实提供心电图、心肌酶 、肌钙蛋白和心超的结果就更好分析心源性肺水肿的因素了
南边 
病毒性肺炎确实影像差异很大,影像也有特点
生来征服~浪子 
老师,提个问题,如您所说,病毒感染的影像表现很多。平时工作中影像诊断病毒,应该注意什么?是否应该以临床表现为主?
长沟流月去无声 
因为很多临床医师,他不认识病毒类的肺部感染的影像,虽然多种多样的,但是总的来说还是急性起病的,以间质受累为主的,肺部弥漫多发,这一大类。我觉得现在定在这一大类还是准确的,结合临床吧,不能叫以临床为主。把临床影像特点结合的特别好,才不会有偏颇跟局限。
就是我们常说的多学科团队合作的真正意义,就把每一个学科里最精华的。顶尖的,最有特点的东西总结出来,同时了解其他学科的特点,相互结合,方方面面的注意到,就没有什么偏废了,考虑也会比较全面,误诊可能性也比较小了。


推荐阅读肺部影像联盟-肺水肿、病毒性肺炎相关资料
1、肺水肿临床影像全攻略 —— 鸿篇巨著,两位大师倾情奉献
2、张嵩主任12月22日晚8时直播《肺水肿的诊断和鉴别诊断 》上
编辑:刘青青  
审核:清  茶
病例提供者:高海峰  延安市安塞区人民医院影像科
到顶部