【每日晨读】来势汹汹的病毒性肺炎


5月29日:伴随着冉冉升起的太阳,让我们开始晨读旅程吧!

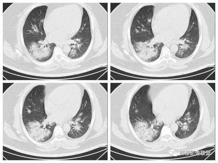
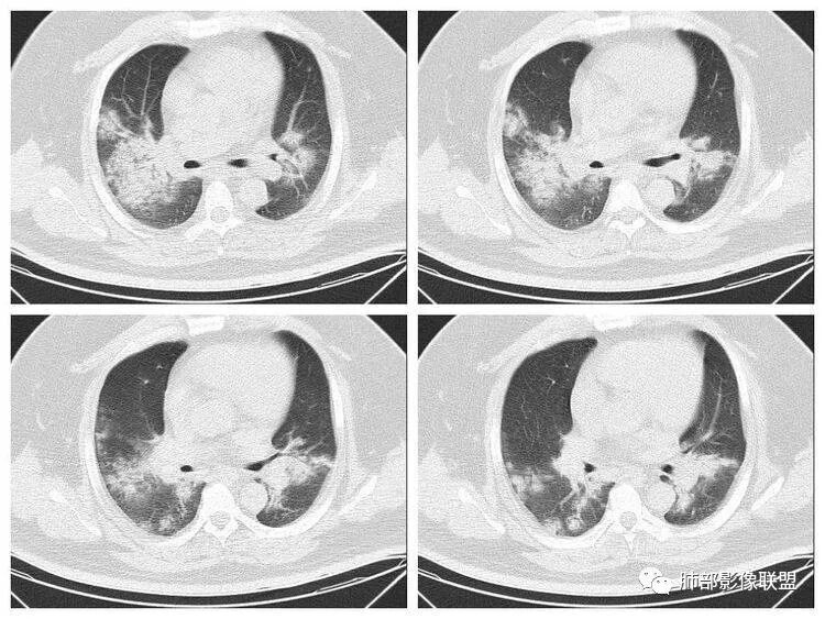
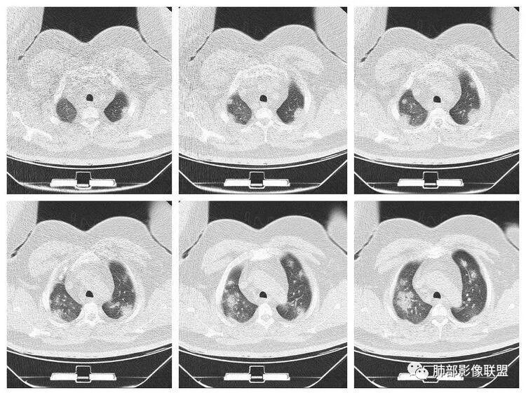
病历资料
















群内讨论

go and see:支原体肺炎 红日东升:病毒性心肌炎→肺水肿;THINKER:青年男性,急性起病。双肺多发GGO,胸膜下分布为主,无胸水丶淋巴结肿大,首选病毒,鉴别MPA补充病历病灶内支气管走行自然,树芽树雾征不明显,无反晕,青年急性起病,鉴别普通肺炎,如支原体我心飞翔:支原体肺炎张帅:患者青年男性,急性病程,受凉后出现咽部不适,畏寒 寒颤 发热,咳嗽 咳白痰,血常规白细胞总数不高,中性粒百分比增高,crp增高,双肺多发渗出影,以右肺为重,部分实变病灶内可见气道征,考虑感染性疾病,首先考虑病毒感染合并细菌感染。阮则鑫:考虑病毒性肺炎,鉴别IPA哞:结合病史,考虑病毒性肺炎 黄云开:肺水肿,病毒性肺炎?王进:血管炎,肺出血?肺水肿没有胸腔积液,没介质改变不考虑吧!Yiren  Sishui:考虑感染性病变,具体病原体没把握三生石上:病毒性肺炎风往北吹:病毒性肺炎,鉴别血管炎看图说话:病毒性肺炎。空帆船:肺水肿 马会平:病毒性肺炎一米阳光:青年男性,急性发病,实验室检查异常,肾功能损伤,双肺渗出影,考虑病毒感染,肺肾综合征。王秀仙:双肺多发渗出影,边缘模糊,右肺为诸,部分实变内可见支气管征,考虑感染性疾病,考虑细菌感染,鉴别支原体肺炎。丽:双肺内及胸膜下多发渗出性病变,沿支气管血管束分布,可见充实支气管影,结合病史抗炎治疗无效,考虑病毒感染,肺肾综合征。毛勤香:双肺多发斑片状影,胸膜下为著,急性起病,抗炎无效,首先考虑病毒性肺炎。生来征服~浪子:双肺随机分布多发斑片,部分胸膜下及支气管分布,考虑病毒。底王:双肺间质性斑片渗出,考虑病毒性肺炎,鉴别支原体。飞鹰行动:多发病灶,累及间质,考虑病毒感染,不再涩的柠檬:考虑支原体,鉴别病毒宇宙星空:双肺间质性斑片渗出,考虑支原体感染,鉴别病毒性肺炎。土娃:考虑病毒,鉴别肺链睡神-阿豆豆:病毒鉴别支原体食客:病毒,支原体感染2,pjp张延军:双肺多发磨玻璃影,部分实变,支气管壁未见明显增厚,病变以内中带为主,胸膜下清晰,结合急性病史及实验室指标,考虑炎性,以病毒性可能性大。采莲:青年男性,高热起病,双肺野多发斑片影,实变影,支气管通畅,考虑病毒性肺炎?天涯:病毒性肺炎海之言:病毒Coke with ice:大多数都考虑病毒感染
病毒不是倾向于间质改变…这个人间质并不明显
冬瓜:套用熊大名言,来势汹汹,考虑病毒肺淘时光:急性病程、高热、胸膜下、支气管血管束周围片状实变影及ggo,支气管通畅,似乎有网格影,考虑间质来源病变、病毒首选
征象分析

南边:我需要大家的诊断思路、依据?
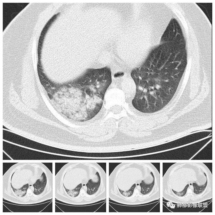
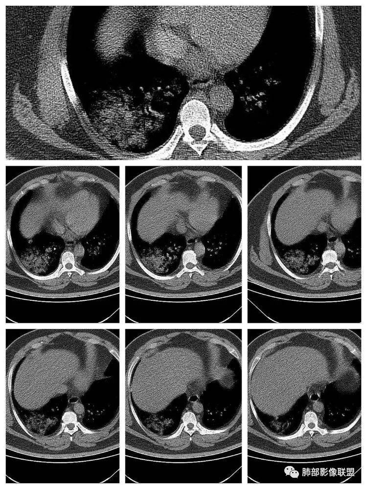
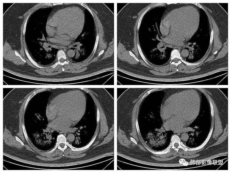
青年男性、急性病史、发热、咳嗽、常规抗炎无效病灶沿支气管血管束分布  GGO+实变边界模糊部分沿胸膜下分布哪几种可能?

南边:1、感染:间质分布——病毒、支原体,支原体一般树芽征明显,累及小气道多,而且临床轻,不太支持2、血管炎,需要相关病史3、肺水肿:心脏不大,无胸水、无中央间质增厚、小叶间隔增厚,不太支持4、PAP,病史影像表现都不支持初学者:可能是病毒,但是好像并不是我们常见的流感病毒实变为主,腺病毒?就是太多灶了一点
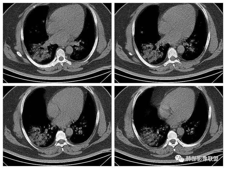
长沟流月去无声:第三点有意见这个人心脏大,左室供血很不好

南边:左室
南边:南边:不大啊冬瓜:熊老师不会考虑病毒感染,爆发性心肌炎吧南边:这个就不敢说淘时光:左心室心腔饱满,室间隔向右室侧有些移位,感觉左室有增大
长沟流月去无声:这个左室心肌都薄了南边:没有做增强啊长沟流月去无声:可以提示大家去看一下流感病毒性肺炎重症,WHO和卫生部都出过指南,建议你们仔细看看指南里危险人群一节,是哪几个
几乎可以和你平时碰到的对应上:老/孕/肥/肺,核心是这四个这个人占了一个肥字,老,应该定义为>65岁,国内指南可能是60,这是因袭于我们关于老年定义,但是这个危险因素的分析,是根植于美国墨西哥大流感,也就是那次猪流感H1N1的分析;应该精确的数据是65;孕不用解释:是孕晚期,经常的特点,是一尸两命肥也是比较特异性的,这个人占了肺主要是COPD这四个是有询证依据的,国内指南还加了一些,不是肺,说的是慢性心肺、恶性肿瘤,这些其实是自己加上去的,根据所谓推测得出,没有任何数据支持!几乎都是大胖子感冒吃解热镇痛药,然后不治,太多了。
淘时光:

结果


甲流小常识

甲型流感病毒性肺炎:病理表现:H1N1和H7N9禽流感病毒感染人体后,可以诱发细胞因子风暴,如干扰素诱导蛋白10(P-10)、单核细胞趋化蛋白-1、白细胞介素6和8(L-6,L-8)等,导致全身炎症反应,可出现ARDS、休克及MODS。病理检查显示肺急性渗出性炎症改变,肺出血、弥漫性肺泡损伤和透明膜形成等。重症高危人群1.年龄<5岁的儿童(年龄<2岁更易发生严重并症)2.年龄65岁的老年人3.伴有以下疾病或状况者:慢性呼吸系统疾病、心血管系统疾病(高血压除外)、肾病肝病、血液系统疾病、神经系统及神经肌肉疾病、代谢及内分泌系统疾病、免疫功能抑制(包括应用免疫抑制剂或HV感染等致免疫功能低下);4.肥胖者[体重指数( body mass index,BM)大于30,BMI=体重(kg)/身高(m)25.妊娠及围产期妇女。
重症流感的定义出现以下情况之一者为重症病例1.持续高热>3天,伴有剧烈咳嗽,咳脓痰、血痰,或胸痛2.呼吸频率快,呼吸困难,口唇紫绀;3.神志改変:反应迟钝、嗜睡、躁动、惊厥等4.严重呕吐、腹泻,出现脱水表现;5.合并肺炎6.原有基础疾病明显加重。危重症流感的定义出现以下情况之一者为危重病例1.呼吸衰竭2.急性坏死性脑病3.脓毒性休克4.多脏器功能不全5.出现其他需进行监护治疗的严重临床情况。重症流感病毒肺炎的肺部影像以双肺多发磨玻璃影及实变影为主要表现,可合并少量胸腔积液,典型的H1N1双肺外带分布为主。随病程发展,部分患者出现实变及纤维化临床表现早期流感样症状:咳嗽、咳痰、发热、咽痛、全身酸痛。主要临床表现:肺炎、ARDS。患者咳嗽、咳痰、呼吸困难、氧饱和度低,发热、咽痛、全身酸痛,神志异常。甚至呼吸衰竭、休克,多器官衰竭等等。相关链接https://m.qlchat.com/topic/details?topicId=280000451285864
病例结束语:
起病突然,高热,双肺多发磨玻璃影及实变影,胸膜下分布为主,不具有肺门分布优势,也没有小叶间隔增厚,一般会首先考虑病毒感染,尤其是甲流。
各年龄段人群普遍易感,部分人群,如资料中总结的,易出现重症甚至预后不良。
并非所有甲流患者都出现高热,合并肺炎的患者也有未经治疗而痊愈者。
整理:周乔友
编辑:龙   辉
审核:徐   晓
病例提供:瑞安市人民医院 陈显静


到顶部