【每日晨读】看似正常的胸片---原是蛰伏不露!


5月31日晨读

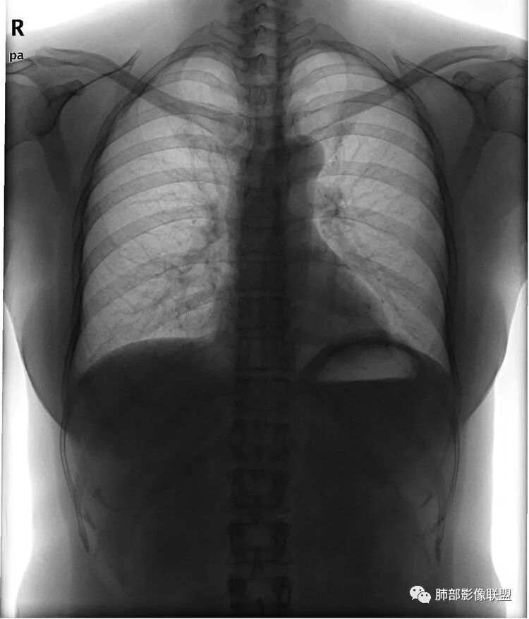
看似繁花似锦,也会暗流涌动。一张普通的胸片在基层很常见了,在一张看似正常的胸片后面隐藏了什么?敬请各位来分析。



Shelia:侧位心后间隙变小,下肺野与心影重叠区怀疑有斑片影
正位实在看不出什么问题
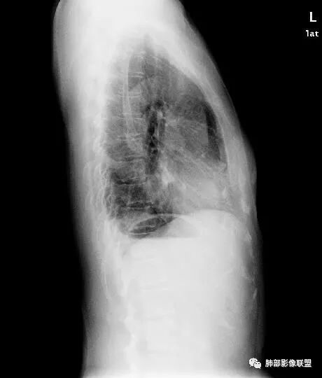
Coke with ice:唉……我都没找出来病变在哪……平片的老师们指点指点南边:


Shelia:
南大标记的,我怀疑了,但是正位不知道在哪里远方:接第二部分:


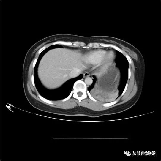
看完第二部分大家再说说看有什么体会?宇宙星空:左侧膈面上片状高密度影

Coke with ice:平片真不容易观察。这里最常见的是什么毛病呢……后肋膈角,呃……疝?形态不太像疝。还有啥疾病谱,盘状肺不张?胸膜来源?
形态不太像疝。还有啥疾病谱,盘状肺不张?胸膜来源?
形态也不像肺不张的样子
M-Imaging :盘状不张不是,盘状不张,胖人腹压高多见远方:如南大所标示,标准答案。正位提示左肺下野与膈面重叠密度增高影,边缘光滑,侧位可再定位具体一点后肋膈角区密度增高影,具体是肺内肺外都有可能,盘状肺不张、肺内肿块、肺外病变(胸膜来源和膈肌来源)等都可以。我的体会常规正片再加负片结合这个肯定不会漏的,负片很有价值,平片发现问题就好,具体我们还是进一步CT检查了。
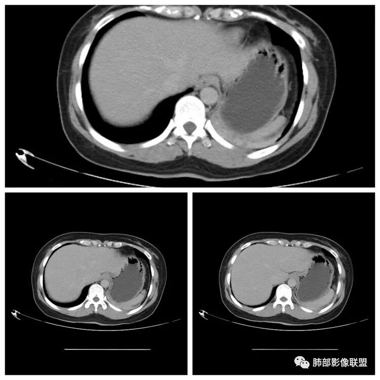
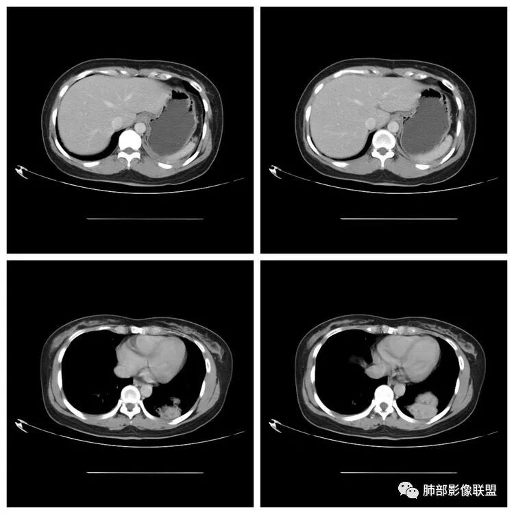
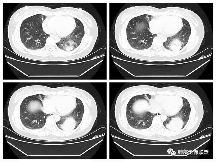
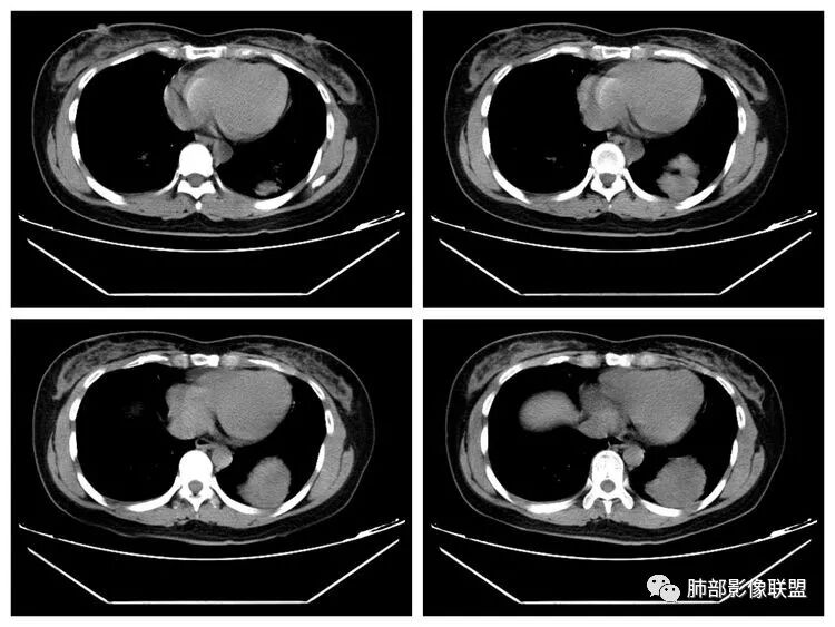
下面看第三部分了,3月20日补增强扫描:










远方:基层医院很多都是X线为主,胸片占了一半以上,专科除外,正侧位片往往不重视侧位,临床医生也经常未要求侧位,考验我们影像医生了。这个单凭正位往往就漏了。恰好病变上缘与膈肌面比较重合。
Shelia:尤其体检基本不照侧位片Coke with ice:嗯,很有警示意义的病例。我倾向于定位胸膜来源,SFT?
M-Imaging :错了,这么大,膈肌后方南边:定位?定性?Shelia:肺外。感觉病灶是个扁平状,虽然没有蛇纹血管征,但是延迟强化,怀疑纤维来源,考虑sft
M-Imaging :肿块与胸膜夹角是锐角,有分叶,觉得肺内Lotus:mpr重建再看一下南边:与支气管有关系吗Shelia:没有关系。与胸膜分不清
南边:


宇宙星空:没有关系。长轴与胸膜平行吧?
Coke with ice:与肺韧带有关系。与肺韧带的夹角呈钝角,感觉有胸膜尾
宇宙星空:糊墙关系:

南边:边缘这么光滑,无分叶,与胸膜关系密切
D字征
首先良性,倾向于SFT,不除外PSP
小微:肺外肿瘤
宇宙星空:延迟明显强化,其内可见条索状低密度,支持SFT
lmg:其内可见血管穿行吧,考虑SFT
一米阳光:与膈胸膜关系密切,肺受压。考虑SFT
远方:
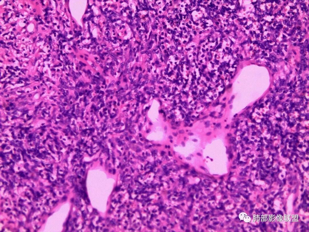
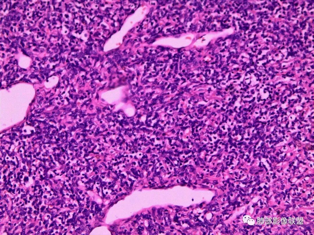
发晨读病例结果,大家意见都比较一致。手术病理如下:






最后结果:
结合影像及病理:
脏层胸膜来源孤立性纤维瘤
关于孤立性纤维瘤:
CT表现:1.多为来自胸膜单发肿块,轮廓较光滑,一般无分叶,可有包膜,可以有胸膜尾征。少数胸膜SFT可表现为带蒂肿块,为本病较为特征性表现。2.当肿瘤较小(小于5cm)时,平扫密度较均匀,为软组织密度,增强扫描呈轻中度均匀强化,少数肿瘤强化较明显。3.随着肿瘤的增大,发生粘液变性、囊变坏死概率增加,多表现为密度不均匀,并可有钙化,增强为轻中度不均匀强化,常表现为“地图样”。
潘军平老师关于定位点评——我们判断肺内肺外的依据:1、与胸膜的关系。主体在外面,宽基底与胸膜连接,胸膜掀起一般是肺外的依据。2.、与肺内结构的关系:附近血管、支气管被推移,未进入病灶(无血供的良性病变有时候要警惕除外),提示肺外。3、血供,肺部来源的一般肺部血供(隔离症除外,恶性肿瘤有时候会有差异,孤立性纤维瘤血供可以肺内来源)。
编辑:周乔友
审核:徐   晓
病例提供:刘远芳  佛山南海医院影像科

到顶部