【每日晨读】:一眼锁定胸腺瘤


6月5日晨读:
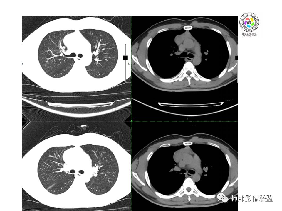
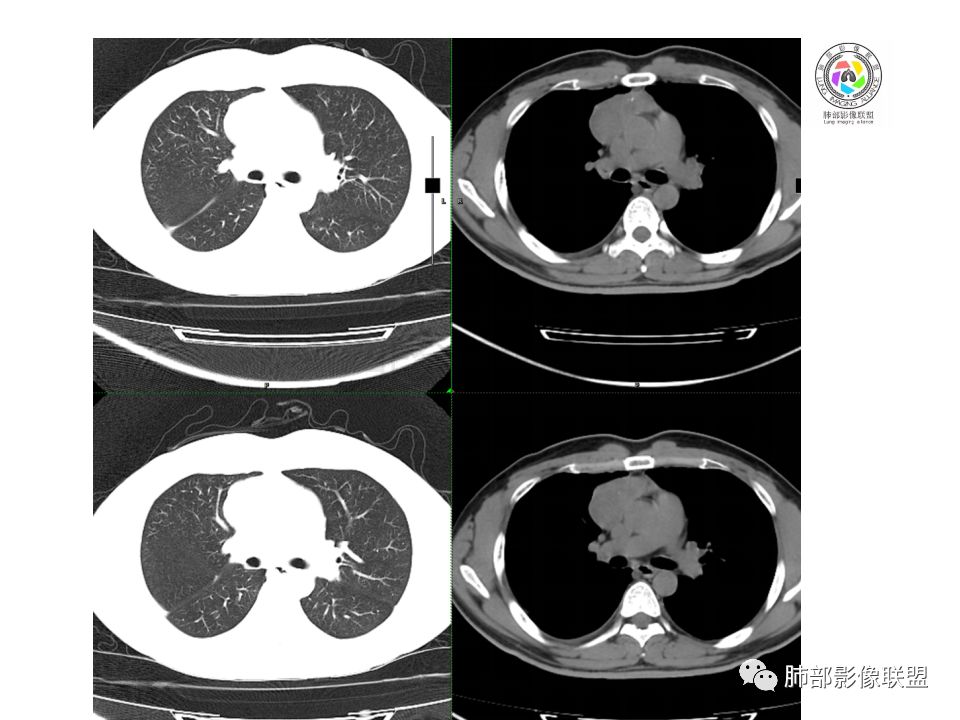
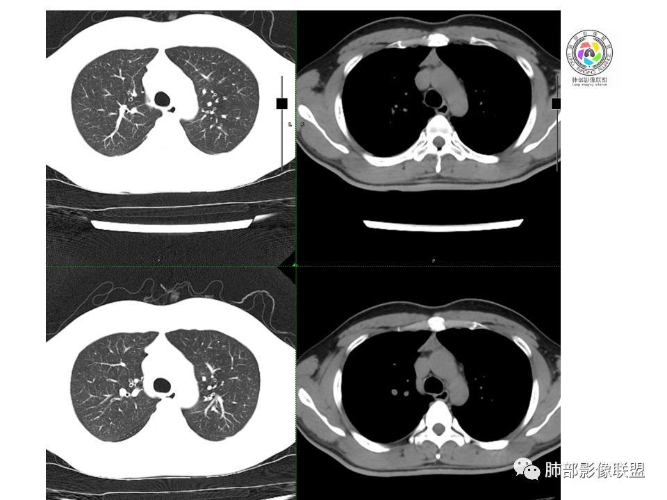
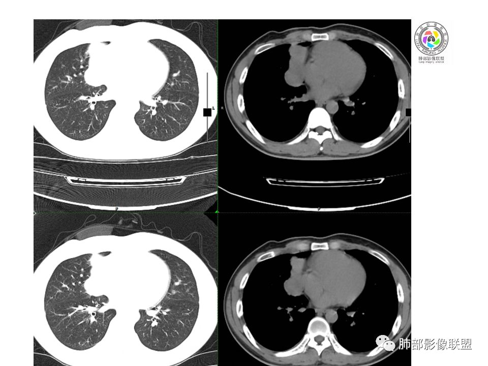
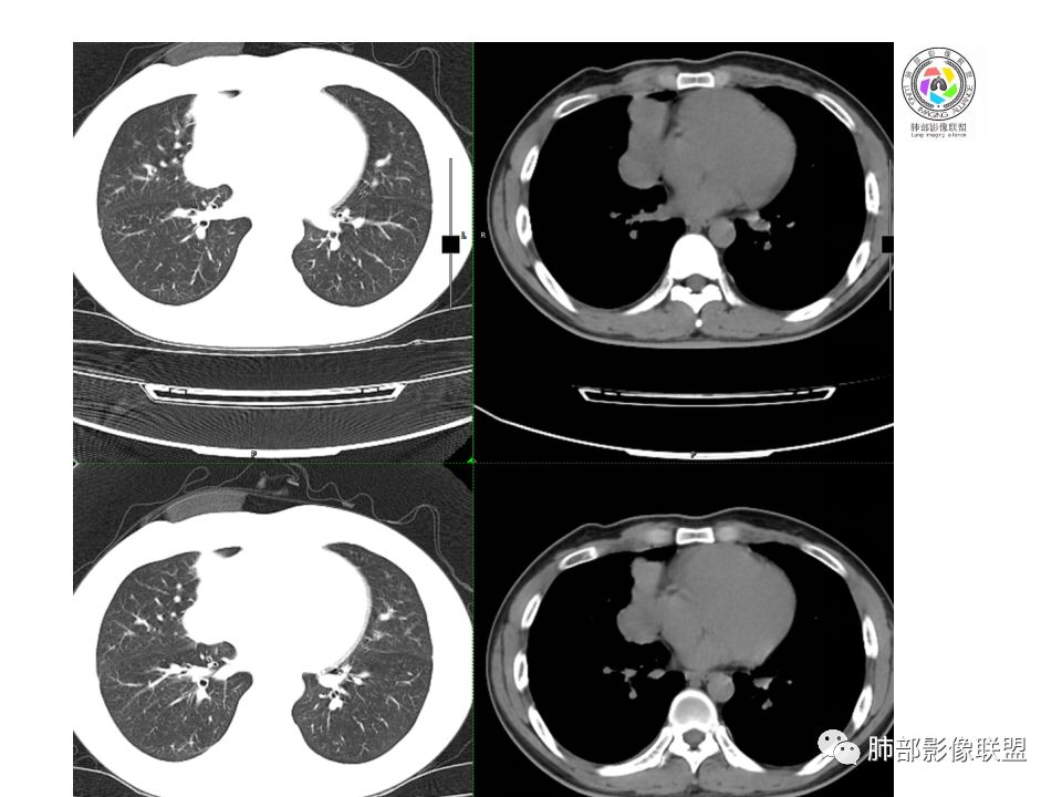
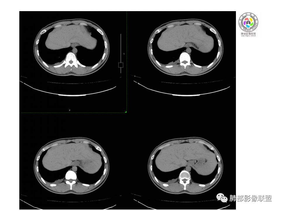
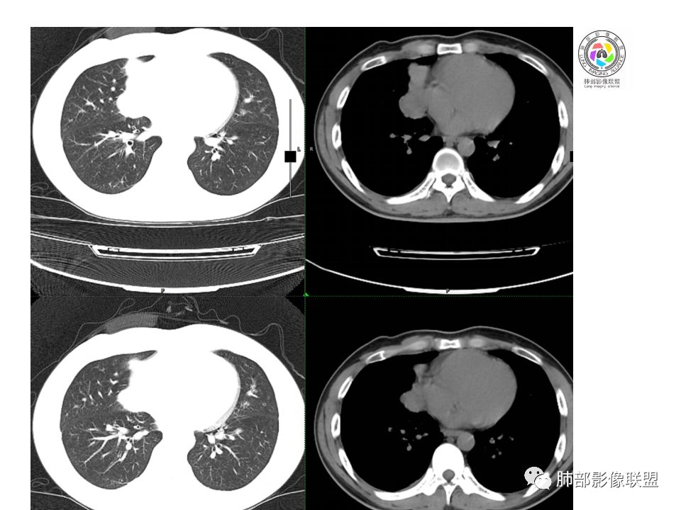
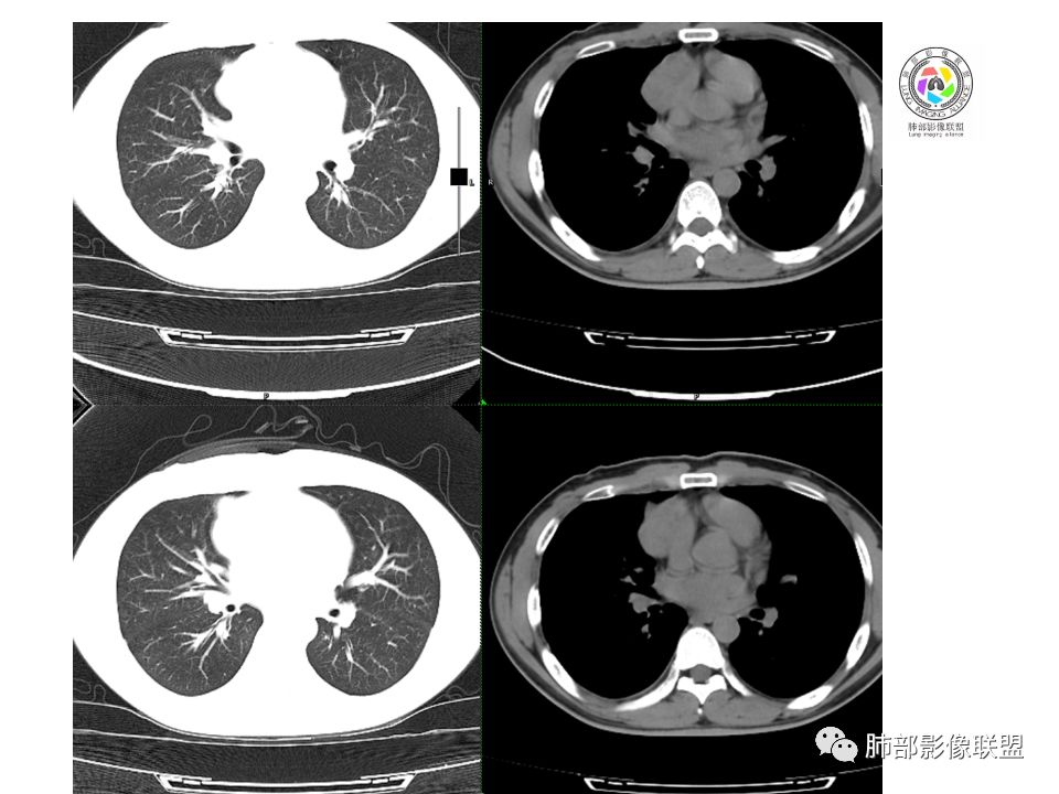
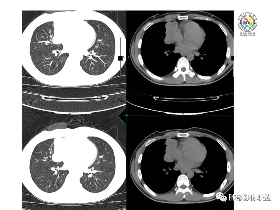
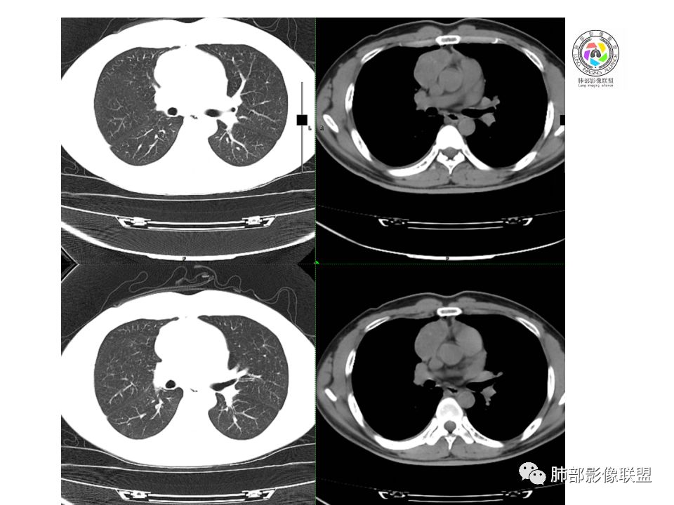
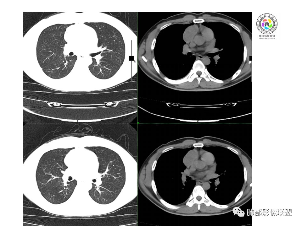
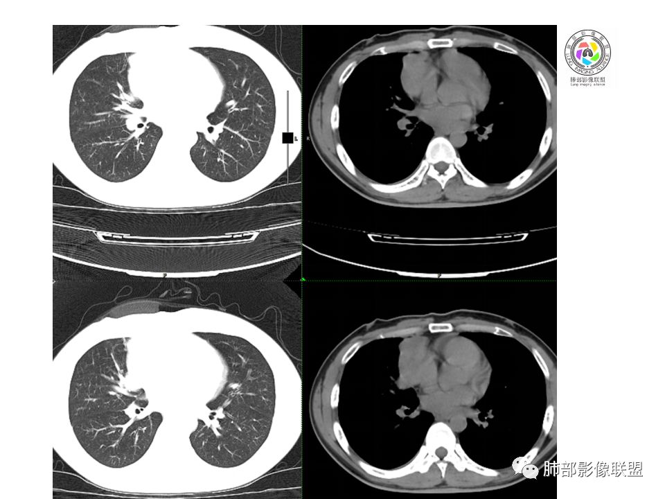
病例资料

   

   

   

   

   

   

   

   

   

   

   

   

   

   

   

   

   

   

   
病例分析
王秀仙:
晨读:前纵隔占位,密度不均,沿着右侧纵膈延伸到肺门水平,周围支气管推移,大血管向内推移。临床有重症肌无力,考虑胸腺瘤可能,鉴别淋巴瘤。
小湘医:
患者青年人,前纵隔占位,无增强,猜一个淋巴瘤,不知道右下肺膨胀不全原因是什么
一切∮随缘:
右前纵膈肿块,偏一侧生长,形态欠规则,密度不均匀,其内可见小点状钙化,双肺多发小叶中心结节及钙化灶,右侧胸膜增厚(有陈旧性结核可能),青年男性(27岁),没有增强,考虑,1,前纵隔生殖细胞瘤2,精源细胞瘤
Yiren  Sishui:
右前上纵隔占位,瘤肺交界面清楚,提示纵隔来源,其内有点状钙化,右侧胸腔积液,有临床症状,年龄轻,考虑生殖来源可能,胸腺瘤待排,请结合临床相关检查或CT增强进一步检查。
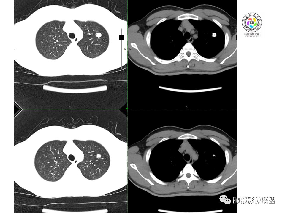
左肺上叶病灶,陈旧性钙化灶,右侧胸水是否与之相符,结核?
空帆船:
神经内分泌肿瘤
luys:
前纵隔占位,伴点状钙化;上腔静脉后移位。伴右胸膜局限性增厚,临床有重症肌无力,病人年轻,考虑胸腺瘤可能,鉴别生殖源性肿瘤。
张玉:
临床症状眼睑下垂,右纵膈占位,偏向一侧,有分叶,跟上腔静脉边界不清,淋巴结肿大,考虑胸腺瘤或胸腺癌
THINKER:
右前纵隔占位,有分隔`低密度、点状钙化,边缘光滑,侵袭心包不明确,伴右胸少量积水,考虑恶性,生殖源性可能大,有视物不清,是否脑转移待查。建议HCG丶AFP检查。鉴别1:胸腺瘤、癌,30一40岁以下,少见,但有眼脸下垂,肌无力,待排除。2:淋巴瘤:侵袭性不强,有点状钙化,不支持。3:畸胎瘤:有低密度丶钙化,建议增强进一步明确。4:神经源性:一般后纵隔常见,不支持。5:LCD:症状少见,可以有树枝状钙化,浆细胞型可以有低密度,增强进一步明确
红日东升:
前纵隔偏侧肿块,病灶内见点状钙化,症状肌无力,考虑恶性,胸腺瘤或神经内分泌癌
滴水海:
没有增强,好像两个病灶,上方三角形的像是胸腺增生。下方肿块,没有增强显得更难了,微钙化,轻度分叶,像有坏死低密度影,右侧少量胸水,胸膜受侵.,有视物模糊眼睑下垂。考虑胸腺瘤B1型及以上、B2型可能或生殖细胞瘤
崔刚:
患者年轻,有肌无力症状,除肿块外,前纵隔密度增高,与心包界限不清,考虑恶性。
王萍:
前纵隔右区占位性病变,上区与胸腺延续,下区呈分叶状,尽管年龄<30还是首先考虑胸腺瘤,侵袭性可能性大(眼睑下垂不知是否有关)。鉴别主要是生殖细胞类肿瘤,主要是精原细胞瘤。另左肺上叶结核球,右侧胸腔积液,需除外结核性胸膜炎和转移
丽:
前纵隔占位性病变,偏向一侧生长,密度不均,可见点状钙化,考虑胸腺瘤,鉴别精原细胞瘤
紫气东来:
临床肌无力加前纵膈占位,首先考虑胸腺瘤
玫:
晨读:前上纵隔病变,结合病史,考虑胸腺瘤可能,不除外淋巴瘤。
没意见:
结合临床,尽管年龄轻,也得首选胸腺瘤
采莲:
右前纵隔肿块,边界清楚,密度欠均匀,内似有分隔和低密度区,似有多结节融合,几乎从上到下,年龄较轻,不是胸腺瘤好发年龄,但却有视物模糊,眼睑下垂症状,考虑淋巴瘤?鉴别胸腺瘤?结核?
꧁༺༽༾ཊ天涯ཏ༿༼༻꧂:
右前纵隔肿块,结合病史,先考虑胸腺瘤可能,待排生殖类肿瘤
崇军:
右前纵隔肿块,结合病史,虽然年龄小于30岁,但症状太符合了,先考虑胸腺瘤可能。
田园晚风:
考虑胸腺瘤,左肺上叶良性结节钙化
毛勤香:
右前上纵膈肿块,内有点状钙化和少许小片状坏死,局部边界似欠清,右侧胸膜腔少量积液,年轻男性,小于30岁,有重症肌无力,虽然年龄偏轻,仍先考虑胸腺瘤,代排生殖源性肿瘤
极乐鸟:
胸腺增生伴胸腺瘤或癌?
一米阳光:
晨读前纵隔肿块,偏右侧,密度不均,见点状钙化灶及分隔状低密度影。胸腺瘤>生殖细胞瘤>淋巴瘤
品味生活……:
结合临床考虑胸腺瘤
德芙~云味:
前纵膈占位,上腔静脉受推移,有分叶密度较均匀,结合临床考虑胸腺瘤,待排生殖细泡瘤.淋巴瘤
宇宙星空:
有增强就比较好明确啦
张秀兰:
前中纵隔(胸腺癌区)不规则肿块,密度不均,有坏死区、点状钙化,边缘不会整肿块偏向右侧,向心包流注感,右胸腔少量积水。患者27岁,重症肌无力表现。
结果
Forever:胸腺瘤

胸腺瘤小知识
一、胸腺瘤基本知识
1.最常见的前纵隔肿瘤
2.发病年龄:40岁以上。30岁以下罕见
3.1/3出现重症肌无力,对诊断有提示意义
4.3-5%初诊时可发生远处转移
5.胸腺瘤病理标本上均伴有不同程度间隔存在
二、胸腺瘤CT诊断
1.位于前纵隔,心包旁,颈根部可见
2.常偏侧性生长,呈半球状
3.外缘光整或可见分叶
4.长径5-10cm,大于15cm罕见
5.大多数密度均匀,少数可出现小片状的低密度区
6.钙化0-20%,常为被膜或被膜下弧形钙化,实质内钙化见于A型以上
7.约30%CT增强后见低密度的线样纤维分隔;少数富血供
8.罕见纵隔淋巴结转移及远处血行转移
9.胸腺癌胸膜转移常见,对诊断有提示作用。
摘自黄勇老师课件
编辑:李运健  冯连彩
审核:徐   晓
到顶部