【每日晨读】观此肺结节,幡然醒悟!


6月3日晨读:

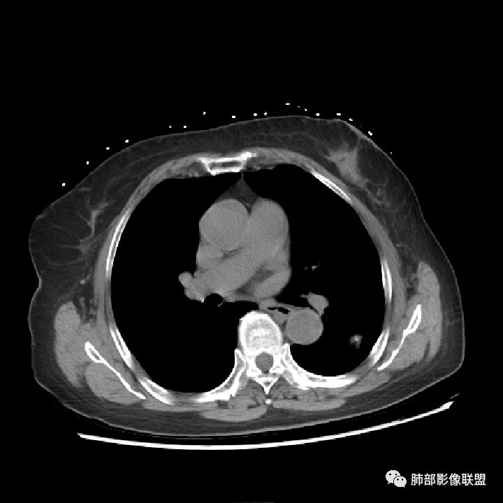
病例资料
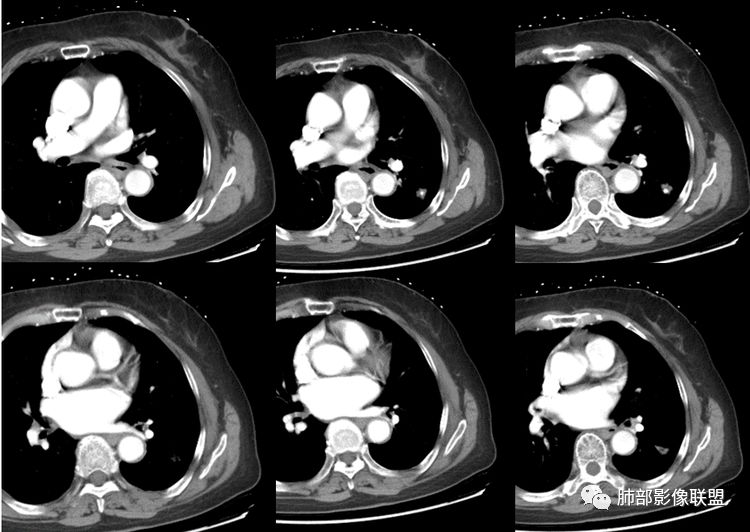
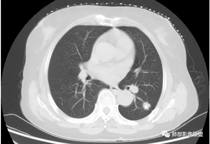
老年女性,气喘入院,发现左肺占位











群内讨论
睡神-阿豆豆:左肺下叶背段占位,边界尚清晰,有深分叶,有胸膜牵拉,有血管集束,支持恶性病变,不支持的如下,短毛刺不明显,病灶内有钙化。结核的话周围没有卫星灶。综合考虑肿瘤,鉴别结核。一切∮随缘:左肺结节,边缘光整,有分叶,轻度牵拉胸膜,形态规则,其内可见小片状钙化,增强后可见强化,病灶内似见小空泡,考虑:隐球菌,鉴别类癌蔡磊:左肺下叶占位,边缘较清,有深分叶,收缩牵拉线边缘光、清晰,内有钙化。与支气管关系不密切,增强后有强化,考虑恶性在前,错构、结核次选。M-Imaging :病灶边缘平直,其内斑片钙化,炎性肉芽肿,PC德芙~云味:左肺下叶占位,边缘较清GGO,有深分叶,边缘有膨隆有平直,胸膜牵拉,内有钙化。支气管近端有阻塞,有血管进入,增强后有强化,考虑恶性,待排隐球。丽:左肺下叶病变,边缘模糊不清,可见深分叶,内粗大钙化,轻度强化,不除外恶性可能飞鹰行动:左肺下叶病灶,有膨胀性表现,可见分叶征象,内部钙化位于一侧,见可疑小泡征,相邻叶间胸膜增厚,增强后可见血管穿入,其血管边缘毛糙,考虑恶性病变,腺癌,鉴别结核。巴伟:首先支持炎性红日东升:左肺下叶结节,边缘较光整、清晰,有分叶,外缘轻度牵拉胸膜,总体形态偏平直收缩,其内可见类圆形规则钙化(面积大于10%),增强轻度强化并见血管显影。考虑良性病变,炎性肉芽肿。平安是福:左肺下叶结节,轻度分叶,病灶内见钙化,血管穿行,中度均匀强化,边缘可见胸膜凹陷及平直,考虑结核,PC,鉴别诊断腺癌。Lotus:炎性可能性大,结核?张小兵:病灶整体以收缩为主,考虑炎性肉芽肿RockJ-ason:考虑炎性病变,鉴别腺癌张延军:左下肺结节,边缘平直,伴局限性凹陷,密度不均,内见钙化结节,良性?结核?病灶下方见穿行增粗的血管影,排除占位紫气东来:良性,结核肉芽肿,万载鑫:考虑感染性病变


Coke with ice:


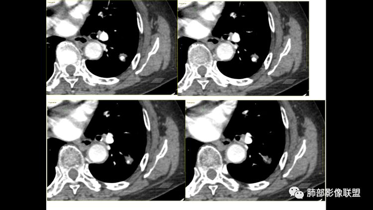
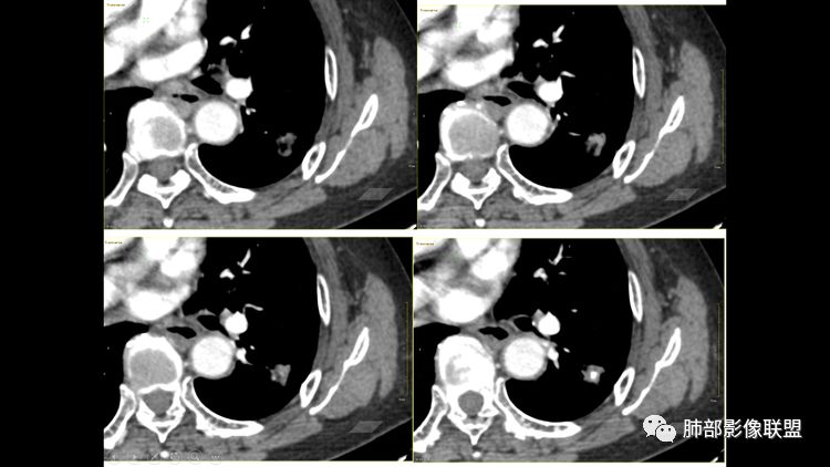
这两幅图像所示进入病灶的是什么血管?判断不清了是肺动脉吗?采莲:
左肺下叶背段不规则肿块,边界清楚,光滑,内有钙化和坏死,血管穿行,有胸膜牵拉,考虑结核球?鉴别错构瘤。Clover:
这么大的钙化,边缘收缩为主,还有血管穿行,排除良恶性肿瘤,支持炎性。结核的好发部位,隐约有卫星灶,有强化,考虑结核肉芽肿张帅:
左肺下叶背段占位,内可见钙化灶,边缘可见毛玻璃样影,周围可见平直及U型征,胸膜局部牵拉,考虑良性病变,感染性病变。鉴别腺癌。三生石上:
结核?南边:
目前考虑结核的,有考虑其他的吗
M-Imaging :
炎性肉芽肿伴钙化,隐球Shelia:
考虑良性病变,慢性肉芽肿,结核?错构瘤?雪狐7305:
左下肺背段结节影,膨隆感不明显,其内有钙化,有边缘平直征象,总体倾向于炎性,但有较深分叶感,鉴别恶性南边:
都考虑炎性?Coke with ice:
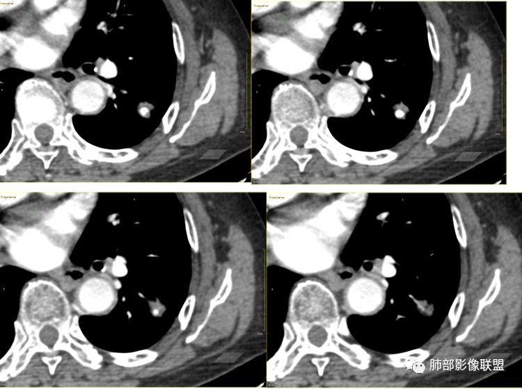
倾向于良性病变,我考虑到的常规疾病谱:PSP,炎性肉芽肿,和错构瘤,AVM。目测强化偏中度强化,结节状致密钙化,病灶内见细支气管通畅显示,考虑PSP大于炎性肉芽肿大于错构瘤。我觉得病灶内的脂肪密度是假象,需要薄层观察。动静脉未见增粗,我觉得AVM可以排除。sun dt:
炎性的,不排除钙化灶处长个东西彭君:
周围有毛玻璃密度影 边缘较清 胸膜凹陷征 有强化 进入血管边缘稍模糊 腺癌?小湘医:隐球,鉴别恶性
南边老师分析
南边:
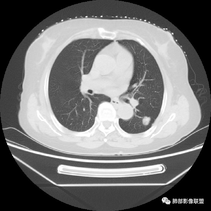
目前炎性、腺癌唐老师,有肺窗薄层的吗就目前的片我们该如何分析? 杨泽锋:
重点是钙化;是病灶的一部分还是原来的钙化被病灶包埋了冬瓜:支持炎性病变Shelia:这个增强的CT值是多少啊
wonderful:
南边:
边缘都是实性的吗小湘医:
感觉边缘是磨玻璃影彭君:
边缘大部分磨玻璃密度南边:
什么样的病变会这样表现?小湘医:
炎性病变,周围会不会比较模糊,看不清边界?采莲:
有血管进入,有叶间裂胸膜牵拉,还是考虑腺癌冬瓜:
看薄层考虑腺癌了,GGO边界清楚小鱼:
胸膜下肿块,周边无卫星病灶,分叶,边缘光滑,有胸膜牵拉,中心钙化,病灶强化不均匀,有血管进入增粗,病灶周边有较清晰膜玻璃阴影,纵隔窗边缘平直,桃尖,考虑粘液腺癌,鉴别结核隐球菌雪上一枝蒿(陈显静):
整体为实性,有分叶,借鉴昨天曹老师的话,这么大实性病灶,对旁边的胸膜牵拉却不明显,首先考虑炎性,钙化的需要鉴别隐球菌。虎爸:
的确这么大的病灶胸膜牵拉却不明显生来征服~浪子:
薄层牵拉还是挺明显的。南边:按理要考虑腺癌Coke with ice:
看了薄层我也倾向于恶性肿瘤。叶间裂牵拉比较明显了,分叶,胸膜凹陷,周围清晰磨玻璃,支气管也闭了。
Lotus:
冠状薄层像是恶性南边: 
这属于瘢痕癌,有炎性特点,有长索条影,有钙化,血管进入,比较自如,边缘似乎有点毛糙,有长索条影,有恶性特点,大家都关注钙化了,关注边缘收缩了,

结果及分析
结果:微浸润性腺癌
南边:这类病变,其实我们读了很多了。属于什么样的病变,属于瘢痕癌。我先标注给大家看一下,这个良恶性特点在哪里:


南边:首先,他有炎性的特点,有长索条吧,还有一个大的钙化。对不对,血管进去里面走行也自如,边缘似乎有点毛糙,但是没有薄层,不是很好看。
南边:它符合一个纤维索条影的一些病变存在的特点,为什么,有长索条边缘是吧,近端也是。
南边:但是它也有很多恶性的特点,大家没注意而已,大家把精力所有的关注在哪里?关注钙化灶里面去了,关注在纵隔窗的一个边缘收缩去了。
南边:
南边:
深分叶,脐凹征;边缘GGO边界清楚
就这几条就要考虑恶性
南边:你看看这个主体层面,大的一些层面,看看纵隔窗跟肺窗一对比,就发现病变不密实,似乎缩小了一大半,这就不正常了。

特别是在这种有瘢痕的基础上是吧,这个瘢痕很明显。南边:
以往有专家总结这个体积缩小超过一半的,一般会考虑炎性病变,为什么,它渗出为主的吧,但是我们后面的后来就发现这个老前辈总结出来的理论有很多东西,就不合适。磨玻璃影的边界,这个边界如何?清不清楚,这个很重要,如果边界是很模糊的,不用考虑那是炎症。那你像这种边界非常清楚的又不密实的,那种高度警惕恶性的。
本例点评:
1.肺部结节多钙化,常常是良性病灶的象征之一。如结核、错构瘤等。肺癌钙化不多见,如小细胞肺癌的钙化椒盐样分布,转移瘤结节常随机且多发等等。
2.本例肺结节内部钙化影规整而密实,既不同于错构瘤的“爆米花”或“桑葚”铺展,又有别于结核球的典型的同心圆样排布。
3.如我们无视这一钙化灶,结节影却似乎表现出另一副面孔,实性成份较多,边缘不规则,居然有磨玻璃有分叶、有异常供血、有棘状突起有胸膜牵拉等。病灶孤立,不像错构瘤静悄悄悬挂血管旁,亦未如结核球那样多卫星灶。
4.注意增强扫描,实性部分有较明显强化,这无论在结核球或是错构瘤都非常少见。
5.肺部钙化灶原本常见。肺组织并不会因为局部钙化灶的存在而豁免新生物。
 
换个视角,有些困惑或许迎刃而解
编辑:田长青 冯连彩
审核:徐   晓
病例提供:唐大川   新沂市人民医院呼吸科
到顶部