【每日晨读】谁偷走了我的肺?



专注地活在当下,是一种能力,也是一种境界。在纷繁变化中保持一颗宁静的心,不因外界的喧嚣而浮躁,不因周围的评判而动摇。珍惜生命里的每一分钟,以笃定的态度做好每一件事,自能从中体会到生活的充实和有趣。早安!
第一部分:病例资料













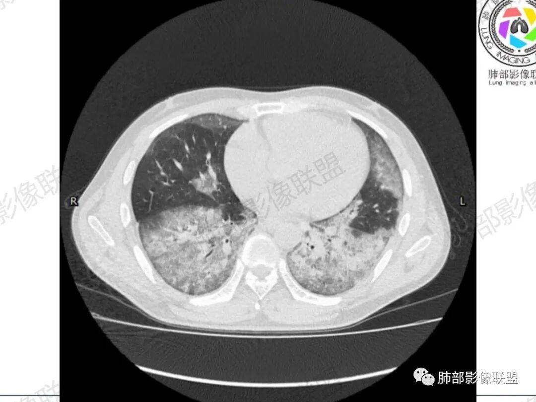
4天以后














第二部分:精彩讨论
  丽:
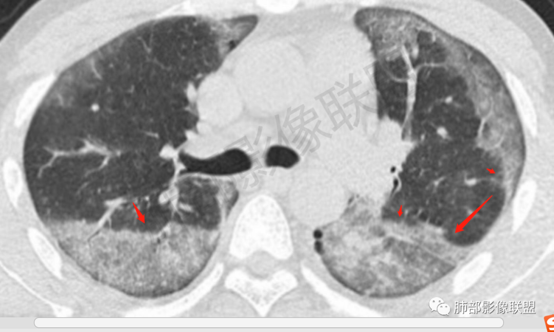
青年男性,临床症状进展迅速,影像上从无到有,双侧对称性分布,胸膜下为主,磨玻璃密度影,支持百草枯中毒肺部改变
小兜:男,34岁,急性病容,临床症状进展快,双肺早期CT可见少量磨玻璃影,四天后复查进展迅速,双侧对称胸膜下为主,双下肺为重,对症治疗效果不佳,考虑中毒所致,百草枯可能
王开金江津中心医院呼吸科:年轻男性,起病急,病程短,进展迅速,入院时已出现多器官损伤,ards,考虑百草枯中毒,药物性肺损伤,ARDS。
大雄:急性起病,多器官衰竭,双肺弥漫性肺泡损伤迅速进展,不发热,感染指标不高,猜病因,只能是中毒
一切∮随缘:第一次CT双肺弥漫小结节,密度较淡,间隔4天后,双肺弥漫性渗出及间质增厚,以胸膜下及下肺为主,部分伴有重力作用,临床症状较重,考虑AIP,ARDS?重症结核?
宇宙:初次CT两肺纹理模糊,4天后进展迅速,两肺弥漫磨玻璃影,两肺外周及下叶胸膜下为主,与正常肺组织分界清,心影增大,支持百草枯中毒
尘缘:实验室检查,血气分析,临床表现,治疗方法,影像表现,以及最后死亡结果都无比明确的指向百草枯中毒
一米阳光:进展快,外周胸膜下磨玻璃影。中毒,百草枯
爱跳舞的猫:两肺快速进展弥漫磨玻璃影,两肺外周及下叶胸膜下为主,小叶间隔增厚,上肺反晕征,支持百草枯中毒
第三部分:南边老师解读

南边:
病灶进展迅速
分布外周胸膜下
GGO+网线
网格——间质改变
边缘线影
提示边缘修复,有OP样改变


南边:一般考虑:ARDS、AIP
结合病史,支持ARDS一类,符合中毒性改变,支持百草枯中毒
第四部分:结果


                   本例小结
1.双肺病灶从无到有,进展迅速,沿胸膜下分布磨玻璃密度为斑片影,较均匀,边界较清楚,呈镰刀状,近乎对称,期间可见细网格,符合较典型百草枯中毒肺影像学表现。
本例未见气胸及纵隔气肿等。
2.结合患者服用百草枯病史及相关临床表现,诊断可以基本明确。
3.作为百草枯损伤的主要靶器官,肺部影像学能够较为客观准确地反应器相应损伤程度,以及随后可能出现的肺组织机化、纤维化等。
4.其他易损组织器官尚有肝肾及口腔食道等等。

             百草枯中毒肺损伤 CT表现及预后
                    
  百草枯,化学名为1-1-二甲基-4-4联吡啶阳离子盐,是一种高效的非选择性接触型除草剂,在我国农业生产中广泛使用,对人畜具有很强的毒性,且无特效解毒药,口服中毒病死率极高。百草枯中毒后可造成人体多脏器功能衰竭,其中肺部为最主要的靶器官,进行性的呼吸衰竭为其最常见的死因。
一 百草枯的中毒机制
   百草枯常用浓度为20%水溶液,以口服中毒最为常见、病情最为严重,人体吸收后可迅速分布于全身各组织。有研究表明,百草枯在肺内的浓度是血浓度的10-90倍,表现为严重的肺损伤,这主要由于肺内氧含量高而抗氧化剂浓度低,因而对肺组织具有较强的亲和力。肺中毒机制与超氧离子的产生有关,百草枯吸收后主要蓄积于肺组织,被肺泡I、II型细胞主动吸取和转运,线粒体还原酶II、细胞色素C还原酶催化,产生超氧化物阴离子,造成细胞破坏,最终导致纤维化。
   肺部的基本病变为增殖性细支气管炎和肺泡炎,早期可因肺水肿、肺内弥漫性血管内凝血和透明膜形成等导致急性呼吸窘迫综合征(ARDS);中后期仍存活的患者因肺泡渗出物机化、成纤维细胞增生、肺泡间质增厚,发生轻重不一的肺间质纤维化;患者最后多死于呼吸衰竭。
二 百草枯口服剂量与肺损伤程度之间的关系
  百草枯中毒肺损伤的程度与口服剂量或血液浓度呈正相关。实际工作中对部分患者中毒剂量的估计存在很大困难,单纯以剂量评估中毒损伤程度并不严谨,结合胸部CT表现对推测病程、评估预后、指导临床治疗具有重要意义。
三 百草枯中毒肺损伤的主要CT表现
    百草枯中毒肺部损伤的典型改变是一个渗出-实变-纤维化的病理改变过程,CT表现与其病理过程具有较好的一致性,CT表现具有分期特征。
    百草枯中毒肺损伤病变分布特点为早期主要分布于肺外周胸膜下,双肺下叶背段及后基底段最先出现,随着时间推移及病情进展,病变范围逐渐从外向内进展。病变早中期以渗出为主,具体CT表现包 括肺纹理增多、胸膜下线、胸膜下条片状渗出、不同范围的磨玻璃影、实变影等。中晚期逐渐出现纤维化,按病情轻重表现为局限性索条影、多发纤维灶;严重者出 现双肺多发网格及蜂窝影等肺间质纤维化征象,并继发牵拉性支气管扩张;部分患者出现气胸、纵隔/皮下气肿、心包积液以及合并其他肺部感染等。
  
四 百草枯中毒肺CT征象对判断疾病的发展及预后具有重要意义 
中毒损伤较轻患者肺部早期不出现或仅小范围出现渗出,中晚期部分患者病变可完全吸收,部分残留纤维机化病变。中毒损伤较重患者早期出现明显渗出且持续存在,病变较少吸收,部分患者因弥漫性渗出早期死亡,部分患者中晚期 逐渐纤维化导致肺功能下降,由于渗出或纤维化病变 范围较大导致残留的肺组织出现代偿性过度充气,最终出现呼吸衰竭。以上表明出现肺部CT征象的范围 及动态变化对预后具有重要提示意义。尤其早期肺部磨玻璃病变的范围在预后的判断上具有重要意义,甚至是评估百草枯中毒患者预后的一项最有意义的影像学指标,磨玻璃病变的范围越大,患者的预后越差。
提示出现纵隔/皮下气肿是百草枯中毒患者预后不良的标志,一旦出现纵隔/皮下气肿,生存率极低,形成纵隔/皮下气肿的原因,目前主要有两种学说:① 百草枯溶液对软组织的强腐蚀作用,使食管壁局部糜烂进而破溃,气体进入形成纵隔气肿。②肺泡内液体渗出物不断增多导致肺泡内压增高,引起肺泡破裂,气体进入肺间质,再沿血管鞘膜进入纵隔,形成纵隔气肿,也可进入颈、胸部引起皮下气肿,若形成胸膜下肺大疱可发生破裂引起自发性气胸。
    综上所述,口服百草枯中毒患者的胸部CT表现对推测病程、评估预后、指导临床治疗具有重要意义。在口服百草枯中毒患者的胸部CT征象中,尤以磨玻璃影的范围及肺过度充气、纵隔皮下气肿的有无与临床预后的关系最为密切,能为临床预后的判断提供重 要的影像学依据。
    参考文献:[1]张勇良,黎剑宇,张秉权,曾庆思,吴天琼.口服百草枯中毒肺损伤的胸部CT表现与预后关系分析[J].放射学实践,2019,34(09):993-997.                                        
百草枯中毒相关知识拓展讨论
^_^:20ml进展就这么快了啊!我们医院百草枯病人也不少,进展这么快的没见过.
胖胖:可能做了辅助通气治疗
百草枯中毒病理是氧自由基继发的损伤 氧疗越积极 进展越快
但是不意味着不能治
怀疑百草枯中毒就不能给氧 或者是仅对重度缺氧患者给予最低限度氧疗 这个是最重要的
原则上摄入可疑中毒剂量的百草枯 最好的方法是紧急血液灌流序贯长时间连续性血液滤过 同时给予大剂量类固醇和乙酰半胱氨酸
如果没有血液灌流和血液滤过的条件 尽快透析也可以有效清除百草枯
但是要考虑到口服30ml以上百草枯且已经出现ARDS的患者 生还几率微乎其微
如果需要预测患者结局 国外常用连二亚硫酸钠法捕获血清或尿液里面的百草枯
尿连二亚硫酸钠试验阴性的患者几乎不可能死于百草枯中毒,而血清连二亚硫酸钠试验阳性的患者几乎没有生还可能
胖胖:很多都是原来卖百草枯的商标 现在拿来卖其他农药 例如草甘膦;
百草枯的特点是可以用于免耕农业 因为百草枯落地即失活
国外淘汰百草枯成功是因为转基因抗草甘膦作物的推广,导致可以使用低毒的草甘膦来进行免耕除草
但是国内目前严格禁止转基因作物的商业化种植 所以百草枯除草剂肯定还是有相当大的市场
有的时候敌草快也会被用作百草枯的替代品 但是敌草快相对而言较少侵袭肺部 清除也比百草枯更简单
明日の路过:齐鲁指南,百草枯治疗可以达到60%
胖胖:这个数字应该有夸大,可能纳入的是主诉摄入百草枯 而非尿连二亚硫酸钠捕获试验阳性的患者
因为摄入百草枯但6小时后尿连二亚硫酸钠捕获试验仍为阴性的患者基本不可能死于百草枯 所以抢救成功率肯定会被这种情况抬高
齐鲁医院抢救百草枯的主要优势还是大量引入了血液灌流序贯连续性血液滤过 ,这是目前改善预后最好的手段
国内诊断百草枯中毒一般基于主诉和血百草枯定量检测
但是血百草枯定量检测和预后的关系是非线性的
能够线性预测百草枯中毒死亡率的只有连二亚硫酸钠捕获试验
胖胖:但我翻阅了大量论文,都发现国内只是把该试验作为“研究手段”来使用,可能是因为连二亚硫酸钠本身易爆,大部分医院的检验科没有条件配制
其实如果是小型医院 接收了口服剂量不是很高的患者,
限制性供氧、透析、类固醇和NAC的联合使用也会降低死亡率
有的人摄入量不多, 清除又比较快 ,可能还同时做了去污染之类的措施
如果是按照正规的临床实践 摄入后6小时的尿连二亚硫酸钠捕获试验阴性的患者就不需要任何治疗
达克.上官:百草枯是不是和剂量关系不大  ,好像是种类似链式反应的损害?
胖胖:和剂量有半线性关系
我前面说了 摄入大于30ml的患者预后几乎总是很差
但是不同患者对百草枯的吸收不同,而且有的时候院前急救使用的去污染手段可能会影响百草枯吸收
达克.上官:百草枯这东西入肺以后 ,是不是消耗不掉 ,会反复损伤?
胖胖:另外一点就是 ,百草枯活化以后需要氧的参与来形成攻击复合物
所以我才说百草枯中毒不能吸氧
达克.上官:氧合以后 ,能不能脱氧又变成新鲜百草枯?
胖胖:百草枯蛋白结合率低 肾脏可以清除的
但是前提条件是没有形成攻击复合物
百草枯活化之后的攻击复合物确实难以清除
使用类固醇和NAC的作用其实也是防止已经形成的攻击复合物形成纤维化
百草枯中毒的内科治疗, 现在的指南是推荐大剂量地塞米松和NAC
其实如果有条件 应该在攻击复合物形成之前,也就是摄入4小时之内使用血液灌流
血液灌流一次或者数次之后 ,序贯连续性血液滤过, 直到客观证据表明百草枯已经被清除
同时启动内科治疗
IV地塞米松 8mg q8h 持续72小时
如果是重度中毒 ,例如存在呼吸室内空气时的呼吸窘迫 难治性低血压 乳酸酸中毒或者纵隔炎,且患者家属愿意积极治疗,这个剂量的地塞米松最长可以使用5周,NAC治疗也是需要早期进行, 越早越好
根据现有证据 推荐采用两袋法输注NAC
第一袋配置为200mg/kg的溶液 4小时输完
第二袋配置为100mg/kg的溶液 16小时输完
这个两袋法其实也是用来抢救扑热息痛中毒的
算是普适方案
胖胖:毒鼠强合成非常简单, 小作坊就能搞
不过毒鼠强中毒死亡率高一般是因为医生认知不足
试问临床上专门接收中毒患者的医生 有几个知道毒鼠强中毒的标准抢救方法的?
前面挖了个坑没有填 ,简单提一句毒鼠强中毒
毒鼠强是γ-氨基丁酸(GABA)拮抗剂 中毒原理其实就是神经损伤
如果遇到有症状中毒,可以先给苯二氮卓类药物(例如安定)快速终止急性神经症状 例如癫痫发作和谵妄
然后连续输注GABA能药物(例如咪达唑仑或丙泊酚)进行程序镇静 直到证明毒鼠强已经被清除
加速毒鼠强的清除可以给予巯基类螯合剂 例如二巯丙磺钠(首选)或者是二巯丁二酸
不吝慷慨:γ-氨基丁酸(GABA)是中枢神经的抑制性递质
还有甘氨酸也是
CL-也是,所以高氯酸中毒会引起神智淡漠
不吝慷慨:毒鼠强如果是GABA的拮抗剂,那么就是兴奋中枢喽?
胖胖:毒鼠强是GABA-A受体氯离子通道的不可逆抑制剂
类似于癫痫研究的模式药物印防己毒素 都是促惊厥剂
使用苯二氮卓类药物治疗毒鼠强中毒 是因为苯二氮卓类药物可以增强GABA-A受体氯离子通道传递氯离子的能力
而丙泊酚可以直接开放氯离子通道
含巯基化合物可以螯合毒鼠强 是促进毒鼠强的直接清除
毒鼠强的结构比较像乌洛托品

编辑:杨宏刚
审核:蔡笑燕  徐  晓
病例提供:武警四川总队医院放射科 郑昊宇



到顶部