【每日晨读】颇具代表性的肺结节






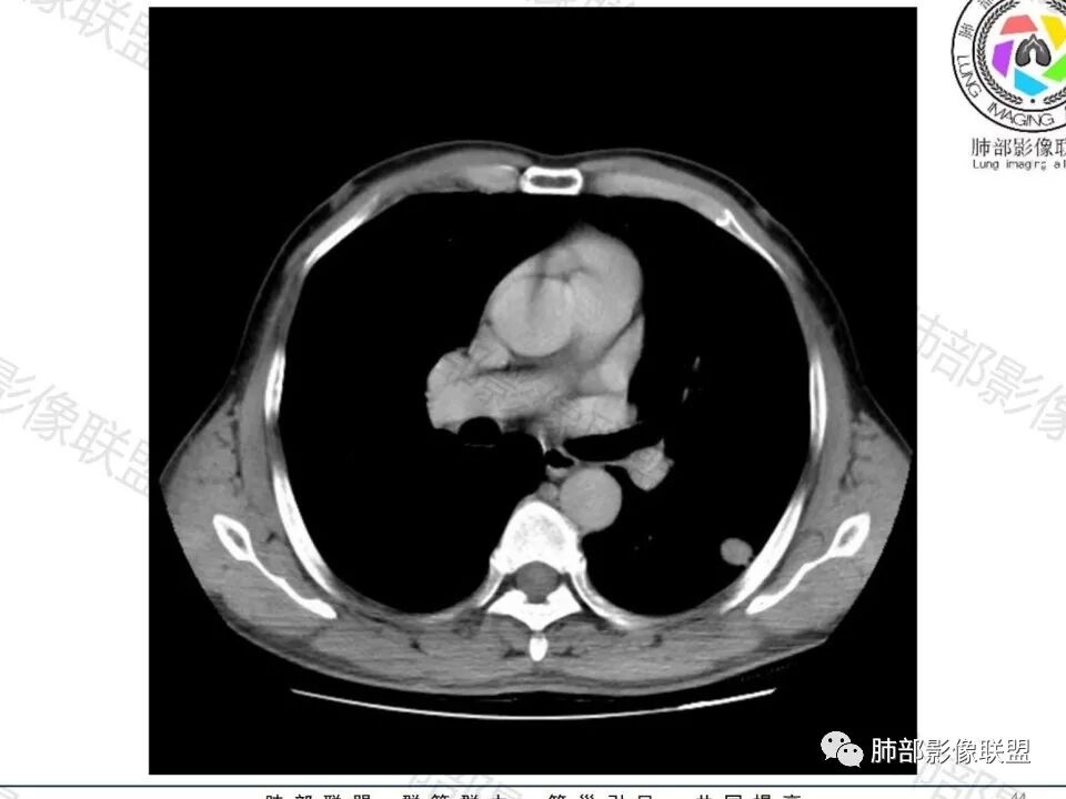
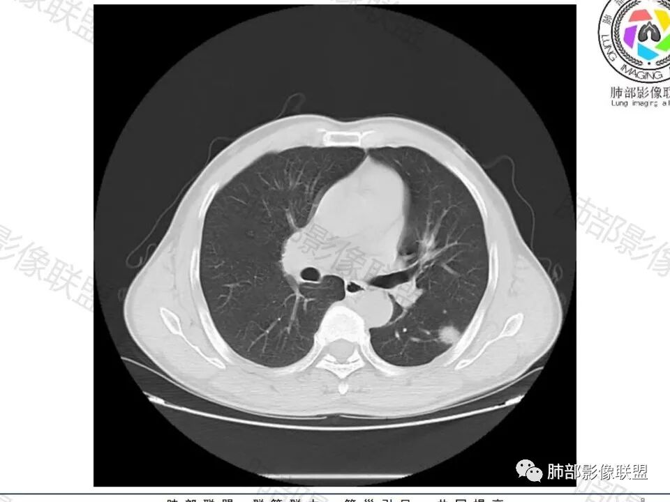
病历资料














































讨论部分
甄德强:
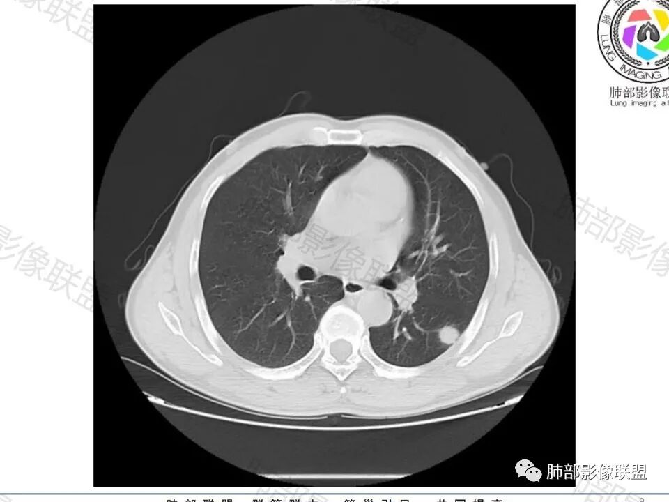
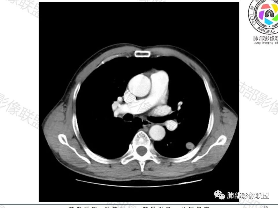
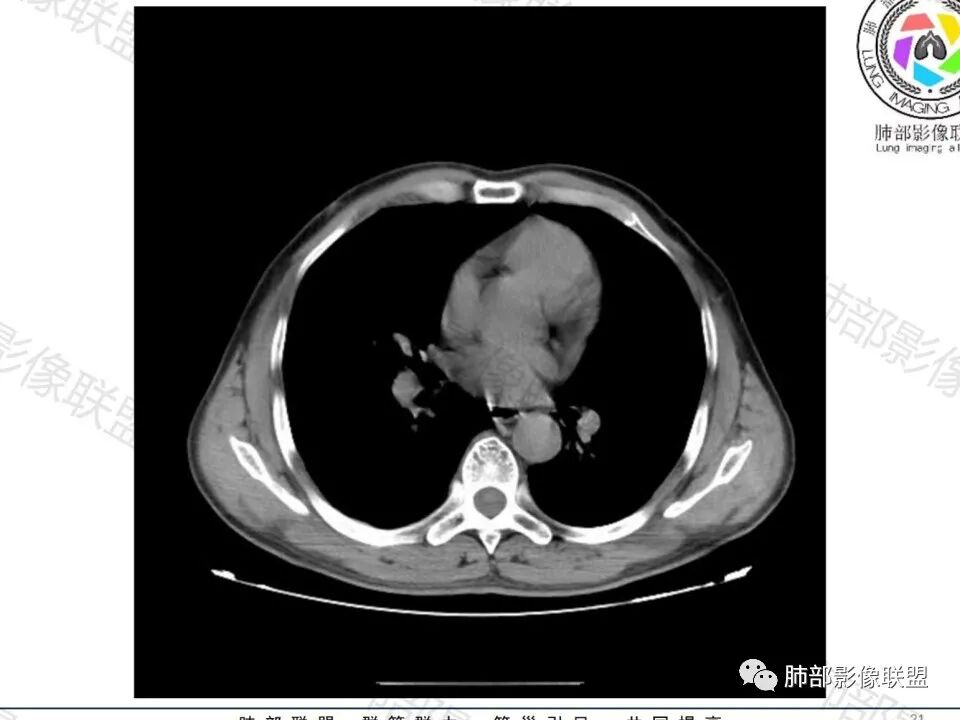
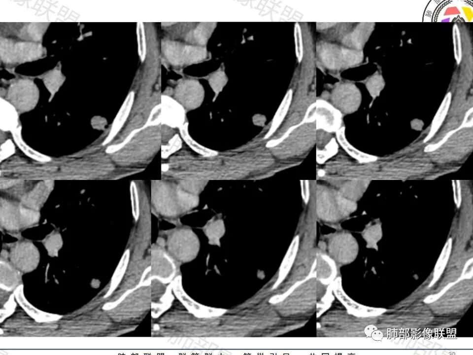
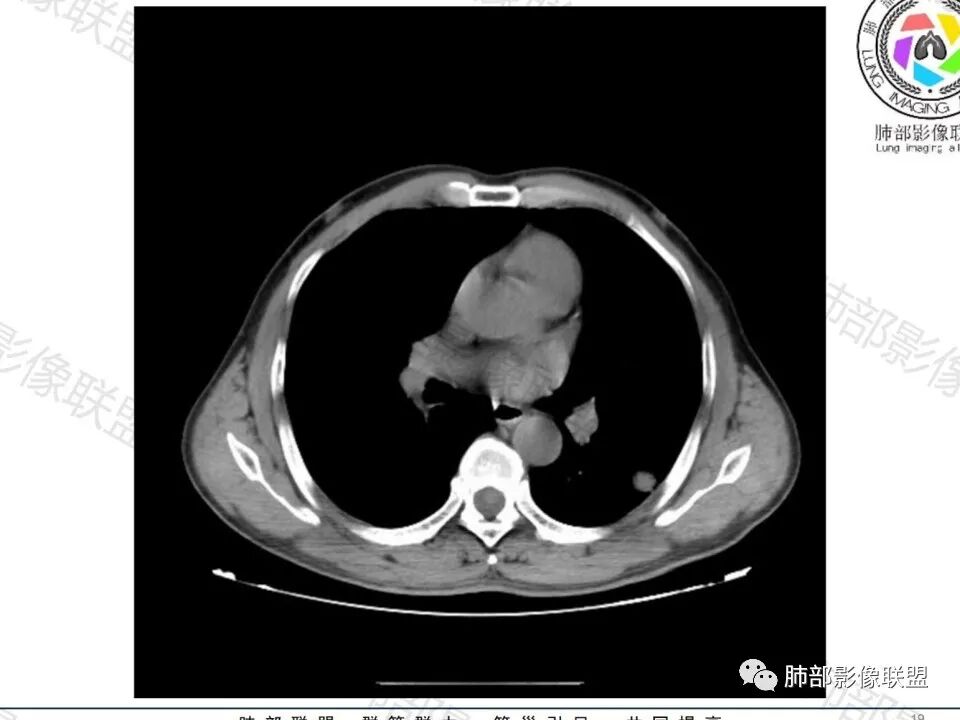
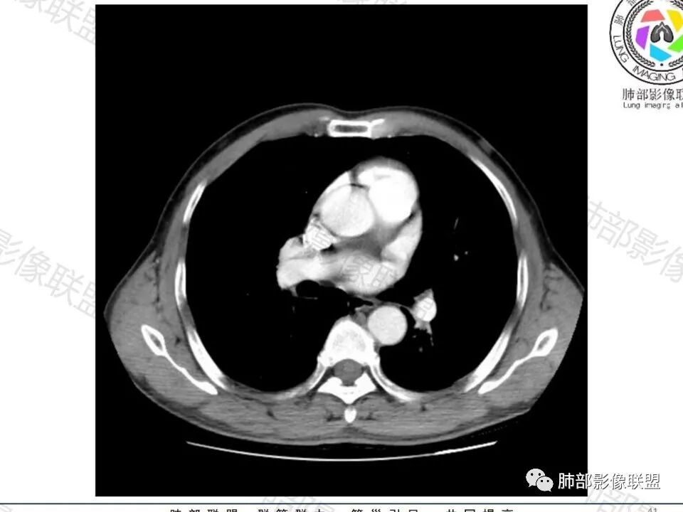
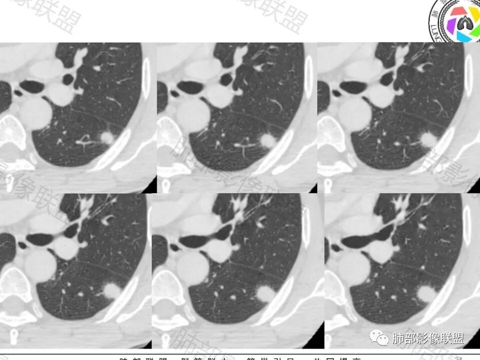
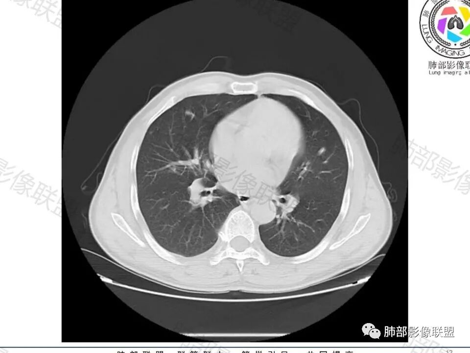
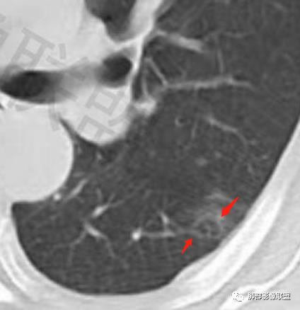
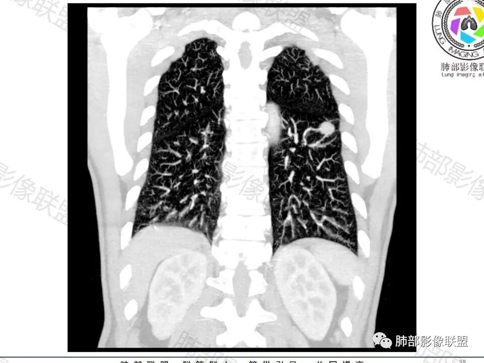
左肺下叶胸膜下结节,晕中毛刺,可见血管进入增粗,病灶中度均匀延迟强化,其他肺叶可见卫星病灶,考虑隐球菌。
玫:
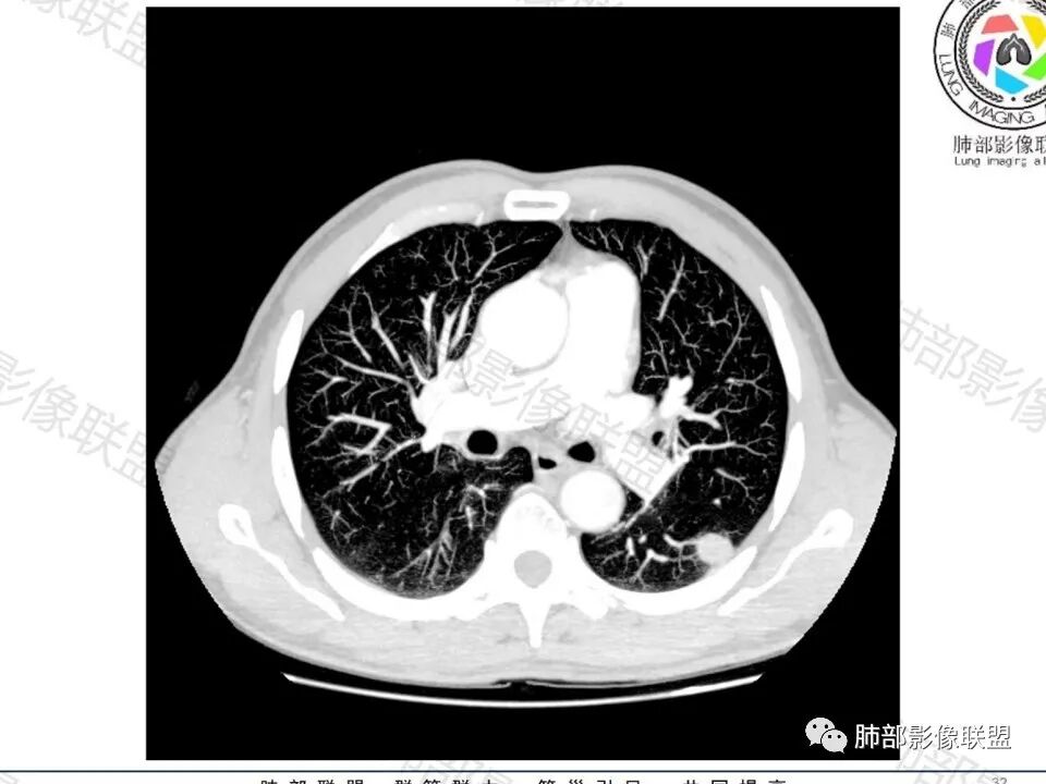
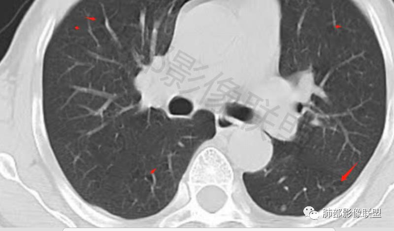
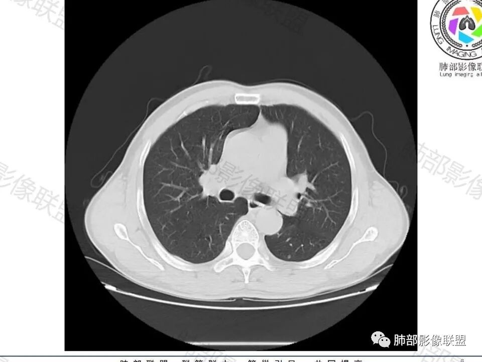
男,60体检发现左肺下叶结节,左肺下叶类圆形结节影,边界清晰,边缘见浅分叶及细短毛刺,病灶内见增粗血管影穿行,相应层面胸膜增厚,双肺另见微小结节影,增强扫描病灶轻度强化,考虑隐球菌,除外腺癌。
春秋:
老年男性,左肺下叶背段胸膜下孤立结节,整体圆顿,周围有晕,晕中毛刺,似乎支持隐球,但边缘有一囊腔,恶性不能除外!等答案!
不吝慷慨:
支持腺癌,实变为主,周围有晕,血管穿过,考虑粘液腺癌可能性大
穿越七海的风:
左肺下叶胸膜下类圆形结节,无分叶,无胸膜牵拉,周围有晕,血管支气管进入,考虑隐球菌
食客:
左肺下叶结节,边缘毛刺,见增粗血管影,临近胸膜增厚,腺癌可能。
甄德强:
真有一囊腔在结节边缘
这个腺癌确实要考虑了
必有路:
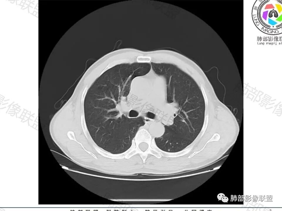
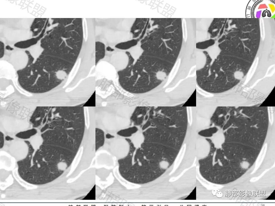
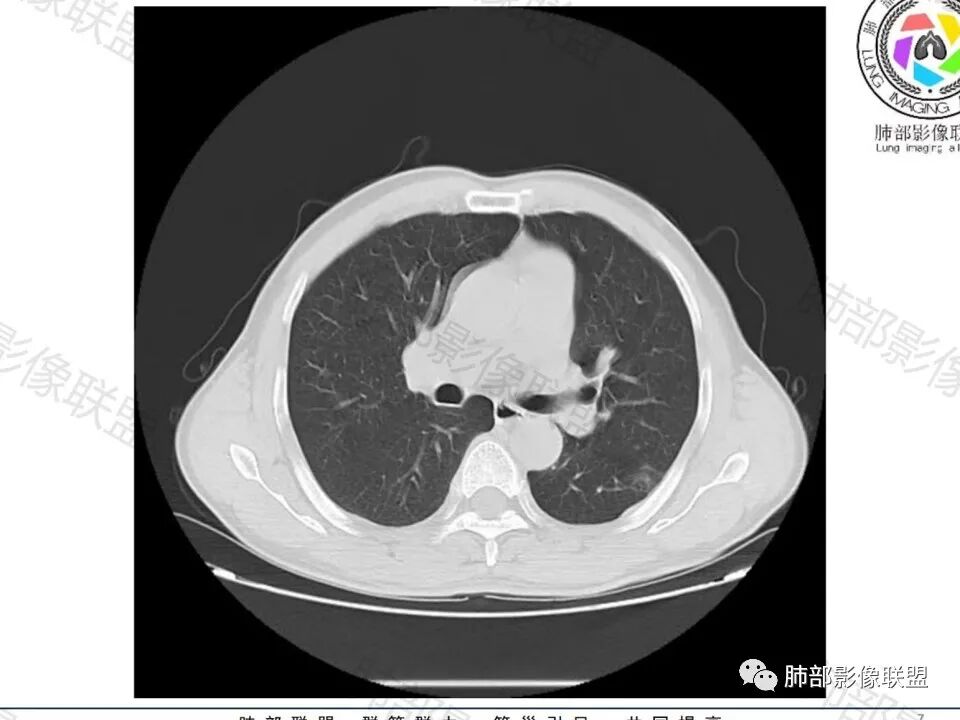
左下肺、右中肺均有结节,左下肺病灶比较鼓,边缘有晕,血管弯,持续性强化,考虑腺癌可能,鉴别两处病灶如果一元论,肉芽肿炎 (隐球)
一切∮随缘:
左肺下叶胸膜下实性小结节,边缘可见毛刺,轻度收缩,近端与血管束相连,远端轻度牵拉胸膜,并远端可见小空泡,平扫密度均匀,增强后渐近性强化,考虑腺癌,鉴别隐球菌
飞鹰行动:
老年男性,CT左肺下叶胸膜下类圆形结节,边缘光滑,无分叶,可见毛刺,相邻胸膜多条牵拉,局部胸膜增厚,(多见炎性病变),病灶周围可见模糊晕征,血管支气管进入,考虑隐球菌,现实中万万不能排除肺癌。
许慧良:
中老年男性患者,无症状体检发现,胸部CT:左下肺内前基底段近胸膜下类圆形结节,边缘清晰,周围晕征,周围毛刺细软,有胸膜牵拉及血管进入,增强扫描明显不均匀强化,考虑炎性肉芽肿,隐球菌可能,鉴别腺癌
看图说话:
图做的真漂亮!老年男性,双肺多发结节,最大者位于左肺下叶胸膜下,周围有晕,晕中毛刺,边缘有一囊腔,胸膜牵拉,持续强化,考虑隐球,鉴别腺癌。
采莲:
老年男性,查体发现,左肺下叶靠近胸膜下结节,边缘膨隆,胸膜牵拉,有细软毛刺,周围有空泡征?中度强化,有血管进入,收缩力不强感觉,我也考虑隐球菌,鉴别肺癌,粘液腺癌?
陳显静:
那根血管穿进去,短毛刺,老年,先癌后隐球菌
x-ray:
左肺下叶背段结节,短毛刺实性血管集束,增强富血供,不管病理最后怎么样,日常写报告考虑恶性腺癌可能大,建议手术或抗炎后无变化也建议手术。
王秀仙:
左肺下叶胸膜下类圆形结节,边缘光滑,周围有晕,晕中有毛刺,周围可见小卫星灶,相邻胸膜增厚,血管进入,右肺中叶可见小结节影,考虑炎性肉芽肿,隐球菌。鉴别腺癌。
傅昌瑜:
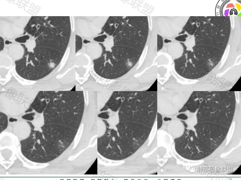
晨读:左肺下叶胸膜下实性小结节,边缘可见模糊晕及毛刺,轻度收缩,与支气管关系不清,近端与血管束相连,内见小空泡,平扫密度均匀,均匀强化。远近可见多个小结节。考虑炎性肉芽肿,隐球菌病,鉴别结核、腺癌。
爱跳舞的猫:
老年男性,左肺下叶背段胸膜下结节,边缘毛刺,血管进入,斜裂有牵拉,局部胸膜糊墙,周围有晕,但有一囊腔,首先考虑腺癌,但是右肺中叶及左肺下叶还有其他结节,鉴别隐球菌
岁月:
病史:男,60岁,体检左下肺结节,肿标阴性;
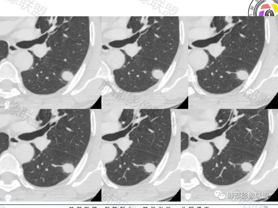
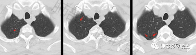
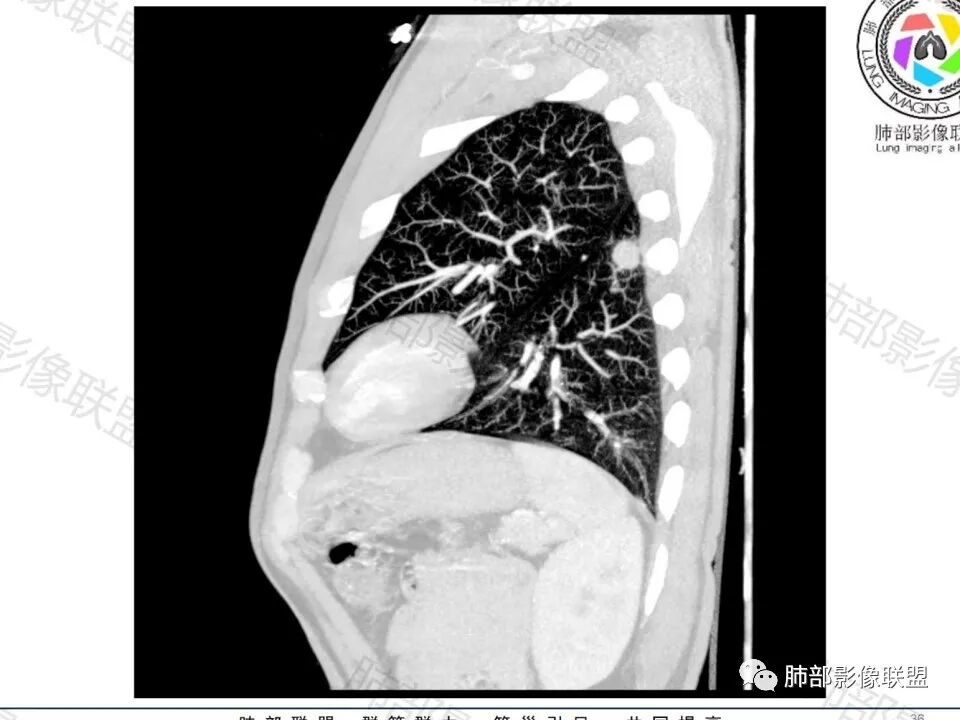
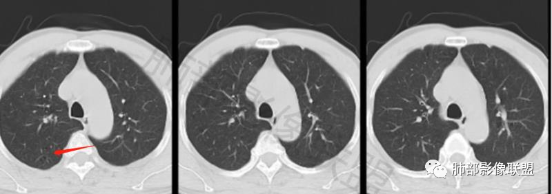
影像:轻微肺气肿,可能抽烟;旁边有个卫星灶4-5个,厚层无血管弯,薄层叶间裂轻度增厚,有囊腔,内侧有一个微血管,弯,另有两个微血管直,膨隆,增强血管不弯,糊墙,好像边界有些模糊,17-47-47,冠位轻度叶间裂弯。
诊断:警惕良性,隐球菌感染?
鉴别:腺癌,无磨玻璃,模糊?糊墙;纵膈窗太光滑,胸膜面广;不膨隆。支持点,薄层毛刺,强化。
处理:荚膜试验,G/GM试验,结核菌素实验,T-SPOT,支气管灌洗液NGS,甲基化,CTC,MRI类PET,PETCT,PETMRI,穿刺。
改进:延迟增强,曲线。VR。

南边老师分析
南边:
老年男性,无症状,肺气肿背景



这个囊可靠吗?

这应该是附近的肺气肿
血管进去还是比较自然

南边:
类圆形,边缘稍平直,周围晕中细微毛刺,密度均匀,均匀强化,血管走形自然,稍牵拉扭曲,支气管在近端堵塞
多发类似结节
常规思路:
1、炎性结节,多发,类似,晕,隐球菌?
2、恶性:多发:转移瘤?肺癌并多发转移瘤?



曹悍波老师总结
大家目前碰到多数结节是磨玻璃结节,对于实性结节的诊断反而陌生,其实性结节才是考验脑子的时候;
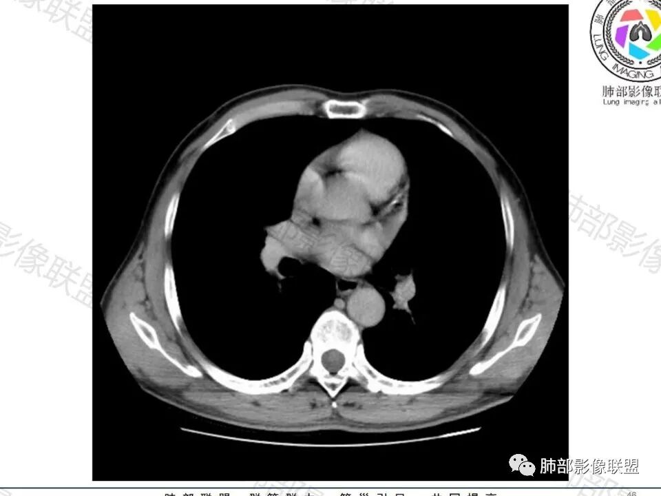
这枚结节的纵隔窗在没有调节窗位的情况下,已经很密实了,说明这个结节里面是软组织的成分,这与普通炎性结节(隐球菌等)的密度还是有区别的,很多年前就有人提出,纵隔窗显示越大,恶性可能越大;
结节周围有磨玻璃影,边界似清不清的,但是总体不如炎性晕征那么模糊;
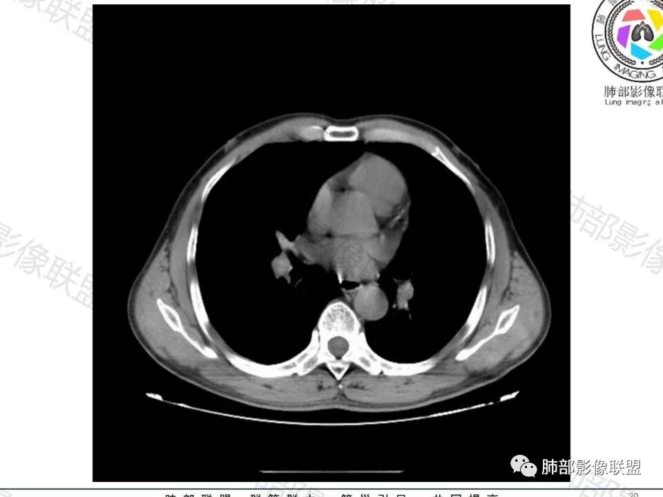
增强的程度很难讲,但是不均匀强化是可以确定的;
有收缩力,但是很轻,按照常理,实性结节因为有占位效应,不太会有收缩力,但是叶间胸膜有凹陷。所以讲,这个结节还是开了放心。
END
编辑:任正纲
审核:蔡笑燕  徐  晓
病例提供者:江苏滨海县人民医院影像科 刘海玲


到顶部