【每日晨读】大气道占位--冰山上的来客?







左右滑动浏览图片


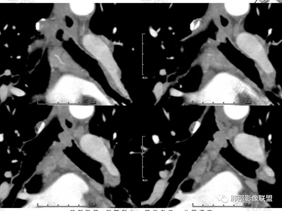
病例资料

















微信群发言

甄德强:
右主支气管分叶状肿物,气管受侵犯,强化明显,宽基底,考虑类癌。
杨文军:
右主支气管腔内结节,广基底,支气管壁增厚,无明显穿透性破坏,强化呈渐渐性,考虑低度恶性肿瘤,类癌可能,病灶有分叶,管壁受累,不除外恶性上皮样肿瘤。
洪桥爱:
57岁男性,长期吸烟史,左侧支气管占位,病变呈瘤样突入管腔,管腔狭窄,增强呈渐进性强化,病灶内部均质,未见坏死,支气管管壁局部破坏,纵隔未见淋巴结肿大,考虑恶性(腺样囊腺癌?类癌?),确诊待纤支镜活检。
宇宙:
左主支气管开口不规则结节,宽基底,密度均匀,气管壁受侵并突出管壁外,明显强化,考虑类癌,鉴别鳞癌。
一切∮随缘:
晨读:主支气管左侧壁外侧可见一肿块,病变向左主支气管延伸,跨壁内生长,边缘清楚,局部支气管软骨环不连续,平扫密度均匀,增强后渐近性中等度强化,考虑支气管乳头状瘤,腺瘤,平滑肌瘤,鉴别粘液表皮样癌,类癌。
小兜:
晨读:男,57岁,1周前咳白粘痰嗽咳痰伴血丝入院。长期吸烟史。CT示左主支气管及支气管分叉处占位,宽基底与气管壁相连,管壁增厚,似见局部突破管壁,增强呈明显渐进性强化。考虑为恶性,类癌,鳞癌可能
平常心:
支气管内占位,鳞癌,类癌,唾液腺肿瘤。从强化看虽然明显强化支持类癌,但是从发病率鳞癌更多,具体类型依靠病理,我们诊断支气管起源恶性肿瘤即可
红星:
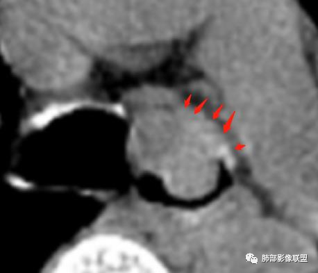
晨读57岁的男性病人,病史一周,以咳嗽咳痰痰中带血为主要表现, CT扫描与支气管分叉偏左侧支气管的位置上见分叶状的一个结节影,并局部凸向管腔内,支气管管腔明显的变窄, 病灶以实性为主,周围斑点状的钙化,生长支气管内外侧壁,可见“冰山征”,增强扫描比较明显的强化,肿块未见坏死,周围无明显肿大淋巴结。考虑支气管来源的占位。类癌?鳞状细胞癌?鉴别:支气管息肉?硬化性血管瘤?
岁月:
2020-12-07
男,57,痰血1周。
胸部ct,左肺门占位并阻塞性肺炎
49.8-93.6-102.4 气管软骨侵蚀,匍匐生长,菜花,淋巴结多、大。
诊断:男,麟。
推断:抽烟;
建议:肿标,纤支镜,介入。
慎独:
晨读:57岁男性,长期吸烟史,左侧支气管占位,呈瘤样突入管腔,管腔狭窄,气管壁侵润,表面轮廓不光整,强化呈渐进性强化,病灶内部均质,未见坏死,纵隔未见淋巴结肿大,考虑恶性(类癌?腺样囊腺癌?),进一步纤支镜活检。
琦遇:
晨读:左支气管内占位,侵袭性很强支气管壁破坏,肿瘤边界不规则,侵犯到右侧支气管,纵膈淋巴结转移,强化特点不均匀延迟性明显强化,考虑恶性支气管肿瘤,范围:类癌、粘液样表皮样癌、腺样囊性癌、鳞癌、恶性鞘瘤、平滑肌肉瘤等,综合分析感觉符合首先考虑类癌,鉴别腺样囊性癌、鳞癌。
弹指之间:
晨读:老年男性,气管腔内外肿块累及左主支气管(跨壁生长、局部钙化中断,以腔内成分为主),形态不规则,增强以延迟强化明显(含纤维或平滑肌成分)、无坏死,纵隔淋巴结肿大,考虑MT,1. 老年男性吸烟史,鳞癌肯定需要考虑(但延迟强化似乎不十分支持),2. 腺样囊腺癌(应环状生长为主、无囊变);3.类癌(应:腔外大于腔内、强化不十分支持);4.肉瘤类,软骨肉瘤不支持,纤维肉瘤或平滑肌肉瘤罕见。综合:鳞癌>纤维或平滑肌肉瘤>类癌。
采莲:
中老年男性,咯血入院,左肺主支气管肿块,基底在前支气管壁,向腔内凸起,首选鳞癌,其次类癌,粘液表皮癌,平滑肌肉瘤等支气管内肿瘤。
流心明智:
晨读:57岁男性,咳嗽、咳痰、痰血1周。长期吸烟史。胸部CT:左主占位,左主管壁破坏,瘤样病灶突入管腔,管腔狭窄,增强呈渐进明显强化,病灶内部密度较均匀,考虑恶性,鳞?类?涎腺类?鉴别TB等。
Ao..葉偲雨!:
气管分叉—左主支气管腔内占位,沿支气管壁偏心性广基底生长,部分破坏管壁向外侵犯,密度均匀,增强呈明显强化,纵隔可见肿大淋巴结。中年男57岁,长期吸烟史,气管来源病变,恶性可能性大,鳞癌?腺样囊性癌?类癌这个年纪是否偏大?
张延军:
气管腔内软组织影,软骨环不完整并侵及壁外,管腔狭窄,相应肺组织内未见阻塞性改变,增强呈明显强化,吸烟时,考虑恶性,类癌,腺样囊腺癌可能性大,鳞癌早期往往出现阻塞性不张或炎症。
王仁杰:
支气管内肿瘤,除了鳞癌外还要考虑涎腺来源的腺样囊性癌。
毛勤香:
沿长轴生长,首先考虑腺样囊腺癌,累及壁内外。


南边老师分析

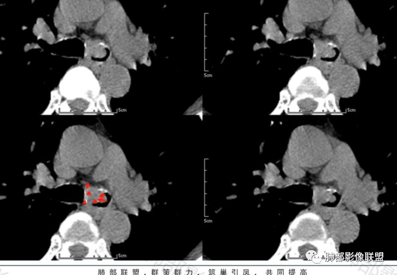
1、病灶腔内为主

2、局部软骨不连续,壁外有增厚,提示局部软骨破坏,壁外有病灶





3、明显强化
定位:左主支气管
定性:考虑低度恶性肿瘤性病变


病理结果





相关知识复习
 
腺样囊性癌
   一、腺样囊性癌:起源于支气管粘膜腺体或支气管粘膜下腺体的低度恶性肿瘤,常见于40-50岁中老年人,无明显性别差异。好发于气管、主支气管、叶支气管,段支气管及段以下支气管少见。咯血、干咳、呼吸困难、胸痛、体重减轻为主要临床症状。
   二、影像表现:肿瘤好发于气管后壁软骨和膜部连接处,这与该部位黏液腺较多有关,沿气管粘膜下延伸,呈腔内息肉样或宽基底的软组织密度肿块,沿管壁梭形生长,长径大于短径(具有粘膜下浸润生长的特性所致),管壁弥漫或全周增厚,伴管腔不同程度狭窄,肿瘤可同时侵犯腔内外,形成腔内外软组织肿块。平扫密度均匀,呈软组织密度,瘤内坏死钙化少见。增强后病灶呈不同程度均匀或不均匀轻中度强化,肺内转移常见。
 
  三、鉴别诊断:
1.鳞癌:多见于男性,抽烟史。可朝腔外生长,多为类圆形,偏心狭窄或环形增厚,常合并坏死,强化不等。生长在大支气管的鳞癌阻塞严重,周围会有明显阻塞性肺炎和肺不张。淋巴结转移相对较迟。
2.类癌:典型类癌绝大多数为中央型。对于成年人,更常见于女性。累及主、叶、段支气管,远端朝外侵犯,一般不是周围环形壁增厚;腔内外生长-冰山征;血供丰富、显著强化,可有钙化。
3.气管支气管内膜结核:长段不规则气管支气管管壁增厚,常见于气管下段,可累及主支气管和叶支气管,增厚的气管、支气管壁可见钙化,有阻塞性肺气肿、阻塞性肺炎,肺气肿区域伴分支状或指套状高密度灶,阻塞性肺炎可呈干酪性肺炎样改变;阻塞性肺不张内可见蜂窝状改变,支气管扩张,结核支气管播散病灶,同时合并其他肺部活动性肺结核病灶。
4.粘液表皮样癌 :多 40岁以下, 与吸烟无关 好发于主支气管远段,叶、段支气管,腔内结节,可分支状,轻度强化,常伴阻塞性肺炎/不张,粘液栓(密度低)。

良、恶性气管肿瘤的CT鉴别要点
对于大气道肿瘤先确定腔内的病变,再根据病变的特征分辨良恶性。
1.良性肿瘤:基底部宽度小于瘤体最大横径、与气管内壁的夹角为锐角、可有蒂、不向周围纵隔侵犯、无淋巴结增大。
 2.恶性肿瘤:基底部宽度大于瘤体最大横径、与气管内壁的夹角为钝角、无蒂、可向周围纵隔侵犯、可有淋巴结增大。(注意管壁是否增厚,肿块边缘及侵犯范围,侵及管壁内外、边界不清,淋巴结肿大常是恶性肿瘤特征)

编辑:靳文剑
审核:蔡笑燕
病例提供:九江市第一人民医院影像科 於雄


到顶部