【每日晨读】 右肺与肝脏病灶来袭,是否同源?





[肺部影像联盟]


肺部影像联盟是最全面的肺部影像与病理结合的学习平台,这里可以每天学习到大师们的经典分析思路,也是你工作、学习最好助手和基地,希望关注的老师们都有所收获,也欢迎您提供病例一起学习分享,感谢大家一直以来的关注与支持,不对之处恳请批评指正!

读 / 论
The Limit Of Heat
NO.1
临床资料




NO.2
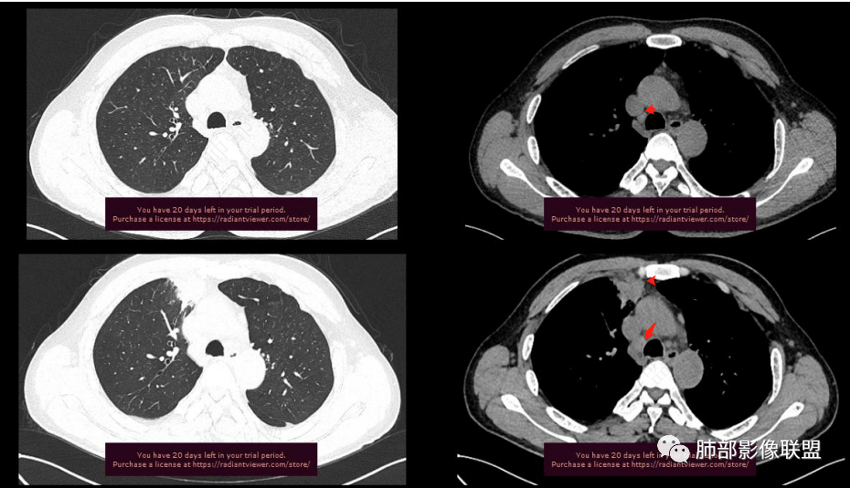
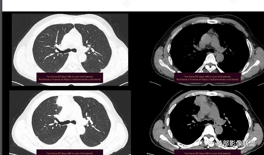
影像资料

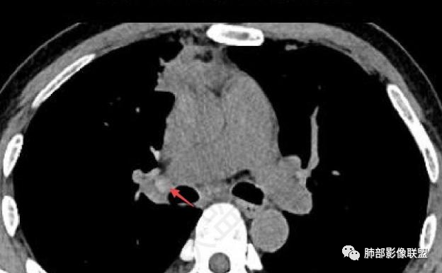
平扫图像














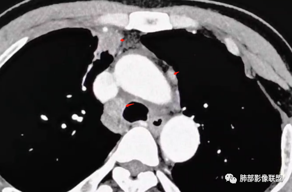
增强图像















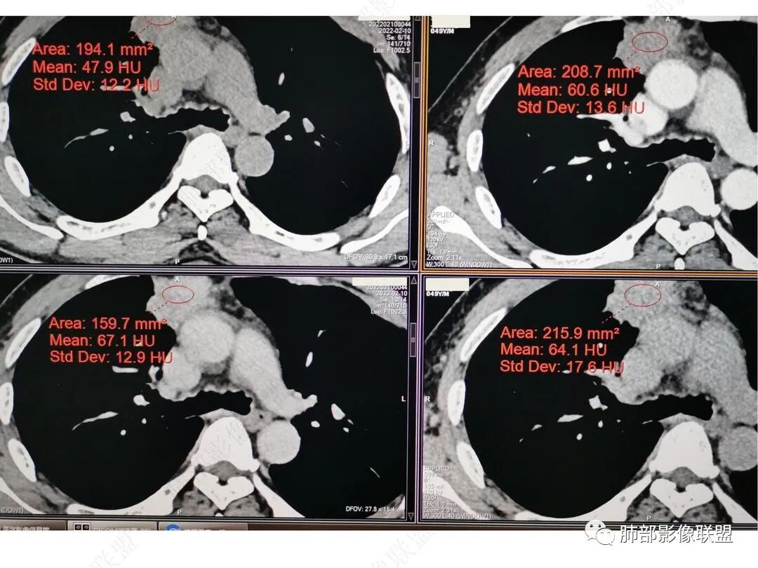
CT值信息





NO.3
病例讨论
秦化君
右肺上叶前段纵隔旁见团块状影,边缘毛糙,部分直边,支气管进入,管壁增厚,密度均匀,明显强化。考虑炎性病变。纵隔胸膜似有栽桩,腺癌待排。
^O^
肺边缘,RA相关性结节?
冯连彩日照市结核病防治所呼吸内科
中年男性,反复低热,伴有乏力腹疼,血象轻度升高,右肺上叶靠近纵隔旁团块影,边缘收缩,毛糙,有磨玻璃影,明显强化,密度较高,肝脏内似有低密度影,考虑感染性疾病,肝脓肿,但肺克一般病情较重呀,这人不知道有无糖尿病,但是降钙素原不高,肺克不考虑,其他的感染会引起肝脏也想不到了。奴卡及其他病原菌感染?鉴别肺癌并肝转移?
一切∮随缘
肺部结核?肝脏ICC?
王江涛
考虑炎性病变
凝睦
右肺上叶前段团块影,边缘毛糙,有卫星灶及小空洞,考虑结核。

中年男性,慢性发热3月,白细胞总数及crp升高,右肺上叶实变影,边缘平直为主,似乎均匀强化,血管进入后截断,考虑血管相关性曲霉感染?
飞鹰行动
中年男性,前纵膈旁团块,边缘平直,周围可见模糊的磨玻璃影,相邻支气管壁增厚,部分支气管进入病灶后阻塞,增强病灶渐进性强化,肝右叶见边缘不清的低密度影,增强渐进性强化。结合实验室检查,总体考虑炎性病变,自免性炎症?血管炎?
小兜
中年男性,右前纵隔旁不规则实变影,局部支气管进入后截断,病灶渐进性强化。肝脏右叶低密度灶,边界不清,呈明显渐进性强化。IMT?
金豆
炎症,结核。

右肺上叶片状实变密度影,边缘模糊,内可见支气管影,增强后明显强化,考虑炎性强化,肝脏也有病灶,一元,肺克?结核?
宇宙
右肺上叶纵膈旁团片,边缘毛糙,平直为主,其内见空洞,周围卫星灶,支气管进入阻塞,渐进强化,肝右叶低密度影,边界不清,渐进强化,考虑炎性病变,结核?
放射线
右肺上叶前段纵隔旁病灶一年多时间从无到有,病灶呈片状实变密度影,边缘平直,支气管进入后阻塞,轻度强化,临床感染指标增高,肝脏病灶轻度延迟强化,考虑一元,感染性病变,具体什么菌感染只能猜了,放线菌?脓肿?
冬瓜
支持感染性病变,鉴别IMT
若晗
一年内从无到有!病灶呈实性,支气管进入后堵塞,结合实验室检查,考虑肺炎可能
良孑
右上叶前段实变,边界平直,实变近端可见充气支气管征,轻度圴匀强化,炎性标志物升高,考虑炎性病变,TB可能性大鉴别一下腺癌
许慧良
考虑炎性病变
流心明智
男,49,低热3月。胸部CT:右肺上叶前段纵隔旁见团片影,部分边缘毛糙,部分平直、内收,邻近卫星灶、晕征,重建L征?支气管管壁增厚、进入后堵塞;纵隔可见肿大淋巴结;病灶密度较均匀,中度强化。肝脏片状低密度影,边缘模糊。考虑炎性病变,PC?TB?鉴别腺癌。
谢加平
右肺上叶前段胸膜下斑块病灶,边缘平直,整体形态方形,血管束进入自然,无破坏,均匀强化,胸膜下糊墙,肝S6炎性假瘤强化特点,肝和肺支持炎性肉芽肿,临床表现也示炎性反应,免疫球蛋白异常,Ig4相关疾病
尘缘
中年男性,反复低热3月伴近期乏力及右上腹隐痛,白细胞,中性粒及淀粉样蛋白A增高,PCT不高,IGA、IGg增高,类风湿因子增高,未提供IGg4水平,影像改变,左侧肋骨陈旧性骨折(2020年已存在)右上叶前段胸骨旁的胸膜下新发病灶,支气管进入后一段才堵塞,肺动脉进入,走行自然,未见破坏,明显均匀强化,气管及支气管壁有增厚,钙化,纵隔内淋巴结增大,均匀强化,无坏死,纵隔内脂肪混浊,局部强化,肝内低密度灶,延迟强化(肺内病灶,淋巴结、混浊脂肪,肝内病灶强化均一致,且均为延迟强化)。初步考虑:免疫相关性炎症,IGg4相关炎症可能大,依据:IGA、IGg增高(未提供IGg4,可能是故意隐藏了),类风湿因子增高,炎性指标增高,但PCT不高,细菌感染可能就变小,加上病变同时累及肺、纵隔淋巴结,纵隔内脂肪、肝。
鉴别诊断:
一、1、普通细菌感染性病变,白细胞、中性粒、淀粉样蛋白高,要考虑,但PCT不高,细菌感染可能小。2、左侧肋骨有骨折,放线菌要考虑,但放线菌同时累及肺内、纵隔淋巴结加肝的少见。3、结核,淋巴结和肝内强化均不支持,可不考虑。二、肿瘤性病变。1、淋巴瘤,有发热,淋巴结肿大,要考虑,但肺内病灶没有明显支气管扩张,不支持,脾不大,未提及其他浅表淋巴结肿大,可能性也小。肝内病灶强化也不支持肝内淋巴瘤。2、肺癌伴转移,一年多前肺内无病灶,且肺内病灶支气管进入很长后才堵塞,病灶内血管走行自然,与胸膜关系无栽桩,都不支持。三、淀粉样变性,气管壁有增厚,钙化,要考虑,但同时引起纵隔淋巴结,肝内改变的相对少见,排后面。综上所述:免疫相关性炎症(IGg4)>淀粉样变性。
晓锁
右肺门淋巴结可能是炎性反应增生性淋巴结
张世晓
考虑IGg4相关性炎症
蓝天白云
IGg4相关炎症,淋巴瘤
衡妈
2020.12-2022.02右上肺新发实性病灶,边缘可见刀切征,局部边缘模糊可见絮状影及少许树芽征,邻近胸膜牵拉,增强后渐进性强化,欠均匀。考虑1.炎性病变可能大,结合左上肺胸膜处陈旧性病灶,右肺病灶考虑结核可能;2.肿块型病灶 渐进性强化,考虑炎性肌纤维母细胞瘤。3.结合肝右后叶低密度灶,增强后渐进性强化,延时期与肝脏密度相似,局灶性肝炎性改变?加IgG增高 血沉明显升高 自身免疫相关病变?建议CT下穿刺活检扫描及进一步实验室检查IG4等





析 / 辨
NO.4
征象分析


南边分析

1、病史:
49岁男性,反复发热3月,不超过38°C,常规消炎药有效;乏力上腹部樱桃
白细胞,中性粒高
血清淀粉样蛋白A高,血沉高,均提示炎性
C反应蛋白、白解释——6高
类风湿因子高
2、
1年2个月图像变化:




右上叶前段胸膜下新发病灶;纵隔淋巴结较前增大

边缘平直,有锯齿状影

支气管进入其中,中近端堵


远端见斑片状高密度影


远端见斑片状高密度影

强化与肌肉类似,纵隔淋巴结强化类似
与胸膜关系:糊墙
3、从影像特点、临床:支持炎性
反反复复,提示慢性炎症反复发作
肝脏确实没看到明显恶性特点
多区域,累及淋巴结,反复发作,免疫相关的病变确实要考虑

Coke with ice分析

1、补充一点点征象,欢迎拍砖。
病变诊断炎性是比较明确的。老师们说了很多依据,我再加几个征象

1
红箭-支气管分叉间条形高密度

2
这个脂肪间隙很模糊。

3
这里也是。还有血管增粗。

4
增大淋巴结
很多增大的淋巴结,强化方式一致均匀,
未见明确坏死,融合不明显,没有明确的分布优势。

5
这里是软组织密度,纵隔内突入
我觉得这里可以怀疑是栽桩。
肝脏病变明确,是轻度强化,延迟强化特点,边缘模糊,有轻微的包膜挛缩。

6
是不是有气管壁的增厚呢?
反复看薄层视频,我拿不准有没有支气管膜部受累的情况,但是这些支气管管壁增厚感觉有点可疑。

7
平扫。这种淋巴结密度偏高,还是挺多这种略高密度淋巴结的
2、思路,支气管分叉处的这种锐角突起,邻近胸膜脂肪间隙密度模糊,加上老师们标记的其他征象,猜炎性在前
炎性病变并栽桩的,常见的就是放线、结核性肉芽肿。我印象中曲霉也可以,有点记不清了。
支气管管壁可疑增厚、淋巴结密度高、肝脏病变,让我不由得想起了淀粉样变性。
另,这个人的左肺不知道发生了什么,上肺有个高密度,体积缩小,肺气肿在下肺,胸膜有增厚。需要结合病史了。
3、诊断倾向
炎性在前,感染性病变在前,建议排查淀粉样变。鉴别建议:1.反复观看、多方位观察薄层,确认到底有无支气管管壁的问题;2.问病史,有无其他部位病变,看心脏、肝脏、肾脏、神经等有没有淀粉样变的证据支持;3.IGg4的肺部影像诊断太难了,看胰腺,看心脏血管,一针管血也就鉴别了。4.抗炎复查,观察疗效;5.可穿刺活检。
需要精通腹部的老师指点一下,Igg4和淀粉样变 的肝脏受累是什么表现,看看能不能找到鉴别依据。

NO.5
结果与回顾
病理 / ???

Coke with ice
我觉得肝脏是个突破点。就肺部病变诊断淋巴瘤有些困难。
尘缘
 腹部有MRI做个DWI,可能更好明确。
不会去首先考虑到淋巴瘤的,但是如果是临床病人,鉴别淋巴瘤也是必须的。在实际工作中,肯定会先查IGg4,如果正常,马上就会穿刺活检了。
南边
淋巴瘤确实可以,淋巴瘤很少侵犯血管
尘缘
发热和淋巴结肿大,就会考虑到淋巴瘤可能,主要是脾不大,也没有提是否有浅表淋巴结肿大(要是临床能摸到腋窝,锁骨下,腹股沟淋巴结肿大,会想到HD可能),肺内病灶确实看不出淋巴瘤特征,至于肝脏,CT表现没有特异性(有MRI的弥散受限,也会考虑到),


病例回顾
病例回顾:
1.中年男性,临床发热,症状较轻,中长病程,炎性指标轻度增高。
2.右肺上叶纵隔旁新发实性密度病灶,密度均匀,轻度强化,未见空洞、液化坏死及钙化,血管穿行自如,支气管进入后狭窄截止。灶周磨玻璃影边界不清,病灶未见明显分叶毛刺,平直、轻度收缩、周围偶见结节影,但未见树芽征。注意纵隔胸膜侵入或突入比较明确。纵隔淋巴结轻度增大。
3.右肺容易想到的病变有慢性炎症、IGg4相关、新生物(炎性肌纤维母细胞瘤、腺癌等)。但病灶侵入纵隔胸膜应当更符合恶性肿瘤。病程进展及强化等影像特点不支持继发性肺结核。
4.肝脏病灶没有假包膜,没有动脉早期强化,没有肝硬化,未见扩张胆管,未见环形强化,也未显示靶征,缺乏肝细胞肝癌、胆管细胞癌、转移癌或肝脓肿特征。
但回顾性分析,如此少血供确实可以符合淋巴瘤,如果密度更均匀一点的话,这是我们有所忽略的地方。
5.淋巴瘤可以解释影像改变,但仅凭影像及临床很难想到它是霍奇金!结外病变主攻方向以肝组织、肺组织为主,还突破胸膜?

NO.6 疾病相关拓展总结
节选自往期内容

    原发性肺淋巴瘤(PPL)是指肺实质或支气管的淋巴组织异常增生,侵犯的主要对象就是肺间质和支气管粘膜下组织,无纵膈、肺门及其他部位的淋巴瘤,在发病时或者确诊后3个月内没有肺外病变的证据,是结外肺淋巴瘤的一种罕见类型,以肺的非霍奇金淋巴瘤(NHL)多见,其中NHL肿最常见的就是结外边缘区黏膜相关淋巴瘤组织(MALT)淋巴瘤,其次是弥漫大B细胞淋巴瘤。肺MALT淋巴瘤是较为罕见的低度恶性肿瘤,多见于50-70岁,男女发病率无明显差异,或男性略多于女性

国外多名学者的影像-病理研究报道认为其病理学基础是由于肿瘤细胞沿支气管血管束周围间质及胸膜浸润生长,形成小叶间隔增厚、支气管血管束增粗等间质性改变,进一步浸润肺泡壁、充填肺泡腔。
病灶可表现为:表现为实变、结节及磨玻璃影。
①实变的出现率100%,多表现为两(89%)或单肺多发,密度均匀,与邻近胸壁肌肉的密度大致相等,少见钙化(15%),这与病灶内血管保持 完整,血供丰富,且肿瘤生长缓慢,对缺氧耐受好,不易坏死有关。边缘磨玻璃影或晕征具有特异性,其病理学基础是肿瘤细胞对小叶间隔、肺泡壁的淋巴瘤样浸润;
②其余肺叶磨玻璃影或结节常见(67%), 多沿支气管血管束分布;可表现为病灶周围间质性改变,磨玻璃密度影或晕征及树芽征象,周围组织间质增厚并且有结节感,病理基础为肿瘤细胞浸润细支气管周围间质及肺泡壁。

其中实变是其特点,胸膜下或支气管血管束节段性分布具有特征性,跨叶征较常见。

注意和其他肿瘤相鉴别

病灶的密度:密度均匀,部分病灶内可见空洞及气液平,轻中度均匀强化。
病灶的边缘:有膨隆,浅分叶,也有平直、收缩,平直收缩是因为肿瘤组织浸润致肺泡塌陷及周围纤维组织增生,牵拉正常的肺组织向病灶中心形成聚拢状改变,似呈“炎性”改变。

支气管充气征伴或不伴支气管扩张:
肿瘤细胞沿肺间质及支气管黏膜下组织浸润,支气管管壁未见明显破坏,管腔内未见肿瘤细胞充填,呈现充气支气管征;充气支气管走行自然,无扭曲、僵硬,内壁管腔光滑,支气管管壁见增厚并常有管腔的扩张,含气支气管可呈串珠样不均匀扩张,扩张明显处呈空腔样或皂泡样的囊状含气影;
支气管扩张目前有两种意见:一是由于肿瘤组织起源于肺间质,肿瘤沿或跨越脏器解剖结构生长,原有解剖结构残留,周围增生的纤维结缔组织牵拉导致支气管扩张;二肿瘤侵犯支气管粘膜下植物神经丛致平滑肌张力丧失;而这类支气管扩张在肿瘤治疗后有时可消失。

血管造影征:
肿瘤组织浸润引起间质增厚、肺泡壁破坏、肺泡腔充填,而周围充盈血管走行自然,未受肿瘤侵犯。




往期精选
●【每日晨读】肺内淋巴瘤的影像表现
●【每日晨读】经典再现,见之不忘(典型的肺内MALT淋巴瘤)!
●【张家港精益求精专栏】“软弱迟钝”的肺MALT淋巴瘤
●【每日晨读】肺内黏膜相关淋巴组织淋巴瘤
●  病例学习——肺淋巴瘤
●  两例女性肺黏膜相关淋巴组织淋巴瘤及相关文献复习
●【肺部影像系列】淋巴瘤肺浸润

END
病例作者:徐同辉老师
编辑:刘青青
审核:雷凤   徐晓







扫码关注

肺部影像联盟
到顶部