【每日晨读】 这样的肺肿块您会诊断吗?



     忙碌是一种幸福,让我们没时间体会痛苦;是一种快乐,让我们真实地感受生活;疲惫是一种享受,让我们无暇空虚。
 01
病例资料


































 02
精彩讨论
飞鹰行动:
老年女性,左肺下叶团块影,支气管僵硬,狭窄,闭塞,增强病灶中度不均匀强化,考虑恶性病变,肺癌(腺癌可能)
王江涛:
左下肺野大肿块,与斜裂关系密切,肺门淋巴结肿大,考虑1、不典型类癌 2、SFT
看图说话:
左肺下叶肿块,气管堵塞,边缘分叶,磨玻璃影,均匀强化,无坏死,恶性肿瘤,肉瘤,腺癌。
金豆:
左肺下叶大片实变,膨胀性生长,气道外压性狭窄或者堵塞,均质,似乎均匀强化,血管包埋,少坏死,小圆细胞特点,恶,淋巴瘤,轻度强化,鉴别粘液腺癌。
了:
老年女性,痰中带血,无发热及咳嗽等急性感染症状,胸部CT左肺下叶实变影,周围磨玻璃影,边缘模糊,病灶整体边缘平直,均匀强化,第一印象考虑炎性肉芽肿
放射小白:
老年女性,痰中带血。影像表现:左肺下叶见团块状占位,右肺下叶支气管阻塞,肺门见肿大淋巴结,增强轻度强化,内部可见血管影,定性恶性,首先考肉瘤样癌/癌肉瘤,鉴别虑淋巴上皮瘤样癌、大细胞。
丽:
老年女性,左肺下叶软组织肿块,边缘模糊,内支气管腔部分狭窄,增强后轻度强化,静脉期渐进性强化,考虑恶性,淋巴上皮瘤样癌,鉴别肉瘤样癌,腺癌
伟:
考虑恶性占位,腺癌?淋巴瘤?
放射线:
左肺下叶占位,周围见斑片状密度增高影,增强病灶内及边缘可见散在血管影,病灶内见坏死及模糊血管影,中度强化,周围少量积液,考虑间叶组织来源,肉瘤类,鉴别粘液表皮样癌,SFT
知足长乐:
老年女性,软组织肿块,气管堵塞,强化坏死不明显,恶性,腺癌不典型,考虑淋巴上皮样癌、鉴别IMT、腺癌放最后。
衡妈:
老年女性,痰中带血。左下肺肺门旁由内向外团状实性病灶,密度相对均匀,内未见支气管充气,边缘有分叶,有磨玻璃晕,增强后中等相对均匀强化,中心少许低密度区,可见血管影征。左下血管旁可见肿大淋巴结。考虑左肺恶性肿瘤,实体型腺癌,肺的大细胞神经内分泌癌?鉴别淋巴瘤。            
蓝天白云:
左肺下叶占位,支气管开口处可见,远侧段闭塞,肿块外大内小,内见坏死,分泌粘液成分,轻度强化,考虑恶性,淋巴上皮瘤样癌、癌肉瘤,大细胞神经内分泌癌,
邢瑞欣:
老年女性,痰中带血,左肺下肺门示软组织快影,支气管堵塞,强化明显,可见血管征考虑肺癌,肉瘤?
晓锁:
老年女性,痰中带血。左肺下叶团块状软组织密度影,占位效应,形态膨隆、分叶,边界清楚,肺门见肿大淋巴结,增强轻度强化,内部可见肿瘤血管影,定性恶性,间叶组织来源肿瘤,神经内分泌肿瘤等。
弹指之间:
老年女性,痰中带血,影像:左下肺门旁肿块,外缘膨隆,周围见晕,段支气管外压、阻塞,中央见坏死,近段血管包埋,增强后轻中度不均匀,左侧肺门淋巴结肿大,左侧胸腔少量积液,考虑:恶性,肉瘤或淋巴瘤,低分化腺待排。
谢加平:
老年女性,痰中带血就诊,左肺下叶大肿块,边缘不规则,内前基底支气管“针尖”样狭窄是特点,轻度均化,无坏死,与心包界限不清,示有侵犯,左肺门淋巴结肿大,肿块外周淋巴管炎明显,见左膈肌动脉供血,支持恶性肿瘤,神经内分泌Ca?与淋巴瘤鉴别,穿刺病理检查明确诊断。
南边:
支持恶性
外周朝内侧发展
流心明智:
女,70,痰中带血。胸部CT:左下肺门旁团块影,边缘膨隆,分叶,周围少许磨玻璃影,基底段支气管阻塞。增强不均匀强化,中央见坏死,血管少、迂曲;左侧肺门淋巴结肿大,左侧胸腔少量积液。考虑:恶性,腺癌?大C?鉴别肉瘤。
风之子:
左肺下叶占位,边界清,支气管堵塞,边缘支气管推移,不规则多灶性坏死,轻度强化,可见散在血管影,病灶内见坏死及模糊血管影,考虑间叶组织来源,肉瘤类,鉴别粘液表皮样癌,腺癌强化不符合,鳞癌坏死不符合
 03
病例分析
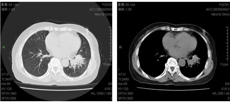
1、老年女性,70岁,痰中带血。
2、左肺下叶肿块,边缘较清晰,外围大,外朝内发展

3、支气管开口处可见,远侧段不能追踪

4、增强轻度强化,内部坏死范围不大,且可见血管影。左肺门淋巴结肿大。
整体符合恶性。没有较大支气管阻塞,强化特点及坏死表现,加之女性患者,不符合肺鳞癌。病灶形态及强化特点,缺乏张力等不符合典型肺腺癌。涎腺类肿瘤、淋巴上皮瘤样癌、肉瘤样癌等等都应有待病理排除。

 04
病例结果

 05
知识拓展
原发性肺淋巴上皮瘤样癌
原发性肺淋巴上皮瘤样癌(lymphoepithelioma-like carcinoma,LELC)是一种非常罕见的恶性肿瘤,约占全部肺癌的 0.92%,于 1987 年由 Begin 等首次报道,2004 年 WHO 把该病归类于肺未分化性大细胞癌的一个亚型,2015 年 WHO 肺肿瘤组织学分类中将其归为非小细胞癌中的其他未分类癌组;LELC 可发生在鼻咽以外前肠起源的器官,包括口腔、涎腺、腮腺、胸腺、肺以及胃等,文献报道该病与 EB 病毒感染密切相关,在组织学上与鼻咽未分化癌相似,具有与鼻咽未分化癌相似的生物学行为,对放、化疗敏感,预后较好。
临床特点:
原发性肺 LELC 的发病具有显著的人种和地理分布特点,与原发于鼻咽部的 LELC 是一致的,多见于亚洲黄种人,白种人少见,在我国高发于南方沿海地区,性别无明显差异;临床表现无缺乏特异性,主要表现为咳嗽咳痰、胸闷胸痛、咯血、发热等,部分患者在体检中发现,文献报道该病与吸烟关系不大,相比其他类型的肺癌,其平均发病年龄小,预后好。
病理及免疫组化:
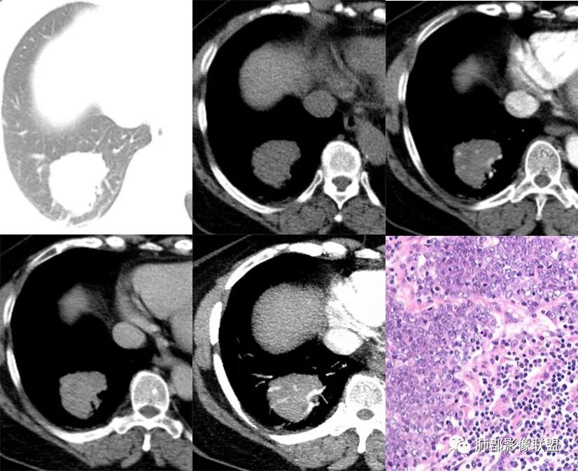
肉眼观病灶多为单发,大多呈边界清楚的圆形、类圆形肿块,切面呈灰黄灰白色,少见出血、坏死;镜下多数病例为典型的 LELC,与鼻咽未分化癌的泡状核细胞亚型类似,癌细胞呈巢状分布,细胞间及间质内有大量淋巴细胞浸润;免疫组化可见 CK、CK56、P53 均表达阳性。
MSCT 表现
原发性肺 LELC 在 CT 上可分为周围型和中央型,早期病灶大都贴近胸膜,靠近纵隔,晚期病灶易侵犯大血管与支气管,发生淋巴结转移概率高。
1.  周围型原发性肺 LELC:以胸膜下单发结节/肿块为主,边界清楚,多发生于两肺下叶,呈圆形、类圆形或不规则形结节/肿块,边界清楚,边缘光滑常呈浅分叶状,毛刺征不明显,空洞及钙化少见,液化坏死罕见,平扫大多数肿瘤呈均匀一致的等密度,少部分肿瘤可因病灶内出现空洞、液化坏死及钙化而密度不均,增强扫描病灶常呈轻到中度渐进性均匀/不均匀强化,可有血管集束征/血管包埋征,肿块可侵犯临近胸膜及血管。
★血管集束征/血管包埋征:是由增粗的支气管动脉或肺动脉组成,与恶性肿瘤细胞产生肿瘤血管形成因子,诱发肿瘤新生血管及肿瘤供血血管代偿性增多、增粗有关。
2.  中央型原发性肺 LELC:靠近肺门或纵隔,体积较周围型明显大,呈分叶状,边界清楚,部分肿瘤可伴有阻塞性炎症而显示病灶边缘模糊,肿瘤位于肺门时常引起支气管狭窄、毛糙,但较少引起支气管中断,淋巴结转移常见,常可见肿块包绕侵犯肺门诸结构,增强扫描肿瘤多呈均匀强化,少部分肿瘤可见无强化液化坏死区。

右肺下叶周围型 LELC:右肺下叶密度均匀占位,边界清楚,边缘光滑,浅分叶状,毛刺不明显,增强扫描渐进性强化,内部见肿块包绕的粗大血管影。

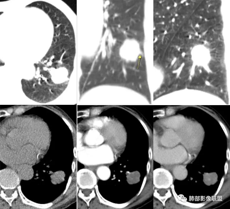
左肺下叶周围型 LELC:左肺下叶密度均匀占位,边界清楚,边缘光滑,分叶征及毛刺征明显,增强扫描轻度渐进性强化,内部见肿块包绕的血管影。
【鉴别诊断】
1.  肺癌:鳞癌好发于老年男性,常有吸烟史,中央型多见,可见分叶征及毛刺征,易发生空洞及坏死,侵犯气管、支气管,引起阻塞性炎症、阻塞性肺不张、阻塞性肺气肿,常伴淋巴结及远处转移;腺癌好发于女性,周围型多见,分叶、毛刺及胸膜牵拉常见,空泡征,血管集束征该病显著。
2.肺类癌:少见的低度恶性内分泌肿瘤,中央型多见,边界清晰,浅分叶,支气管腔内、腔外生长(冰山征),增强扫描明显强化。
3. 硬化性肺泡细胞瘤(PSP):肺部少见的良性肿瘤,孤立性实性结节,边界清楚,边缘光滑、浅分叶状,强化明显,可见贴壁血管征,钙化少见,多呈点状钙化。
4. 炎性假瘤:形态及边缘不光整,可见分叶征,毛刺以长毛刺为主,病变周围常见炎性渗出,强化程度偏低,常有急、慢性肺部感染病史。
总结
1、与EBV相关,具有地域性及种族性,好发于年轻、无吸烟史人群,无明显性别差异
2、 临床表现缺乏特异性
3、影像特点:单发结节或肿块,靠近胸膜/纵隔,分叶状,边界清晰,多数密度均匀,坏死、空洞、钙化少见,增强均匀/不均匀渐进性强化,血管集束征/血管包埋征
4、单纯影像学鉴别较困难,确诊需依靠病理
                                                                      来源:丁香园影像时间

病例来源:傅昌瑜老师
编辑:杨宏刚
审核:雷  凤   徐  晓


到顶部