【每日晨读】犹抱琵笆半遮面的肺腺癌


01
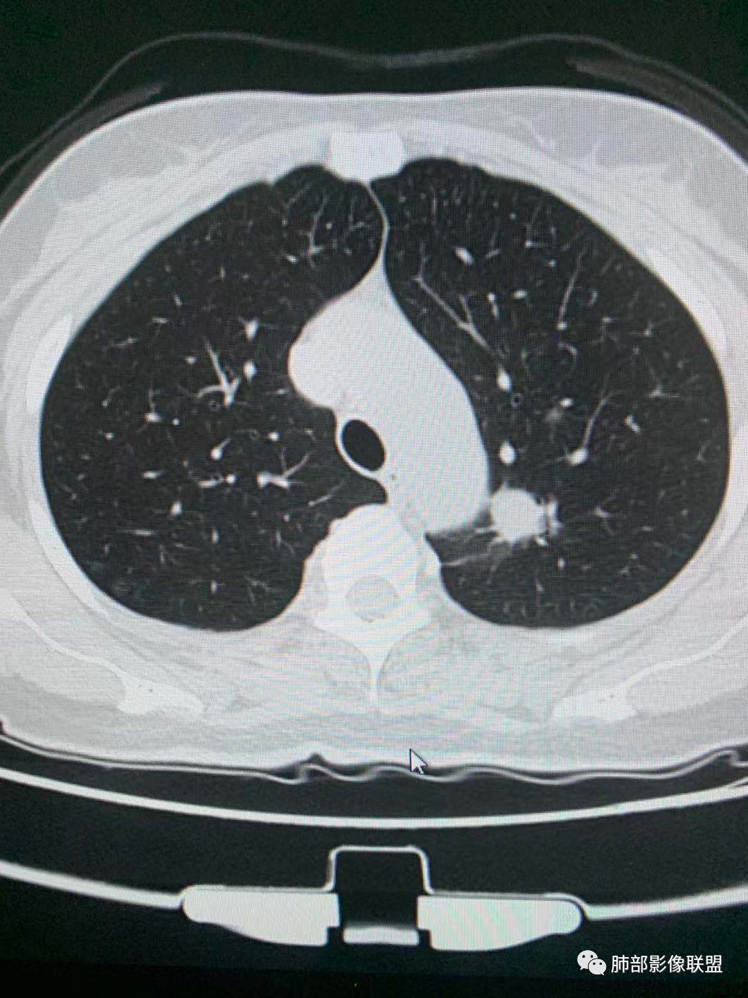
病例










































02
讨论
定位及定性

joyzhy 
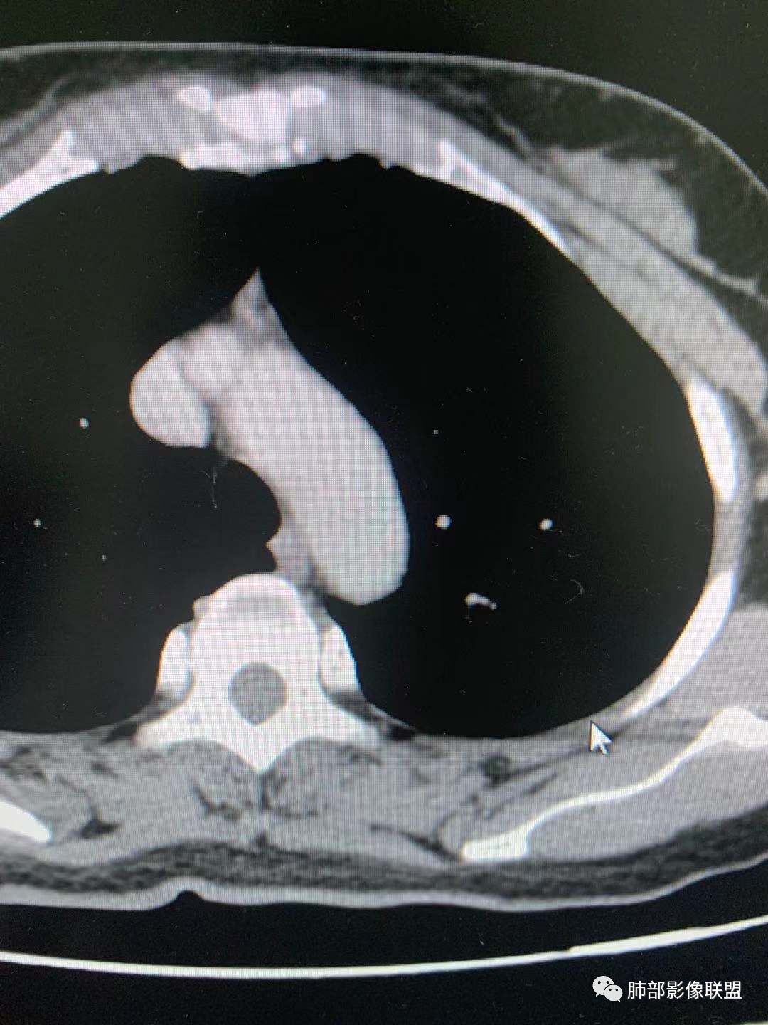
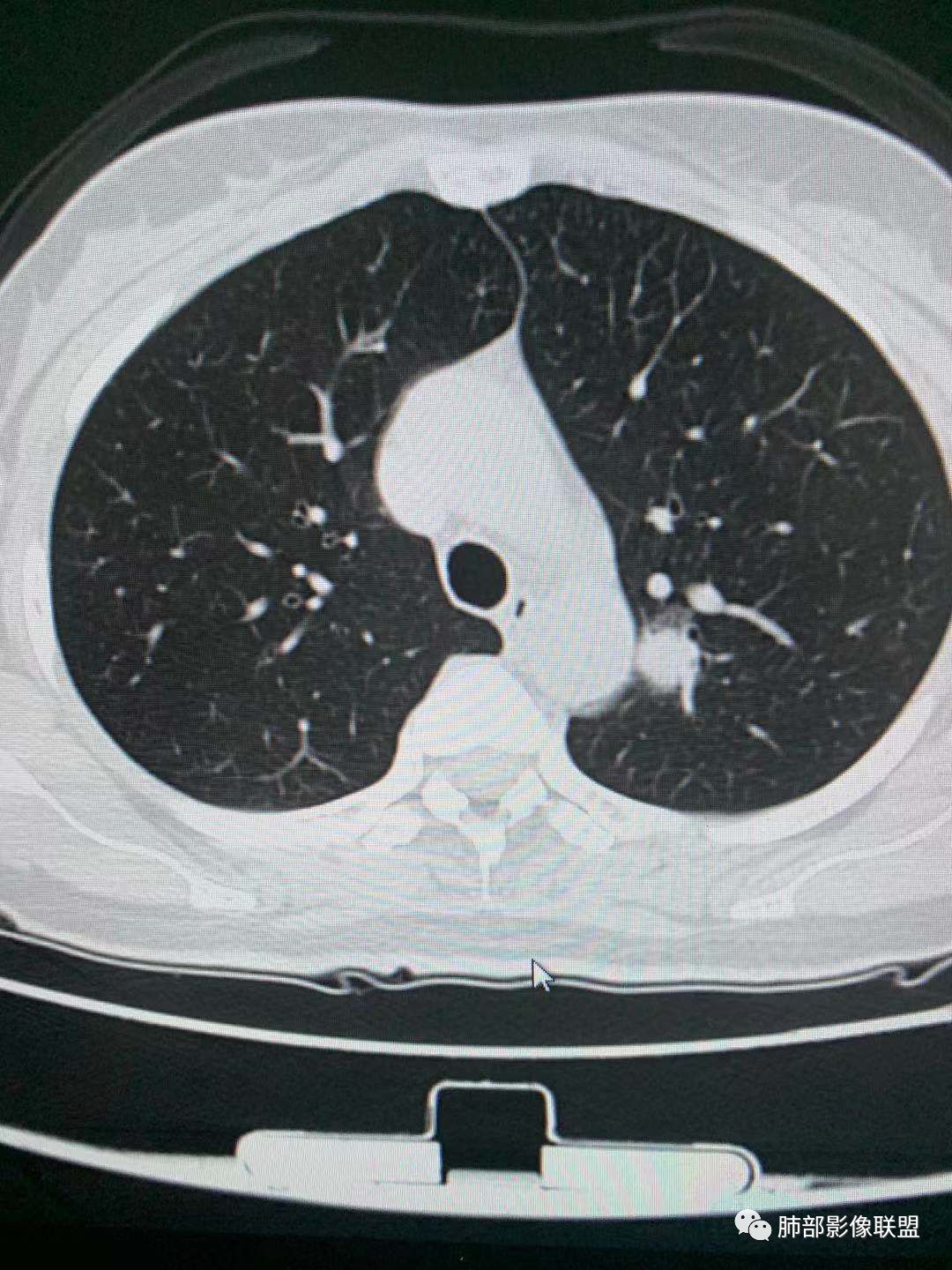
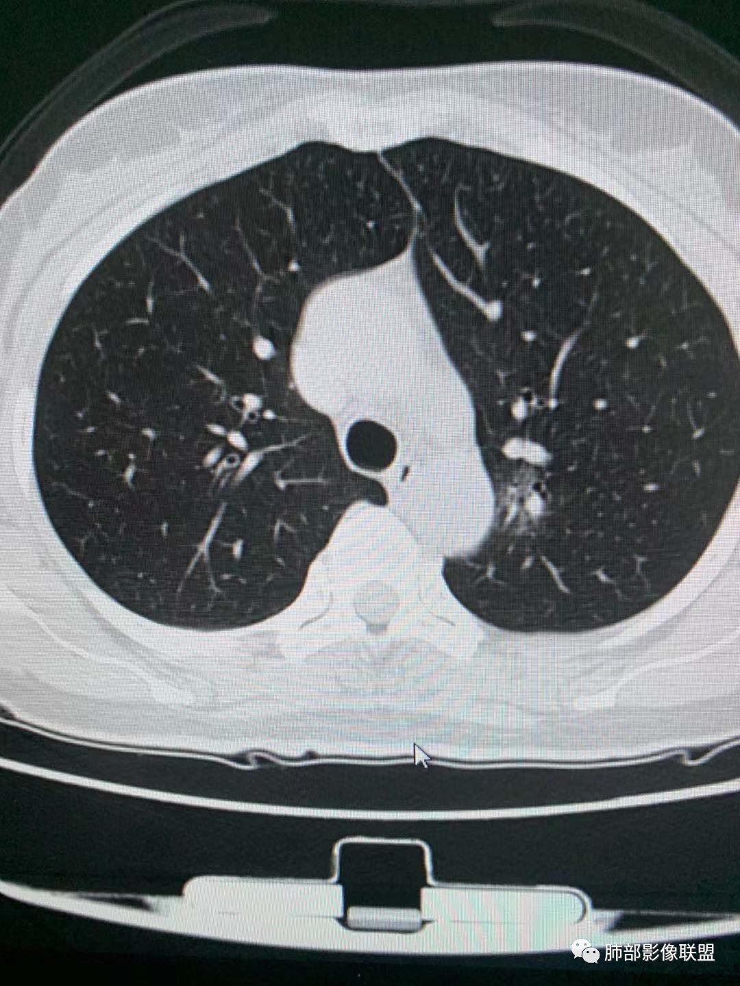
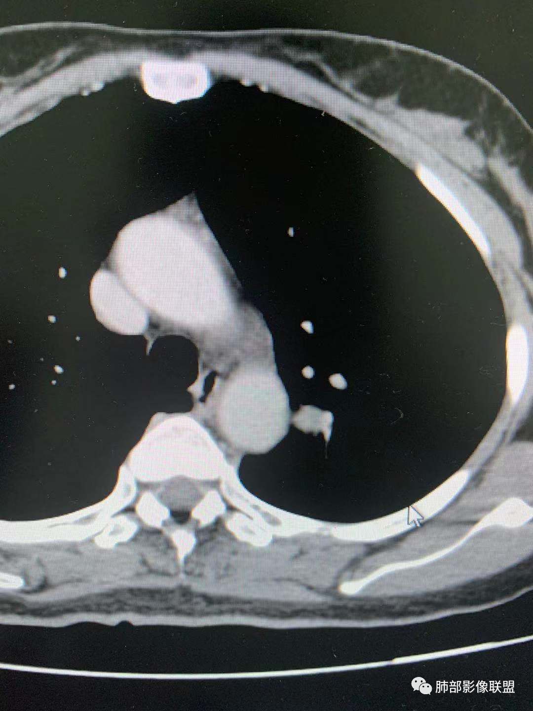
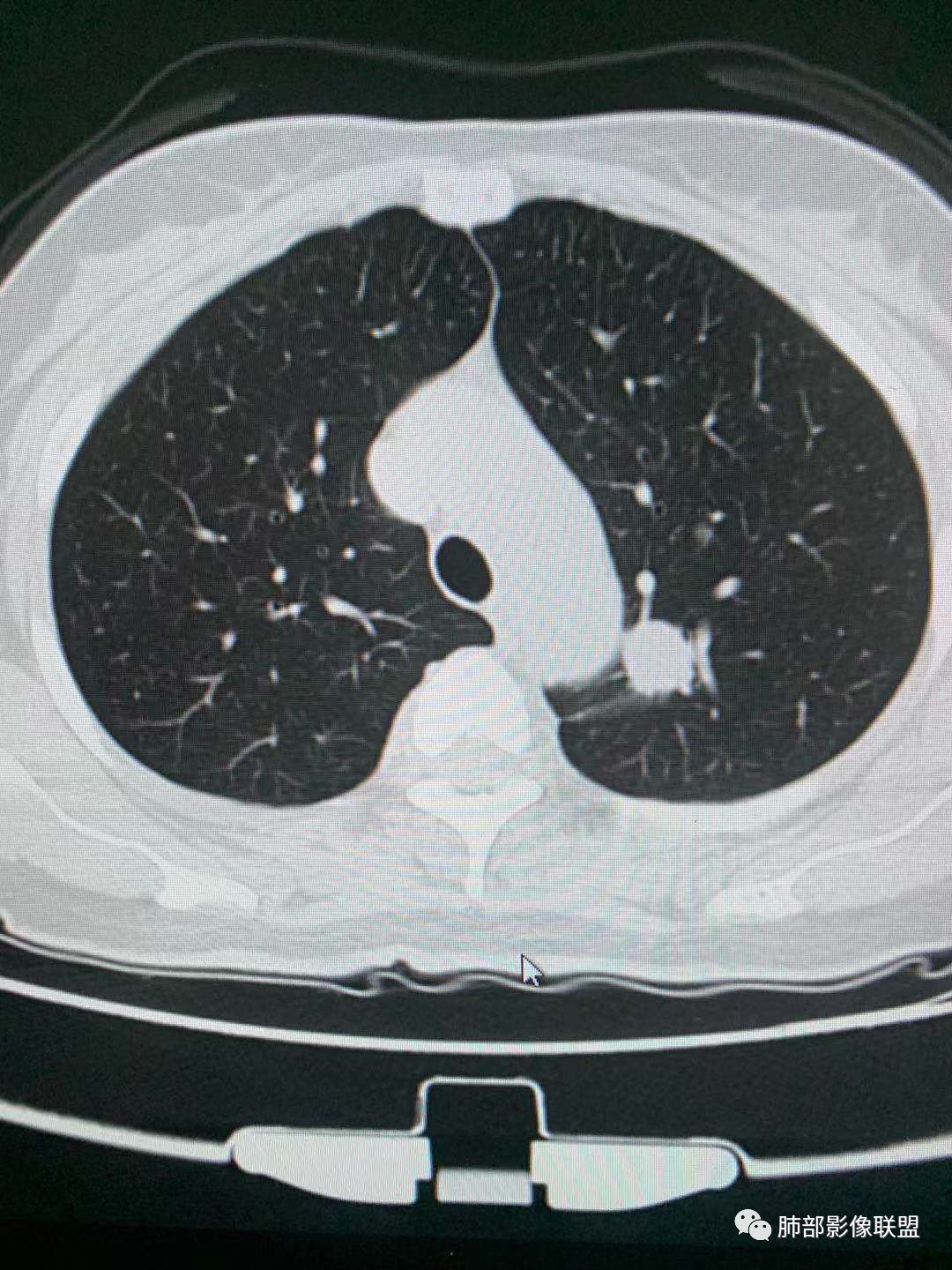
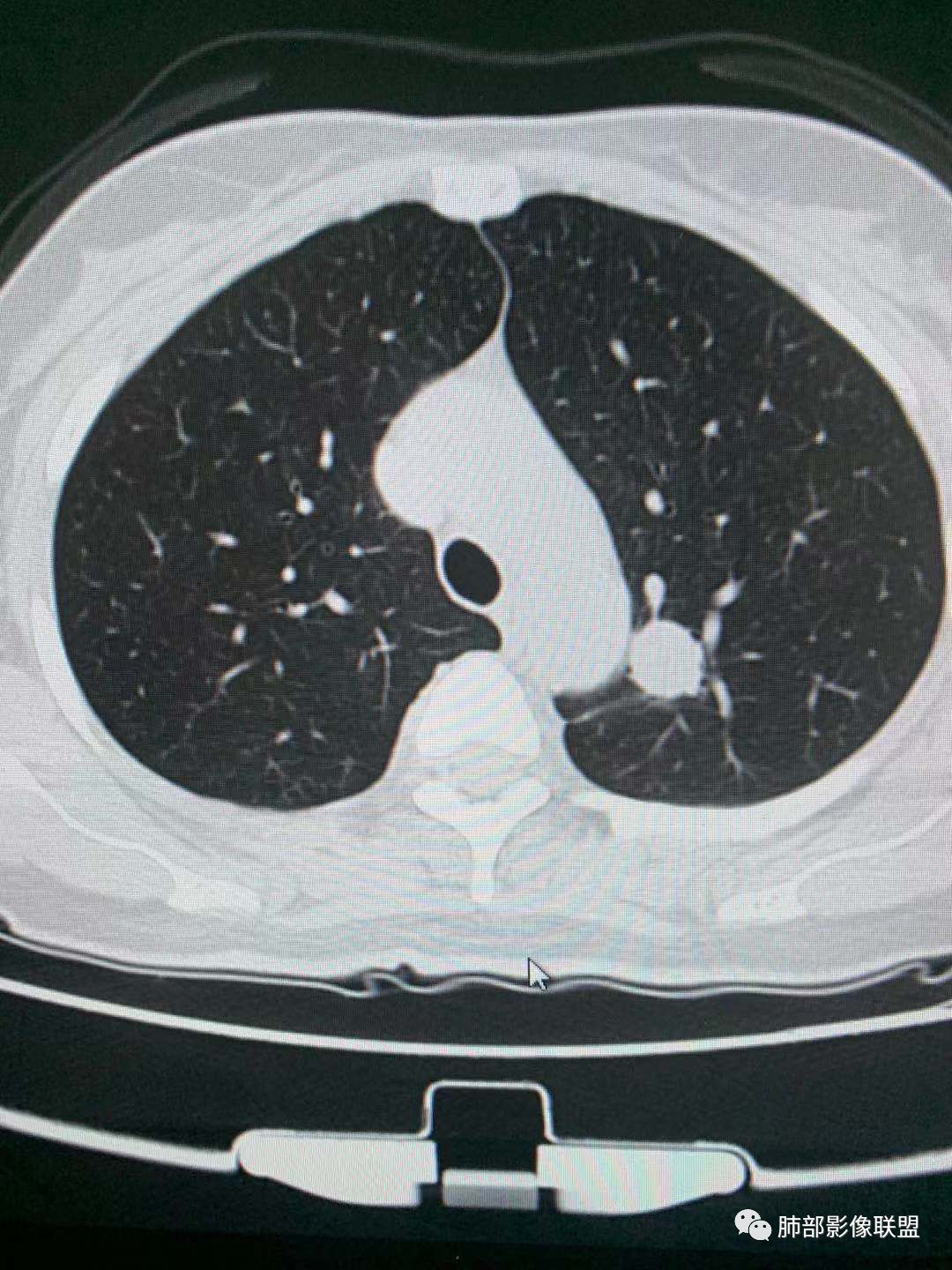
左肺上叶实性结节,光滑,支气管血管贴边,晕,强化持续。两年前就有,考虑psp。另外左肺上叶纵膈侧胸膜下及中带两处混合磨玻璃结节,考虑原位和微浸润可能,需要随访看看。
王秀仙 
左肺上叶实性结节,边缘光滑清晰,血管贴边,渐进性延迟强化,密度均匀,考虑PSP.
FeNo 
贴边血管征,强化延迟,考虑PSP
田园晚风 
左肺上叶实性结节,边缘光滑清晰,血管贴边,渐进性延迟强化,密度均匀,考虑PSP.但是强化幅度不够,需要鉴别早期肺癌
杨泽锋 
总共三个结节最大的靠后,有血管贴边征,渐进性明显强化,考虑PSP可能大靠前部中等大小结节考虑MIA靠中部最小的那个结节AAH或者慢性炎症均有可能


Lotus 
首先考虑PSP,周围可疑磨玻璃,鉴别恶性病变
小兜 
中年女性,左肺上叶实性圆形结节,边缘有晕,血管及支气管贴边,强化尚均匀,渐进性明显强化,考虑为PSP可能
💓 蕊💓
晨读,左上肺实性结节,边缘较规整,密度较均,病灶部分周围有晕,血管贴边,强化呈渐进性,首先考虑psp
紫气东来
左肺实性结节,边界清楚,血管贴边,强化,考虑良性,psp
小强 

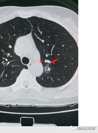
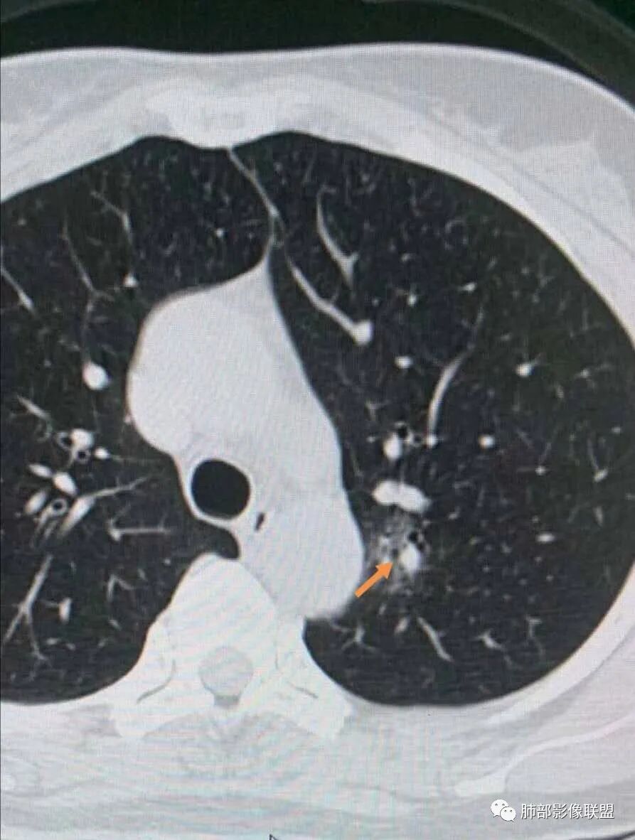
这个支气管远段没走出来,病变有分叶,周围有磨玻璃,考虑腺癌
小赵 
中年女性,体检发现。胸部CT示左肺上叶尖后段结节,边界清楚,边缘无分叶,邻近支气管无受压及阻塞;纵膈窗显示结节密度均匀,增强扫描中度渐进性均匀强化,未见坏死及空洞,考虑良性。结节周围可见磨玻璃晕征,并见血管贴边征,考虑硬化性肺细胞瘤(PSP)。
小飞 
左肺上叶前段可见一磨玻璃结节,边界清,可见小叶间隔阻挡、毛刺 、胸膜牵拉,考虑微浸润腺癌。左肺上叶尖后段可见一实性结节影,边缘光整,光滑浅分叶,周围可见晕征,增强扫描明显延迟强化,可见血管贴边征,结节内未见气管及血管影,女性,考虑PSP
傅昌瑜 
45岁女性,无症状。CT:左上叶前段见一小磨玻璃结节,边请,似有毛刺,边缘见月芽铲,考虑AIS→MIC可能;左上叶尖后段见一圆形实性结节,边清,无分叶,见血管及支气管贴边,增强后延迟强化,考虑良性结节,PSP可能性大,稍不放心的地方局部边缘见边界清楚的磨玻璃影,注意鉴别恶性肿瘤。
一切∮随缘 
左肺上叶两个结节,磨玻璃结节边界清楚,部分收缩,有毛刺,有月牙产征(微浸润性腺癌),另一个实性结节,边缘部分平直,血管部分增粗,支气管似有穿行病灶内,有尖状棘突,毛刺,增强后血管贴边,渐进性强化,里面似有低密度坏死,考虑:PSP,IMT鉴别类癌
巴伟 
女性,右上肺实性结节,边清光滑,无分叶,渐进中度强化,首先支持psp
穿越七海的风 
左肺上叶实性圆形结节,边缘光滑无毛刺分叶,血管贴边,考虑PSP,另两处磨玻璃结节考虑恶性
红日东升 
中年女性,肺结节病史2年。左肺上叶实性结节,下方支气管似有阻塞,边缘见锁条,血管贴边但移位不明确,渐进性延迟强化,密度较均匀,边缘可见边界清楚GGO,平时工作会首先警惕腺癌。病史2年,附近有小病灶,鉴别炎性肉芽肿,psp
三生石上 
左肺上叶实性结节,边缘光滑清晰,血管贴边,渐进性延迟强化,密度均匀,考虑PSP.
wj9527 
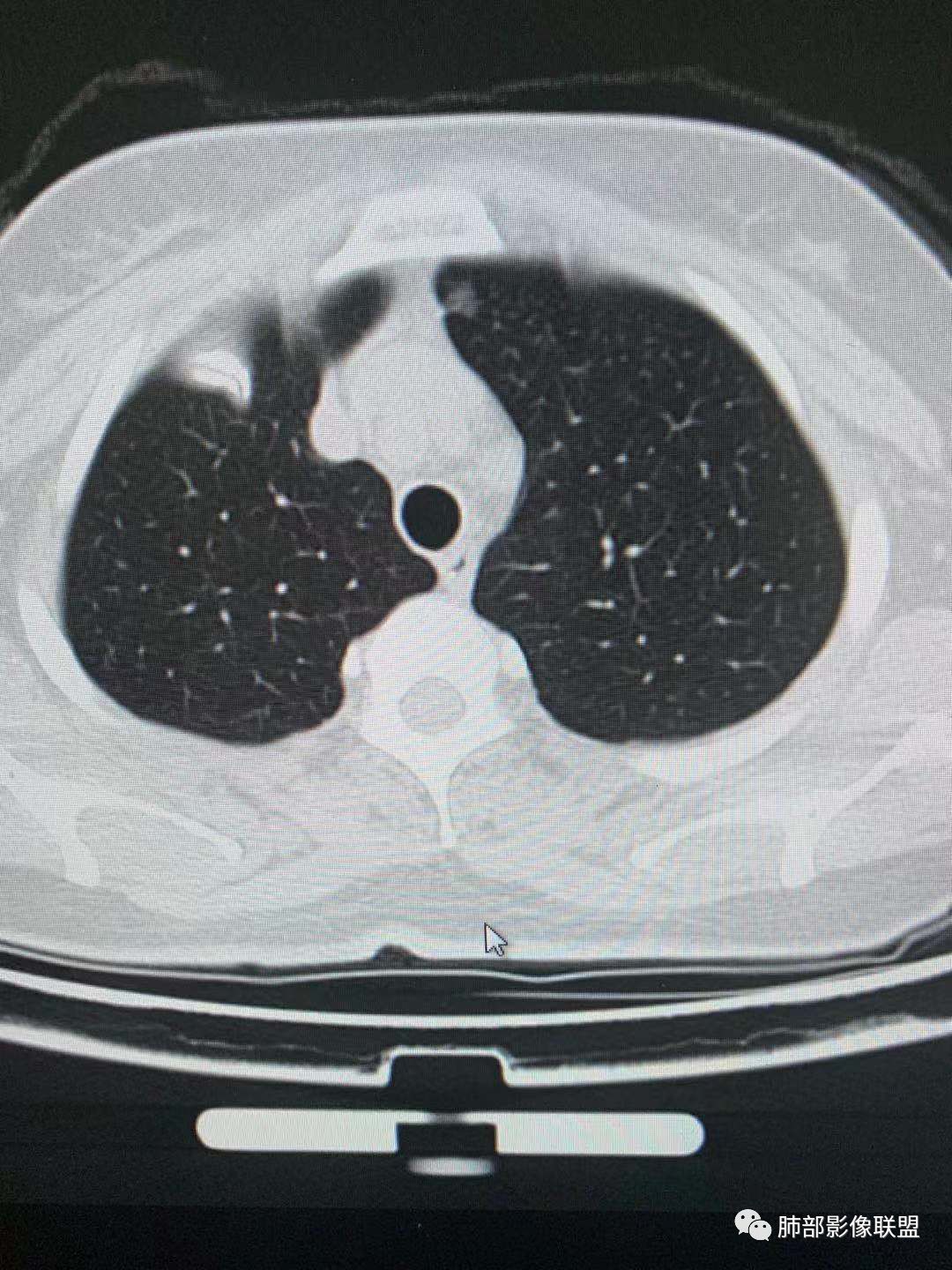
一共四个结节
一米阳光 
中年女性,左肺上叶实性结节,边缘光滑清晰,平直征,渐进性强化,密度均匀,考虑炎性肉芽肿,鉴别PSP
管洪林 
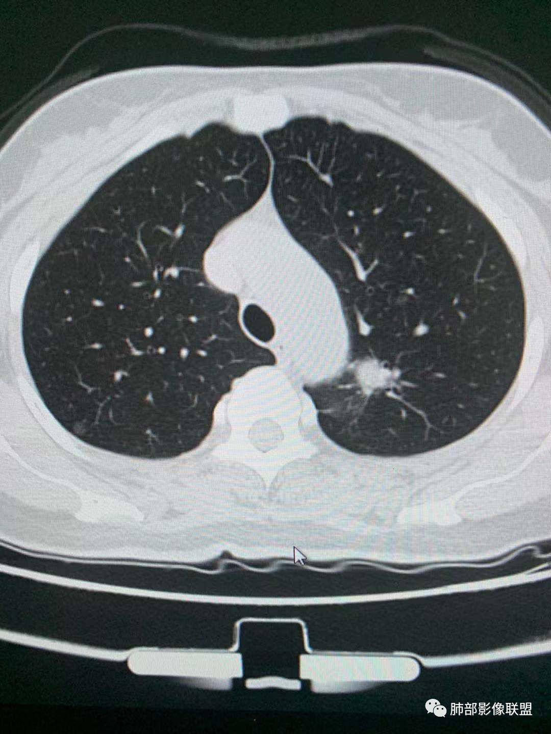
左肺上叶弓旁结节,边缘光滑,支气管血管贴边,延迟强化,周围考虑出血晕,考虑psp,前方两个磨玻璃结节,右肺尖磨玻璃结节,随访观察
崇军 
中年女性,左肺上叶实性圆形结节,大结节磨玻璃部分清楚,部分模糊,边缘模糊,血管及支气管贴边,强化尚均匀,渐进性明显强化,周围有一更小结节,周围有晕,考虑为炎性肉芽肿。前部一磨玻璃结节,边界清楚,有一定的收缩力,较小,考虑为MIA可能
Harvey
左肺上叶尖后段实性结节,周围可见边界清晰ggo,渐进性强化,强化均匀;双上肺多大ggo,一元考虑恶性可能性大,其中左肺尖后段实性结节与psp鉴别
傅昌瑜 
还有一个结节

弹指之间 
左肺上叶前段可见一磨玻璃结节,胸膜牵拉,考虑微浸润腺癌。左肺上叶尖后段可见一实性结节影,边缘光滑浅分叶,周围可见晕征,增强扫描明显延迟强化,可见血管贴边征,结节内未见气管及血管影,女性,考虑PSP。
lmg 
前段浸润性腺癌,尖后段硬化性血管瘤
欣 
左上肺近纵隔圆鼓结节,结节边界清楚,结节外周有境界清楚的磨玻璃,,有粗短毛刺和长毛刺,有胸膜凹陷,其内侧的支气管观察受限,建议薄层连续观察。综合考虑:腺癌
若尘
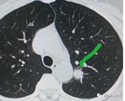
左肺上叶实性结节,光滑,晕,渐进持续强化,血管贴边,尾征,虑psp。另左肺上叶纵膈胸膜下磨玻璃结节收缩力强,胸膜牵拉,考虑腺癌,中带磨玻璃结节细节手机不好看,随访!
1

03
分析
南边 
PSP?癌?
一元论?二元论?
几个结节分别讨论



南边 
一、先讨论GGN吧

南边
1、密度?MGGN?PGGN?
心灵鸡汤 
pGGN
南边 
2、边界?清?不清?

金豆 08:54

南边
3、有无收缩力?有胸膜牵拉?毛刺?
wj9527 
都有
南边 

月影无踪

南边 
4、血管连通 移动:3型?4型?

两条都进入,相互交通-4
常规判断还需要大小、CT值
大家诊断啥?
wj9527 
IAC>MIA
金豆 
MIA
lmg
微浸润腺癌
南边 
为啥不是原位?
蔡磊 
有收缩,牵拉
lmg 
血管进入增粗,胸膜牵拉
金豆 
有月牙 两条都进入,相互交通-4 胸膜牵拉
wj9527 
不是纯的GGO
蔡磊 
血管进入
南边 
二、看第二个结节


1、密度?
2、边界?
3、收缩力?
4、血管?
5、大小、内部结构、CT值
金豆 
纯磨玻璃 边界清
小兜 
磨玻璃,边界清
三个石头
纯磨玻璃,能画出轮廓,但是感觉边缘又比较模糊,是层厚原因吗,收缩力弱,血管进入
心灵鸡汤 
与左肺上叶纵隔旁pGGN
南边 
三、看看这一个



1、密度:PGGN?MGGN?
lmg 
这个密度要高一些,混合磨玻璃结节
小兜 
MGGN,比上面两个密度高
金豆 
这个结节中间密度稍高一些 不像纯的
南边 
都认为mggn,都觉得密度高了?
小赵 
有晕的层面潘老师没截图
南边 
P、M?是如何认定的?
欣 
右肺内结节,较左肺磨玻璃结节,级别低点吧。左肺磨玻璃结节,定高点Mia,右肺内AIS
小赵 
看磨玻璃和实性成分的比例
南边 

欣 

应该有点实性成分了
结节中央,密度比较高了
小赵 
磨玻璃成分比例≥10%,<90%,为mGGN
<10%,为pGGN,≥90%为实性GGN
南边 


Ao..葉偲雨!
这个考虑Pggn
南边


有一条血管进入
而且增粗了
密度确实周围稍低,中央偏高一些
边界清
支持原位?微浸润
南边 
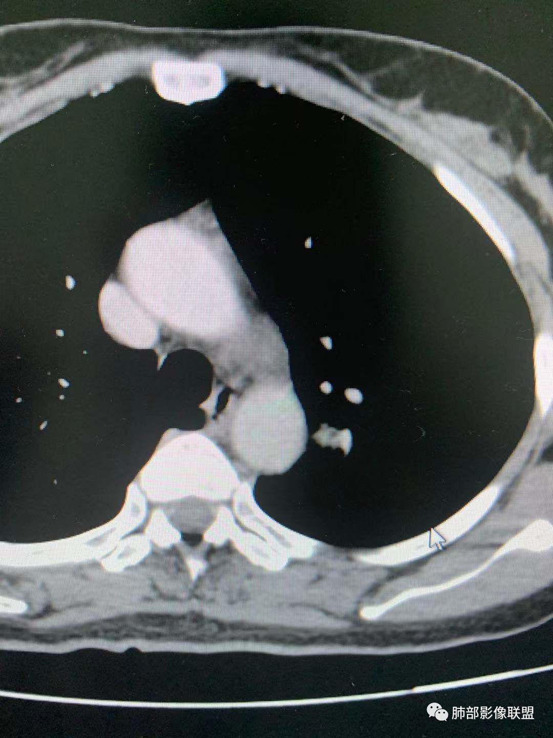
四、








这个怎么分析?
大家都考虑PSP?理由?

腺癌吧
有棘状突起,强化渐进性,强化了四十左右
导管冯
隐球菌?
凝睦 
周围有边界清楚磨玻璃密度,腺癌
                              
南边
CT值30HU;增强后:41/76HU
强化幅度:46HU
蓝天白云 
周围有边界清楚磨玻璃晕
无胸膜牵拉
收缩力弱
金豆 

南边
1、边界清不清?
凝睦 

哞 
我觉得不清楚
果哣.
有血管进入,清
Coke with ice 
边缘平直,延迟强化,血管贴边,支气管推移,毛刺较软,收缩力较弱。
蓝天白云 
血管贴边
欣 
大部分清,有小部分模糊

最上部层面,血管杂乱无章
增粗扭曲

南边 
2、形态规则吗?
果哣.
边缘粗毛刺
金豆 
类圆形
小赵
规则
南边 
如果这样,大家下一步应该观察啥?
欣 
旁边支气管倒是好像没有明显变窄。倾向于惰性腺癌,需要与psp鉴别
风之子 
与支气管关系
蓝天白云
长毛刺
南边 
啥关系啊?
金豆
从边绕过
欣 
支气管靠外侧,无明显变窄
风之子
好像是挤压,最好做重建
南边
图不足啊,需要补充
南边 

这两条交代清楚了

这一条?

欣 
走形自然,无变窄,无明显侵犯
南边
堵了?还是边上走了?
三生石上 
没堵
南边 
堵了是如何堵的?
欣 
我想提个上图一个疑问,为啥这靠内侧支气管的管径,比外侧支气管还窄?
南边 
你看血管啊
伴行
外侧伴行的血管大啊
提示它是级别更高的支气管啊
南边 

如果支气管堵了,考虑PSP几率就很小
所以我需要补充这个的重建
看清楚这条支气管


还是有收缩力
周围GGO不均匀,边界偏清

欣 
是的,有胸膜凹陷
南边 

姚鹏
mia
南边 
可能我的习惯不一样
我比较看重支气管

我认为有粗大短毛刺,我之前说成了棘状突了
꧁༺༽༾ཊ天涯ཏ༿༼༻꧂ 
有可能都是腺,时期不同
04
病理结果及回顾



果哣
左下叶病灶在哪?
南边 
估计没发上来
南边 
大结节的支气管应该堵了
远端没看到走出来
傅昌瑜 

看来有这些边清的磨玻璃时真不是好东面啊
冬瓜 
支持恶性
丽 
潘老师分析细致入微👍,各位老师也很厉害,提供这个病例的初衷主要是这个大的结节,结节周围边界清楚的GGO,部分边缘毛糙,和支气管关系不大,但还是有不踏实的地方,不要轻易诊断良性。另外肺内多发磨玻璃结节,有的胸膜牵拉,当时是建议随访观察,没想到群里老师都是火眼金睛
Q
肺磨玻璃结节观察步骤
A
1.密度(纯磨玻璃pGGO、混合磨玻璃mGGO)
2.边界(是否清楚,清楚GGO偏向肿瘤,模糊GGO偏向炎性病变)
3.看边缘及内部征象(有无分叶、毛刺、血管集束征、空泡征、支气管征、胸膜凹陷征)
4.如果倾向肿瘤性病变,可以测CT值及大小,尤其纯磨玻璃结节,结合结节的高危征象,进一步判断早期肺腺癌的亚型分型。
5.如果倾向炎性病变,建议抗炎治疗后2周后随访复查。

往期精彩回顾
01
肺内GGO征象,南大不一样的精彩解析!
02
周围型肺癌征象之分叶征、毛刺征、棘状突起
03
黄氏秘籍——黄勇老师之肺癌鉴别真谛

说在后面的话


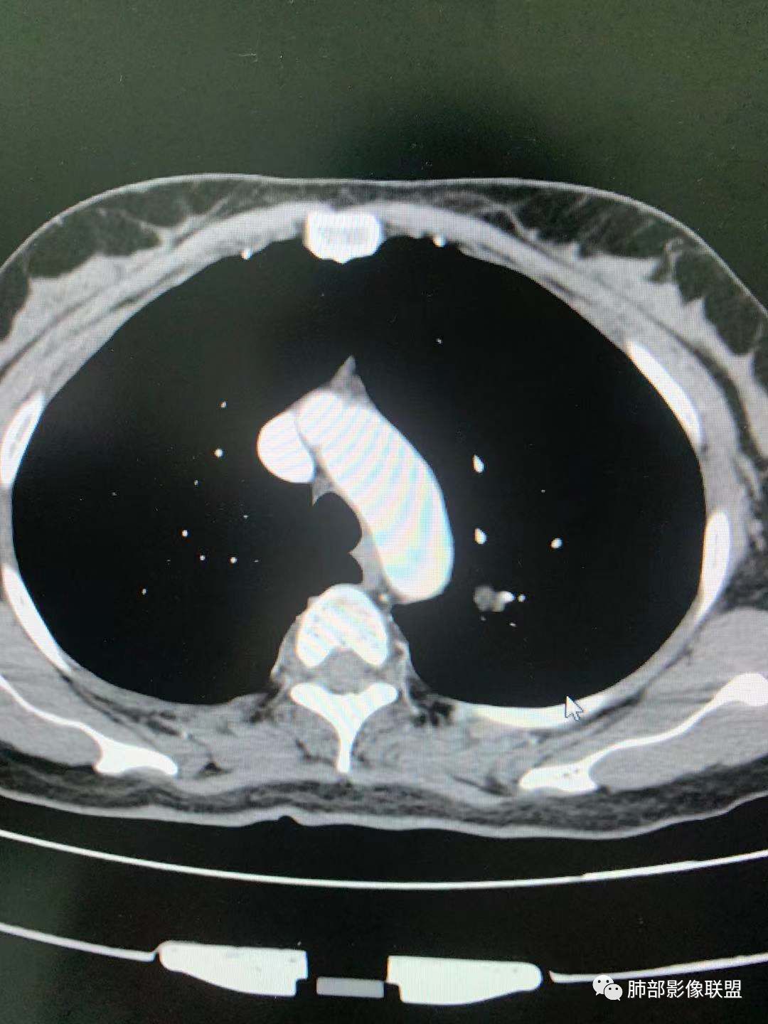
一.尖后段高密度大结节:
1.左肺上叶尖后段较大类圆形实性密度结节影,密度均匀,中等程度强化。
2.实性密度区边缘相当清楚,表面欠光整,偶见毛刺、棘突和旁出血管结构,未见典型的深分叶及邻近胸膜凹陷。
3.可疑支气管进入受阻。可惜缺乏连贯图像或冠矢状位以资判断。
4.病灶与胸膜之间有连线,邻近段支气管及肺血管整体后移,提示病灶还是有一定收缩性。
如上,单就这实性结节,硬化性肺细胞瘤(PSP)和腺癌似乎都能够解释,形态太规整了一些。
5.病灶周围见边界清楚的磨玻璃影,有点醒目,有点意外!
这是无论如何不能忽视的征象!
这点强烈提示,要么整个病灶恶性(腺癌),要么良性病灶旁滋生恶性病灶。
两年前左上肺的病灶什么位置,什么模样,是否相关?我们不得而知。
二.左肺上叶前段磨玻璃结节:
该结节较大,边界清楚,小叶间隔阻挡特征相当明显,微浸润腺癌的诊断几乎没有争议!
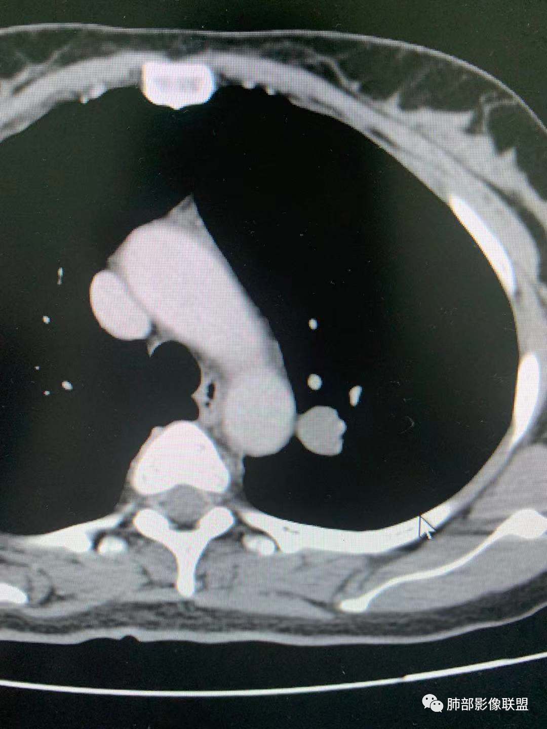
三.右肺上叶胸膜下结节及左肺上叶血管旁结节,尽管都是磨玻璃密度,但都比较小且边缘特征不明显,恶性征象未显露,处置并无特殊,定期复查!
戳这里,系统学习肺结节
肺结节CT及病理诊断高级学习班


编辑:刘青青
审核:蔡笑燕、徐晓
病例提供:张丽
到顶部