【每日晨读】肺结节的良恶之辨



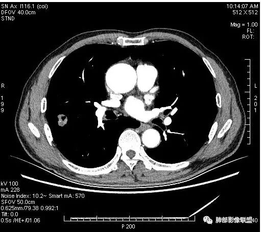
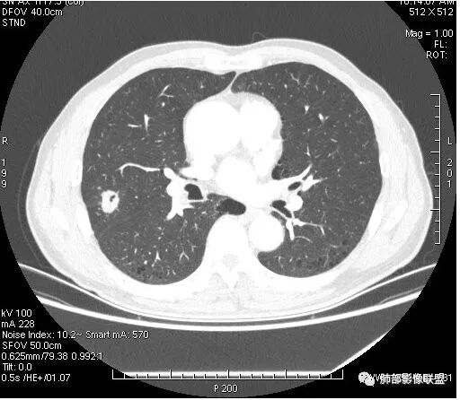
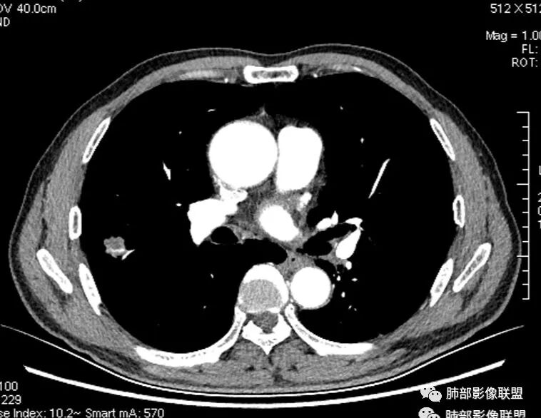
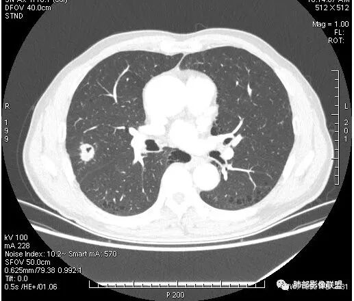
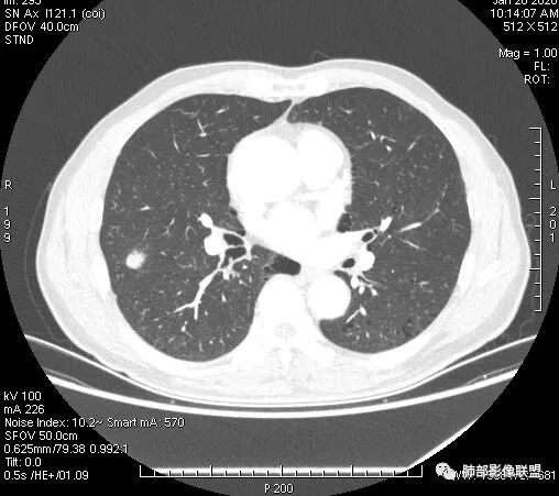
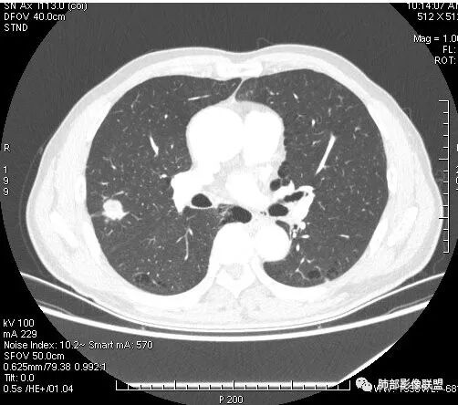
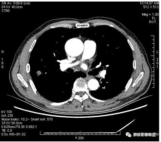
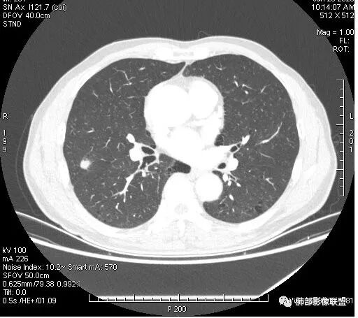
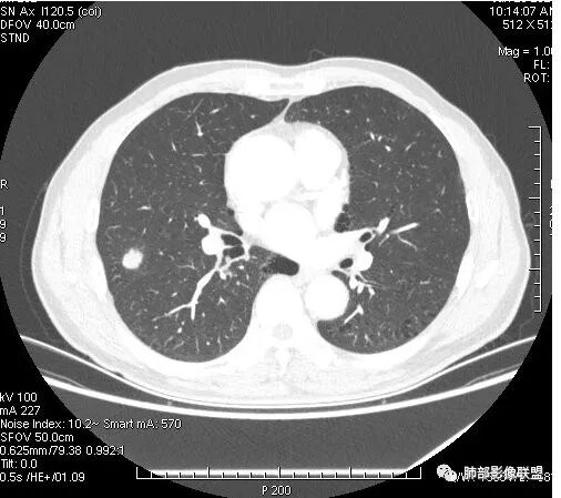
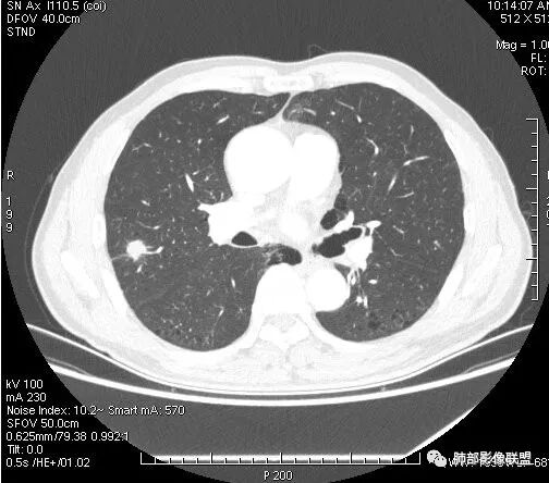
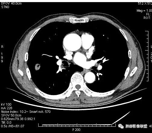
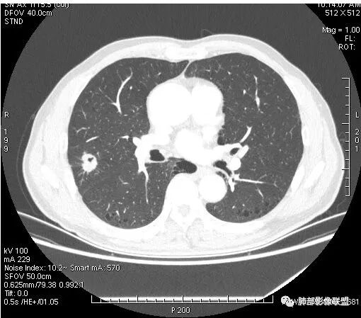
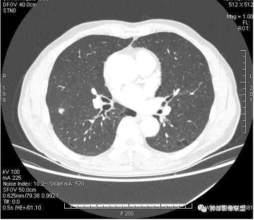
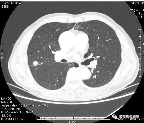
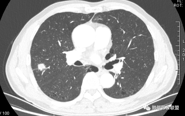
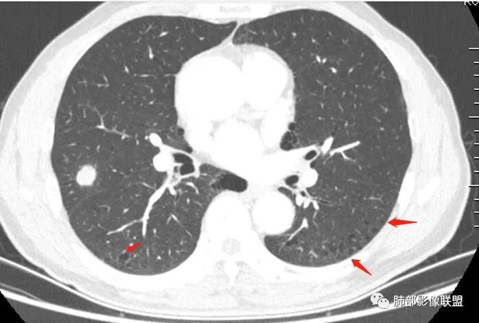
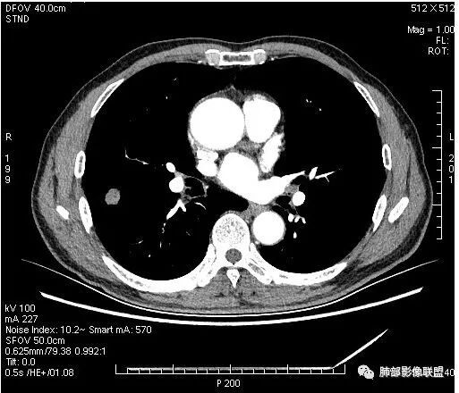
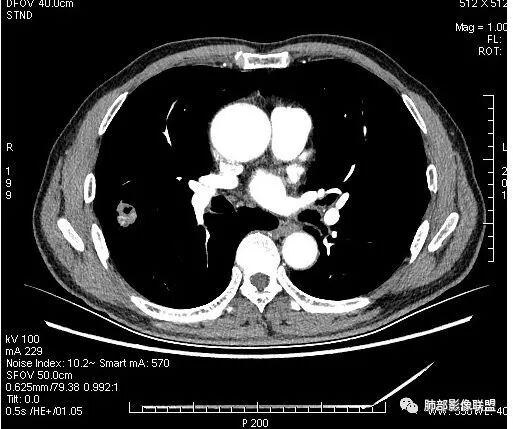
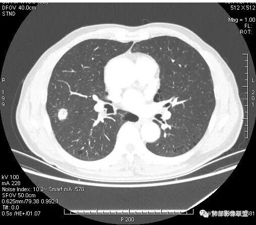
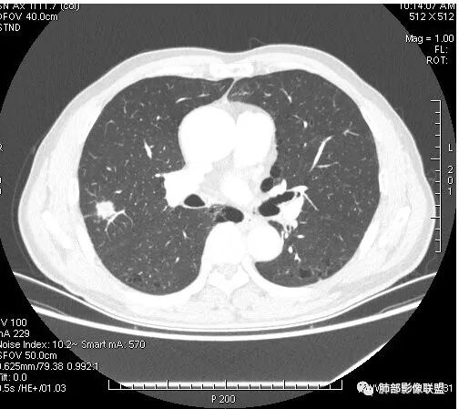
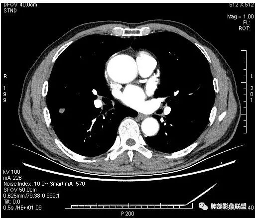
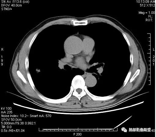
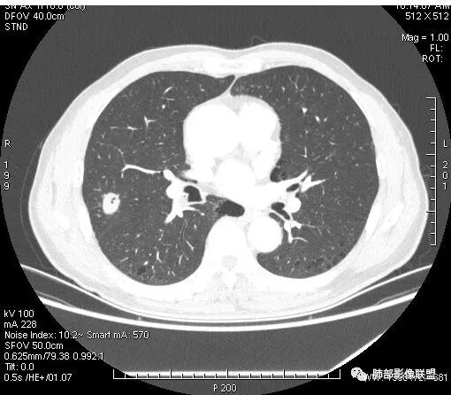
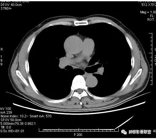
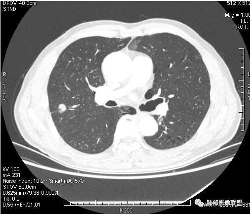
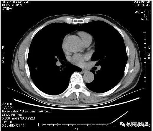
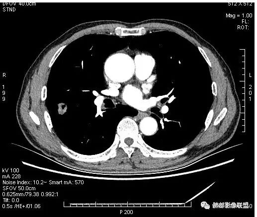
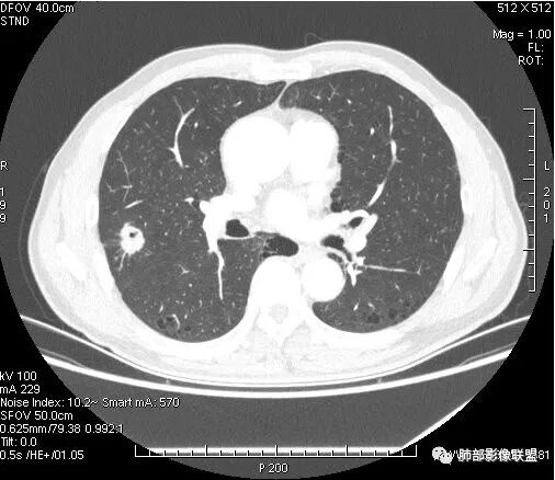
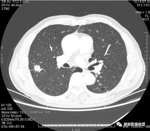
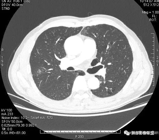
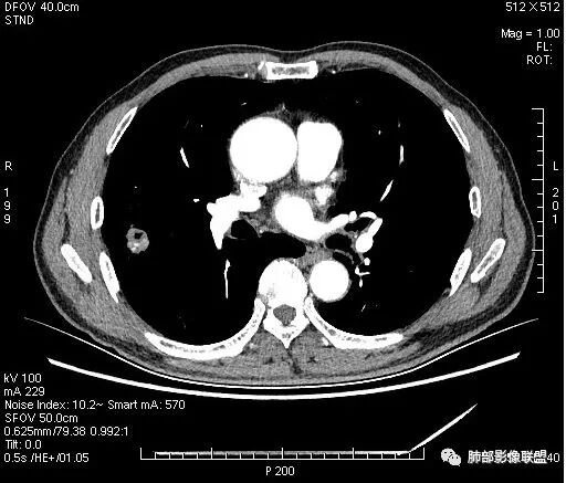
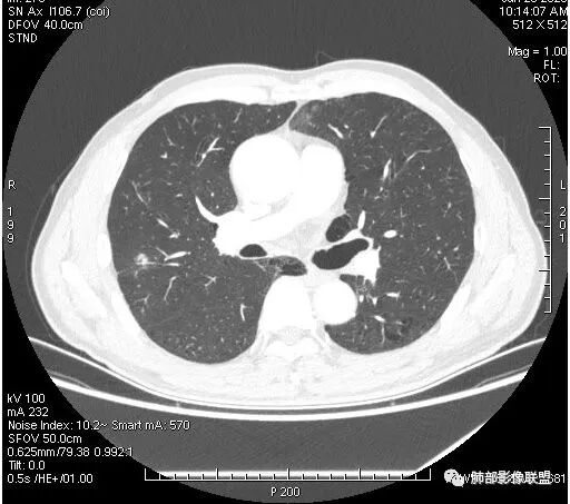
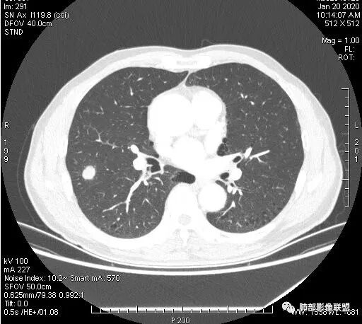
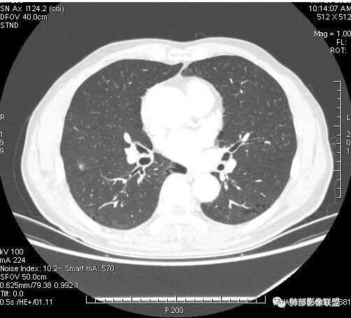
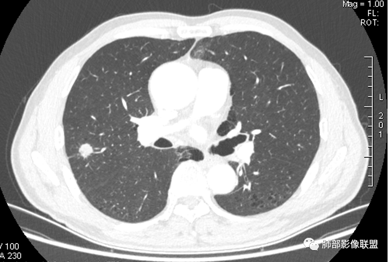
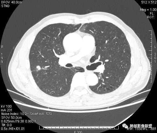
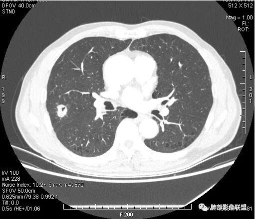
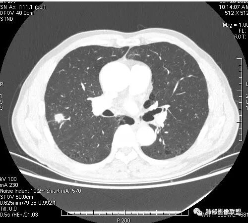
病例资料



















































精彩讨论

笨丫头:
患者右上肺占位,内部强化不均,有空泡,有血管穿过,血管聚集现象,似有胸膜牵拉,考虑恶性
明日の路过:
右肺上叶后段占位病灶,病灶不规则,周围胸膜线性牵拉,病灶部分周围有晕,病灶内见不规则空洞,未见明显引流支气管,长毛刺,多分叶、肿块边缘部分L型,可见血管直接供养。增强见点状坏死、病灶内血管。综上考虑恶性可能性大,鉴别隐球菌。
甄德强:
右肺上叶结节,浅分叶膨隆,边缘可见胸膜牵拉及血管集束,不规则厚壁空洞,不均匀强化,血管进入病灶,边缘毛燥,考虑低分化腺癌,鉴别隐球菌。
没意见:
来个不一样的,小病灶近心端空洞,分叶,毛刺软,长,收缩力差,强化明显,血管走形自然,无明显卫星灶,先考虑炎性,肉芽肿炎,隐球菌可能性大,不排除肿瘤,需要活检
张丽红:
右肺团块影,深分叶,有毛刺,但毛刺偏软。团块附近有血管走行,穿过。血管增粗,僵直。空洞近心,团块周围似有卫星灶。良,恶性征象都有;按可能性排序:隐球,结核,腺癌。
看图说话:
右肺结节,分叶、长短毛刺,边缘略膨隆,胸膜牵拉,血管进入病灶,收缩力较弱,有血管聚集征,洞壁尚规整,低强化,坏死边缘规整。考虑炎性,隐球,鉴别腺癌。
丽:
晨读,右肺上叶结节,边缘膨隆、分叶,部分边缘有平直,可见多发毛刺及胸膜牵拉,牵拉线清秀,收缩力弱,内密度不均,可见片状低密度影及空洞,增强后不均匀强化,血管集束,考虑良性,肉芽肿性结节,鉴别腺癌
一切∮随缘:
晨读:双肺胸膜下多发小气囊,大小不一,右肺结节,内部可见小空洞,洞壁光滑,厚薄不一,偏心性生长,近段血管束增粗,有分叶,毛刺(软),有晕征,平扫密度尚可,增强后不均匀强化,可见低密度坏死,及部分血管穿行,体检发现,考虑恶性:腺癌,鉴别炎性结节
王秀仙:
晨读:右肺中叶结节,浅分叶,边缘膨隆,胸膜牵拉,不规则偏心厚壁小空洞,空洞壁可见低密度坏死,不均匀强化,血管进入病灶,边缘毛燥,考虑鳞癌。鉴别肉芽肿
凝睦:
右肺上叶结节,边界清,有分叶,厚壁空洞,强化后见坏死区,血管进入病灶,考虑结核。
张小兵:
小于2cm肺癌坏死少见,考虑良性,PC。
良孑:
右上叶结节,轻分叶,结节有长短不一毛刺,结节周围GGO边界清,有血管集束征,肺窗结节周围似可见卫星灶,可见鬼脸征,良恶性征象都有,但GGO边界清,浸润性腺癌耍考虑,临床症状轻微,体捡发现,似可见卫星灶和鬼脸征,炎性肉芽肿TB或隐球菌要鉴别。

南边分析

南边:
男性,67岁,又是个啥都可以的年龄,目前大家考虑隐球菌、腺癌,我提问一下,有GGO吗
杨泽锋:
没有
南边:
就是说GGO边界清楚是不成立的
我们从外朝内,肺气肿背景
周围有卫星灶吗?




有毛刺吗?长?粗短?胸膜牵拉?
任广国:
细毛刺,
闫美利:
有,长短都有,短的为主
三个石头:
细毛刺,胸膜牵拉
南边:
有分叶吗?
꧁༺༽༾ཊ天涯ཏ༿༼༻꧂:

南边:


南边:
边缘是不是有些地方膨隆?

南边:
有空泡征,实性部分密度均匀?强化均匀?
内部血管怎么样?
支气管?
杨丽:
不均匀
李:
有血管穿行
 蕊:
部分地方膨隆,血管进入增粗
三个石头:
走行比较自然,破坏不明显,支气管没看见进去,不知道到底有没有
任广国:

南边:




꧁༺༽༾ཊ天涯ཏ༿༼༻꧂:
支气管堵塞
任广国:
支气管截断明显啊,南大不指出,我没看出来。




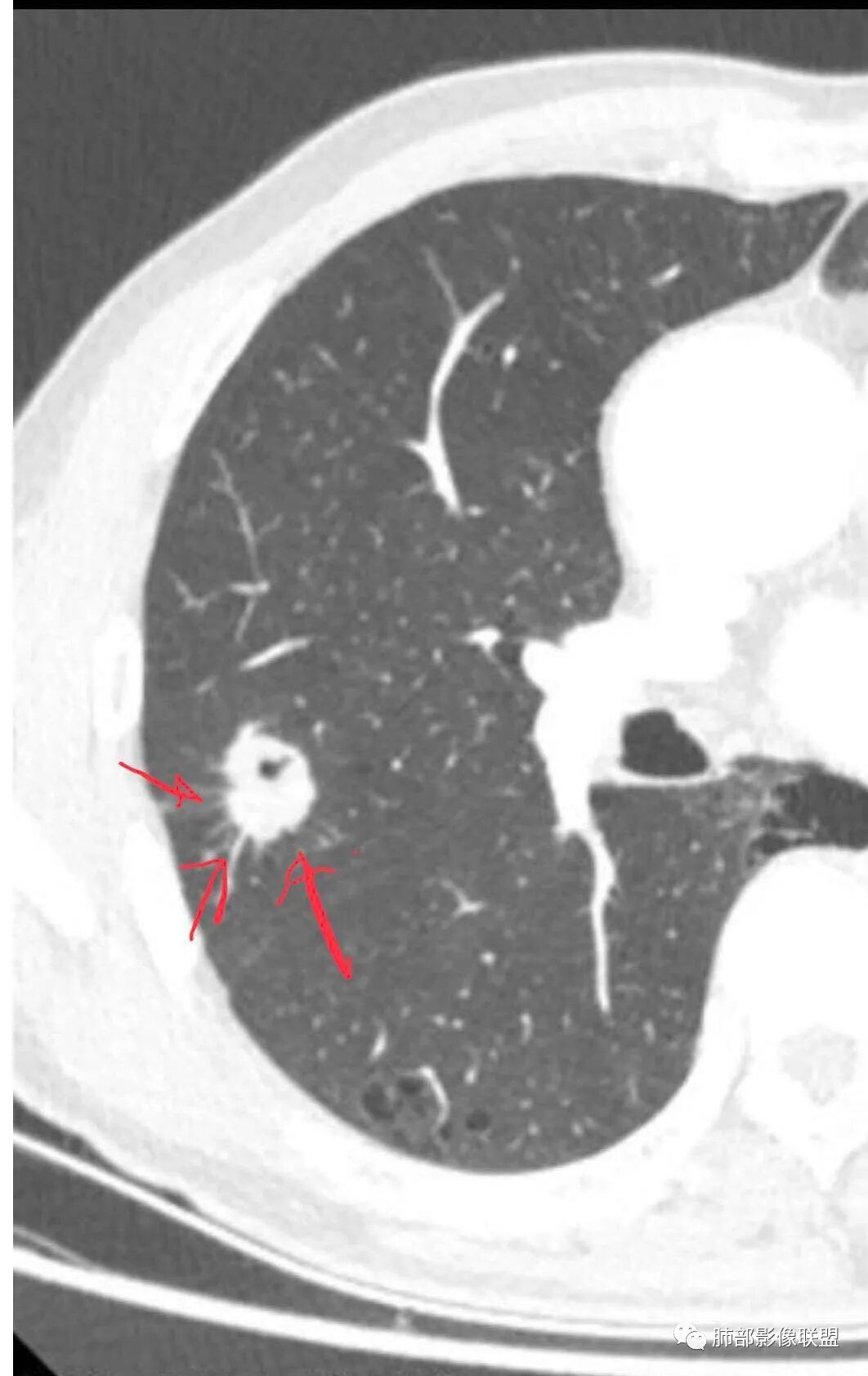
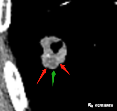
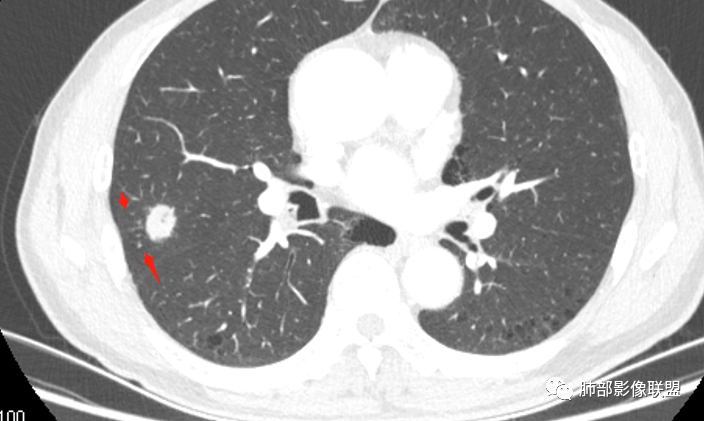
右肺上叶结节,周围毛刺明显,其内有小炮征,分叶,强化中度,其内可见坏死,支气管有截断,考虑腺癌,鳞癌待排。病灶的上缘有一个小支气管进入,然后截断了
初学者:
结核,腺癌》隐球菌
任广国:
有卫星灶

但我怎么看这些毛刺还是偏硬呢
杨泽锋:
我觉得搞清楚空洞还是空泡也很重要,空泡指向癌,空洞癌、结核、PC都可以
就这一例而言我也不知道是空泡还是空洞,感觉不具有形成空洞的病理基础(坏死物经支气管排出);所以一开始就请教老师了
毛勤香:
不像空泡,有点鬼脸的感觉,增强坏死多,但毛刺也多
Lotus:
核心是支气管良恶性截断的问题
任广国:
空泡是绕正常的肺组织或支气管生长形成,空洞是实性组织坏死,坏死物排出所致。但这么小不好区别。
@毛勤香 柳州龙潭医院影像 毛老师,是因为其内空腔不规则,考虑空洞吗?
再加上增强其内有坏死,考虑这个是空洞吗?
蕊:
看着内部强化比较散呢,结核一般不是周围强化,肉芽肿组织,内部如果是坏死物也会强化吗
南边:
这个病例两恶性征象都有,我觉得有恶性征象就不要轻易排除,就算错了,平时报告还是要警惕恶性
Coke with ice:
不过感觉这个病例收缩力不够,邻近叶间胸膜几乎没有牵拉,所以我把腺癌和结核往后放了。
毛勤香:
@任广国 双鸭山市人民医院影像 我理解的空泡是扩张的截断的支气管断面或肺泡活瓣作用的扩大
毛勤香:
空泡征包括两部分:未被肿瘤侵犯的肺泡组织,也可能是贴壁为主的癌组织,并不完全是肺组织
傅昌瑜:
晨读:男,67岁,体检发现右肺结节。近圆形,支气管及伴行血管进入结节,进入结节后支气管堵塞,血管走形尚自然,结节内血管边缘凹凸不平。远端边缘见毛刺(软毛刺?)及分叶。见胸膜牵拉。实变中见空洞。整体膨胀感不明显。考虑炎性肉芽肿可能,隐球菌病可能性大。注意鉴别鳞癌、结核。
滴水海:

尘缘:
晨读确实良性恶性征象都有,需要穿刺明确,我个人倾向隐球。
晨读结果
甄德强:

尘缘:
我说一下我考虑隐球的理由:
虽然良恶性征象都有,但是这个病灶增强后坏死比较明显,如果是恶性:腺癌这样大小的结节坏死很少见,只有低分化腺癌可以坏死,但是低分化腺癌这种大小一般会有周围转移表现(叶间胸膜结节,癌淋或者淋巴结明显肿大),如果是鳞癌,收缩力,坏死情况以及没有支气管截断都不太支持,而且结节远端有几个小结节样改变,大家可能认为是血管,但我觉得应该是卫星灶。所以觉得隐球可能较大。壁胸膜的牵拉线也没有引起胸膜凹陷,比较纤细,至于病理中的丝状物不一定是真菌菌丝。

没意见:
我觉得穿过病灶的血管挺有特点,自然,没被吃掉,如果小细胞或者淋巴瘤可以,但后2个病有空洞不符
尘缘:
@傅昌瑜—贺州市人民医院—呼内 对,就是这些我考虑是卫星灶,手机标图不方便就偷懒了,谢谢傅老师帮忙
张丽红:
我是觉得,有卫星灶,血管增粗但没有破坏,毛刺软,所有先考虑隐球
尘缘:
@邱实阳,呼吸专业 隐球可以有血管在里面,隐球菌的破坏力有点欺软怕硬,碰到胸膜,血管这些韧性强的它就绕道了
南边:
这个病例确实有很多隐球菌的特点,包括周围的卫星灶、周围的毛刺,它没有粗短的毛刺,它是稍长一点、柔弱一点的。我是觉得这个符合脐凹征,所以我觉得恶性不能排除,结果错了,是炎性。

傅昌瑜:
潘老师,这里在电脑上看:血管与伴行的支气管一起进入,如果是恶性,支气管应该在入口截断吧?@南边
南边:
那不一定,要看断端的形态,入口处截断恶性的多见
傅昌瑜:
这里支气管是进入到结节内以后才断的
南边:
这个大部分边缘稍微偏平直一点,血管走行非常自然,包括里面的空泡征样的,影子很干净,边界很光滑,都是些炎性特点。
马春平(张家港市一院胸外科):
这么小的病灶同时有空洞和坏死,恶性不大好解释
鬼脸前奏

尘缘:
确实良恶性征象都有,但是上当多次我总结过,如果这样的考虑恶性,也需要逆向在思考,有多少不符合的地方
马春平(张家港市一院胸外科):

这个纤维牵拉有弧度不够直,恶性的会牵拉周围的肺不张,很直很硬,胸膜会凹进去。
尘缘:
这么小的结节,黄勇老师强调过,如果鳞癌,未经治疗,不会形成空洞,如果低分化腺癌可以坏死,但一般也不会有空洞,而且这么小的实性结节伴坏死的腺癌一般都会有转移
马春平(张家港市一院胸外科):
没有明显小支气管堵的情况下毛刺不该集中在一侧

尘缘:
叶间胸膜的凹陷是因为空洞形成的收缩力牵拉的,不是病灶本身的收缩力
@马春平(张家港市一院胸外科) 毛刺集中在一侧也与空洞收缩力有关
马春平(张家港市一院胸外科):
腺癌一般是沿结节周围正常小叶间牵拉,炎症只是形成了很多细、密、长、软的新生回流血管,个人认为和收缩力的大小不是成比例关系
尘缘:
@马春平(张家港市一院胸外科) 王老师的病理中有毛刺的理论,恶性不是肿瘤侵润,炎症也不是血管,考虑是收缩力和肺组织吸气时复张的综合影响
马春平(张家港市一院胸外科):
比较大的靠近胸膜的炎症结节,脏层胸膜和壁层胸膜之间也会有新生血管

尘缘:
@马春平(张家港市一院胸外科) 嗯,与胸膜的牵拉线有血管
马春平(张家港市一院胸外科):
@达州红十字医院 尹发友     大多数的纤维条索中会有新生血管,肺内也一样
Coke with ice:
@马春平(张家港市一院胸外科) 马老师,肿瘤的邻近胸膜牵拉中有没有这样的新生血管?
马春平(张家港市一院胸外科):
几乎没有
尘缘:
毛刺的定义:不与胸膜联系,没有分叉,从结节发出,由粗到细 @马春平(张家港市一院胸外科) 纤维索条可以有血管
马春平(张家港市一院胸外科):
黃色是恶性反应、绿色是刚才照片分离出来的纤维血管束

尘缘:
讨论的对象没统一,你说的是纤维索条及胸膜牵拉线,我说的是毛刺,所以马老师说的也是正确的。
马春平(张家港市一院胸外科):

刚拍了个局部胸膜粘连视频,看了就能理解肺内炎性毛刺为什么会软而细长了。看看这根黄箭头细索条,如果肺是完全充气膨开状态、或如果它在肺实质里,它一定是走型弯曲、细细长长软软的,因为它的周边没有被牵拉靠拢的不张的肺泡。还有就是恶性的长毛刺一般很少见到它的行程中有分叉
波波:
请问炎症的毛刺和肿瘤的毛刺病理机制怎么不一样啊?
南边:
腺癌——收缩为主,内部的收缩力,牵拉朝内,粗短,
大的肿瘤有肿瘤的侵犯,炎性的增生结缔组织为主。
其实就是炎性反应——修复增生,细、柔弱;或粗长,细长
马春平(张家港市一院胸外科):
对,不管是在肺内或肺表面,炎症的纤维条索里一般多有正常、非正常的血管影。腺癌为什么粗、短、硬,特别是粗,主要还是小叶间隔或小叶内间质参杂着不张的肺泡。
波波:
肺癌毛刺有时候毛刷状改变,感觉比较多,炎症毛刺比较稀疏。
初学者:

这个不是脐凹吗?
如果是血管,是脐凹?
如果是毛刺。还是不是
宇宙星空:
起码不典型吧,正好是分叶处,脐凹起码是对称边界清,这个不典型
蔡笑燕:
脐凹分不分近肺门侧还是远离肺门侧
马春平(张家港市一院胸外科):
@吴婧南京市第一医院?  脐凹你可以理解成成特殊的、内有支气管血管淋巴管的特大毛刺
@蔡笑燕   一般都在近肺门侧,和支气管血管走形一致

                    病例小结
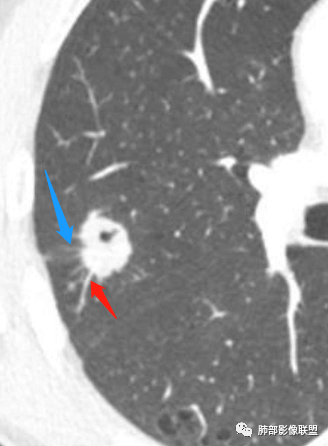
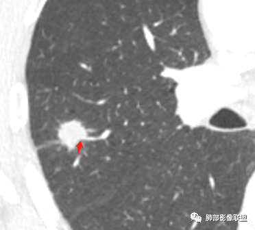
影像学改变:
1.右肺上叶后段类圆形结节影,密度不均,有坏死空洞,坏死比较彻底,内外壁都较清楚。
2.病灶有浅切迹,没有深分叶,毛刺大多细长且柔软。
3.可见棘状突起及胸膜牵拉,但未见胸膜凹陷。
什么意思?结节影有牵拉的动作,但似乎“出工不出力”,收缩力羸弱!
4.病灶轻到中度强化。病灶内血管走行较完好,病灶旁血管局部显示粗大。
5.支气管关系不确定。
6.灶周见小结节影(卫星灶),边界不甚清晰。
 
会是肿瘤吗?
1.病灶整体太圆,没有深分叶,没有粗短毛刺,收缩明显乏力,强化不显著等等缺乏典型肺腺癌的影像学特征。腺癌如此小病灶出现空洞更是匪夷所思!
2.肺鳞癌易坏死,可病灶如此小即出现影像学上可见的彻底的坏死空洞也非常少见。
病灶内“旁若无人”的血管走形也让人难以理解。而该疑问也存在于结核病灶的辨析当中。
 
会是感染吗?
病灶相对局限,或偏安肺野一隅,小病灶带空洞,最常见的还是感染。
注意这有别于某些广义的炎症,如血管炎、机化性肺炎等,以及一些全身性病损。
1.结核是常见的,坏死也够彻底,有卫星灶。疑问在于血管为什么不受累?
2.其他的慢性炎症。边界清楚符合慢性。慢性肺脓肿、隐球菌感染、奴卡菌感染等等都可以。可惜缺乏病原学依据。

知识点回顾
                          浅谈毛刺征
    是指在胸部CT肺窗上自瘤灶边缘向周围肺实质伸展的、不与胸膜相连的放射状无分支的细短线影。小于 5 mm 的毛刺称为短毛刺,大于或等于 5 mm 的称为长毛刺。边缘线条影如果和胸膜相连并胸膜局部凹陷则称作胸膜凹陷征;如果边缘线条有分支,则为血管影。
     以前我们一直以为毛刺是肿瘤周边的侵犯,但是王兆宇老师在他研究的所有病例的病理中发现毛刺的部位并没有肿瘤组织的浸润,其形成的原因来自肿瘤内部的收缩力。王兆宇老师提出了肿瘤细胞存在上皮间质(EMT)转化现象,就是胖的细胞变成了瘦的纤维细胞,体积缩小,从而形成指向肿瘤内部的收缩力。高、中分化IAC在附壁生长基础上发展,其扩展主要是向肺泡上皮扩展,肺泡间隔增厚、融合而不延长、纤维组织增多也是架构内部发生,整体纤维架构只有收缩而不是膨胀;只有在低分化时,纤维架构才会明显破坏,肿瘤细胞生长就形成膨隆;所以一般从MIA开始表现出逐渐增强的收缩力,到中分化达到顶峰,低分化腺癌反而减弱。
    在CT鉴别诊断上,毛刺征起了较大的作用,良性肿瘤没有毛刺征,普通炎症的毛刺大多为长毛刺,但偶尔也有细短毛刺,如隐球菌肉芽肿性结节等。炎症的收缩力主要和肺组织的破坏和吸收程度有关,也和纤维组织增生有关;收缩力的时相差异,拉久了呈清秀的细长线状牵拉显影 ;炎症急诊渗出病变以充填为主,收缩力较弱,进入慢性期收缩力中等,但是结核的慢性期收缩力强。
END
编辑:白丰先
审核:蔡笑燕  徐  晓
病例提供者:盐城市第三人民医院影像科 李运健



到顶部