【每日晨读】这肺结节,是天生丽质还是红颜祸水?


春雨贵如油



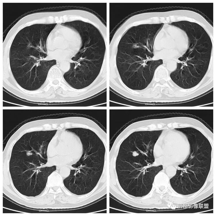
病例资料


年龄:66岁婚姻:已婚入院日期:2017-12-07病情陈述者:患者本人主诉:发现右中肺占位1天。现病史:患者自诉于昨日在我院门诊体检行胸片示:右下肺野结节,性质待定,建议进一步检查。故完善胸部CT示:右中肺外侧段结节灶:肺癌可能。建议住院治疗。患者诉无胸痛、胸闷、发热,无咳痰、痰血、咯血、盗汗、乏力、呼吸困难,无声音嘶哑、饮水呛咳、吞咽困难、头痛、恶心、呕吐、骨痛。今为进一步治疗,门诊以“右中肺占位收入院。患者病后精神状态一般,食欲一般,睡眠良好,大便正常,小便正常,体力情况良好,体重无明显变化。既往史:有“高血压病”病史6年,“脑出血”病史6年,“胃镜下行胃息肉切除”病史6年,“腰椎压缩性骨折手术史”半年,否认肝炎、结核、疟疾病史,否认心脏病史,否认糖尿病、精神疾病史,否认输血史,否认食物、药物过敏史,预防接种史不详。个人史:生于长沙市雨花区高桥火焰开发区十组,久居本地,否认血吸虫疫水接触水,有吸烟史38年,每日达30根左右,未戒烟。无饮酒史,否认毒物接触史。



精彩讨论
杨泽锋:
看病理图片好像有些软骨陷窝,那就考虑错构瘤,CT也能符合,要是没有病理图可能会考虑小细胞癌,毕竟有个小指状突起
徐飞:
老年女性,吸烟史,右肺中叶外侧段结节,局部突起,浅分叶,右肺中叶外侧段支气管进入截断,病理不会看,无增强,常规考虑1,鳞癌。2,错构瘤。
小飞:
右肺中叶实性结节,边缘光整,部分平直、部分膨隆,浅分叶,与支气管关系不明确,考虑良性结节,错构瘤?
小兜:老年女性,吸烟史,体检发现右肺中叶外侧段类圆形结节,周围浅分叶,冠状位似见支气管进入后截断,未见脂肪及钙化
综合考虑为良性病变,病理不会看,肺软骨瘤?软骨型错构瘤?
王秀仙:
右肺中叶结节,边缘光滑、分叶状,老年男性,吸烟史38年,首先应该考虑小细胞肺癌,病理不会看,但是没有看到明显的猕猴桃🥝 征,所以错构瘤放第一,小细胞肺癌放待排。
💓 蕊💓:
右肺中叶实性结节,边缘较光整,以膨隆为主,浅分叶,部分与支气管相连,挂果征?但一般是挂在分支气管末端,首先考虑良性病变,错构?有吸烟病史,恶性也不能完全除外。
滴水海:
有病理不会看你说明难受不难受[捂脸],不过好像不太像错构瘤和腺癌,分叶明显,看上去有支气管截断,层厚有点厚,考虑大细胞神经内分泌癌
流心明智:
老年男性,66岁,吸烟史38年。右中叶孤立椭圆形结节,边缘光滑,分叶,指状突起?冠状位支气管在病灶边缘截断。病理不会看。考虑:良性结节,错构瘤?鉴别Ca。
水晶石头:
患者老年男性,体检发现右肺占位1天。有“高血压、脑出血、胃息肉术后、腰椎压缩性骨折”病史。胸部CT:右肺中叶外侧段紧贴叶间裂不规则实性结节,边界清楚、膨隆,见血管穿行,支气管远端堵塞。结合长期大量吸烟史。考虑恶性病变,病理不会,小细胞癌可能。鉴别鳞癌、错构瘤或平滑肌瘤。
一切∮随缘:
右肺结节,形态似葫芦样,边缘平直彭隆,分叶及坏死不明显,近段可见增粗的血管及清晰的磨玻璃影,部分支气管似穿行,考虑炎性结节(错构瘤,腺瘤PSP),鉴别小细胞癌
丽:
右肺中叶结节,位于叶间胸膜下,无明显胸膜牵拉,说明收缩力不强,结节整体边缘膨隆、分叶,局部局限性突出,像个小尾巴,密度不均匀,可见支气管进入,远端显示欠清晰,病理图不会看,首先考虑小细胞肺癌,鉴别错构瘤,转移瘤
杨泽锋:
如果结节内支气管确实有穿行,那么首先就应该排除错构瘤,其实这个层厚加上呼吸运动伪影很难观察支气管与病灶的关系
飞鹰行动:
可惜没有增强,右肺中叶小结节病灶,边界清晰,有分叶征,相邻胸膜牵拉凹陷,老年人,没有增强,应该首先不能排除恶性肿瘤,肺癌应该首先考虑。其边缘清晰,类癌?
初学者:
影像上孤立病变,与支气管关系不密切。病理上核大深染,支持恶性肿瘤,小细胞,大细胞,大泌鉴别
穿越七海的风:
右肺中叶结节,边缘光滑无毛刺,浅分叶,恶性肿瘤,小细胞?
采莲:
右肺中叶外侧段结节,边缘光滑,深分叶,与支气管关系不大,从病理看不像错构瘤,也不像小细胞,不过不会看呀;还是考虑恶性肿瘤可能性大。
毛勤香:
老年女性,长期吸烟史,有指状凸起,边缘光滑,考虑小细胞癌,病理我也觉得是小细胞癌
张小兵:
右肺上叶实性结节,边缘清楚、膨隆,浅分叶,血管穿行,重建示支气管进入后阻塞 ,总体倾向恶性。
꧁༺༽༾ཊ天涯ཏ༿༼༻꧂:
有分叶,边缘膨隆光整,老年,又是体检发现,恶性先考虑~
生来征服~浪子:
老年人,右中肺结节,边缘膨隆,指状突起,浅分叶,部分支气管似穿行,小细胞癌?
任艳:
收缩力弱,填充式生长
欣:边界清楚,有分叶,血管似贴边,考虑良性病变,PSP与错构瘤鉴别,优先考虑PSP

张延军:
中叶结节,深分叶,边缘清晰,与血管紧邻,错构瘤?
南边:
边缘光滑吗?
周围干净吗
有毛刺吗?
有分叶吗?
深分叶?浅分叶?中分叶?
深分叶——PSP不支持
与支气管的关系?很关键啊!
管洪林:
嗯,psp边缘比较光滑
浪迹天涯:
比较密切
南边:
是呀看不太清,不知道这里的分支是否堵塞

傅昌瑜:老年女性,体检发现右肺结节,长期吸烟史,实性结节,有指状凸起,边缘光滑,与血管及支气管关系不甚清楚。病理图片见密集的核大深染异型细胞。需考虑:1.错构瘤:园,光滑,分叶少,支气管、血管贴边。有时可见黑晕征。无明显强化。病理可见支气管粘膜、平滑肌、软骨及脂肪组织等,患者病理图片中无软骨及脂肪组织。故不考虑错构瘤。2.硬化性肺细胞瘤:与支气管关系密切,强化较明显。病理可见间质卵圆形细胞、血管区、泡沫细胞等。患者病理图片无上述细胞,不支持PSP。3.恶性肿瘤:腺癌:病灶无明显膨胀性生长、无毛刺,不支持;小细胞癌:结节一侧可有指状凸起。病理图片见密集的核大深染疏松的异型细胞考虑小细胞癌。目前考虑小细胞癌可能性大。注意鉴别其他恶性肿瘤
尘缘:神经内分泌肿瘤或转移瘤肺原发类癌或胃肠道类癌转移可能较大。需要看免疫组化



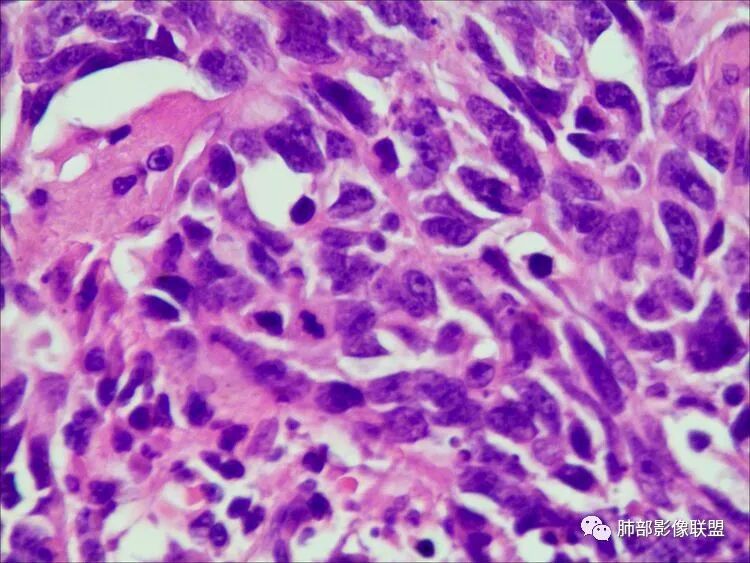
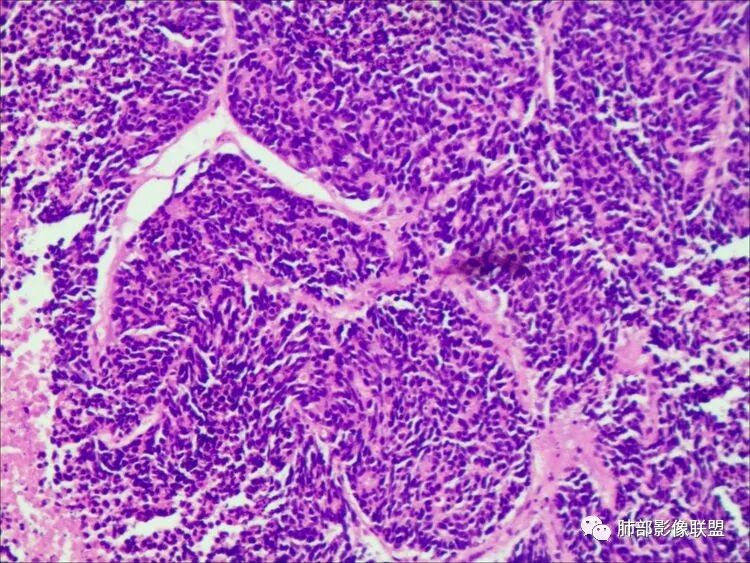
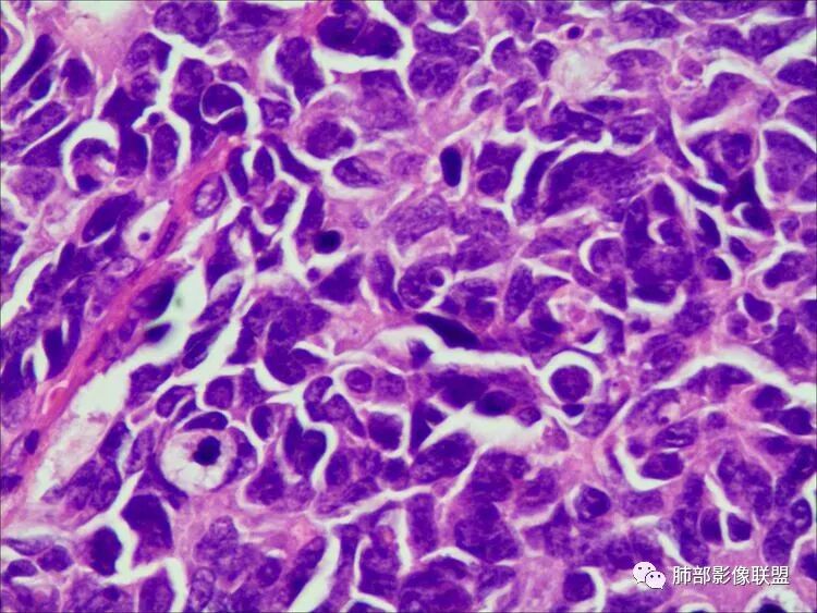
病理结果

大细胞神经内分泌癌

普切:
(右中肺切除标本)神经内分泌癌,细胞较大,有一定量胞浆,核染色质较细,少数细胞可见核仁,倾向大细胞神经内分泌癌,肿瘤大小2cmX2cm×1.6cm,伴有坏死,
未累及脏层胸膜,未见明确脉管內瘤栓及神经侵犯;支气管切缘及肺缝钉切缘均未见癌累及。其余肺组织切片局部见出血性结节伴慢性炎细胞浸润
免疫组化显示瘤细胞:CK7(散在+),CK(pan)(+),CD56(+),Syn(+),CgA(+),TTF-1(+),CD117(+),EGFR(+),p53(3+),p16(+),Ki-67(最高处
约90%+),CD5(-),CK5/6(-),p40(-),p63(-),S-100(-),
Vimentin(-);分子病理结果:EBER(-)。


文献复习
肺大细胞神经内分泌癌(large cell neuroendocrine carcinoma, LCNEC)是罕见的肺部恶性肿瘤,其诊断需要组织学、细胞学和免疫组化确认。目前手术切除是选取LCNEC病理标本的主要方法,但有较大的局限性, 仅限于早期肺癌,故CT引导下经皮肺穿刺活组织检查、经支气管镜肺组织活检也是重要的诊断手段。
对于肺神经内分泌癌病理学上有四种分型,即:典型类癌、非典型类癌、小细胞癌(SCLC)及LCNEC。在形态上,LCNEC肿瘤细胞表现为癌细胞体积较大且多形性明显,胞质丰富,泡状核,核仁大,核分裂象易见,核型改变是其主要形态学特征。癌基底细胞呈栅栏状排列,小梁结构,玫瑰样特性。LCNEC同时具有NSCLC和SCLC的病理特点,恶性程度较SCLC相当或略低。免疫组织化学染色法对该肿瘤诊断具有很大作用,因肿瘤细胞能够表达多种神经内分泌标志物,其中以Syn、CgA、CD56为主;  CD56的敏感性最高,但CgA、Syn的特异性更强,这三项中只要有一项为阳性,即可诊断。
LCNEC最常见的影像特征包括:(1)肿块发生部位:周围型肺癌为主,少数发生于肺中央。(2)肿块大小及形态。因肿瘤细胞生长迅速常形成较大肿块,因此其体积一般较大,直径常在3~10cm范围内,病灶常为不规则形软组织肿块。(3)肿块边界。多数学者报道大多数肿块边界清晰光整,边缘可呈分叶状,收缩能力不强,毛刺征及“胸膜凹陷征”少见,病灶附近常干净。认为与该病对周围组织浸润较轻及较少产生纤维瘢痕组织牵拉有关联。(4)肿块密度、强化特点及代谢情况。据文献报道,该类肿瘤因体积较大CT上常见软组织肿块,部分密度较均匀,病灶较大者可以观察到囊变坏死区,增强后呈轻或中度不均匀强化(可见强化者占75.7%),认为其强化特点与其内部肉眼可见坏死灶和肿瘤较大直径有关。(5)伴随症状及远处转移。该病恶性程度高,侵袭性强,常侵犯邻近结构,如胸膜、心包、邻近骨质或纵隔内组织等,易出现纵隔淋巴结转移,部分发生肺内及远处转移,少数早期可出现广泛远处转移。
LCNEC患者空洞、钙化、阻塞性肺炎、肺不张、积液这些CT特征较少见,少见支气管充气征。
鉴别诊断:
(1) 类癌及小细胞神经内分泌癌: 类癌多见于无吸烟史的中年女性,CT上多表现为支气管腔内外边界清楚的结节或肿块,钙化较常见,增强后呈显著均匀强化。小细胞神经内分泌癌恶性程度更高,病程发展快、转移早、预后差,对放、化疗敏感,多表现为病灶较小但伴有广泛的肺门、纵隔淋巴结和远处转移。
(2) 肺腺癌及鳞癌: 腺癌好发于无吸烟史的女性,多表现为类圆形磨玻璃影或肿块,内常见空泡征,边缘毛糙,可见分叶、短毛刺征及“胸膜凹陷征”。肺鳞癌与支气管密切相关,易完全阻塞。病灶内坏死更常见,常因中心坏死的组织与支气管相通排出而形成空洞,壁厚不均匀。
参考文献:
1.刘洋,王悦虹,阮伟良,等.肺大细胞神经内分泌癌患者的临床病理学和胸部CT特征分析[J].上海医学,2018,41(06):339-343.
2.陈涛,陈伟,吴彩云,等.肺原发性大细胞神经内分泌癌CT与PET-CT表现及病理分析[J].临床放射学杂志,2019,38(06):1038-1041.


病例小结
1.老年女性,没有明显临床症状。
2.体检发现右肺中叶孤立性肺结节,边缘光整,有浅分叶,没有明显的毛刺及收缩牵拉。
3.密度均匀,周围干净。
4.近端支气管似乎有截断。
 
分析:
一个“骨肉匀称”的结节,有可能是天使(错构瘤、硬化性肺细胞瘤PSP),也有可能是恶魔(转移瘤、类癌、大细胞神经内分泌癌等)
 
1.硬化性肺细胞瘤:类圆形很少分叶,没有血管支气管进入,密度均匀,大多显著强化!
2.错构瘤:常有浅分叶,周围也干净,脂质密度区及爆米花样钙化都具有较为特征性意义。病灶不会显著强化。
3.转移瘤:有原发肿瘤病史,孤立灶相对少见。多类圆形,支气管进入常常是反指征!
4.小细胞癌:可以是干净光滑的小结节,但常可观察到显著增大的肺门纵隔淋巴结!
5.大细胞癌:结节往往较大,生长较快,注意肺门纵隔增大的淋巴结不似小细胞癌那么夸张!
 
本例未行增强扫描!精准影像,技术先行,有完整的图像及后处理,仔细观察病灶内部的成份(有无钙化、空洞、坏死)及强化情况,观察病灶与支气管、血管的关系,再结合患者病史,才是鉴别良性跟恶性的病灶的制胜砝码,至于病理类型就可以交给病理科。

https://mp.weixin.qq.com/s?__biz=MzAxMjI2ODk2MQ==&tempkey=MTA1Nl9qZzdCdE55Y1BvVitSTGVNWTF4amxwenhpZmpDc3dsaEFHblFsMUltN2REbTlBVFdXc3RFaU85c01SNHZmSkxyMmF1TzNlRUt0a0pVUzFScDhDQTNSSmN5UWkyMTlCaGVmS0F3YVlXVFc5MmM0Y25wUEMyNUtmMGpvLXNmaXZrZmxsV2ZZZ1o5aXFfdG4ycmwxQ3dJeHhOMnRiQ2pLaVhEN29OZlZnfn4%3D&chksm=1bb692512cc11b4721b63eea4668fb48cf0a5e7b6a361b9d5fdd0f6f919aaf7449804fe11fea#rd

End
编辑者:湘西州人民医院 龙辉
审核者:蔡笑燕  徐  晓
病例提供者:湖南省人民医院 张卫东



到顶部