新冠病毒变异将影响传染性?世卫这样回;约75%的新冠幸存者在几个月后仍出现症状;新冠病毒夺去一名无任何先天疾病的11岁儿童的生命




新冠病毒变异将影响传染性?世卫组织这样回
英国研究称约75%的新冠幸存者在清除病毒几个月后仍会出现症状
研究称新冠病毒夺去一名无任何先天性疾病的11岁儿童的生命
Moderna疫苗三期入组已达40% 与巨头辉瑞“赛跑”

01
新冠病毒变异将影响传染性?世卫组织这样回
据美国约翰斯·霍普金斯大学最新统计数据显示,截至北京时间22日9时28分,全球新冠确诊病例累计超2286万例,累计死亡逾79.7万例。世卫组织官员称,新冠病毒大部分变异不会影响病毒的传染性和严重性;
美国疾控中心预测,截至9月12日,美国新冠死亡病例或将逼近19.5万;面对疫情反弹,多国“出招”加强防疫;尽管全球疫苗研发工作正持续推进,但世卫组织指出,疫苗不能使疫情自行结束。

世卫称希望疫情两年内结束
病毒大部分变异不影响传染性
当地时间21日,世卫组织总干事谭德塞表示,希望新冠大流行能在两年之内结束,但前提是在抗疫过程中能实现国家层面和国际层面的团结协作。
谭德塞对那些新冠确诊病例数目前呈下降趋势的国家提出警示,“(抗疫)进展并不意味着胜利”。在有效疫苗正式问世之前,任何国家都无法安然无恙。因此,各国迅速发现和预防集群性传播、防止社区传播、出台新的限制措施显得至关重要。
同日,世卫组织卫生紧急项目技术主管玛丽亚·范·科霍夫称,目前全球已有超过八万个新冠病毒基因序列,大部分变异不会影响病毒的传染性和严重性。世卫组织已成立专门工作组,确认不同的变异,并研究其可能对病毒行为产生的影响。
世卫组织卫生紧急项目负责人瑞安也表示,必须认真对待疫情,全力遏制病毒并降低病亡率,在最终研发出疫苗之前学会与病毒共存,“我们一定能撑过新冠疫情。”
美政府抗疫不力遭抗议
9月死亡病例数恐超19万
目前,美国新冠确诊病例累计超562万例,死亡超17.5万人。21日,美国疾病控制与预防中心(CDC)发布报告称,到9月12日,美国将有近19.5万人死于新冠病毒感染。预测指出,死亡人数的可能范围在187373至204684人之间,最有可能的数字为194778。
与此同时,美国政府抗疫中的不力表现,也正招致民众不满。21日,纽约市举行“为死者游行”活动,新冠罹难者家属聚集到特朗普大楼外进行守夜活动,而美国各地预计也将举行类似的守夜活动,包括华盛顿特区、威斯康辛州、特拉华州、阿肯色州和阿拉斯加州等。
近日,美国微软公司联合创始人比尔·盖茨在接受采访时,也再次批评了美国抗击疫情的举措。盖茨还表示,新冠疫情对世界经济所带来的影响并没有到达顶峰,“最坏的情况仍在前头”。
美国国家税务局20日发布报告预测,到2021年,美国就业岗位将较前一年减少3890万个,且就业市场受到的损害预计将持续数年。
21日,美国航空公司宣布,计划在10月7日至11月3日期间的“十月计划”中,暂时停止飞往美国15个城市的航线,理由是新冠疫情对旅游业的破坏,使这些地区的客运量不足。
疫情反弹令人忧
多国“出招”收紧防控
目前,多国疫情出现反弹,令人担忧。在欧洲,随着民众结束夏季休假、学生返校上课等,德国、法国、意大利及西班牙等出现新冠确诊病例数激增的情况。
为此,德国8月初以来强制要求来自疫情高风险地区的入境人员接受新冠病毒检测;法国西南部城市图卢兹19日起强制民众在户外戴口罩;西班牙则下令要求关闭大多数夜生活场所,并建议疫情最严重的马德里地区的民众尽量减少外出。
亚洲多国也出台措施,以应对严峻的疫情。泰国决定将原定于本月底到期的紧急状态法再次延长一个月至9月底,在控制境外疫情输入风险的同时,预防第二波疫情来袭。
在韩国,与“爱第一”教会等关联的聚集性感染继续蔓延。为此,韩国防疫部门正在向集会主办方要求提交参与者名单,通知相关人员尽快接受病毒检测。韩媒称,若疫情按现有速度传播或加速传播,韩国防疫部门有可能把社交距离限制级别上调至第三阶段。
俄新冠疫苗有望2021年春季出口
世卫称疫苗不能使疫情自行结束
全球正加紧推进新冠疫苗研发工作。俄罗斯8月11日注册了全球首款预防新冠病毒感染的疫苗。俄媒22日援引俄罗斯工业和贸易部部长曼图罗夫的话报道称,俄新冠病毒疫苗国内产量增加后,有望2021年春季开始出口。
另外,俄罗斯联邦消费者权益保护和公益监督局21日表示,俄第二款新冠疫苗正接受2期临床试验。目前,志愿者总体感觉良好,没有出现明显副作用。预计2期临床试验将在9月份结束。
在美国,强生公司计划在9月启动疫苗第三期临床试验,拟在全球招募约6万志愿者。该公司预计,如果疫苗研发工作进行顺利,有望在2021年4月前生产6亿至9亿剂疫苗。
21日,世卫组织称,疫苗将是全球抗击疫情的“重要工具”,但它不能使疫情自行结束。(中新网)
02
英国研究称约75%的新冠幸存者在清除病毒几个月后仍会出现症状
近日一些医生警告说,即使在清除病毒后,新冠症状也会挥之不去。来自英国的一项研究显示,约75%的新冠肺炎幸存者在几个月内仍会出现症状,包括呼吸困难、过度疲劳和肌肉酸痛。医生们不知道是什么原因导致了这种所谓的 “长期COVID ”症状,但他们正在继续对患者进行研究,努力想出可能缓解这些COVID-19副作用的疗法。

安东尼·福奇博士最近详细介绍了一种在越来越多的COVID-19康复患者中观察到的现象。根据福奇的说法,多达三分之一的新冠患者的症状会持续数月。“当我们说‘无需住进医院的年轻人没事,让他们感染吧,没关系’时,我们最好小心。不,这是不行的,”福奇本周早些时候说。“在那些年轻和其他方面健康的个体中,”福奇补充说,“他们不需要住院,但确实生病了,症状足以在床上躺上一周或两三周,然后好转,他们清除病毒 - 但可能他们有几个星期的残留症状,有时甚至持续几个月。”
不足为奇的是,这并非只发生在美国。世界各地的COVID-19患者都有可能经历一种所谓的 “长期COVID ”症状。来自英国的一项新研究称,约75%的患者在清除病毒几个月后仍在遭受新冠症状的困扰。
据Sky News报道,来自布里斯托尔南米德医院的一个研究小组是研究该病长期影响的项目的一部分。他们研究了110名出院的患者,发现其中81名患者在康复后的12周内仍有COVID-19症状。这是在一个更大的163名患者队列中,其中19人死亡。其他人没有参加三个月的检查。
报告解释说,呼吸困难、过度疲劳和肌肉酸痛是疗养病人报告的症状之一。许多人最终在常规的日常工作中挣扎,如洗澡、自己穿衣或回去工作。
大多数患者报告说,最初的一组症状,包括发烧、 咳嗽和失去嗅觉的改善。此外,他们中的大多数人没有出现明显的肺部并发症,如肺组织的疤痕或功能降低。需要在医院接受氧疗的患者的肺部在特定的测试中出现了变化,包括肺部扫描和肺功能测试。
研究将继续进行,因为医生没有为生活质量受到病毒显著影响的患者提供答案。“关于新冠病毒的长期影响,我们还有很多不了解的地方,但这项研究让我们对患者在康复过程中可能面临的挑战有了至关重要的新认识,并将帮助我们为这些需求做好准备,”Rebecca Smith医生告诉Sky News。
报告指出,任何年龄段的人都可能出现“长期COVID ”症状,报告提供了一个医学界的例子。31岁的医生Jake Suett博士在COVID-19中幸存下来,并且没有任何潜在的病症。然而他也在应对患病后出现的各种症状,包括胸痛、呼吸困难、视力模糊、记忆力减退、发烧和注意力问题。
“我做洗漱或在屋里走动时还是会喘不过气来,”NHS的医生说。“我花了三天时间,只是在床上喘息,我真的以为自己会死,这非常令人痛苦。从那以后情况有所好转,但好转不多,只是非常非常缓慢。我也出现过肠胃症状和四肢酸痛的症状。”
03
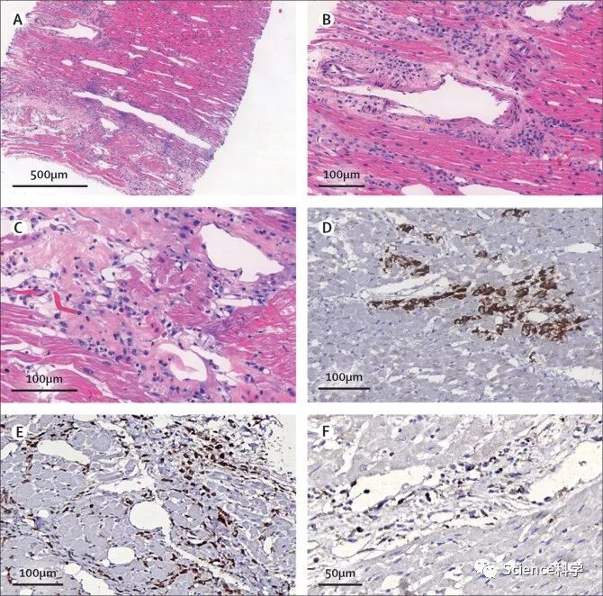
研究称新冠病毒夺去一名无任何先天性疾病的11岁儿童的生命
一项研究表明,孩子们的新冠症状应该引起重视,因为它们可能会演变成一种潜在的危及生命的综合症。来自巴西的研究人员发现,一名原本健康的11岁患者感染病毒后,病毒直接到达心脏后,导致这名儿童因心脏并发症而死亡。由于病毒影响了多种器官,该患者出现了一些感染新冠病毒的儿童所出现的综合征。心脏组织的炎症变化导致心力衰竭而死亡。

在《柳叶刀》上发表的研究报告中,对这名女孩的描述是 “一名原本健康的非裔女性”,她因管休克和持续发烧被送进了儿科重症监护室。她经历了7天的发烧、吞咽困难、肌肉疼痛和腹痛等症状。入院时,她呼吸困难,缺氧出现充血性心力衰竭症状,血压低,心动过速,四肢冰凉,脉搏几乎感觉不到。女孩被插管,她接受了包括头孢曲松、阿奇霉素和肾上腺素在内的混合药物治疗。
随后的超声心动图显示了大量的心肌功能障碍,胸部CT显示肺部有多处磨玻璃影 ,与COVID-19一致。血液检查显示全身炎症和心脏损伤的标志物浓度较高,“包括C反应蛋白、白细胞介素-6、铁蛋白、甘油三酯、D-二聚体、肌钙蛋白和肌酸激酶心肌带”。此外,还观察到大量淋巴细胞减少,以及血液性缺氧。28小时后,这名患者出现心室颤动,并死亡。

医生们着手找出导致她死亡的病因。他们进行了超声引导下的微创解剖,从心脏、肺、肝、脾、肾、脑、腹股沟淋巴结、股四头肌和皮肤中提取样本。利用电子显微镜,他们在几种细胞类型内发现了“直径70-100纳米的球形病毒颗粒,大小和形状与冠状病毒科一致”,包括从心脏取回的细胞。尸检还发现肺动脉和肾脏中类似的血管内有微血栓。凝血是COVID-19的一个众所周知的现象,也是导致危险并发症的原因。
研究人员还采集了鼻咽拭子来检测COVID-19,并利用心脏和肺部样本进行同样的检测。结果心脏和肺部的检测结果均为阳性。
医生们继续对患者的DNA进行测序,以寻找任何能够解释COVID-19为何最终导致这位年轻患者死亡的免疫缺陷。“没有发现任何致病性、可能致病性或意义不明的变异体与免疫力的先天性错误有关。”换句话说,该患者没有潜在的免疫条件,可能促进COVID-19和儿童多系统炎症综合征(MIS-C)。
“我们的病例报告显示,MIS-C患儿心脏组织的炎症变化与COVID-19有关,从而导致心力衰竭和死亡,”研究人员总结道。“通过RT-PCR和电子显微镜可以在心脏组织中检测到SARS-CoV-2。尽管有明显的全身炎症并最终进展为多器官衰竭,但临床、超声心动图和实验室研究结果强烈表明,心力衰竭是决定死亡结果的主要因素。”
04
Moderna三期入组40%与辉瑞赛跑11岁儿童的生命
美国疫苗厂商Moderna周五宣布,已经在新冠疫苗三期大规模临床试验中入组了40%的志愿者,这项临床试验将在美国进行。不过消息公布后,Moderna的股价当天收盘下跌超过2%。目前,Moderna正在面临包括辉瑞在内的其他美国疫苗生产巨头的激烈竞争。
按照计划,Moderna将总共入组3万名志愿者接种疫苗,目前入组人数已经达到了13194名。公司表示,参与者中有18%的人是黑人、拉丁裔、美洲印第安人以及阿拉斯加土著人,这部分人群在新冠大流行病中受到的打击最为严重。
Moderna核酸疫苗mRNA-1273的志愿者招募从7月份开启,预计到9月份完成,目前Moderna和辉瑞是美国疫苗临床试验中进展最快的两个团队。外界预计,美国首个新冠疫苗有望在今年年底或者明年年初推出。
上周,Moderna与美国政府签订了疫苗供应协议,美国政府将以15亿美元的价格采购该公司潜在的1亿剂新冠疫苗。截至目前,Moderna已经从美国政府获得接近10亿美元的资金支持。
但Moderna是一家从未有过疫苗商业化案例的公司,这给新冠疫苗的大规模生产前景带来了不确定性。“这将是一次真正的考验。”生物医药投资公司Loncar Investments创始人布拉德·隆卡(Brad Loncar)对第一财经记者表示,“如果成功了,这将是Moderna的首个产品。”
从股价来看,Moderna今年累计涨幅接近240%,不过近一个月股价下跌了20%。隆卡表示,Moderna正在与辉瑞进行激烈的竞争,两者都希望成为第一个跑到终点的公司。“两家公司都已经发布了疫苗的积极数据,从市场的反应来看,投资人似乎更加倾向于相信辉瑞的疫苗。”隆卡对第一财经记者表示。
辉瑞公司日前也透露,已经招募了1.1万名新冠疫苗接种志愿者,其中19%的志愿者是黑人或者拉丁裔。辉瑞与德国生物技术公司BioNTech共同研发的新冠疫苗有望于今年10月向有关部门递交完整的紧急授权申请数据。
本周四,辉瑞和BioNTech发布了一份疫苗早期临床试验数据,显示该新冠疫苗能够诱导与康复患者水平相当的免疫反应,并且副作用更轻。周五,BioNTech股价大涨超过10%。该公司今年以来股价累计涨幅超过43%。
除了Moderna和辉瑞,强生公司周四也表示,将在9月份启动大规模的疫苗临床三期试验,计划招募6万名志愿者,以验证疫苗的安全性和有效性。
截至目前,美国政府在新冠疫苗研发方面的投入已经超过百亿美元。尽管如此,在全球最脆弱的群体获得疫苗接种之前,科学家仍然有很多工作需要完成。
美国FDA已经警告称,在大规模临床试验中可能会发生不良事件,因此做好上市后监管非常重要。根据FDA发布的新冠疫苗开发和授权许可的指导文件,疫苗批准的前提是“安慰剂对照有效性试验的主要有效终点至少应达到50%”。
FDA局长史蒂芬·哈恩(Stephen Hahn)博士8月7日在《美国医学会杂志》(JAMA)上撰文称,新冠疫苗批准上市前一定要经过严格的审核,
FDA还强调在疫苗临床试验中,要对少部分的群体,比如一些少数族裔、老年群体以及有合并症风险的群体予以充分的考虑;并对特殊人群,比如儿童和孕妇提供额外的保障。(一财网)


Science科学 
了解未知 开启认知

按此关注中文公众号
Science科学英语平台 
THE SCIENCE OF EVERYTHING

按此关注英文公众号
TechEdge 
科技 点亮未来

按此关注中文公众号

◢ 豁然开朗请打赏 ◣

分享“票圈”,逢考必过,点亮“在看”SCI录用率提高18%
到顶部