最新:新型冠状病毒是怎么被发现的?传染给人类的中间宿主被找到了?



2020年1月26日,从武汉蔓延至全国的新型冠状病毒肺炎已经蔓延至除西藏自治区外的中国全境,从中国省份覆盖率而言,已经远远超越了2003年发生在广东的SARS非典。截止1月26日下午3点30,全国确诊2684例,死亡56例,治愈49例。昨天我们做了上午6小时统计,从上午6:00-中午12:00新确诊178例,昨日新增230余例。

SARS、MERS和2019-nCoV对比 数据采样时间2020年1月24日2点

SARS、MERS和2019-nCoV对比 数据有误无权删图,详情请参照丁香园数据

攻坚克难,开辟第二战场
        随着新型冠状病毒2019-ncov进一步扩散,中国科学家和全球的科学家们正齐心协力对病毒展开攻坚研究,开辟出医院外对抗病毒的“第二战场”。1月24日,国家病原微生物资源库发布了由中国疾病预防控制中心成功分离的我国第一株新型冠状病毒电镜照片。
        北京时间1月25日凌晨,权威医学杂志《新英格兰医学杂志》发表了由中国疾控中心主任高福领衔的相关研究论文,披露了中国科学家发现并分离出新型冠状病毒(2019-nCov)的全过程。
        高福团队通过对早期发现的三名新型冠状病毒肺炎患者的样本进行全基因组测序,发现了一种从未见过的乙型冠状病毒属(betacoronavirus)病毒。该病毒从感染者气道上皮细胞中分离出,随后将其命名为2019-nCoV,这种病毒归属于Sarbe病毒亚属,正冠状病毒亚科,但形成了另外一簇的进化分枝。2019-nCoV与MERS-CoV和SARS-CoV都不同,它成为可以感染人类的冠状病毒科中的第七个成员。
        据《新英格兰医学杂志》中文版《NEJM医学前沿》25日的报道,高福团队在论文中披露,2019年12月末,几家当地卫生机构报告了一组不明原因的肺炎患者,这些患者在流行病学上与武汉的一家海鲜和湿畜批发市场有关。12月31日,中国疾病预防控制中心派出快速应急小组会同湖北省和武汉市卫生机构进行了流行病学和病原学调查。
据研究报告,2019年12月27日,出现严重肺炎症状的3名成年患者被收入武汉一家医院。患者1为49岁女性;患者2为61岁男性;患者3为32岁男性。研究团队收集了患者1和患者2的病史:患者1没有潜在的慢性基础病史,但从2019年12月23日出现发热(体温37-38°C)、咳嗽及胸部不适症状。在临床症状出现后4天,咳嗽和肺部不适症状加重,但发热症状缓解,基于CT扫描的结果做了肺炎诊断。此患者的职业为海鲜市场的零售商贩。
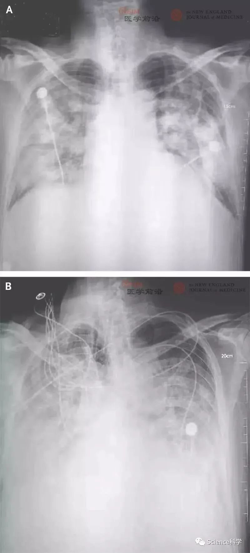
        患者2初始症状从2019年12月20日开始,出现了发热和咳嗽。在起病后7天出现呼吸困难且后续2天进行性加重(胸片资料见图1),在此期间进行了机械通气。该患者曾经常出入海鲜市场采购。患者1和患者3在经过治疗后于2020年1月16日出院,但患者2在2020年1月9日死亡,没有采集到患者的组织标本。

 
胸 片
        高福团队称,2019年12月30日,从武汉金银潭医院采集了这3位患者的肺泡灌洗液。后从这3位患者体内都分离到了新型冠状病毒。论文称,尽管2019-nCov与蝙蝠体内分离到的乙型冠状病毒相似,但是与SARS冠状病毒和MERS冠状病毒有不同。上述3份来自武汉的2019新型冠状病毒与2份来自蝙蝠体内的SARS样病毒株形成了Sarbe 冠状病毒亚属B谱系中一个新的分枝;来自人体的SARS冠状病毒则与中国西南部蝙蝠体内分离到 SARS样冠状病毒共同形成了Sarbe冠状病毒亚属的另外一个分枝。
        《NEJM医学前沿》同期发表的一篇社论中指出,继2002年暴发的严重急性呼吸综合征冠状病毒(SARS-CoV)和2012年暴发的中东呼吸综合征冠状病毒(MERS-CoV)之后,2019-nCoV是过去20年间在人类中出现的第3种致病冠状病毒。
        来自中国、泰国、韩国和日本的最新信息表明,与SARS和MERS相比,与2019-nCoV相关的疾病似乎相对较轻,2019-nCoV的致病性似乎比MERS-CoV和SARS-CoV弱。然而,这也导致了一个重要问题,即对遏制新病毒、防止其大规模传播会带来怎样的影响?
      社论指出,高效率的人传人是这一新病毒发生大规模传播的必要条件。然而,如果病毒感染不会引起严重疾病,感染者很可能不会就医。相反,他们可能会去工作和旅行,从而可能将病毒传播给接触者,甚至可能发生国际传播。如果许多感染者并无症状或仅有轻度症状(假设这些人能够传播病毒),那么确定传播链和追踪后续接触者将变得复杂得多。
       社论还表示,目前尚不知晓在病毒人际传播能力的整个范围内,2019-nCoV新病毒落在何处。但基本上可以认定,如果该病毒可高效传播,则其相对于SARS而言看似较低的致病性可能反而会导致大规模传播。这样,在个体层面构成较低健康威胁的病毒可在人群层面构成较高风险,有可能造成全球公共卫生系统的破坏和经济损失。
另一位专家艾奥瓦大学的Stanley Perlman在杂志配发的评论中指出,关于这种新病毒感染,仍然有很多信息需要了解。最重要的是,需要确定人际传播的程度和临床疾病的各种表现,获得尽可能多的时间和地理上无关的临床分离株,以评估病毒突变的程度,并评估这些突变是否表明对人类宿主的适应性。此外,还应当尽快确定该病毒的人畜共患病病原体来源。

寻找神秘中间宿主,水貂浮出水面?
         新型冠状病毒的传染源到底是什么?一直悬而未决。1月24日,北京大学工学院教授朱怀球团队在bioRxiv预印版平台发表《深度学习算法预测新型冠状病毒的宿主和感染性》,文章指出,蝙蝠和水貂可能是新型冠状病毒的两个潜在宿主,其中水貂可能为中间宿主。
该研究使用的是基于深度学习算法开发的VHP(病毒宿主预测)方法,用以预测新型冠状病毒潜在宿主。今天,朱怀球再次确认了上述消息。
朱怀球团队研究的研究显示,与感染其他脊椎动物的冠状病毒相比,蝙蝠SARS样冠状病毒与新型冠状病毒具有更相似的感染模式。此外,通过比较所有宿主在脊椎动物上的病毒传染模式,发现水貂病毒的传染性模式更接近新型冠状病毒。这意味着,蝙蝠和水貂可能是新型冠状病毒的两个潜在宿主。

而关于新型冠状病毒的感染力,该团队研究表明,新型冠状病毒的6个基因组都极有可能感染人类。预测结果提示,新型冠状病毒具有与严重急性呼吸综合征冠状病毒(SARS-CoV)、蝙蝠SARS样冠状病毒(Bat SARS-like CoV)和中东呼吸综合征冠状病毒(MERS-CoV)类似的感染人类的强大潜力。
另外,1月23日,中国科学院武汉病毒研究所研究员石正丽团队在bioRxiv预印版平台上发表文章“一种新型冠状病毒的发现及其可能的蝙蝠起源”。该研究提到,新型冠状病毒的自然宿主最有可能是蝙蝠,它与云南菊头蝠中存在的RaTG13冠状病毒一致性高达96%。
近日,中国疾控中心首次成功分离我国第一株病毒毒种信息,并公布其电镜照片。专家认为,这一进展为下一步研究病毒致病机制、研发相关药物奠定了良好的基础。
北大工学院官网信息显示,朱怀球为北大教授、博士生导师,现任北大工学院副院长,兼任中国医药生物技术协会生物医学信息技术分会常务委员、北京生物信息学研究会秘书长、中国生物工程学会计算生物学与生物信息学专业委员会委员。
他的主要研究领域为生物医学信息学和计算系统生物学,研究兴趣包括基于大数据的生物医学数据分析、基于下一代测序(NGS)技术的高通量基因组生物信息学方法和技术、环境与人体微生物组学、生物进化以及生物分子动力学分析等问题。主持发展的微生物基因组分析与基因预测系列方法达到国际领先水平。
此前,朱怀球曾参与发表过非典相关的研究文章《SARS冠状病毒的起源和进化初探》。
以史为鉴,敬畏自然

了解完整的知识链请点击下列链接
关注武汉疫情,您需要掌握以下知识
1.China has closed 13 of the cities due to the coronavirus......(中国当局有计划封闭13座城市控制疫情)
2.相似度96% 武汉新型冠状病毒或和SARS一样来源于蝙蝠(最终源头还是蝙蝠?)
3.武汉封城:谁导致了新型冠状病毒的疫情?除了吃货,果子狸、竹鼠、蛇...这锅谁背?(我们早能推测幕后的宿主是蝙蝠,但神秘的中间宿主是谁?)
4.DNA study suggests snakes may be source of coronavirus outbreak(中英文双语阅读:DNA研究表明蛇可能是冠状病毒爆发的源头)
5.Coronavirus explained: What do we know so far?(中国武汉发生的新型冠状病毒疫情英语科普和安全指南)
6.与时间赛跑:新型冠状病毒肺炎引发大范围传播风险有多大?(结合目前最新进展,用专业视角和科学的态度预判和分析疫情进展)
7.武汉疫情海报:敬畏大自然,共生才能共存(以史为鉴,敬畏自然)
8.武汉的冠状病毒从哪儿来?又是怎样传染人类?来龙去脉或许很简单(科学和专业的角度了解病毒,分析病毒的来龙去脉)
9.最新:新型冠状病毒感染肺炎确诊217例!从病情病理到口罩选择,大众该如何预防?(从普通百姓到医务工作者,一份专业的科普和安全指南)
10.在这场人与病毒较量的武汉保卫战中,这些科技公司与我们同在(科技与我们同在)


Science科学 
了解未知 开启认知

按此关注中文公众号
Science科学英语平台 
THE SCIENCE OF EVERYTHING

按此关注英文公众号
您的关注和转发,是对科学事业最大的支持!

◢ 豁然开朗请打赏 ◣

点击“星标”,给予支持!点击“在看”,助力传播!
到顶部