继续操作前请注册或者登录。

【新冠病毒】科学家开发AI模型预测哪把免疫系统“钥匙”能打开病毒的“锁”;没有完整病毒,单一的新冠病毒尖峰蛋白即可能导致肺损伤




科学家开发AI模型 预测哪把免疫系统“钥匙”能打开冠状病毒的“锁”
单独的SARS-CoV-2尖峰蛋白即可能导致肺损伤 即使没有完整病毒存

关注视频号,发现更多精彩
01
科学家开发AI模型 预测哪把免疫系统“钥匙”能打开冠状病毒的“锁”
通过芬兰阿尔托大学和赫尔辛基大学的研究人员开发的一种人工智能(AI)方法,研究人员现在可以将免疫细胞与它们的靶标联系起来,例如解耦哪些白细胞识别SARS-CoV-2。研究人员所开发的工具在了解免疫系统在感染、自身免疫性疾病和癌症中的功能方面有广泛的应用。

人类的免疫防御是基于白细胞准确识别致病病原体并对其启动防御反应的能力。免疫防御能够“回忆起”它以前遇到的病原体,例如,疫苗的有效性就是基于此。因此,免疫防御系统是最准确的病人记录系统,它带有一个人所面对的所有病原体的历史。然而,这种信息以前很难从病人样本中获得。
学习免疫系统可以大致分为两部分,其中B细胞负责产生针对病原体的抗体,而T细胞则负责破坏其目标。用传统的实验室方法测量抗体是相对简单的,这就是为什么抗体已经在医疗保健方面有多种用途。
转化血液学教授Satu Mustjoki说:"人们知道T细胞在针对病毒和癌症等的防御反应中的作用至关重要,但尽管进行了广泛的研究,确定T细胞的目标一直很困难。

T细胞以“锁-钥原理”识别它们的目标,其中“钥匙”是T细胞表面的T细胞受体,而“锁”是呈现在受感染细胞表面的蛋白质。据估计,一个人携带的不同T细胞“钥匙”比银河系中的星星还要多,这使得用实验室技术绘制T细胞目标图变得很麻烦。
因此,阿尔托大学和赫尔辛基大学的研究人员研究了先前剖析的锁钥对,并能够创建一个人工智能模型,以预测先前未映射的T细胞的目标。
“我们创建的人工智能模型很灵活,适用于每一种可能的病原体--只要我们有足够的实验产生的锁钥对。例如,当有足够数量的此类配对时,我们很快就能将我们的模型应用于冠状病毒SARS-CoV-2,”阿尔托大学理学硕士和博士生Emmi Jokinen解释道。
这项研究的结果有助于我们了解T细胞如何应用其“钥匙”的不同部分来识别其锁。研究人员研究了哪些T细胞能识别常见的病毒,如流感-、HI-和B型肝炎-病毒。研究人员还用他们的工具分析了识别乙肝的T细胞的作用,这些T细胞在肝炎发展到肝细胞癌后已经失去了杀伤力。
该研究已发表在科学杂志《PLOS Computational Biology》上。

阿尔托大学计算生物学和机器学习教授Harri Lähdesmäki指出:“在这些工具的帮助下,我们能够更好地利用已经公布的庞大患者群,并获得对它们的额外理解。”
利用人工智能工具,研究人员已经弄清楚,除其他事项外,在不同的疾病状态下,防御反应的强度与其目标之间的关系,如果没有这项研究,这是不可能的。
“例如,除了COVID-19感染,我们还调查了防御系统在各种自身免疫性疾病发展中的作用,并解释了为什么有些癌症患者从新药中受益,而有些则没有,”赫尔辛基大学的博士生Jani Huuhtanen博士透露了即将使用新模型的工作。
https://journals.plos.org/ploscompbiol/article?id=10.1371/journal.pcbi.1008814
02
单独的SARS-CoV-2尖峰蛋白即可能导致肺损伤 即使没有完整病毒存在
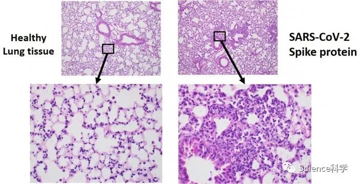
利用新开发的急性肺损伤小鼠模型,研究人员发现,仅仅暴露于SARS-CoV-2尖峰蛋白之中就足以诱发类似COVID-19的症状,包括肺部的严重炎症。SARS-CoV-2是导致COVID-19的病毒,它覆盖着微小的尖峰蛋白。这些蛋白质与我们细胞上的受体结合,启动一个过程,使病毒释放其遗传物质进入健康细胞。

利用新开发的小鼠模型,研究人员发现,仅接触SARS-CoV-2尖峰蛋白就足以诱发类似COVID-19的症状,包括肺部的严重炎症。左图为健康小鼠的肺部组织,右图为暴露在尖峰蛋白下的小鼠肺部组织。资料来源:帕维尔-索洛波夫,Old Dominion大学
"我们的研究结果表明,即使没有完整的病毒存在,SARS-CoV2尖峰蛋白也会造成肺部损伤,"Old Dominion大学Frank Reidy生物电学研究中心的研究助理教授Pavel Solopov博士说。"这种以前未知的机制可能会在大量病毒复制发生之前引起症状"。
索洛波夫在4月27-30日举行的美国药理学和实验治疗学学会年会的虚拟实验生物学(EB)2021年会议上介绍了这项新研究。
研究SARS-CoV-2可能具有挑战性,因为涉及完整病毒的实验需要一个生物安全3级实验室。为了克服这一障碍,研究人员创建了一个新的急性肺损伤模型,利用转基因小鼠在其肺部表达SARS-CoV-2的人类受体。
索洛波夫说:"我们的小鼠模型通过允许在不使用完整的活病毒的情况下研究COVID-19肺损伤,极大地减少了做这种类型研究的危险。"这将增加和丰富了进行COVID-19研究的能力。我们的模型也可能对研究其他冠状病毒有用。"
研究人员给转基因小鼠注射了一段穗状蛋白,并在72小时后分析了它们的反应。另一组小鼠只接受生理盐水,作为对照。
研究人员发现,注射了尖峰蛋白的转基因小鼠表现出类似COVID-19的症状,包括严重的炎症,白细胞涌入肺部,以及细胞因子风暴的证据,这是一种免疫反应,具体表现为身体开始攻击自己的细胞和组织,而不仅仅是抵御病毒。只接受生理盐水的小鼠仍然正常。
"这些发现表明,转基因小鼠连同仅有的一段穗状蛋白可用于研究SARS-CoV-2肺部损伤,"索洛波夫说。"我们可以利用这一工具更好地了解尖峰蛋白如何导致肺部症状,即使没有完整病毒的情况下,这样一来可以借助于此开发新的目标和治疗COVID-19的药物"。
研究人员计划继续这一调查路线,利用新的小鼠模型研究几种药物在降低急性肺损伤和COVID-19的严重程度方面的有效性。


Science视频号 

按此关注微信视频号
Science科学 
了解未知 开启认知

按此关注中文公众号
Science科学英语平台 
THE SCIENCE OF EVERYTHING

按此关注英文公众号
TechEdge 
科技 点亮未来

按此关注中文公众号

◢ 豁然开朗请打赏 ◣

分享“票圈”,逢考必过,点亮“在看”SCI录用率提高18%
到顶部