继续操作前请注册或者登录。

警惕!新冠奥密克戎感染者血常规参数重大变化!


作者:朱名超
单位:天门市第一人民医院
随着新冠病毒不断变异,奥密克戎毒株成为主要流行株后,病毒致病力减弱,传播力却显著增强,2022 年 12 月 26 日,人社通公布了各地新冠感染的数据,全国 31 省中 30 个省份感染率已超过 50%,81% 的省份感染率已超过 70%。2023 年 1 月 9 日,河南省新冠病毒感染疫情防控工作新闻发布会宣布河南新冠感染率 89%,已度过感染高峰;1 月 18 日广州市卫生健康委发布广州人群感染率超过 85%。高感染率必然导致医疗机构新冠病人激增。
近期,我们在接诊新冠患者时发现了一些新冠病毒感染的变化特点,不仅是临床症状发生变化,部分实验室检查结果也较最初 2019 年底的原始毒株感染发生了较大变化。
01
新冠病毒感染患者血常规发生较大变化
  
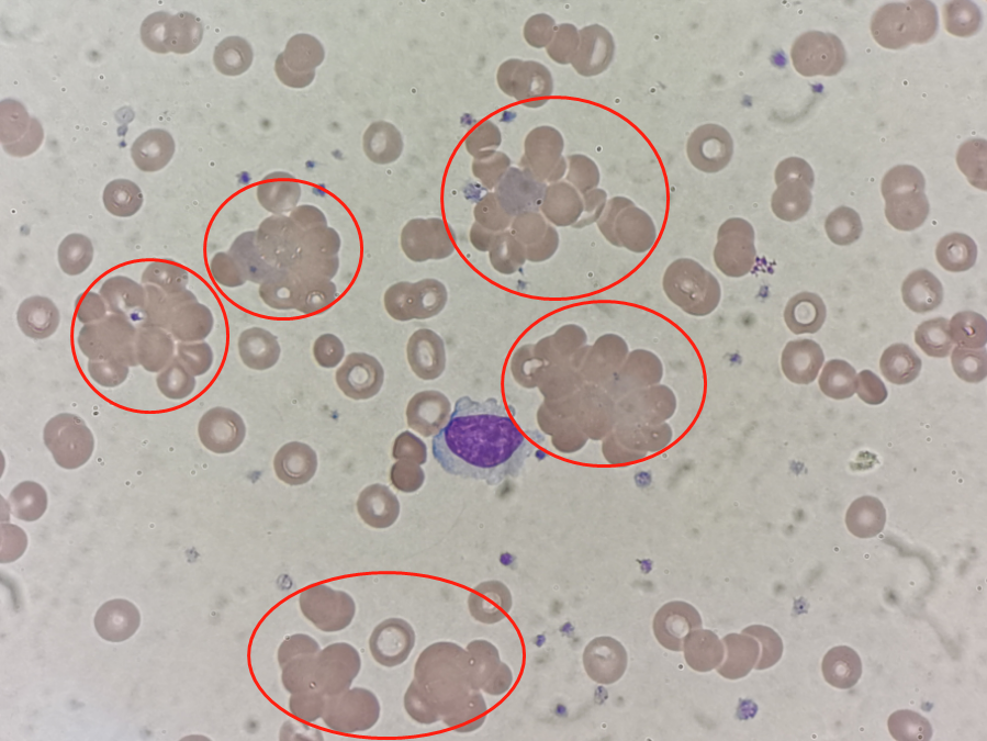
我们的统计研究发现,关于奥密克戎毒株感染者的血常规参数发生了重要变化,红细胞表面更易形成冷凝集,而且冷凝集比例高达 1 ~ 2%,如此高的比例值得引起高度关注。我们对冷凝集患者的血常规参数进行了统计分析,结果如下图。

图源:作者制作
以上 5 个案例是我们工作中的举例,我们通过大量的数据统计发现(目前统计数据 100 多例),冷凝集对 HGB 影响不大(无差异),但对 WBC、RBC、HCT、MCHC 均具有较大的影响,与处理前比较差异有统计学意义(P < 0.05),尤其是 MCHC、RBC 差异显著(P < 0.001)。
虽然国外的研究也有报道 2019-COVID 合并冷凝集素综合征的案例 [1-3](如下图),但大规模、大量数据的统计学研究却未见报道。

图源:参考文献 [1]
02
冷凝集处理方式对比
  
在本轮大流行中,我们发现了统计了 100 多例新冠病毒感染合并冷凝集的病例,按照目前实验室处理冷凝集方法有三种:
1. 生理盐水进行血浆置换。
2.37 ℃ 水浴箱温育 30 分钟,即刻上机测试。
3. 预稀释模式(1:7),将 EDTA 全血标本与 37 ℃ 已温育生理盐水按比例稀释测试。
对比发现这 3 种方法各有利弊:
1. 血浆置换在操作中易造成 WBC、PLT 丢失,引起结果偏差。
2. 温育法较多使用,30 分钟温育时间较长,可能影响检验结果的及时发放。
3. 预稀释模式与全血模式在结果上有时存在一定差异。
我们选择了第二种对结果影响较小的方式,37 ℃ 水浴箱温育 30 分钟后即刻上机检测,可以消除 95% 以上的样本冷凝集问题,避免了温育前后结果的影响。
03
思考
  
1、为什么新冠感染者会发生红细胞冷凝集现象?
2、为什么 HGB 前后差异不大?
3、为什么 MCHC、RBC 相差最大?
4、为什么冷凝集素还影响了 WBC 计数?
带着这些问题,我们继续探索。
1
首先了解下,什么是冷凝集?
冷凝集现象一般源于体内冷凝集素过高而导致血液在体外、低温条件下产生的红细胞自凝现象。而冷凝集素是一种单克隆或多克隆自身免疫性抗体,主要是 IgM 类完全抗体,属冷抗体,能在低于 37 ℃ 条件下凝集细菌、红细胞等颗粒抗原。其引起的凝集反应温度一般 < 30 ℃,其最高滴度在 4 ℃ 时出现。当温度上升到 37 ℃时凝集现象消失。与红细胞最佳结合温度为 0 ~ 5 ℃,因此冬季易发生冷凝集现象。
2
冷凝集产生的原因
1. 支原体感染:支原体肺炎病人感染后第二周冷凝素 1:40~1:80 或更高,第四周达高峰。
2. 一些自身免疫性溶血性贫血患者可能继发支原体肺炎,冷凝集素滴度增高,可达数万。
3. 传染性单核细胞增多症,重症贫血,骨髓瘤,腮腺炎等疾病也可有阳性反应。
4. 原发性冷凝集素疾病,是由于自身反应性红细胞凝集及冷诱导因素导致慢性溶血性贫血和微循环栓塞为特征的一组疾病。如今被认为是克隆性淋巴增生性骨髓疾病 [4]。
3
冷凝集产生的一个重要因素
就是冷凝素的效价,一些正常人也存在冷凝集,但效价小于 1:16,形成冷凝集现象一般效价要 > 1:32,因此正常人即是在寒冷的冬季,血液也不会发生冷凝集现象。
那么新冠感染者冷凝集素现象是如何产生的呢?
先看看冷凝集形成的机制:研究发现,肺炎支原体等病原体感染人体后,能对人红细胞表面唾液酸上的 Ⅰ 型活性结构进行修饰,使其具有免疫原性,机体针对这一修饰过的结构产生抗体。
红细胞膜表面物质的构型会随环境温度变化而发生改变。在体温条件下,红细胞膜物质的构型阻碍了冷凝集素与相应的抗原决定簇结合。而在较低温度时,红细胞膜表面物质的构型发生改变,某些抗原决定簇显露,能与相应抗体结合。所以冷凝集素只能在低温时凝集红细胞,凝集反应是可逆的,随温度的升高,凝集逐渐解离。
那么我们大胆推测新冠病毒感染人体后,可能也会对人红细胞表面唾液酸上的活性结构进行修饰,使其具有免疫性,机体可能产生相应的抗体,加之冬季温度较低,红细胞膜表面物质的构型发生改变,抗原决定簇暴露从而发生了红细胞冷凝集。
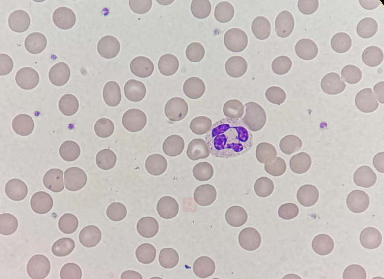
我们对样本进行了 37 ℃ 温育 30 min 处理后,即刻上机,冷凝集反应被消除,如图:

 温育前的患者血涂片

37 ℃ 温育 30 min 后患者血涂片
为什么 HGB 前后差异不大?
冷凝集不影响 HGB,是因为 HGB 测定需要溶血剂对 RBC 进行完全溶血后用比色法测定,因此几乎不会受到影响,而我们的统计结果也证实了这一点。
为什么 MCHC、RBC 相差最大?
RBC 测定使用的是鞘流阻抗法,凝集的红细胞成团进入计数池,无法对单个红细胞进行计数,因此会导致 RBC 偏低。MCHC 增高是因为 MCHC 为计算参数,MCHC=HGB/HCT,HGB 不变,HCT 降低,则 MCHC 增高。
为什么冷凝集素还影响了 WBC 计数?
WBC 计数偏低,可能与红细胞凝集包裹部分白细胞,导致白细胞计数结果偏低。温育后被包裹的白细胞被释放出来,从而使 WBC 计数回归正常,当然这个只是通过统计结果进行的推测,还需要更多更进一步的研究证实。
为什么 PLT 计数影响不明显?
我们的统计结果发现冷凝集对血小板计数变化不够明显,可能因 PLT 体积小,RBC 凝集时被挤出了包裹圈。
最后,我们还发现 MCHC < 380 g/L 的样本,也可能存在冷凝集,比如弱冷凝集的 MCHC 可在 370 ~ 380 g/L 之间徘徊,还有贫血的患者,MCHC 在 340 ~ 350 g/L 之间,经过温育会变为 300 ~ 320 g/L 之间,因此,这些样本如果不仔细审核,可能会导致发出错误的检验结果,值得我们每一个检验人员重视。
04
如何挖出冷凝集标本呢?
 
①观察 RBC 参数,MCHC ≥ 380 g/L 的样本;
②RBC 与 HGB 不成比例,正常情况下大概是 30 倍的关系,即 HGB=RBC*30,当然这只是个很粗略的计算和快速评估方式,只用于判断,不用于准确计数。
③红细胞直方图小段波峰的出现,以及 RBC Flag(S)提示 RBC Agglutination ?常常提示 RBC 凝集。如下图:


④血常规样本性状的异常外观,一般冷凝集样本,外观可见细沙样颗粒挂壁现象,如下图:

⑤患者血涂片见红细胞成团分布现象。如下图:

总结:
了解新冠病毒感染者红细胞形成冷凝集的原因及其消除方法,对我们的日常检测工作具有重要的临床意义,工作中也遇到基层医院患者因冷凝集导致 RBC 太低而在上级医院血液科就诊的情况,值得我们深思!弱冷凝集素标本 MCHC 增高不明显,MCHC 徘徊于 380 g/L 左右,甚至更低;红细胞数降低不明显,更易被漏检!!!
因此,检验人要熟练掌握识别冷凝集样本的方法,尽可能将冷凝集标本拦截下来,避免误导临床。以此提醒检验同仁关注冷凝集样本的纠正和处理方法,为临床提供更加精准的检验结果,助力临床诊治新冠及其他感染性疾病。
最后,祝各位春节快乐!
题图来源:图虫创意
投稿邮箱:huanghaihua@dxy.cn
参考文献:
[1]Gupta R, Singh S, Anusim N, et al. Coronavirus Disease 2019 and Cold Agglutinin Syndrome: An Interesting Case. Eur J Case Rep Intern Med. 2021;8(3):002387. Published 2021 Mar 10. doi:10.12890/2021_002387
[2]Ahmed Y, Khandelwal A, Walker L. Cold agglutinin disease and COVID-19 requiring therapeutic plasma exchange. BMJ Case Rep. 2021;14(7):e244227. Published 2021 Jul 26. doi:10.1136/bcr-2021-244227
[3]Dawudi Y, Federici L, Debus J, Zucman N. Cold agglutinin disease secondary to severe SARS-CoV-2 treated with eculizumab. BMJ Case Rep. 2022;15(4):e242937. Published 2022 Apr 29. doi:10.1136/bcr-2021-242937
[4] 谢惠益,周载鑫,顾海慧,钱宝华.16 例冷凝集素造成的血型不合分析 [J]. 中国输血杂志,2021,34 (01):40-43.DOI:10.13303/j.cjbt.issn.1004-549x.2021.01.013.
到顶部