这个功能还是有作用的


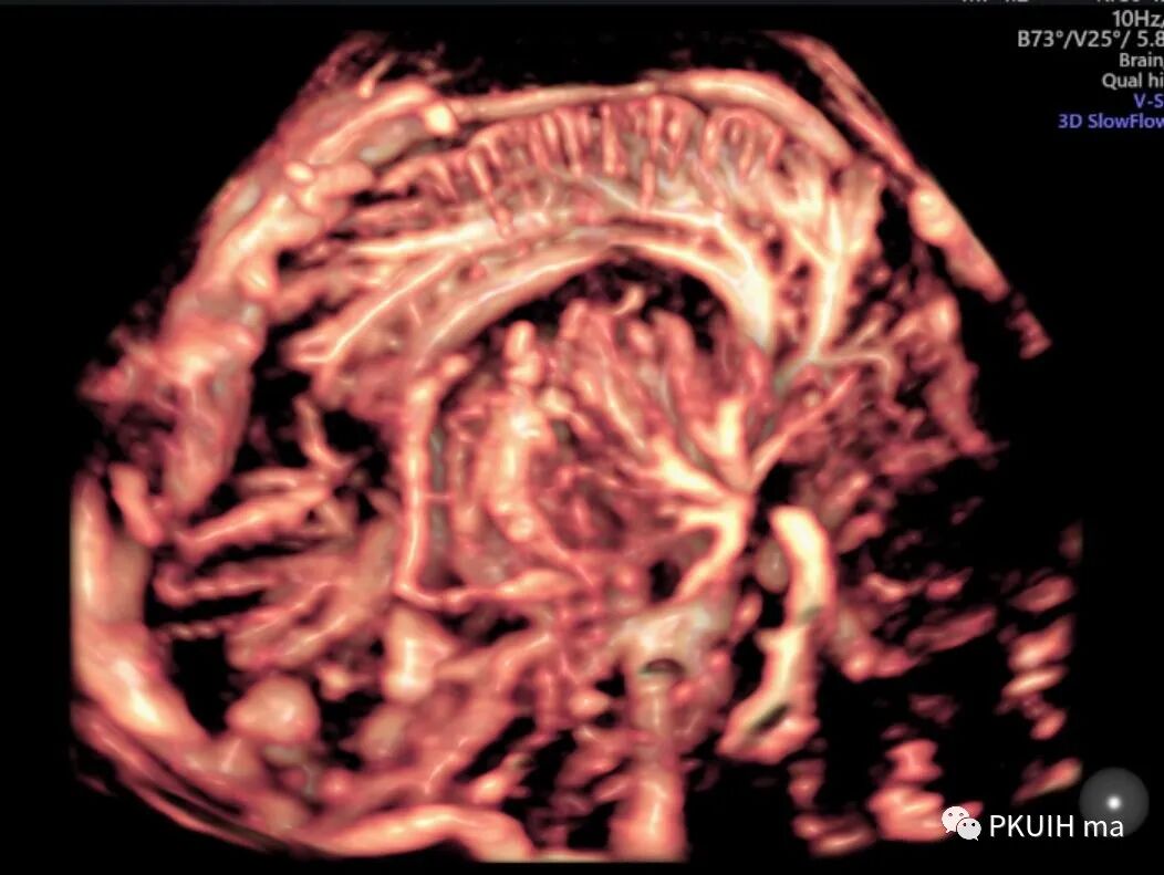
GE的SlowFlow功能还是有作用的。看看下面这几张,第一第二张图用CD和HD都不能完美的显示胎儿大脑Willis环,采用SlowFlow功能能够显示完整的颅底动脉环




通过这个血流成像前交通后交通都能完美显示

同样我们可以利用容积血流成像来显示颅底动脉环,看着更有立体感,但效果不如SlowFlow功能
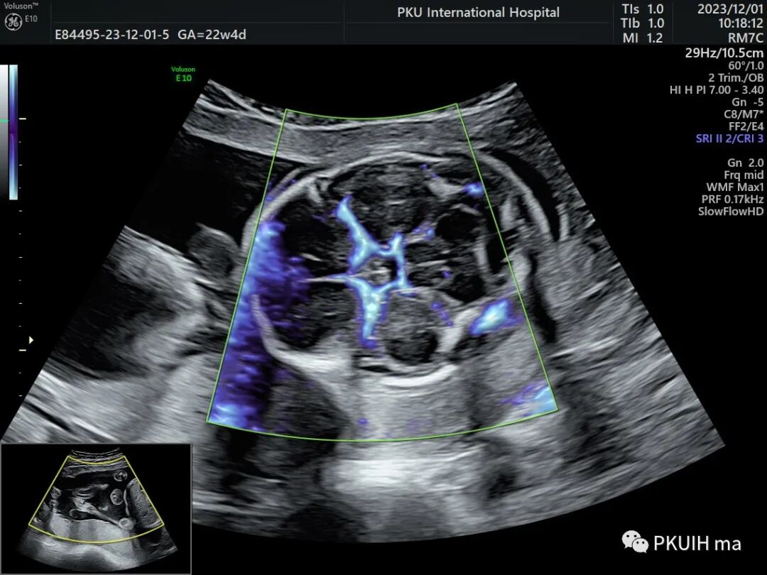
同样用这个功能我们可以很好显示胎儿胼胝体动脉及其分支,效果非常好,对于鉴别胼胝体发育有很大帮助。
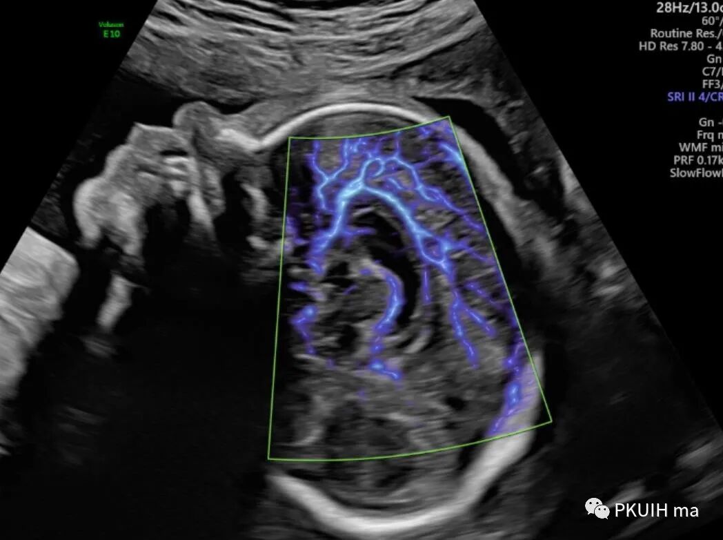
另外我们可以采用各种渲染模式来显示胎儿大脑前动脉、胼周动脉及分支
另外我们也可以用此功能来显示胎儿颅内其他血管以及眼动脉和胎儿玻璃体动脉。


同样我们可以把这个功能用在妇科方面,评估内膜血流情况,可以借助三维来对内膜血流分级。


还有也可以借助此功能来观察卵巢肿物内的血流,对鉴别良恶性及囊实性有一定帮助。
平时在工作中我们要充分利用机器各种功能和技术来提高诊断水平,没事的时候可以研究机器各个键的功能及软件的新作用,其实好多机器内的功能都没有很好的开放利用,需要平时日积月累的学习及多和机器工程师交流。
往期阅读:平时筛查时您注意胎儿大脑Willis环了吗?
               胎儿中枢神经系统检查指南之胼胝体篇
               叶状HPE、SOD or SP缺如?
到顶部