继续操作前请注册或者登录。

胎儿主动脉弓缩窄


先来看一个病例







主动脉缩窄(coarctation of the aorta,CoA)是指先天性主动脉弓降部缩窄,通常发生在左锁骨下动脉远端、动脉导管插入点周围,是导管依赖性先天性心脏病,约占先天性心脏病的4%~6%。
下面几张图是正常的主动脉弓长轴二维及血流图像





主动脉弓缩窄(CoA)产前常分为3类:1、孤立性CoA;2、CoA合并室间隔缺损;3、CoA合并其他心内畸形。根据缩窄位置与动脉导管的关系,CoA可分为导管前型和导管后型。导管前型主要累及主动脉横弓及峡部,表现为主动脉横弓长节段管状缩窄或峡部局限性缩窄,为产前超声筛查中的常见类型;导管后型为出生后发生的病变,主要累及动脉导管后方降主动脉,产前无法诊断。
CoA产前超声诊断标准
首先我们要通过四腔心切面观察左右心比例。孤立性CoA四腔心切面显示左右心比例失调,左心小右心大(如下图)。当右室与左室横径比值>1.6时提示可能存在CoA。中孕期敏感度较高,晚孕期可出现假阳性。可以通过测量左室内径、二尖瓣环内径及主动脉瓣环内径计算Z值,内径小Z值<–2提示CoA发生风险增高。
其次通过左右室流出道三血管切面观察大动脉比例。升主动脉细窄、肺动脉增宽与CoA密切相关。肺动脉瓣环与主动脉瓣环内径比>1.6时CoA发生风险明显增加。CoA合并室间隔缺损时,心室比例失调不明显,大动脉比例失调诊断意义更大。
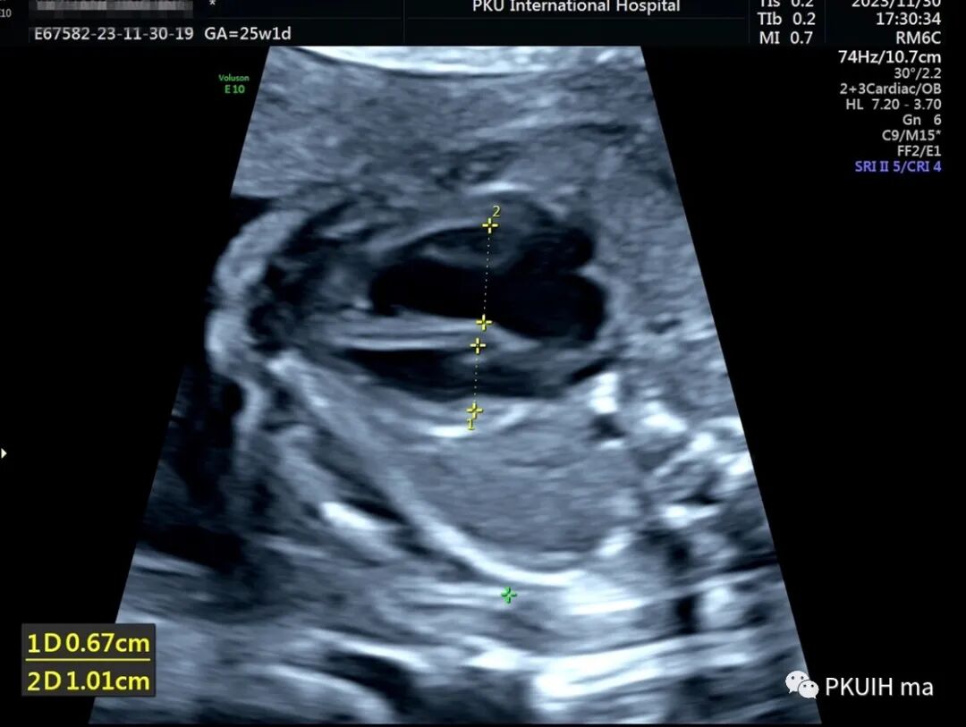
再次可以通过主动脉弓长轴、三血管气管切面观察,主动脉弓长轴切面显示主动脉横弓细窄。主动脉峡部内径与动脉导管内径比值减小与CoA高度相关,峡部与动脉导管内径比≤0.74时发生CoA风险明显增高。同时主动脉弓上的分支血管间距离增大,颈动脉与左锁骨下动脉之间的距离越远,缩窄的可能性就越大。上图CoA主动脉弓长轴切面显示主动脉峡部细窄(AAo:升主动脉,DAo:降主动脉,Ao Arch:主动脉弓,箭头所示为缩窄部位)上图 CoA胎儿三血管气管切面,图像显示主动脉峡部明显细窄,内径1.0 mm (Duct:动脉导管;Isthmus:主动脉峡部)
另外,主动脉弓长轴切面显示峡部与降主动脉连接处形态异常,主动脉弓缩窄处与粗大的降主动脉相连,局部形成环形缩窄或后壁向管腔内形成“嵴”样隆起,故称之为“缩窄环”,又称 “支架征” 。如下图
最后可借助于CDFI,CoA胎儿主动脉峡部出现持续性血流信号,当出现湍流时,CoA发生风险明显增加。严重的峡部可出现反向血流灌注。
CoA胎儿心脏检查流程图及推荐诊断指标CoA产前检出率低,假阳性率高,需要反复仔细观察,部分病例在孕晚期才有所表现。(备注:对于Z值一般GE超声设备上有,可以把数值输入后自动就可以计算出Z值。)
本病需要和主动脉弓离断及左心发育不良相鉴别。缩窄血管是连续的,血流没有中断。缩窄左心室狭长,心尖部由左心室构成,二尖瓣正常,左心室收缩正常。左心发育不良综合征左心小似球形,心尖部大部分由右室构成,左心室收缩功能差,二尖瓣和主动脉存在异常。
到顶部