胎儿肾上腺区囊性占位


肾上腺由形成皮层的中胚层部分和形成髓质的外胚层部分发育而来。在胚胎发育的第5周,位于肠系膜根部和正在发育的性腺之间的间皮细胞开始分化成大的嗜酸器官,形成胎儿肾上腺皮质,而起源于交感神经系统的神经嵴细胞侵入肾上腺内侧,形成束状和簇状排列。这些细胞在发育成神经母细胞的同时,产生肾上腺髓质,然后成熟形成神经节细胞,在妊娠18-20周达到峰值。胎儿肾上腺的大小大约是成人肾上腺大小的20倍,出生时体重可达2-4克。肾上腺血管密布,由膈下动脉、腹主动脉和肾动脉供应。静脉血流入中心静脉,中心静脉流入左边的肾静脉,并直接流入右边的腔静脉。
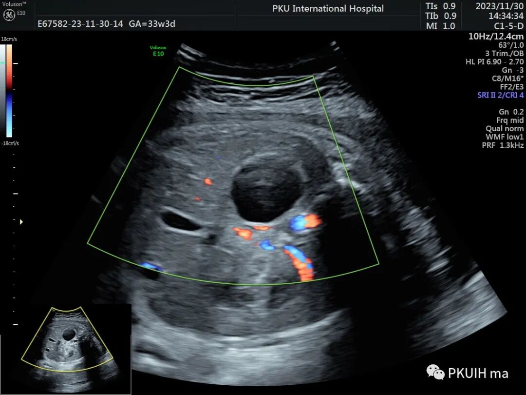
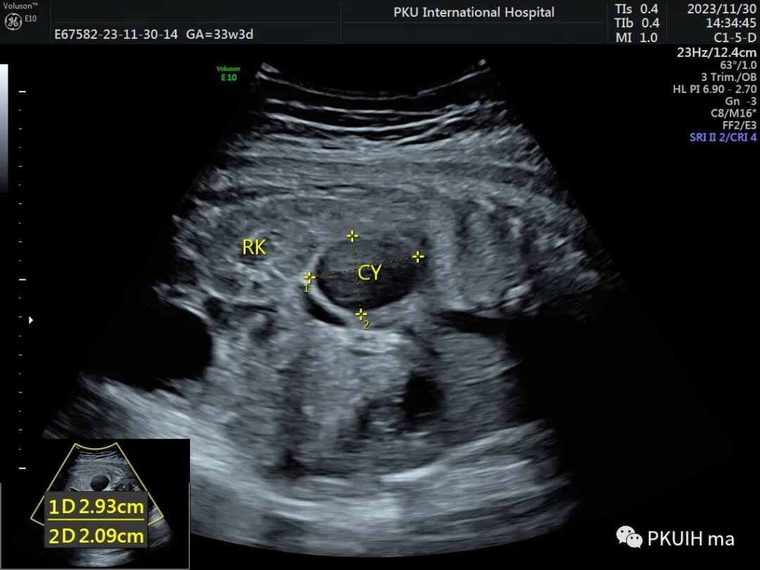
胎儿腹部囊肿在临床中是比较常见的,发生的部位有肝、胆道、肾、肾上腺、胃肠、卵巢、子宫及阴道等。在诊断异常时首先需要认识正常结构,因胎儿腹部内有许多结构表现为囊性的。对于囊肿的诊断首先要确定囊肿发生的部位。肾上腺区囊性占位并不罕见,临床中最常见的就是肾上腺出血性囊肿、单纯囊肿或成神经细胞瘤囊性变。肾上腺区的囊肿相对于腹腔其它部位囊性占位的鉴别比较容易,下面看看几个病例孕妇之前超声检查均正常,于38周发现右肾上极前内侧见一囊肿回声,大小约2.2x1.8cm,囊内透声好,其内未见血流信号。囊肿下方似见部分肾上腺组织。生后超声检查考虑肾上腺囊肿,随访至六个月囊肿无变化。新生儿目前无异常,一直在定期随访中。

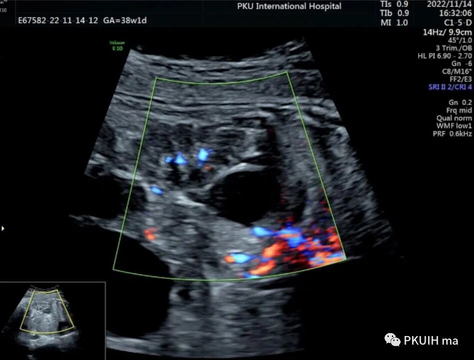
孕妇在之前超声检查中均未见异常,在28周常规超声筛查中发现右侧肾上腺区见一囊肿回声,大小约1.3x1.0cm。随访观察中发现囊肿逐渐增大,胎儿其他各项指标未见明显异常。目前仍在定期随访中




肾上腺出血可能是自发性的,但也有一些诱发因素,如: 抗凝血剂,预先存在的良性肾上腺囊肿,凝血功能缺陷,如因子 IX 或 X 缺乏,血管性血友病,低血小板计数,抗磷脂综合征,药物影响或肿瘤破裂。出血大部分是自限性的,自发性消退是常见的结果;然而一些病例报道与胃肠道疾病相关,因此在围产期密切监测是必要的。右肾上腺比左肾上腺更容易受到影响,临床上这几年发现的也几乎都是右侧。双侧出血可能与Beckwith-Wiedemann syndrom(BWS,贝克-威德曼综合征)有关。
肾上腺出血的超声表现谱取决于所见血肿的不同阶段,新鲜出血呈高回声,随后发展呈弥漫回声的固体血块,不断地收缩。最后,当液化发生时,图像显示混合回声,并最终呈无回声。肾上腺出血可以在随访中发现肿块消失。
正常情况下,产前超声能够区分腹腔肿块和肾上腺区肿块。肾上腺区肿块的主要鉴别诊断是先天性成神经细胞瘤、隔离肺、肾上腺出血、中胚层性肾瘤和尿道肠道的重复畸形。排除的最重要的病变是成神经细胞瘤。成神经细胞瘤超声图像呈均匀实性回声,部分可呈囊实混合回声,内可见钙化,CDFI肿块内见血流信号,极少部分成神经细胞瘤可呈囊性回声。肾上腺囊性占位需要定期随访,生后没有标准的治疗方案,如果是单纯囊肿<3cm患儿没有症状只需要定期超声。如果出现内分泌失调,生长迅速等需要手术治疗。
大多数产前诊断的肾上腺肿块是囊性神经母细胞瘤。在出生前诊断出的其他肿瘤包括肾上腺和皮质肾囊肿,间质肾和重复肾。此外,BWS(常与肾上腺肿瘤和肾上腺出血相关)的诊断也必须考虑在内。大多数神经母细胞瘤病例在妊娠晚期才被诊断出来,尽管早期已经进行了扫查。胎儿神经母细胞瘤的超声表现为囊性、均匀回声和高回声,并伴有混合的钙化灶,与胎儿肾上腺出血的鉴别有时相对困难,特别是因为一些血管丰富的神经母细胞瘤伴有瘤内出血。
到顶部