继续操作前请注册或者登录。

胎动真的很重要


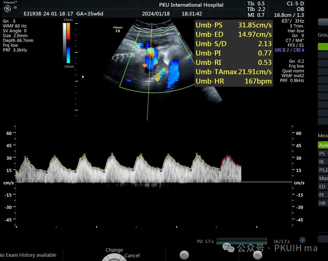
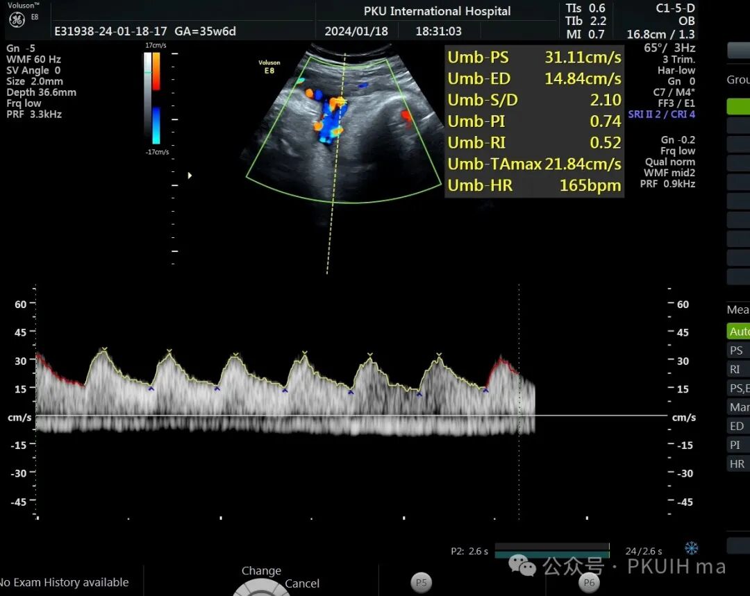
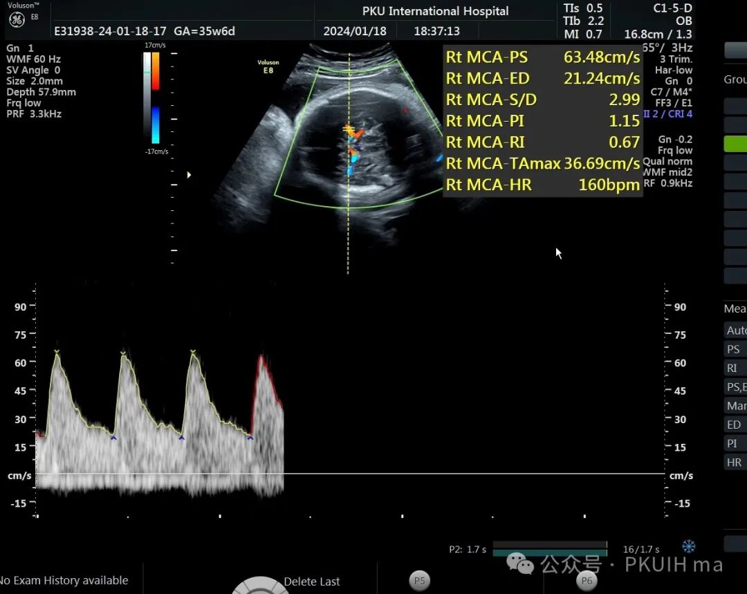
前两天碰到一孕妇胎动减少来诊,孕妇自述下午两点开始发现胎儿无明显胎动,吃了甜的食物和改变姿势还是不怎么动,随于下午六点左右来诊。超声发现胎儿绕颈两周以上且绕的较紧,检查中发现胎儿心率快,胎儿无明显胎动,绕颈处脐动脉血流加速时间延长,胎儿大脑中动脉阻力低,反复测量两侧大脑中动脉阻力均低。胎心监护也不好,随后产科采取紧急剖宫产。






脐带绕颈两周以上,绕的特别紧,感觉脖子都被勒细了,脐带与皮肤之间无任何空隙。绕颈处血流加速时间延长,说明可能存在交锁并出现了脐动脉局部狭窄





反复测量左右两侧大脑中动脉阻力均低于第五百分位,考虑胎儿存在缺氧

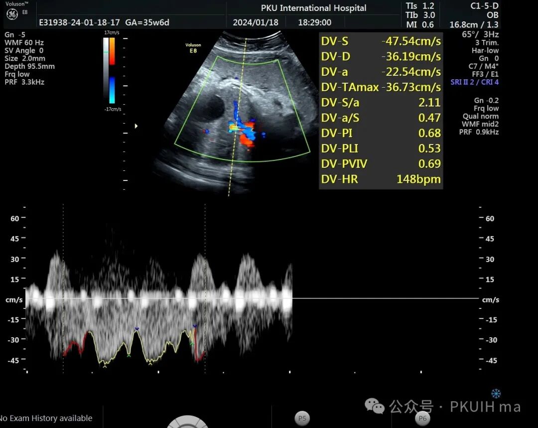
静脉导管血流阻力还可以,正常范围内。

术后大体病理显示绕颈较紧,局部脐带出现发白
关于胎动和脐带绕颈在之前的公众号有说过,胎动多一般都没事不用担心,如果胎动少或者感觉不到胎动一定不要掉以轻心,要注意观察如果感觉不到胎动要及时就诊。
对于绕颈超声可以观察绕的松紧,也可以观察绕颈的方向,比如是逆时针绕还是顺时针绕,可以通过改变体位来缓解绕颈。
往期阅读:
再来说说胎动
怎么数胎动?
脐带绕颈超声能干啥?
看到脐带呈这样时要小心了
到顶部