胎儿腹部肿瘤与囊肿(八):肠重复囊肿、肠系膜囊肿、胎粪假性囊肿


肠重复囊肿可发生在胃肠道的任何位置,但最常见于空肠和回肠(53%),也可能发生在结肠(18%)、十二指肠(6%)或胃(4%)。结肠重复可能与泌尿生殖系统的重复有关。肠道重复可能与脊椎和脊髓异常(如半椎体、前脊髓脊膜膨出和脊髓重复)有关。肠重复囊肿可能表现为肠梗阻,并伴有近端肠管扩张。羊水过多可见于胃、幽门、十二指肠或空肠近端重复囊肿的胎儿。


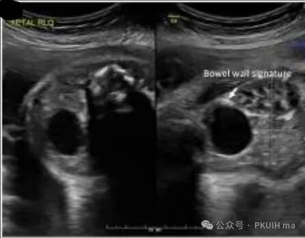
上图是一个孕24周的胎儿回肠重复囊肿病例的超声和MRI,在后期随访观察中囊肿由1.5cm(24周)长到2.4cm(37周)超声下显示囊肿边缘有肠壁特征(箭头所示)

上图是一个28周发现的腹腔囊肿,在随后的观察及出生后随访中均无明显变化,生后超声提示位于肠壁外侧,初步考虑肠重复畸形或肠系膜囊肿。从产前超声图像看内壁不光滑,囊壁回声增强,可能是小肠的肠重复囊肿
肠系膜囊肿是一种囊性淋巴管瘤(淋巴畸形),出现在肠系膜中的单房或多房结构。这些病变可能与遗传综合征有关,如Turner、Noonan、Fryns或18和21三体。


上图是一个孕22周筛查时发现的腹腔囊肿,在随访中发现有所增大。并在生后超声检查提示肠重复囊肿。通过产前超声图像囊壁增厚及囊壁回声增强特征支持肠重复囊肿


上图是一个单绒双羊双胎在孕30周发现胎儿胃旁囊性肿物,观察中可见大小有变化,同时可见胃壁结构,考虑胃重复畸形
胎粪假性囊肿是胎粪性腹膜炎的一种表现,胎儿肠道穿孔(小肠或结肠),胎儿肠道内容物渗漏,这些内容物被包含在炎症性囊性间隙中。85%的病例存在腹腔钙化。胎儿腹水、肠管扩张和羊水过多可能是相关的发现。有趣的是,这些产前发现可能会消失,肠穿孔可以在不形成肠闭锁或狭窄的情况下痊愈。产前诊断的胎粪性腹膜炎与产后诊断的病例不同之处在于发病率降低,囊性纤维化的发生率较低,总体预后更好。更好的预后可能是选择性偏差,因为与出生后的X射线相比,产前超声在检测钙化方面更敏感,因此与出生后检测到的病例相比,诊断出的病例更轻。此外,许多胎儿病例可能会痊愈,从而在出生时获得良好的临床状态。产前胎粪假性囊肿在女婴中表现为阴道内的胎粪。
对于胎粪假性囊肿本人只在十几年前见过一例,出生后随访是由于巨结肠造成了胎粪性腹膜炎
到顶部