继续操作前请注册或者登录。

胎儿腹部肿瘤与囊肿(七):肝、脾、胰囊肿


肝囊肿通常是孤立的单纯性囊肿,被认为是由异常胆管或肝内胆管周围腺体引起的。这些单纯的囊肿在女孩中更常见,并且与正常的胆道系统不相通。许多在产前发现的囊肿缩小或在产后消退,很少在出生后生长并引起症状。在少数情况下,肝囊肿可以生长到填满整个腹膜腔。这一发现与腹水的区别在于它将肠道压迫到囊肿后面的腹膜后腔。有胎儿囊肿抽吸的病例报道,尽管这些大囊肿通常不需要治疗。
将囊肿区分为肝、脾、肠系膜、胰腺、胃或十二指肠重复囊肿可能很困难,除非囊肿周围有明显的器官实质。胎儿MRI有助于提高对这些病变诊断的特异性。Charlesworth回顾分析了15例肝囊肿,其中9例进行了连续超声检查。5例囊肿增大,3例无变化,1例囊肿缩小。


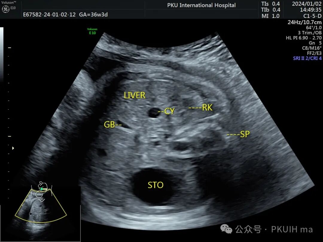
上两张图是一个孕36周发现的肝内单纯囊肿,出生后观察囊肿无变化。


上两张图(第二张是37周)是一例在30周发现的肝囊肿,在随后观察中囊肿一直无变化

上图是一例晚孕期发现肝内囊性占位,多次复查考虑为单纯肝囊肿。肝囊肿一般位于肝实质内,右叶多见,需要和胆总管囊肿鉴别,胆总管囊肿多靠近胆囊,且周边可见胆管回声,呈毛刺样或鼠尾样,肝囊肿壁多完整光滑。
脾脏囊肿通常是位于脾脏上极的单纯性浆液性上皮内衬囊肿。这些囊肿通常在孕晚期产前诊断,可能难以与肾上腺囊肿或胰腺囊肿区分开来。



上图是一个孕晚期发现胎儿脾囊肿,在随后的观察中囊肿无明显变化。本例是一个脾实质内的囊肿,很容易和肾上腺囊肿鉴别。一般脾囊肿少见,肾上腺囊肿多见,且多大于脾囊肿,位置更靠近脊柱。
胰腺囊肿起源于胰腺导管系统的发育异常,通常位于胰腺的体部或尾部。这些囊肿是上皮内衬,不是假性囊肿。这些疾病可能是贝克威思-威德曼症候群、胰腺和肾脏的多囊性疾病或 Hippel-Lindau疾病(林岛综合征,又称VHL病)的一部分,但在这些病例中通常是多发性的。

上图是一个出生后证实的胰腺多发囊肿,产前曾考虑胃憩室或肠重复囊肿(图像来源于文献DOI:10.5385/nm,Neonstal Medicine)
先天性胰腺囊肿在新生儿中很少见,产前诊断更加困难,很少有产前病例报道。如果发现胎儿腹部有一个没有明确起源的囊性占位,位置相对又靠近胰腺区域应该考虑先天性胰腺囊肿。
到顶部