20岁青年咳嗽求诊查出“白肺” 竟与防晒喷雾有关?



监制/平门  编辑/项娇 校对/小雯
这是奈普格公众号的第855篇健康推文

炎炎夏日,很多人都会进行户外或水上活动,防晒必不可少。市面上的防晒产品琳瑯满目,近年更推出使用简单方便的防晒喷雾。然而,有年轻人使用防晒喷雾后胸闷、咳嗽,到医院求诊后检查出白肺。
来自湖南长沙的20岁青年李林(化名),近日在外出前使用防晒喷雾,在对着脸部喷洒时不慎误吸,随即出现胸闷、咳嗽。不适症状一直持续到翌日仍未好转,于是他到长沙市第三医院就诊。
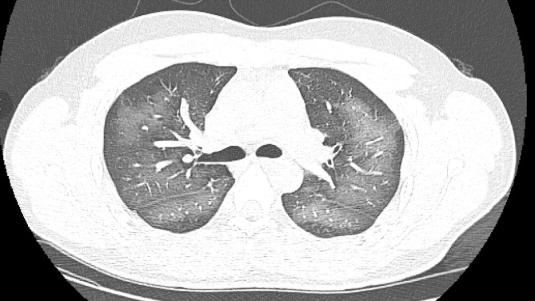
经检查,肺部计算机断层扫描检查(CT)结果显示,李林双肺赫然呈现大范围白色样病变,报告提示「白肺」。

据介绍,白肺一般是指重症肺炎在X光检查(X Ray)或CT检查下的表现,患者肺部呈现一大片的白色状态,往往会出现呼吸困难、呼吸衰竭,严重者还会出现其他脏器功能障碍。
「白肺」常见于65岁以上长者; 免疫力低下; 有重要器官慢性病史,例如心脏病、中风史、慢性肾脏病、慢性阻塞性肺疾病等; 有多种疾病并存,例如既有高血压、糖尿病,又有心脏病、肺病、肾功能不全等人群。
长沙市第三医院放射影像科的接诊医生表示,除了感染、弥漫性肺泡出血综合症等白肺 最常见的病因外,吸入有害物质如粉尘、喷雾等,也可导致肺部出现大范围白色样病变。
医生指,李林是因为使用不当,吸入部分防晒产品才导致白肺。在给予吸氧、化痰、抗感染等相关治疗后,李林症状得到明显改善。

如何正确使用防晒喷雾?
购买防晒喷雾时,应选用温和无刺激、适合自己肤质的产品。若对酒精不耐受,应避免选用含有酒精的防晒喷雾。首次使用前,可将少量防晒喷雾涂抹在耳后、肘关节内侧等部位进行皮肤测试,保持24至72小时,确定无不适反应后再使用。
使用防晒喷雾时,应主要喷洒在身体部位,使用时与皮肤至少保持15至20厘米距离。若要用于脸、颈,应先喷洒在手上,然后用手均匀涂抹。不要在肌肤伤口、红肿或湿疹等有异常的部位使用防晒喷雾; 若不慎入眼,要立即用水清洗。
避免在同一个身体部位近距离连续喷射超过3秒,防晒喷雾中的推进剂喷出后会迅速挥发吸热,长时间或近距离使用或令皮肤冻伤。
不要在洗手间、车内等狭小密闭不通风空间内使用,喷洒时要注意通风,使用时紧闭口鼻,勿刻意吸气,避免大量吸入喷雾。防晒喷雾中通常含有易燃物质,需存放在阴凉干燥通风环境,使用时应远离火源、热源、静电。

版权声明:本文为奈普格整理编辑,欢迎转发朋友圈,任何公众号或其他媒体转载须提前联系小编并注明“本文来源于【奈普格】(ID:NPG_China)。


免责声明:本公众号只为客户提供疾病资讯服务和健康咨询(非诊疗服务),任何关于疾病的咨询建议均为参考意见,不作为诊断及医疗依据;专业医学诊治问题请咨询医生或医疗机构,本公众号和咨询医师不承担由咨询行为引起的法律责任。
来都来了,用您的金手指在下边点个「赞」和「在看」再走嘛~~~

到顶部