什麼是肺部纖維化



到底什麼是肺纖維化?
肺纤维化,即肺脏间质组织由胶原蛋白、弹性素及蛋白醣类构成,当成纤维细胞受到化学性或物理性伤害时,会分泌胶原蛋白进行肺间质组织的修补,进而造成肺脏纤维化;即肺脏受到伤害后,人体修复产生的结果。
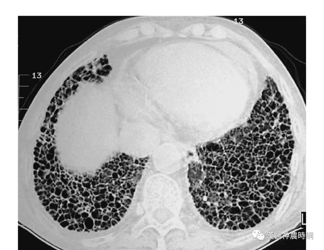
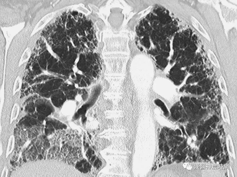
大多数间质性肺疾病都有共同的病理基础过程。初期损伤之后有肺泡炎,随着炎性-免疫反应的进展,肺纤维化泡壁、气道和血管最终都会发生不可逆的肺部瘢痕(纤维化)。炎症和异常修复导致肺间质细胞增殖,产生大量的胶原和细胞外基质。肺组织的正常结构为囊性空腔所替代,这些囊性空腔有增厚的纤维组织所包绕,此为晚期的“蜂窝肺”。肺间质纤维化和“蜂窝肺”的形成,导致肺泡气体-交换单元持久性的丧失。

   肺纤维化发展过程中肺泡塌陷是失去上皮细胞的结果。暴露的基底膜可直接接触和形成纤维组织,大量肺泡塌陷即形成密集的瘢痕,形成蜂窝样改变。蜂窝样改变是瘢痕和结构重组的一种表现。肺脏损伤后,修复的结果是纤维化还是恢复正常解剖结构,取决于肺泡内渗出物及碎屑能否有效清除。
如肺泡内渗出物未清除,成纤维细胞和其他细胞就会侵入并增殖,(免疫组织化学染色已经证实,在成纤维细胞灶里可发现蛋白聚糖、整合素、连结体等。这些特点表明纤维化是一种活动性进展,而不是一种“旧”纤维组织的后遗症。)从而使肺纤维化进行性进展。

   特发性肺间质纤维化的西医病因病机:胶原蛋白是肺组织的主要ECM蛋白,约占肺脏五分之一。肺脏中何种类型的胶原蛋白与其他类型ECM成分等构成三维网状结构,作为肺组织结构的主要骨架,这些蛋白成分保持肺组织结构的完整性。并对维持肺上皮及内皮细胞分化状态起着十分重要的作用。
肺纤维化是有早期组织损伤、症状变化发展而来的,虽然引起肺纤维化的病因或原发病有很大的差异,但归根结底是因为促进纤维化因子生成增多或抗纤维化因子产生相对不足,导致肺纤维化过程的ECM代谢异常。

一般情况下,肺纤维化早期出现肺泡炎,肺泡内有浆液和细胞成分,肺间质内有大量单核细胞,部分淋巴细胞,浆细胞,肺泡巨噬细胞等炎性细胞浸润,肺泡结构完整。进入晚期,慢性炎症已减轻,肺泡结构为坚实的胶原代替,肺泡壁被破坏,形成扩张的蜂窝肺。胶原、细胞外基质、成纤维细胞分布在间质中,肺泡上皮化生为鳞状上皮。
基于以上病理变化,临床上多表现为进行性呼吸困难或伴有刺激性干咳,胸部X线显示两中下肺野网状阴影,肺功能为限制性通气功能障碍。病情呈持续性进展,最终因呼吸衰竭而死亡。

肺纤维化多在40-50岁发病,男性多发于女性。呼吸困难是肺纤维化最常见症状。轻度肺纤维化时,呼吸困难仅在剧烈活动时出现,因此常常被忽视或误诊为其他疾病。当肺纤维化进展时,在静息时也发生呼吸困难,严重的肺纤维化患者可出现进行性呼吸困难。其他症状有干咳、乏力。50%患者有杵状指和发绀,在肺底部可闻及吸气末细小跑裂音。

早期虽有呼吸困难,但X线胸片可能基本正常;中后期出现两肺中下野弥散性网状或结节状阴影,偶见胸膜腔积液,增厚或钙化。肺组织纤维化的严重后果,导致正常肺组织结构改变,功能丧失。就是大量没有气体交换功能的纤维化组织代替肺泡,导致氧不能进入血液。患者呼吸不畅,缺氧、酸中毒、丧失劳动力、靠呼吸机生存,最后衰竭、死亡。
临床上多两型兼夹,病情较轻时以肺阴亏虚的表现为多,病情较重时则多见气阳不足的表现;早期以肺阴亏虚为多见,晚期以气阳不足为多见。

肺痿多因燥热之邪耗伤肺阴所致,燥热之邪亦可灼伤血络,血溢脉外则成瘀血;或可由热邪薰灼津液,血液粘滞,血行不畅而成瘀血;气阴亏虚亦可导致瘀血产生,气虚无力运血,血行停滞而成瘀血。而瘀血一旦形成,反过来又可影响气机的宣畅,阴津阳气难以布达,肺失濡润使肺痿进一步加重。证之临床,肺间质纤维化患者在症状、体征和实验室检查方面均有瘀血表现,如面色晦暗、口唇紫绀、血液粘稠度增高等,晚期影响到右心功能导致右心功能不全时,则可出现体循环郁血等明显瘀血征象。

肺间质纤维化(pulmonary fibrosis,PF)是多种肺部疾病的最后结局,其病因各异,但其表现的临床症状、影像和肺功能等却有某些相似之处,其发病机制、病理特征也具有某些共性特点。笔者根据肺纤维化属于肺络痹阻的病机特点,从中医学络病辨治,以活血化痰通络法作为肺纤维化的根本大法贯穿治疗始终,收到了较好的临床疗效。

络病学说是中医学理论体系的重要组成部分,是研究络病发生发展规律及其诊断治疗方法的中医病机理论学说。络,指络脉,有网络的含义。络病,指邪入十五别络、孙络、浮络及血络等而发生的病变,是以络脉瘀阻、络虚不荣、络脉绌急为主要病理变化的一类疾病。由于络脉是营卫气血津液输布贯通的枢纽,且络体细小,分布广泛,分支众多,功能独特,所以一旦邪客络脉或“久病入络”则容易影响络中气血的运行及津液的输布,致使络失通畅或渗灌失常,导致瘀血滞络或络脉不充,从而形成络病。

如同络病一样,肺间质纤维化也是多种间质性肺疾病失治误治,迁延不愈而导致的最终病理结局。从肺的生理特点而言,肺朝百脉,主治节,全身络脉病变易累及于肺而导致肺络病变。从发病过程来看,肺纤维化起病隐袭,病程日久,缠绵难愈,符合络病学说“久病入络”特点。从病变部位而言,肺间质纤维化其“间质”并非仅指单纯肺的间质(如结缔组织、血管、淋巴管、淋巴结和神经等),还包括肺泡上皮细胞、血管内皮细胞等的实质。其病变的发生不仅限于肺泡壁,也可以波及细支气管领域,颇似络病学说中的肺络病变,既侵犯了络脉(肺实质),又累及了脉络(肺间质)。
从病理特征而言,肺纤维化是以肺泡间质炎症细胞(单核/巨噬细胞、中性粒细胞、淋巴细胞)浸润、纤维母细胞增生和肺泡间质纤维结缔组织沉积为特征的免疫介导的慢性炎症性疾病,与络病学说肺络痹阻征象类似。从发病机制来看,由于细支气管领域和肺泡壁纤维化使肺的顺应性降低导致肺容量的减少和限制性的通气障碍。此外,细支气管的炎变以及肺小血管的闭塞引起通气/血流比例的失调和弥散功能的降低,最终发生低氧血症及呼吸衰竭。此与络病学说的络脉瘀阻和络虚不荣病机恰相吻合。
肺痹从发病层次上来看有外邪不已,内舍于肺(久病入络)之病机演变规律。此与现代医学有关继发性肺间质病变论述颇相一致。肺痹的病机特点为正气不足,肺络痹阻。正因于此,往往把肺间质纤维化命名为“肺痹”,一则强调其病机特点为肺络痹阻;一则提醒大家,风湿免疫性疾病尤其是类风湿性关节炎(痹症),硬皮病、皮肌炎(皮痹)等亦可继发肺间质纤维化(继发性肺间质纤维化),形成“肺痹”。

“肺痿”是指因肺气虚弱,无力主气布津所致以咳吐浊唾涎沫为主症的一种疾病。肺间质纤维化被冠之以“肺痿”之名,主要基于以下几方面原因:
(1)从形态言,肺纤维化中晚期双肺体积缩小,肺总量、肺活量、残气量及潮气量均明显减少,与“肺痿”原义相吻合。 
(2)从病机言,肺热叶焦,津血不足,失于濡养是肺痿的基本病机特点。肺纤维化缠绵不愈,病机转化由气及血,由肺及肾,肺肾两虚,气血不充,络虚不荣,“络虚则痿”。 
(3)从临床特点而言,肺间质纤维化病程日久,迁延不愈,“初病气结在经,久则血伤入络”,晚期呈蜂窝肺(网格状改变),甚至毁损肺,肺功能丧失殆尽。此恰似肺痿沉疴之肺叶萎弱不用,迁延反复,久治不愈之特点。
综上所述,“肺痹”与“肺痿”均为肺间质纤维化的中医病名诊断,肺痹言肺为邪痹,气血不通,络脉瘀阻,从邪实而言;肺痿言肺之萎弱不用,气血不充,络虚不荣,从本虚而言。二者反映了肺纤维化发生发展的不同时期阶段。但肺痹与肺痿在一定条件下又可相互影响,互患为病。

一般来讲,肺纤维化存在着由肺痹一肺痿的临床演变过程,此即因实致虚。但“至虚之处,便是留邪之地”,肺痿病变又常见到肺络痹阻之征,此即因虚致实。肺纤维化常可见到痹中有痿(因实致虚),痿中有痹(因虚致实)的复杂病理状态,即“病变轻重不一,新老病变并存”,临证当详审明辨。

肺络痹阻是肺间质纤维化的基本病机特点,但在不同时期其病机侧重点有所区别。在肺泡炎期(急性期),起病急骤,病程较短,以肺泡炎症渗出为主,中医辨证多属实证,以痰、瘀、热、毒等阻滞肺络最为常见。在间质纤维化期(慢性迁延期),肺泡间隔多有纤维结缔组织增生和纤维化形成,病程日久,迁延不愈,病机多属因实致虚,络虚不荣,虚实夹杂,以气虚血瘀痰阻之证最为常见。两期病机虽各有特点,但痰瘀阻络是其共同发病机制。因此,分期论治、活血化痰通络是治疗肺间质纤维化的根本大法。
教你肺纖維化自檢法

深呼一口氣然後憋氣十二秒以上
台北藥膳達人提供一個方法讓你儘早知道自己肺部的狀況:最、最、最大深度地吸氣,並且屏住氣超過12秒以上,如果可以順利完成(在沒有咳嗽、壓抑、悶感、不適等)並且每日如往常一樣,那麼恭喜你!證明肺部沒有纖维化,基本上表示沒有感染。
蹩住氣十二秒以上
特別時期,請大家每天早上起床,在乾淨空氣中測試,在測試的時候,一定要深度吸氣,然後屏住氣超過12秒,必須要每天持續的測試。
飲食的注意事項
肺纤维化就是肺部损伤造成的肺部纤维化,肺纤维化的主要病症就是咳了,如果肺纤维化严重的话还有可能咳血……劝你还是做好长期和肺纤维化抗争的准备吧,建议你现在多用食疗或者是护理、养生、保养的方法来控制肺纤维化。其实我觉得啊,治疗肺纤维化,患者的心态也非常重要,所以,你一定不要过度伤心。

1、重度肺纤维化病人可予软食或半流食:这样可以减轻呼吸急迫所引起的咀嚼和吞咽困难,既有利于消化吸收,又可防止食物反流。
2、肺纤维化者少吃辛辣、煎炸等刺激性油腻食物:平素要吃得清淡,尤其对于肥胖患者,脂肪供给量宜低。吃肉以瘦肉为宜,以达到祛痰湿与适当控制体重的目的。辛辣、煎炸等食物,因容易生痰,导致热助邪胜,邪热郁内而不达,久之可酿成疾热上犯于肺,加重病情。
3、供给肺纤维化者优质蛋白、多种维生素及较高比例的碳水化合物饮食(碳酸饮料除外)。例如:蛋类、糙米、玉米面、荞麦面、水果和蔬菜等。  
4、对某些已知会引起过敏、诱发哮喘的食物,应避免食用:所谓“忌口”就是忌“发物”。“发物”一般是指食后能引起旧病复发或新病加重的食物。“发物”包括的范围很广,对于不同的患者来说是因人而异的。例如:有些过敏体质者常因吃了鱼、虾、蟹等海腥类的食品而诱发咳、喘加重。所以肺纤维化患者应根据自己的实际情况,合理地“忌口”,这样既可以避免由饮食不慎而导致咳、喘加重,又可以防止因过于讲究“忌口”而影响机体对多种营养物质的吸收。

5、肺纤维化者忌烟酒、忌过咸食物:肺纤维化患者多数伴有气道高反应状态,烟、酒和过咸食物的刺激,容易引发支气管的反应,加重咳嗽、气喘等症状。
6、根据自己平日身体状况,针对性地选择食品:肺纤维化患者不仅应注意食品的寒、热、温、凉四性对病情的影响,还应掌握食物的四性,选择食物,安排好食谱,避免误食与身体不适的食物,诱发或加重病情的发生,具体情况要遵医嘱。


到顶部