超級淋病,正在國內悄悄的蔓生...



最新型的細菌
超級淋球菌

是指由淋病奈瑟球菌(Neisseriagonorrhoeae,NG,简称淋球菌)引起的泌尿生殖系统的化脓性感染,是常见的性传播疾病之一,俗称淋病。临床表现以尿道炎、宫颈炎多见,典型症状是排尿困难、尿频、尿急、尿痛、排出黏液或脓性分泌物等。也可侵犯眼睛、咽部、直肠和盆腔等处以及血行播散性感染引起关节炎、肝周炎、败血症、心内膜炎或脑膜炎等。
 
症状体征
 
淋球菌感染引起的临床表现取决于感染的程度、机体的敏感性、细菌的毒力、感染部位及感染时间的长短。同时和身体的健康状况、性生活是否过度、酗酒等有关。

1.原发性感染 指无并发症的泌尿生殖道淋病。
(1)男性淋病:
①急性淋病:潜伏期为1~14天,常为2~5天。表现为急性尿道炎症状,尿道口红肿、发痒及轻微刺痛,继而有稀薄黏液流出,引起排尿不适。约2天后,分泌物变得黏稠,尿道口溢脓,脓液呈深黄色或黄绿色,红肿发展到整个阴茎龟头及部分尿道,出现尿频、尿急、尿痛、排尿困难、行动不便、夜间阴茎常有痛性勃起。可有腹股沟淋巴结肿大,红肿疼痛,亦可化脓。有50%~70%的患者伴有淋球菌侵犯后尿道,表现为尿意窘迫、尿频、急性尿潴留。全身症状一般较轻,少数可有发热达38℃左右,全身不适,食欲缺乏等。

②慢性淋病:症状持续2个月以上。因为治疗不彻底,淋球菌可隐伏于尿道体、尿道旁腺、尿道隐窝使病程转为慢性。如患者体质虚弱,患贫血、结核病时,病情一开始就呈慢性经过,多为前、后尿道合并感染,好侵犯尿道球部、膜部及前列腺部。表现为尿道常有痒感,排尿时有灼热感或轻度刺痛、尿流细、排尿无力、滴尿。多数患者于清晨尿道有少量浆液痂封口,若挤压阴部或阴茎根部常见稀薄黏液溢出。尿液基本清晰,可见到淋丝。

(2)女性淋病:女性原发性淋球菌感染主要部位为子宫颈,部分患者无自觉症状。表现为白带增多,为脓性或不具有特性,常有外阴刺痒和烧灼感,伴宫颈充血,触痛,偶有下腹痛及腰痛。尿道口充血,有触痛及脓性分泌物,有轻度尿频、尿急、尿痛,排尿时有烧灼感;淋菌性阴道炎较少见,症状轻微,有些患者有腹部坠胀,腰背酸痛,白带较多,有些患者有下腹痛和月经过多等。
2.继发性感染
(1)男性淋病合并症:
①前列腺炎:急性前列腺炎有发热、寒战,会阴疼痛及伴有排尿困难等尿路感染症状。检查时前列腺肿胀、压痛,前列腺按摩液涂片或培养找到淋球菌。慢性前列腺炎症状轻微,多仅在早晨尿道口有分泌物。

②附睾炎和精囊炎:单侧居多。有附睾肿大疼痛,睾丸触痛、肿大。精囊炎时有发热、尿频、尿急、尿痛,终末尿混浊并带血,直肠检查可触及肿大的精囊,同时有剧烈的触痛。慢性精囊炎一般无自觉症状,直肠镜检查出精囊发硬,有纤维化。
③尿道球腺炎:发生在会阴或其左右,出现指头大小结节、疼痛,压迫尿道而排尿困难,急性可化脓破溃,可有发热等全身症状。
④尿道狭窄:反复发作者可引起尿道狭窄,少数可发生输精管狭窄或梗阻,出现排尿困难,严重时尿潴留。可继发输精管狭窄、精囊囊肿与不育。
(2)女性淋病合并症:女性淋病的主要合并症有淋菌性盆腔炎,如急性输卵管炎,子宫内膜炎,继发性输卵管卵巢脓肿及其破裂所致的盆腔脓肿,腹膜炎等。多在月经后突然发病,有高热、寒战、头痛、恶心、呕吐、下腹痛,脓性白带增多,双侧附件增厚、压痛。

3.其他部位淋病
(1)淋病性结膜炎:新生儿常在出生后2~3天出现症状,多为双侧,表现为眼睑红肿,有脓性分泌物。成人多为自身感染,常为单侧,表现同新生儿。由于有脓液外溢、俗称“脓漏眼”。一旦延误治疗,可出现角膜穿孔导致失明。
(2)淋球菌性咽炎:表现为急性咽炎或急性扁桃体炎,偶伴发热和颈淋巴结肿大。有咽干不适、咽痛、吞咽痛等症状。
(3)淋球菌性肛门直肠炎:表现为里急后重,有脓血便,肛管黏膜充血,脓性分泌物,淋球菌培养阳性。
4.播散性淋球菌感染  
播散性淋球菌感染是由于淋球菌通过血行播散到全身,出现较严重的全身感染。如淋球菌性败血症、关节炎、心内膜炎、脑膜炎等。

病理病因
 
        淋病是一种人类古老的传染病,。黄帝内经·素问〃中已有“膀胱不利为 癃”。17世纪Boswell曾记述了他本人患淋病的症状、治疗、重复感染和并发症的全过程,最后他死于淋病。1728~1793年JohnHuntel将一个淋病患者的脓液接种到自己身上,以证实他认为可根据感染部位来区别疾病类型的设想,即淋病是发生在黏膜上,梅毒下疳则发生在皮肤上,结果由于合并感染淋病和梅毒,他最后死于梅毒主动脉炎。

 
      1879年Neisser从35个急性尿道炎、阴道炎及新生儿急性结膜炎患者的分泌物中发现双球菌,并相继被许多学者证实,因而淋病双球菌现称奈瑟球菌。1882年Leistikow等在37℃培养的血清动物胶上发现淋球菌生长。1885年Bumn在人、牛或羊的凝固血清上培养淋球菌获得成功,并接种健康人的尿道内也产生同样症状,从而确立了淋球菌为淋病病原体的结论。

 
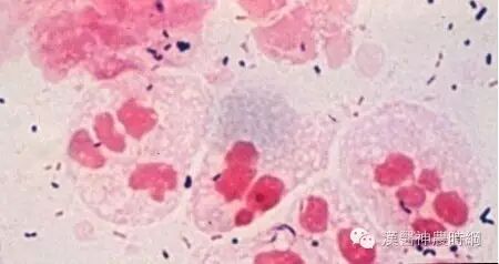
        淋球菌为革兰阴性的卵圆形或球形菌,常成双排列,两菌的接触面扁平或微凹,大小为0.6~0.8μm。无鞭毛无荚膜,也不形成芽孢。在脓液标本中淋球菌位于白细胞内。在含有动物蛋白质的培养基上生长繁殖良好,生长环境的最适pH值为7.0~7.5,最适温度为35~36℃,在5%~10%二氧化碳环境中可缩短培养期。20~48h后观察菌落为圆形、凸起、湿润、光滑、半透明、灰白色、边缘呈花瓣状。根据菌落大小、光泽等分T1~T5五种类型,T1和T2两种菌落为毒性菌株,菌体表面有菌毛;T3,T4和T5为无毒菌株,菌体表面无菌毛。

 
          菌毛与淋球菌的侵袭力有关。淋球菌虽然具有内毒素,但与其毒力关系不大。淋球菌表面抗原调节宿主和寄生菌间的相互关系,是其致病性和免疫性的重要部分。表面抗原有三类:①菌毛蛋白抗原;②脂多糖抗原;③外膜蛋白抗原。淋球菌对外界环境抵抗力弱,不耐干燥和冷热。在干燥环境中1~2h死亡。加热至55℃ 5min即灭活,室温1~2天内死亡。对一般化学消毒剂和抗生素均敏感。
 
检查方法
实验室检查:
包括涂片检查,培养检查,药敏试验及产青霉素酶淋球菌(PPNG)测定,抗原检测,基因诊断。
1.涂片检查 
取患者尿道分泌物或宫颈分泌物,作革兰染色,在多形核白细胞内找到革兰阴性双球菌。女性宫颈分泌物中杂菌多,敏感性和特异性较差,阳性率仅为50%~60%,且有假阳性,因此世界卫生组织推荐用培养法检查女性患者。慢性淋病由于分泌物中淋球菌较少,阳性率低,因此要取前列腺按摩液,以提高检出率。咽部涂片发现革兰阴性双球菌不能诊断淋病,因为其他奈瑟球菌属在咽部是正常的菌群。另外对症状不典型的涂片阳性应作进一步检查。

2.培养检查 
淋球菌培养是诊断的重要佐证,培养法对症状很轻或无症状的男性、女性患者都是较敏感的方法,只要培养阳性就可确诊。在基因诊断问世以前,培养是世界卫生组织推荐的筛选淋病的惟一方法。目前国外推荐选择培养基有改良的Thayer-Martin(TM)培养基和New York City(NYC)培养基。国内采用巧克力琼脂或血琼脂培养基,均含有抗生素,可选择地抑制许多其他细菌生长。在36℃,70%湿度,含5%~10%二氧化碳(烛缸)环境中培养,24~48h观察结果。培养后还需进行菌落形态,革兰染色,氧化酶试验和糖发酵试验等鉴定。培养阳性率男性80%~95%,女性80%~90%。
3.抗原检测
(1)固相酶免疫试验(EIA):可用来检测临床标本中的淋球菌抗原。
(2)直接免疫荧光试验:通过荧光标记的单克隆抗体直接检测淋球菌外膜蛋白-1。

4.基因诊断
(1)基因探针诊断:淋球菌的基因探针诊断,所用的探针有:质粒DNA探针、染色体基因探针和rRNA基因探针。基因探针诊断的敏感性较差。
(2)基因扩增检测:PCR技术的出现进一步提高了淋球菌检测的灵敏性,它具有快速、灵敏、特异、简便的优点,可以直接检测临床标本中极微量的病原体。操作时要防止污染,以免出现假阳性。
5.药敏试验  在培养阳性后进一步作药敏试验。用纸片扩散法做敏感试验,或用琼脂平皿稀释法测定最小抑菌浓度(MIC),用以指导选用抗生素。
6.PPNG检测  β内酰胺酶,用纸片酸度定量法,使用Whatman I号滤纸PPNG菌株能使其颜色由蓝变黄,阳性为P-PPNG,阴性为N-PPNG。
其他辅助检查:
轻度心肌炎者,心电图可见传导阻滞。

发病机制
 
      正常情况下尿液应该是无菌的,由于尿液不断地冲洗尿道使侵入的微生物很难在泌尿道定居,而淋球菌容易在前尿道、子宫颈、后尿道、膀胱黏膜上寄生,主要是由于这些黏膜具有单层柱状上皮细胞和移行上皮细胞,而淋球菌上的菌毛使其极容易黏附于上述细胞。淋球菌在酸性尿中(pH<5.5)很快杀死,因而膀胱和肾脏不易被感染,而前列腺液含有精胺及锌,故可受淋球菌感染。

 
      尿道及阴道内的寄生菌群对淋球菌的生长有一定的抑制作用,这些菌群的存在给机体提供了一些自然抵抗力。黏膜表面存在有乳铁蛋白,铁对淋球菌的生长繁殖是必需的,如环境中铁的浓度处于低水平时,则淋球菌的生长受限。淋球菌对不同细胞敏感性不同,对前尿道黏膜的柱状上皮细胞最敏感,因而前尿道最容易被感染。后尿道及膀胱黏膜由移行上皮细胞组成,淋球菌对其敏感性不及柱状细胞,因而被淋球菌感染的机会比前尿道差。

 
     舟状窝黏膜由复层鳞状细胞组成,而多层鳞状上皮细胞不易被淋球菌所感染。淋球菌借助菌毛,蛋白质和IgA分解酶迅速与尿道、宫颈上皮黏合。淋球菌外膜蛋白-1转至尿道的上皮细胞膜,淋球菌即被柱状上皮细胞吞噬,然后转移至细胞外黏膜下,通过其内毒素脂多糖,补体及IgM的协同作用,在该处引起炎症反应。30h左右开始引起黏膜的广泛水肿和粘连,并有脓性分泌物出现。当排尿时,受粘连的尿道黏膜扩张,刺激局部神经引起疼痛。

 
     由于炎症反应及黏膜糜烂、脱落,形成典型的尿道脓性分泌物。由于炎症刺激尿道括约肌痉挛收缩,发生尿频、尿急。若同时有黏膜小血管破裂则出现终末血尿。细菌进入尿道腺体及隐窝后亦可由黏膜层侵入黏膜下层,阻塞腺管及窝的开口,造成局部的脓肿。在这个过程中,机体局部及全身产生抗体。机体对淋球菌的免疫表现在各个方面,宿主防御淋球菌的免疫主要依赖于IgG和IgM,而IgA也能在黏膜表面起预防感染作用。患淋球菌尿道炎的男性尿道分泌物常对感染的淋球菌产生抗体反应,即为黏膜抗体反应。
 
     
这些抗体除了IgA外还有IgG和IgM。血清抗体反应方面,在淋球菌感染后,血清IgG,IgM和IgA水平升高。IgA为分泌性抗体,从黏膜表面进入血液,这些抗体对血清的抗体-补体介导的杀菌作用相当重要,它们对血清敏感菌株所致的淋球菌菌血症具有保护作用。一般炎症不会扩散到全身,若用药对症、足量、局部炎症会慢慢消退。炎症消退后,坏死黏膜修复,由鳞状上皮或结缔组织代替。严重或反复的感染,结缔组织纤维化,可引起尿道狭窄。
 
    若不及时治疗,淋球菌可进入后尿道或宫颈,向上蔓延引起泌尿生殖道和附近器官的炎症,如尿道旁腺炎、尿道球腺炎、前列腺炎、精囊炎、附睾炎、子宫内膜炎等。严重者可经血行散播至全身。淋球菌还可长时间潜伏在腺组织深部,成为慢性淋病反复发作的原因。这些被感染器官炎症消退后结缔组织纤维化可引起输精管或输卵管狭窄、梗阻,继发男性不育和宫外孕。

 
并发症
 
前列腺炎、附睾丸、精索炎,女性子宫颈炎、盆腔炎、子宫内膜炎、关节炎等。播散性淋球菌感染可累及主动脉瓣或二尖瓣,因瓣膜快速破坏所致,急性心内膜炎,甚至死亡。
 
用药治疗
 
1.淋球菌对抗生素的耐药性  淋球菌对抗生素的耐药性可由质粒介导(获得新的耐药基因)、染色体介导(染色体基因的选择性突变)或两者共同介导。抗生素的滥用和错用,尤其是不规则用药(如小剂量多次用药)易诱导淋球菌对抗生素产生耐药性。淋球菌耐药菌株在某一地区产生后可迅速在局部、在国内以及在不同国家之间传播。一般说来,由质粒介导的耐药性往往传播较快。在某一地区,当耐药监测资料表明某种抗生素的耐药率大于5%时,则不应考虑将该种抗生素作为首选药物,当耐药率高于10%时,应停用该抗生素。

淋球菌本身对抗生素比较敏感。20世纪40年代中期,青霉素治疗淋病非常有效,成为治疗淋病的首选药物。随着青霉素的广泛应用,淋球菌对青霉素出现低水平耐药且耐药程度渐增。1976年,在美国及英国同时分离出,PPNG,其对青霉素高度耐药,导致青霉素治疗失败。不久确定青霉素酶是由质粒介导的。1983年,在美国北卡罗来纳首次出现由染色体介导的非产青霉素酶耐青霉素淋球菌引起的暴发流行及治疗失败。1985年,在美国鉴定出质粒介导的高度耐四环素淋球菌(TRNG)。

针对质粒介导的高度耐青霉素及四环素淋球菌的出现,美国疾病控制中心(CDC)在1987年的“STD治疗指南”中不再推荐青霉素与四环素作为治疗淋病的首选药物。然而随着大观霉素、氟喹诺酮类药物及第三代头孢菌素用于治疗淋病,有报道淋球菌对这些药物的敏感性下降或耐药。可见,淋球菌对抗生素的耐药性正不断增加,且日益威胁着淋病的有效治疗。
2.淋病治疗推荐方案  近20年来,随着淋球菌对抗生素敏感性的转变和淋球菌耐药性的增加,淋病的治疗正越来越困难,治疗淋病的推荐方案也不断地被修改。因淋球菌耐药菌株的流行与分布在世界各地不均一,各国治疗淋病的方案也不尽相同。目前美国CDC、世界卫生组织和我国卫生部推荐的淋病治疗方案

临床医师在处理具体患者时对药物的选择应着重于临床疗效、患者的可接受性及毒副作用。抗生素治疗淋病有效的最低标准是治疗无合并症肛门生殖器淋球菌感染的治愈率达95%以上。因此,当地淋球菌分离株的体外抗生素敏感性、抗生素的药代动力学特性、药物价格、应用方法、患者的年龄、是否妊娠、过去有无药物反应均应有所考虑。第三代头孢菌素如头孢曲松、头孢噻肟及头孢克肟治疗淋病包括PPNG及染色体介导的耐青霉素菌株所致的感染均高度有效。
国外研究表明,头孢曲松250mg肌内注射后24h即可清除泌尿生殖道(尿液、尿道黏膜及精液)中的淋球菌;头孢曲松125mg单次肌内注射亦可在血液中维持高效的杀菌浓度,可治愈99.1%的泌尿生殖道和肛门直肠无合并症淋球菌感染。头孢曲松的优点是血浆半衰期长,副作用少且轻微,可安全地用于妊娠妇女及新生儿。此外,头孢曲松治疗咽部淋球菌感染疗效高;

预防护理
 
避免非婚性接触。患者用过的物品应予消毒。淋球菌离开人体后非常脆弱,干燥环境中1~2h死亡。煮沸、日光暴晒、市售的含漂白粉和碘附的消毒剂都有很好的杀菌作用。避免在公共场所传染,宜使用蹲式便器。执行新生儿硝酸银溶液或其他抗生素液滴眼的制度,防止新生儿淋菌性眼炎。

 
饮食保健
 
淋球菌感染食疗方
1.莲子(去心)60克,生甘草10克,同水煎至莲子熟烂,加入冰糖适量。吃莲子,喝汤。
2.将大黄3克研末,鸡蛋1个,挖1个小孔,放入药末,以湿纸封口蒸熟,每日一次。
3.萝卜1500克,洗净,去皮,切片,用蜂蜜适量浸泡10分钟,放在瓦上焙干,再浸再焙(不要焙焦),连续3遍。每次嚼服数片,盐水送服,每日4-5次。

淋球菌感染吃那些对身体好?
1、清淡饮食。急性发作期宜食粳米稀饭、面条、银耳汤、绿豆汤,以及清热解毒的水果、蔬菜等。
2、富含蛋白质、维生素的食物。病情稳定后宜食蛋糕、馄饨、水饺、牛奶、豆浆、鸡蛋、猪瘦肉、虾仁、新鲜蔬菜、水果等。可甜咸相间,少量多次。尚应多饮水,以促进毒素排泄。
淋球菌感染最好不要吃那些食物?
禁忌辛辣、刺激性食物。如辣椒、胡椒、生姜、大葱、芥末、酒、浓茶等;少吃燥热动火食物,如韭菜、榨菜、雪里红、香菜、羊肉等。


到顶部