【一文读懂】脊索瘤


解读脊膜瘤【上】解读脊膜瘤【上】
KEYPOINT
1. 脊索瘤是骶骨和脊柱最常见的原发性骨肿瘤之一,好发于50-60岁的成年男性,病变最常累及颅底,其次为骶骨和脊柱;
2. 脊索瘤可分为三个亚型:典型脊索瘤、软骨样脊索瘤、未分化型脊索瘤;
3. 脊索瘤生长缓慢,病程较长,早期通常没有明显的临床症状,其中晚期常见的临床症状为局部疼痛和神经受压所导致的神经功能障碍;
4. 脊索瘤MRI结果T1加权像呈低信号,T2加权像呈中高信号,并且可被造影剂轻中度增强;CT常提示肿瘤呈溶骨性改变,病变常常起源于椎体,常侵犯骨皮质和周围软组织;
5. 术前可使用肌肉骨骼肿瘤学会(MSTS)系统对脊索瘤进行分级,然后可使用Weinstein-Boriani-Biagini (WBB)系统制定手术计划;
6. R0切除术是I期和II期病变首选的治疗方法,切除前3 - 8周进行新辅助放疗,术后8周内开始辅助放疗,可提高对局部病变的控制及减少肿瘤复发。


 脊索瘤是一种具有局部侵袭性的罕见的骨的恶性肿瘤,通常是由残留的脊索组织发展而成,最早是由Rudolf Virchow在1846年进行尸检时首先提出,今天就让我们结合几篇文献对该疾病进行一个简单的了解。

1
流行病学
脊索瘤是骶骨和脊柱最常见的原发性骨肿瘤之一,占所有骨恶性肿瘤的1-4%,年发病率约为0.08 / 10万,好发于50-60岁的成年男性。相对于其他恶性肿瘤,脊索瘤生长缓慢,大多数患者表现为局限性(72.5%)或局部侵袭性(20.3%)生长,远处转移性(7.2%)较为少见。
病变最长累及颅底(41.1%)其次为骶骨和脊柱。总体中位生存期为102个月,但颅底脊索瘤(中位生存期约为162个月)相较于骶骨(87个月)和脊柱(95个月)预后较好,但颅底 (65%)、骶骨 (60%)和脊柱 (68.4%)的总体五年生存率相似。


2
病理生理学特征
脊索瘤起源于胚胎残留的脊索组织。2013年WHO将其分为三个亚型:典型型脊索瘤、软骨样脊索瘤、未分化型脊索瘤。其中典型型脊索瘤最常见,细胞角蛋白和上皮膜抗原的免疫染色阳性为其特征。软骨样脊索瘤与典型型相似,但其含有类似透明样软骨瘤的区域。未分化脊索瘤的特征为同时具有典型型脊索瘤与高级别肉瘤。
从大体上看,脊索瘤具有多分叶状、膨胀性肿块的特征(如下图)。

图注:被整体切除下来的腰椎脊索瘤的大体观。可见其为具有明显软组织成分的膨胀性肿块。
3
临床症状
脊索瘤生长缓慢,病程较长,因此早期通常没有明显的临床症状。当疾病发展到中晚期时,临床表现因部位而异。
颅底脊索瘤常生长于斜坡,可表现为头痛、脑神经麻痹,双侧展神经麻痹为其特征。当蝶鞍区受累时,可因垂体功能低下导致内分泌疾病。
脊柱和骶骨脊索瘤最常见的症状为局部疼痛,患者活动时可使疼痛加剧。当脊索瘤侵犯椎管或椎间孔,导致神经受累时,患者也可出现神经功能障碍(如乏力、感觉异常、脊髓病)。颈椎脊索瘤可出现吞咽困难或气道压迫症状,甚至可表现为口咽肿块。大多数骶尾部脊索瘤累及第四和第五骶椎骨,肿瘤可向前侵犯骨盆,但往往不会突破骶前筋膜。有研究表明,神经功能缺损在脊柱脊索瘤中比在骶尾部脊索瘤中更常见。
这些非特异性症状和隐匿性疼痛也就导致了疾病的早期诊断较为困难。
脊索瘤通常不会出现远处转移,但晚期病例中65%的患者可发生远处转移,其远处转移最多见于肺、骨、脑。但有研究显示患者的生存率似乎较少受到远处转移的影响,而更受肿瘤局部浸润情况和是否复发的影响。因此是否能够完整切除肿瘤成为影响患者预后的重要因素。
4
诊断及鉴别诊断
当患者存在以上症状时,应考虑患者为脊索瘤的可能。必要时可对其行影像学及病理学检查。
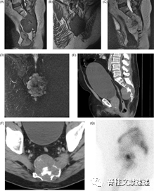
如患者出现神经功能障碍的症状或存在难以治疗的轴性疼痛时,应对其行MRI检查(如下图)。MRI可帮助其定位及定性,脊索瘤T1加权像呈低信号,T2加权像呈中高信号,并且可被造影剂轻中度增强。有研究表明,如在T2加权像上检测到的皮下脂肪浸润预示着预后较差。对于考虑手术治疗的患者,可常规行CT检查。CT结果常显示肿瘤呈溶骨性改变,并且病变常常起源于椎体,常侵犯骨皮质和周围软组织。

图注:累及S3-5的脊索瘤的影像学结果。可见病变累及骶骨并向骶前间隙侵犯。(A)矢状面和(B)冠状面MRI结果中T1加权像提示低信号改变,病变累及骶管。(C)矢状面和(D)冠状面T2压脂像提示累及骶神经根的高信号病变。(E)和(F)为增强CT结果显示病变累及骶骨。(G)为放射性示踪成像的结果
  其影像学表现及与其他肿瘤的鉴别诊断见下表。

5
术前评估
术前需对患者进行包括活检在内的确认其病理类型,病变分级,肿瘤分期以及评估患者的综合条件以评估其对手术治疗的适应性。
可使用肌肉骨骼肿瘤学会(MSTS)系统对其进行分级。该系统主要根据三个因素对肿瘤进行分类:组织学分级、局部侵袭性和是否存在远处转移。I期为低度恶性病变,II期为高度恶性病变,III期为伴有转移的病变。然后根据病变是否仍在间室内将I期和II期分为IA(低度恶性;间室内病变);IB(低度恶性;间室外病变);IIA(高度恶性;间室内病变);IIB(高度恶性;间室外病变);
然后使用Weinstein-Boriani-Biagini (WBB)系统制定手术计划。如下图所示

图注: 椎体在轴向平面内被划分为12个等分区域,标记为1到12。然后根据病变所涉及的组织层次将其分为五个层次,包括椎旁软组织(A)、皮质骨(B)、松质骨(C)、硬膜外间隙(D)、及脊髓(E)。由于大多数病变发生于椎体(第4 - 9段),通常需要通过前路行椎体整体切除术。而涉及后侧(第1 - 3、10 - 12区)的病变可以采用完全后入路的方式手术。
6
治疗
1、手术治疗
    外科技术的进步使手术成为治疗脊索瘤的标准治疗方法,脊索瘤的手术治疗取决于病变的位置。在可行的情况下,整体切缘阴性的肿瘤切除术(即R0切除术)是I期和II期病变首选的治疗方法,因为它可提高患者总体生存率和无进展生存期。有时想达到R0切除需要一并切除临近的神经根,这时就需要综合考虑手术效果和患者术后的神经功能和生活质量,从而制定最优的手术策略。
2、放射治疗
  尽管外科治疗取得了重大进展,但仅大约50%的骶骨脊索瘤可达到R0切除,而脊柱和颅底脊索瘤的切除率要更低,对于不能耐受手术,或无法达到R0切除的患者,术后应补充放射治疗。AO脊柱肿瘤论坛最近的一项调查显示,应在切除前3 - 8周进行新辅助放疗,并在手术后8周内开始辅助放疗,可提高对局部病变的控制及减少肿瘤复发。
3、化疗
  当晚期进展性脊索瘤无法通过手术或放疗控制时,可考虑行化疗。
审稿:王庆德
供稿:邵   哲
编辑:张振辉
参考文献
1. Pennington Z, Ehresman J, McCarthy EF, et al. Chordoma of the sacrum and mobile spine: a narrative review. Spine J. 2021;21(3):500-517. doi:10.1016/j.spinee.2020.10.009.PMID: 33589095.https://www.ncbi.nlm.nih.gov/pubmed/33589095.
2. Walcott BP, Nahed BV, Mohyeldin A, Coumans JV, Kahle KT, Ferreira MJ. Chordoma: current concepts, management, and future directions. Lancet Oncol. 2012;13(2):e69-e76. doi:10.1016/S1470-2045(11)70337-0.PMID:22300861.https://www.ncbi.nlm.nih.gov/pubmed/22300861.
3. Frezza AM, Botta L, Trama A, Dei Tos AP, Stacchiotti S. Chordoma: update on disease, epidemiology, biology and medical therapies. Curr Opin Oncol. 2019;31(2):114-120. doi:10.1097/CCO.0000000000000502.PMID:30585858.https://www.ncbi.nlm.nih.gov/pubmed/30585858.
往期精彩回顾
1. 解读脊膜瘤【上】
2. 解读脊膜瘤(下)
3. 颈部哑铃型肿瘤
4. C反应蛋白在预测脊柱术后感染中的作用
5. 弓猎人综合症(弓箭手卒中)
作者简介

邵哲,郑州市骨科医院医师脊柱外科,硕士研究生。毕业于大连医科大学,专注于脊柱疾病的诊断和治疗,以及骨组织工程相关方面基础性研究。
温馨提示
您可以微信留言想要了解的一些主题内容,同时也可以按照文章格式投稿交流(邮箱:spine_express@163.com),期待您的积极参与!

到顶部