腰椎管狭窄症的影像学严重程度与疼痛、功能障碍或手术结果的关系


KEYPOINT
1、男性、运动无力、形态狭窄程度和功能障碍程度是腰椎管狭窄症手术决策的关键因素。
2、术前MRI上腰椎管狭窄症的形态学严重程度与术前疼痛、功能障碍或非内固定减压手术后的手术结果无关;
3、腰椎管狭窄症的影像学严重程度与手术时间、住院时间或手术并发症发生率无关;
4、腰椎管狭窄症手术患者的MRI/CT狭窄程度没有明确的临床相关性,因此在决策过程中不应过分强调。


   在术前手术规划中,一些主观和/或客观因素,如疼痛严重程度、残疾程度和椎管狭窄的放射学严重程度可能影响腰椎管狭窄症(LSS)的最终手术决定。然而,腰椎管狭窄症的放射性严重程度与疼痛、功能障碍或手术结果之间的关系尚不清楚,现论述如下。

1
影像学严重程度与手术结果有关联吗?

证据等级:2级
该研究为评估腰椎管狭窄症(LSS)在磁共振成像(MRI)上的严重程度是否与术前功能障碍、疼痛或手术结果相关。术前MRI根据Schizas形态学分类评价LSS的严重程度。相关前的结果指标是Oswestry残疾指数(ODI)和数字评分量表(NRS)的背部和腿部疼痛评分。术后观察指标为1年时腰腿疼痛的ODI和NRS评分、治疗后ODI和NRS评分的变化、手术时间、住院时间和围手术期并发症。

结论认为:
术前MRI上LSS的形态学严重程度与术前疼痛、功能障碍或非内固定减压手术后的手术结果无关;
LSS的影像学严重程度与手术时间、住院时间或手术并发症发生率无关;
LSS手术患者的MRI狭窄程度没有明确的临床相关性,因此在决策过程中不应过分强调。
2
影响手术决策因素  

研究纳入了555例患者,年龄45-80岁,并在对腰椎管狭窄症引起的慢性腿部和/或背部疼痛进行了保守或手术治疗。采用单变量和多变量调整logistic回归分析,评估手术决策与年龄、性别、体重指数、症状持续时间、影像学狭窄程度、Oswestry残疾指数(ODI)、视觉模拟量表(VAS)背痛和腿痛评分、简式36(SF-36)和运动无力的关系。多因素分析显示男性性别、ODI、形态狭窄程度、运动无力与手术决定的可能性显著相关。
结论得出:运动无力、男性、形态狭窄程度和残疾程度是导致LSS手术决策的关键因素。
3
 影像学征象与临床症状的关系  


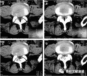
腰椎CT外部加压装置研究下,观察无轴向负荷和轴向负荷时腰椎硬膜囊面积的变化,并探讨其与腰椎管狭窄症临床症状的相关性。

图示:L4-L5椎间盘CT。在(A)和(B)压缩之前和之后。A(C)的测量。B(D)的测量。压迫时,椎间盘膨出,黄韧带折叠,硬脑膜囊的横截面积从88平方毫米变为39平方毫米。在这种情况下,相对椎管狭窄变为伴有外部压迫的绝对性椎管狭窄。

结论得出:
腰椎囊的压迫区域发生了显著变化;
CT显示椎管狭窄需要与临床症状进行比较;
轴位CT显示的硬脑膜囊面积与椎管狭窄症的临床症状无显著相关性。
审稿:王庆德
供稿/编辑:张振辉
参考文献
1、Weber C , Giannadakis C , Rao V , et al. Is There an Association Between Radiological Severity of Lumbar Spinal Stenosis and Disability, Pain, or Surgical Outcome?[J]. Spine, 2016, 41(2):E78-E83. 
2、Kim H J , Park J Y , Kang K T , et al. Factors influencing the surgical decision for the treatment of degenerative lumbar stenosis in a preference-based shared decision-making process[J]. European Spine Journal, 2015, 24(2):339-347.
3. Lohman C M , Tallroth K , Kettunen J A , et al. Comparison of radiologic signs and clinical symptoms of spinal stenosis[J]. Spine, 2006, 31(16):1834-1840.
往期精彩回顾
1、腰椎术后硬膜外血肿表现、诊断及处理流程
2、腰椎MRI最易被忽略的七个征象,你都get到了吗?
3、【经典术式】腰椎髓核摘手术操作要点
4、如何更好地选择腰椎融合手术cage的大小和位置?
5、脊柱热点| 腰椎PLIF手术椎间/cage如何植骨更有效?
作者简介

张振辉,郑州市骨科医院脊柱一科,天津医科大学硕士研究生毕业;熟练诊治脊柱外科常见疾病;参与完成国家自然科学基金青年项目一项,荣获郑州市科技进步二等奖,发表论著10余篇,SCI收录3篇。

到顶部